七旬老妪集糖尿病、肾衰竭与长期激素治疗于一身,一份报告竟检出“群魔乱舞”……肺空洞影像疑窦丛生,如何破迷雾?丨疑案探密(168)
来源: 呼吸界 11-04


引言


肺泡灌洗液的宏基因组测序结果令人震惊:耶氏肺孢子菌、总状毛霉、多种疱疹病毒、细菌……一份报告竟检出“群魔乱舞”,谁才是真正的元凶?面对如此复杂棘手的混合感染,尤其是死亡率极高的毛霉,医生们如何在这位肾功能极差的患者身上权衡用药,展开一场精准的“排雷”行动?最终又是凭借何种“利器”,拨开迷雾,锁定真凶,让她在绝境中觅得一线生机?


69岁患者免疫低下,“咳嗽”起病入院,面对“群魔乱舞”的检测报告,鉴别诊断从何入手?



【卷宗1】:女性患者,69岁,因“反复咳嗽咳痰1月余”于2025年8月14日入我院胸外科。


讲述者:包淑钧


患者1月余前无明显诱因出现咳嗽咳痰,咳灰色黏痰,伴乏力,无咯血及痰中带血,无呼吸困难及声音嘶哑,无畏寒发热,无午后低热、盗汗、颜面潮红,无皮疹,无关节肿痛等症状,未予重视诊治。后上述症状反复,就诊于当地医院,2025年8月10日查胸部CT示“右肺上叶空洞样占位,双肺少许慢性炎症,心包少量积液”,予抗感染(具体不详)、补液等对症治疗后无好转。


遂2025年8月14日至我院胸外科住院,2025年8月15日复查胸部CT提示“右肺上叶后段空洞性病变,双侧部分支气管轻度扩张”,予头孢菌素类抗感染后症状无改善,排除禁忌后,进一步于2025年8月21日行电子气管镜检查提示“右上叶后段支气管粘膜炎性改变”,同时肺泡灌洗液送检常规病原学及mNGS,mNGS回报“铜绿假单胞菌263条,肺炎克雷伯菌68条,耶氏肺孢子菌61717条,总状毛霉11条,人类疱疹病毒6型17780条,人类疱疹病毒5型2813条,人类疱疹病毒4型732条”,考虑肺部感染,于8月25日转至我科进一步治疗。


患者自患病以来,精神状态一般,体重近2月下降5kg,食欲一般,大、小便正常,睡眠尚可。相关检查详见第二份卷宗:


卷宗2

既往史、个人史:

生长于原籍,体质较差,高血压病史25年,最高收缩压达160/90mmHg,平素口服缬沙坦、呋塞米降压;糖尿病史2年余,最高血糖不详,目前予胰岛素治疗中,血糖控制不佳;肾功能不全4年余(具体病因不详),予罗沙司他改善肾性贫血,长期口服醋酸泼尼松治疗2年,起始用量30mg,后逐渐减量至10mg维持中;否认传染病史、手术外伤史、输血史;无药物及食物过敏史;无烟酒嗜好,无疫水接触史,无职业毒物、粉尘接触史。

家族史:

家族中无类似患者,育有1子体健。

入院查体:

体温36.2 ℃,脉搏62次/分,呼吸20次/分,血压 112/80 mmHg,神清,精神欠佳,浅表淋巴结(-),双肺呼吸音粗,心腹(-),双下肢无浮肿,NS(-)。

入院诊断

1.肺部空洞性病变 右上

 真菌感染

2.高血压病 2级 很高危

3.2型糖尿病

4.慢性肾脏病 CKD5期

 肾性贫血

入院后检验及检查:

(1)血气、常规、凝血、生化、心肌酶指标:

 动脉血气:PH 7.41,二氧化碳分压35mmHg,氧分压70mmHg↓,氧饱和度94.0%↓,乳酸1.1mmol/L。

 血常规:白细胞7.2×10^9/L,中性粒细胞%76.1%↑,淋巴细胞%16.8%↓,单核细胞%6.6%,嗜酸性粒细胞%0.2%↓,嗜碱性粒细胞%0.3%,中性粒细胞5.48×10^9/L,淋巴细胞1.21×10^9/L,单核细胞0.48×10^9/L,嗜酸性粒细胞0.01×10^9/L↓,嗜碱性粒细胞0.02×10^9/L,红细胞3.38×10^12/L↓,血红蛋白94g/L↓,血小板233×10^9/L。超敏C反应蛋白10.18mg/L↑。

