引言
本案患者剧烈咳嗽、呼吸急促半年,胸部CT及PET-CT提示双肺多发球形、实变病灶考虑特殊感染,感染、肿瘤指标稍高,风湿免疫指标不高,两次气管镜Balf-mNGS、EBUS(11R淋巴结)病理、B超引导下肺穿刺组织mNGS及病理均未明确感染及肿瘤依据,多种抗感染治疗疗效不佳,如何深入分析潜在病因,抽丝剥茧找出真正「元凶」?
双肺多发病灶性质待定,特殊感染还是肿瘤?抗感染及抗真菌治疗后病灶仍进展,如何寻因?
卷宗1
基本资料:患者女性,66岁,主诉“反复咳嗽、咳痰伴气促5月余”于2024年11月15日从我院慢性咳嗽门诊收住呼吸与危重医学科。
讲述者:陈彦
该老年女性患者在2024年5月照护发热家人(中风长期卧床)后出现咳嗽、咳痰伴气促,起初为干咳,渐起白色粘痰,量稍少,咳嗽剧烈,夜间较重,平卧位加剧,活动耐量明显下降,爬2楼即出现明显气促,偶有心悸伴双下肢轻度水肿,无闻及刺激性气体加重,无发热、畏寒,无头晕、头痛,无胸闷、胸痛,无反酸、嗳气、恶心、呕吐。
患者反复就诊于当地卫生院,予口服及静脉药物(具体不详)治疗,前述症状缓解不明显,遂于10月初就诊于当地医院,行胸部CT示双肺多发结节,转移瘤与炎性结节鉴别,进一步完善胸部增强CT提示:1、双肺多发团片状、类结节状高密度灶,考虑特殊性感染可能性大、仍需与肿瘤性病变鉴别;2、纵隔多发稍大淋巴结;3、双侧胸腔少量积液,双侧胸膜粘连增厚。实验室检查及其他检查详见第二份卷宗:
卷宗2
血常规 (2024.10.04→2024.10.11 → 2024.10.14→2024.10.20 ) :WBC 15.44 × 10^9/L,NE 85.8% → WBC 10.72 × 10^9/L,NE 81.2% → WBC 13.86 × 10^9/L,NE 80.2%→ WBC 14.68 × 10^9/L,NE 80.9%;CRP(2024.10.04→2024.10.11 → 2024.10.14→2024.10.20):73.4mg/L → 68.67mg/L → 13mg/L→4.16mg/L; PCT(2024.10.17→2024.10.20):0.097ng/ml→0.309ng/ml。血沉(2024.10.05):61mm/h;
肿瘤标记物(10.05):细胞角蛋白19片段:4.130ng/ml、CA125:65.1U/ml、CA19-9:32.7U/ml、铁蛋白1390μg/L;
风湿指标阴性。
PET/CT提示:左侧上牙槽区局部炎症,双肺多发斑片状、团块状及类结节灶,代谢不同程度增高,考虑特殊感染可能,余双肺多发炎性肉芽肿性小结节。
支气管镜TNGS提示:白色念珠菌35945、鼻病毒A型891、EB病毒(EBV)32。外送肺泡灌洗液GM及隐球菌均阴性。
痰培养:肠杆菌科及白色念珠菌 1+。
支气管镜右中叶穿刺活检提示:镜下见送检为分化良好肺组织,局灶组织坏死伴炎性渗出,未见肿瘤。诊断考虑为念珠菌性肺炎、肺占位性病变、高血压2级(极高危)、乙肝表面抗原携带者、慢性心功能不全 心功能Ⅲ级(NYHA分级)。
治疗方面,予氟康唑(7