 尿常规:蛋白1+。

 大便常规:未见异常。

 凝血:凝血酶原时间11.2S,活化部分凝血活酶时间33.2S,纤维蛋白原5.34g/L↑,D-二聚体3.31ug/ml↑。

 生化:总胆红素4.6umol/L,直接胆红素1.8umol/L,间接胆红素2.80umol/L,总蛋白51.8g/L↓,白蛋白27.2g/L↓,球蛋白25g/L,前白蛋白125mg/L↓,丙氨酸氨基转移酶37U/L,γ谷氨酰基转移酶37U/L,乳酸脱氢酶275U/L↑,碱性磷酸酶(AKP) 92U/L,淀粉酶活力185U/L↑,葡萄糖5.8mmol/L,尿素18.7mmol/L↑,尿酸388umol/L↑,肌酐355umol/L↑,估算肾小球滤过率11ml/min↓,钾3.78mmol/L,钠137mmol/L,氯99mmol/L,二氧化碳24mmol/L。天门冬氨酸氨基转移酶23U/L。

 心肌酶谱:高敏肌钙蛋白I 0.0508ng/mL↑,B型钠尿肽前体1090pg/ml↑,肌红蛋白174.7ng/ml↑,肌酸激酶(CK) 26U/L↓,CK-MB11U/L,CK-MM15U/L。

(2)感染指标:

- 血沉:69mm/h↑。

- 降钙素原(PCT):0.364ng/ml。

- 白介素6:16.0pg/mL↑。

- 内毒素试验:阴性。

- G试验:10218pg/ml↑(正常<70pg/ml)。

- GM试验:阴性。

- 隐球菌乳胶凝集试验:阴性。

- 结核感染T细胞检测:阴性。

(3)呼吸道分泌物病原学:

- 痰液真菌培养:热带念珠菌。

- 痰液细菌培养:嗜麦芽窄食单胞菌4+(复方新诺明、头孢哌酮/舒巴坦、左氧氟沙星、米诺环素均敏感)。

(4)其它指标:

- 肝炎全套、HIV、梅毒检测均为阴性。

- 甲状腺功能:T3 0.85nmol/L↓,T4 48.00nmol/L↓,FT3 2.27pmol/L↓,FT4 8.32pmol/L↓,超敏TSH0.42mIU/L。

- 糖化血红蛋白:8.1%↑。

- 淋巴细胞亚群:NK绝对值计数307,CD3绝对值计数817 ,CD4绝对值计数387,CD8绝对值计数424 ,CD4/CD8 0.91%↓,CD19绝对值计数37。

- 肿标:甲胎蛋白2.54ug/L,癌胚抗原6.92ug/L↑,神经特异烯醇酶19.0ug/L↑,CA19-9 130.00U/ml↑,CYFRA211 11.1ug/l↑,铁蛋白76.50ug/L,鳞状细胞癌相关抗原1.9ng/ml↑。

(5)影像学检查:

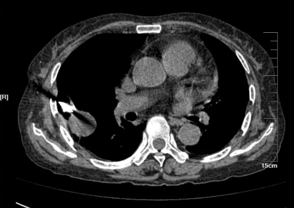
- 胸部CT(图1)(2025-8-15):1、右肺上叶后段空洞性病变(壁厚薄不均,长径约4.9cm,边界尚清,部分边缘稍欠毛糙),双肺多发结节(多发实性、磨玻璃密度结节影,界清,最大者位于右肺下叶背段,长径约1cm,内见空洞),建议CT增强进一步检查。 2、双肺散在炎症、纤维灶;双侧部分支气管轻度扩张;右肺上叶肺大泡。 3、心包部分增厚;主动脉、冠脉多发钙化。 4、腰1椎体楔形压缩。 5、所示双肾形态不规则。

- 肝胆胰脾肾B超(2025-8-16):1.右肾萎缩 2.左肾慢性肾病 3.右肾囊肿。

- 心超(2025-8-18):1.主动脉瓣钙化伴轻度反流(瞬时反流量约2ml) 2.二尖瓣钙化伴轻度反流(瞬时反流量约1ml) 3.左室舒张功能减退、收缩功能正常 4.心脏各房室大小正常。EF 62%。

- 心电图(2025-8-19):窦性心动过速 频发房性早搏,多伴室内差异传导,部分连发成对出现。

- 头颅CT(2025-8-20):头颅CT平扫未见明显异常。

- 电子气管镜检查(图2)(2025-8-21):右上叶后段支气管粘膜炎性改变(右上叶后段亚段支气管内见少量脓性痰栓附着,粘膜充血水肿,于右上叶后段行支气管肺泡灌洗,灌洗量50ml,回收15ml,送检常规、细菌、真菌、抗酸、mNGS)。

- Balf常规:外观无色透明,比重 量少,李凡特试验 极弱阳性±,白细胞计数1851×10^6/L,红细胞计数64×10^6/L,中性分叶核65%,淋巴细胞15%,巨噬细胞11%,组织细胞9%。

- Balf抗酸染色:阴性。

- Balf真菌培养:阴性。

- Balf细菌培养:阴性。

- Balf-mNGS(图3)(2025-8-23):铜绿假单胞菌263条,肺炎克雷伯菌68条,耶氏肺孢子菌61717条,总状毛霉11条,人类疱疹病毒6型17780条,人类疱疹病毒5型2813条,人类疱疹病毒4型732条。


图1.胸部CT(2025-8-15)


图2.电子气管镜检查(2025-8-21)


图3. Balf-mNGS(2025-8-23)


空洞之谜,菌影重重……病史特点总结及诊断分析如何?


讲述者:陈杨


患者的病史特点如下:


1.患者为老年女性,既往无吸烟史,合并糖尿病、高血压、慢性肾衰竭等病史,长期激素维持治疗中,血糖控制不佳,目前三短一长胰岛素强化治疗中,否认误吸;


2.咳嗽咳痰起病,咳灰色黏痰,病程中伴乏力、体重下降,无咯血、发热,影像学检查提示肺部空洞性病变,血检验提示G试验明显升高,CEA、NSE、CA199、SCC肿标升高,T-SPOT阴性。


3.查体:神清,精神欠佳,双肺呼吸音粗,双下肢无水肿。


4.辅助检查:胸部CT:右肺上叶后段空洞性病变。电子气管镜:右上叶后段支气管粘膜炎性改变。Balf-mNGS:铜绿假单胞菌263条,肺炎克雷伯菌68条,耶氏肺孢子菌61717条,总状毛霉11条,人类疱疹病毒6型17780条,人类疱疹病毒5型2813条,人类疱疹病毒4型732条。


结合患者病史及检验检查,我们主要针对患者肺部空洞性病变这一影像学特征进行鉴别,感染性疾病?肿瘤性疾病?非肿瘤性疾病?


1、感染性疾病:包括真菌、结核及NTM、肺脓肿、其它少见病原体感染。



-肺真菌病,如:毛霉病、曲霉菌病、隐球菌病、组织胞质菌病、念珠菌病等。肺毛霉菌病与肺曲霉菌病具有共性:好发于免疫防御机制损害的患者,以白血病、淋巴瘤及糖尿病患者最多见;上中肺多见。患者反复咳嗽咳痰症状1月余,慢性肾病长期服用激素治疗,合并糖尿病,存在免疫低下高危因素,影像学提示右肺上叶空洞性病变,慢性病程及影像,进一步结合balf-mNGS提示总状毛霉11条等病原体,因此考虑毛霉这一强侵袭性真菌感染可能大,此外,患者balf-mNGS检出高序列数耶氏肺孢子菌61717条,G试验强阳性,但影像学无典型PJP间质性改变,需进一步鉴别诊断,可通过进一步完善病灶穿刺后的组织病理学和微生物检验予以明确。



-结核和非结核分枝杆菌感染:典型病理表现包括干酪样坏死性肉芽肿或数量不等的非干酪样肉芽肿。本例患者为老年女性,一般状况较差,此次慢性起病,伴有乏力、消瘦等症状,影像学检查提示空洞性肺病变,需考虑分枝杆菌感染的可能。但患者无明显发热、盗汗等中毒症状,T-SPOT检测结果为阴性,且多次痰及支气管灌洗液送检均未发现分枝杆菌感染证据。因此,目前诊断分枝杆菌感染的依据尚不充分,需等待结核培养结果进一步明确诊断。



-肺脓肿:通常是由多种病原菌引起的肺组织化脓性感染,导致组织坏死、液化并形成空洞。该患者胸部CT明确提示右肺上叶后段空洞性病变,这是肺脓肿的典型影像学表现,BALF-mNGS检测出多种可导致化脓性感染的细菌:铜绿假单胞菌 (263条)、肺炎克雷伯菌 (68条) ,但患者病程中无发热,气道分泌物培养未查见上述细菌,mNGS序列数不高,不符合单纯的细菌性肺脓肿。



-其它少见病原体感染:该类感染通常病程呈慢性,需警惕低毒力病原体(如诺卡菌、放线菌等)引起的感染。诺卡菌与放线菌感染的影像学表现常缺乏特异性,可导致肺部出现慢性化脓性或肉芽肿性病变,进展期亦可形成类似本例的空洞改变。需通过进一步微生物学检查以排除此类感染。


2、非感染性疾病:



-肿瘤性疾病:患者既往无吸烟史,否认肿瘤家族史,胸部CT可见空洞样类圆形团块影,肿标部分升高,需考虑恶性肿瘤可能,肺癌(特别是鳞癌,SCC相关)本身就可以引起“癌性空洞”,并因阻塞支气管导致远端继发感染,形成“脓肿样”表现。可以先抗感染治疗,观察患者病灶吸收情况,必要时完善PET-CT检查及肺穿刺。



-肉芽肿性多血管炎:约80%可出现肺部受累,其影像学常呈现“三多一洞”的特征,即病变形态多样、多发、易变,并常伴有空洞形成。肺部单发或多发结节及肿块是GPA最常见的影像学表现,因此本病例应考虑GPA的可能性。然而,该患者无发热、关节疼痛等临床表现,嗜酸性粒细胞也未升高,这些均为不支持点。最终需通过穿刺活检病理检查以进一步排除或确诊。


狙击双菌,破局重生……进一步完善检查终于明确诊断,元凶乃“毛霉”


讲述者:包淑钧


患者为老年女性,既往有慢性肾脏病(长期口服激素治疗)及糖尿病史(血糖控制不佳),本次因肺泡灌洗液mNGS提示耶氏肺孢子菌及总状毛霉感染,诊断为肺部真菌感染。患者处于慢性肾衰竭CKD 5期,在综合评估药物肾毒性等潜在不良反应后,自2025年8月25日起予以两性霉素B脂质体200mg qd静滴抗毛霉治疗,联合复方磺胺甲噁唑片0.96g q8h口服抗耶氏肺孢子菌肺炎,并辅以胰岛素控制血糖(三餐前人胰岛素6IU,晚睡前甘精胰岛素20IU)、雾化化痰、促红细胞生成、补充白蛋白、降压及保肾等综合治疗。


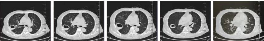
2025年8月31日,患者进食后出现严重恶心、呕吐等胃肠道反应,伴肝酶升高,经予止吐、护胃、静脉营养支持及保肝治疗后未见好转,考虑为复方磺胺甲噁唑片不良反应,遂将其剂量逐步减量至0.48g bid后患者胃肠道反应减轻。2025年9月1日复查血液指标提示BNP及D-二聚体升高,加用利尿、抗凝等对症治疗;复查胸部CT(见图4)显示右肺上叶空洞性病变及右肺下叶背段结节较2025年8月15日影像明显缩小,提示当前抗感染治疗方案有效。


图4.胸部CT(25-8-15 vs 25-9-1)


后续为进一步明确肺部病灶性质及有无鼻面部及颅内侵犯,完善胸部增强MRI、头颅MRI及CT引导下肺穿刺检查。


-胸部增强MRI(2025-9-2):1.右肺上叶后段病变(右肺上叶后段见一类圆形异常信号影,大小约3.3x2.7cm,T2WI及抑脂序列呈高低混杂信号,DWI上见弧形高信号影,增强扫描呈环形强化)。 2.双肺散在炎症,部分肺不张。 3.双侧胸腔少量积液。


图5. 胸部增强MRI (2025-9-2)


-头颅MRI平扫(2025-9-3):1、脑白质高信号,Fazekas 1级;老年脑改变。 2、双侧筛窦炎。


-CT引导下肺穿刺(2025-9-8):穿刺针进入低密度团块,穿出组织4条,送病理、病原学mNGS检测。


图6. CT引导下肺穿刺(2025-9-8)


-肺组织-mNGS (2025-9-10):屎肠球菌7条,总状毛霉4741条,耶氏肺孢子菌8条,人类疱疹病毒6型4469条,人类疱疹病毒5型53条。 


图7. 肺组织-mNGS 结果(2025-9-10)


- 肺组织病理(2025-9-12):极少量纤维素样物伴极少量淋巴细胞浸润,另见少量真菌菌丝。特殊染色:PAS(+)。


图8.肺组织病理结果(2025-9-12)


根据毛霉病诊断指南,其临床诊断需综合以下三方面依据:(1)宿主因素;(2)临床表现,如肺部特征性影像学改变,或急性面部疼痛(可放射至眼部)、鼻部溃疡及焦痂、病变由鼻窦侵犯至骨或眼眶,或头颅CT/MRI具有相应特征性表现;(3)微生物学证据,即在痰液、BALF、支气管刷检物或鼻窦穿刺液中检出毛霉目真菌。本例患者合并糖尿病及肾衰竭,影像学提示肺部空洞形成,BALF及肺组织mNGS检测检出总状毛霉。虽然头颅MRI提示双侧筛窦炎,但患者无面部疼痛、结膜或眶周软组织肿胀、视力模糊、鼻部充血、硬腭坏死性溃疡等表现,因此目前不考虑鼻面部及头颅受累。综上,该患者同时符合宿主因素、临床表现及微生物学证据.


至此,该患者的诊断为

1.右上叶肺空洞:肺毛霉菌病

2.高血压病 2级 很高危

3.2型糖尿病

4.慢性肾脏病 CKD5期

 肾性贫血

5.低蛋白血症

6.肝功能不全


尽管患者支气管肺泡灌洗液(BALF)及肺组织宏基因组测序(mNGS)均检出耶氏肺孢子菌,但肺组织中该病原体的序列数仅为8条,明显少于BALF中的检出量。同时,患者多次影像学检查均未显示广泛的磨玻璃样肺间质性改变。因此,不考虑其为耶氏肺孢子菌肺炎(PJP)感染。


mNGS及病理精准打击,毒霉溃败……后续诊治及文献回顾


讲述者:陈杨


进一步查阅文献,我们发现毛霉目中有11个属、约27个种与人类感染有关,包括根霉属、横梗霉属、毛霉属、根毛霉属和小克银汉霉属 [1]。总状毛霉(Mucor racemosus)是接合菌亚门、毛霉目、毛霉属的模式菌种之一。其菌丝体呈灰白色至黄褐色,具有球形孢子囊,并能通过接合孢子进行繁殖。该菌主要分布于土壤及含淀粉的基质中,在食品工业中常用于腐乳、豆豉等传统发酵食品的生产。


毛霉目感染通常进展迅速,成人死亡率极高,其预后与潜在危险因素、感染部位及治疗干预密切相关 [2]。肺脏因解剖结构与外界直接相通,成为毛霉常见的侵袭器官之一,仅次于鼻、脑和皮肤。肺毛霉菌病是一种罕见但危及生命的侵袭性真菌病,好发于伴有严重基础疾病的患者,如控制不良的糖尿病、血液系统恶性肿瘤、造血干细胞或实体器官移植术后,以及长期应用糖皮质激素或免疫抑制剂者 [3]。本例患者的主要危险因素为长期糖皮质激素使用与血糖控制不佳。


尽管毛霉病多见于免疫缺陷宿主,但亦可发生于免疫功能基本正常的人群。此外,毛霉病尚可累及胃肠道和肾脏等部位。胃肠型毛霉病多经食入途径感染,极为罕见,近年多见于血液系统恶性肿瘤、长期糖皮质激素治疗及糖尿病控制不良患者 [4],临床常表现为腹痛、肠梗阻相关症状(如腹胀、恶心、呕吐),亦可伴发热或便血,确诊依赖外科手术或内镜下活检。本例患者基础状态差,曾出现严重恶心、呕吐,考虑为复方磺胺甲噁唑不良反应,减量后症状缓解,故暂不支持该型诊断。近年来,肾脏型毛霉病的发病率有所上升,在中国和印度均有相关病例报道 [5],常见表现为发热、腹痛、血尿或无尿。本例患者虽有多年的肾衰竭病史,但病程中无典型发热等表现,因此目前亦不考虑此型。


肺毛霉病影像学上病灶多为单侧,偶有双侧,少见肺门或纵隔,在单侧肺部疾病中,最常见的是上叶,其次是下叶和中叶,本例患者为右上叶受累 [6]。显微镜检查(直接和组织病理学)和培养是诊断肺毛霉病的基础,分子测定可用于检测或鉴定毛霉,并且可以作为补充传统诊断有价值的附加工具 [7],本例患者通过肺组织病理学检查及mNGS技术确诊,其在病程中多次呼吸道标本真菌培养结果均为阴性。


毛霉感染患者的痰及支气管肺泡灌洗液培养阳性率较低且特异性差,对于疑似毛霉感染的患者,建议有条件时应尽早进行组织病理学检查,并优先选择无菌样本送微生物学检测,同时,应高度重视mNGS在毛霉菌病诊断中的重要应用价值。例如,有研究者报道一例急性T淋巴细胞白血病患者与致命的侵袭性毛霉病和多重耐药细菌混合感染,G和GM阴性,mNGS在外周血和局部分泌物样本中发现了总状毛霉菌及细菌,毛霉和细菌感染分别通过多位点和重复真菌和细菌培养进一步证实,可见mNGS可以通过提供临床和治疗信息来支持传统的诊断方法,从而促进毛霉病的诊断 [8]


指南中对于毛霉病的治疗方法包括:手术清创、两性霉素B脂质体及复合体静脉剂、艾沙康唑、泊沙康唑。对于病灶范围较大但无明确急诊手术指征、且初始药物治疗反应良好的患者,手术治疗应慎重考虑,单纯的系统性抗真菌治疗通常足以控制病情,因此我们建议将药物治疗作为首选方案。在所有系统感染中,优先推荐两性霉素B脂质体5-10 mg/(kg·d)进行一线治疗 [9],如果发生严重肾毒性,可适时减量,对于该患者我们一线治疗选择两性霉素B脂质体静脉滴注。


本例患者经约1周抗毛霉治疗后复查胸部CT,提示肺部病灶较前明显缩小,血沉、CRP等炎症指标亦较前下降,提示初始治疗有效。在患者病情趋于稳定后,将静脉抗真菌治疗转换为口服序贯治疗,可选药物包括艾沙康唑或泊沙康唑。鉴于患者肾小球滤过率偏低,我们于2025年9月15日起选用艾沙康唑进行口服序贯治疗。同时嘱患者积极控制危险因素,逐步减量并最终停用糖皮质激素,严格调控血糖。1个月后复查胸部CT(见图9)显示右肺病灶持续缩小、空洞消失;实验室检查提示白细胞、CRP、血沉、降钙素原及IL-6均恢复至正常范围,G试验转为阴性。目前患者继续定期随访,监测影像学及血液学指标。


图9.胸部CT(25-8-15 vs 25-9-1 vs 25-10-13)


由此可见,毛霉目感染常危及免疫功能缺陷患者,诊断需依赖组织病理学和分子检测技术(如mNGS),治疗以两性霉素B脂质体为首选,病情稳定后可序贯口服艾沙康唑或泊沙康唑,并需积极控制危险因素。本例长期激素治疗及糖尿病患者经抗真菌治疗后病灶缩小,凸显早期药物干预与危险因素控制的重要性。


唐昊主任点评


本例为免疫缺陷宿主混合感染的经典挑战:患者集糖尿病、肾衰竭、长期激素治疗于一身,免疫功能极度脆弱,肺泡灌洗液mNGS呈现“群魔乱舞”之象——耶氏肺孢子菌、毛霉、细菌、疱疹病毒同时检出,鉴别诊断迷雾重重。我们最终凭借肺空洞影像特征与组织病理/mNGS精准揪出元凶——总状毛霉,突破肾功能极差患者的用药困境,以两性霉素B脂质体为核心实现“精准狙击”。难点之处在于混合感染的病原学权重判断与肾功能极差背景下的用药博弈。最终通过影像动态评估与危险因素控制,患者病灶显著吸收,印证了早期精准诊断、多学科协作与全程化管理在危重真菌感染中的核心价值。


参考资料

[1] Jeong, W., Keighley, C., Wolfe, R., Lee, W. L., Slavin, M. A., Kong, D. C. M.Chen, S. C. The epidemiology and clinical manifestations of mucormycosis: a systematic review and meta-analysis of case reports. Clin Microbiol Infect. 2019;25:26-34.

[2] Zilberberg, M. D., Shorr, A. F., Huang, H., Chaudhari, P., Paly, V. F.Menzin, J. Hospital days, hospitalization costs, and inpatient mortality among patients with mucormycosis: a retrospective analysis of US hospital discharge data. BMC Infect Dis. 2014;14:310.

[3] Coste, A., Conrad, A., Porcher, R., Poirée, S., Peterlin, P., Defrance, C., Letscher-Bru, V., Morio, F., Gastinne, T., Bougnoux, M. E., Suarez, F., Nevez, G., Dupont, D., Ader, F., Halfon-Domenech, C., Ducastelle-Leprêtre, S., Botterel, F., Millon, L., Guillerm, G., Ansart, S., Boutoille, D., Ledoux, M. P., Herbrecht, J. E., Robin, C., Melica, G., Danion, F., Blanchard, E., Paccoud, O., Garcia-Hermoso, D., Lortholary, O., Herbrecht, R.Lanternier, F. Improving Diagnosis of Pulmonary Mucormycosis: Leads From a Contemporary National Study of 114 Cases. Chest. 2023;164:1097-1107.

[4] Garg, P. K., Gupta, N., Gautam, V.Hadke, N. S. Gastric zygomycosis: unusual cause of gastric perforation in an immunocompetent patient. South Med J. 2008;101:449-50.

[5] Prakash, H., Ghosh, A. K., Rudramurthy, S. M., Singh, P., Xess, I., Savio, J., Pamidimukkala, U., Jillwin, J., Varma, S., Das, A., Panda, N. K., Singh, S., Bal, A.Chakrabarti, A. A prospective multicenter study on mucormycosis in India: Epidemiology, diagnosis, and treatment. Med Mycol. 2019;57:395-402.

[6] Feng, J.Sun, X. Characteristics of pulmonary mucormycosis and predictive risk factors for the outcome. Infection. 2018;46:503-512.

[7] Skiada, A., Lass-Floerl, C., Klimko, N., Ibrahim, A., Roilides, E.Petrikkos, G. Challenges in the diagnosis and treatment of mucormycosis. Med Mycol. 2018;56:93-101.

[8] Cui, Q., Dai, H., Wu, D., He, J., Xu, Y., Tang, X.Xu, J. Case Report: A Case of Acute T Lymphoblastic Leukemia With Mixed Infection of Lethal Invasive Mucormycosis and Multi-Drug Resistant Bacteria. Front Med (Lausanne). 2022;9:854338.

[9] Kontoyiannis, D. P., Azie, N., Franks, B.Horn, D. L. Prospective antifungal therapy (PATH) alliance(®) : focus on mucormycosis. Mycoses. 2014;57:240-6.



专家介绍


唐昊

上海长征医院(海军军医大学第二附属医院)呼吸与危重症医学科主任;中华医学会呼吸病学分会 9/10届青委会委员;中国医师协会呼吸医师分会青年委员;上海市医学会呼吸病学分会委员兼秘书;上海市医学会呼吸病学分会哮喘学组副组长;上海市医师协会呼吸医师分会委员;上海市优秀学术带头人;上海市曙光学者;上海市浦江人才;上海市青年科技启明星。



陈杨

海军军医大学附属长征医院呼吸与危重症医学科副主任医师,科研助理、临床药物试验专业组秘书;上海市医学会呼吸病学分会青年委员、肺癌学组委员;主持吴阶平医学基金会基础科研专项1项;参与多项国家自然科学基金及上海市、军队课题;发表多篇国内核心、SCI论文;参编多部专科著作。



包淑钧

海军军医大学第二附属医院呼吸与危重症医学科住院医师、硕士,2023级PCCM学员。发表科研论文7篇,其中SCI论文3篇,参与专利研发2项,参与编写专著1部,参与1项国家自然科学基金项目、2项上海市科研项目。


* 文章仅供医疗卫生相关从业者阅读参考


本文完

采写编辑:冬雪凝;责编:Jerry

444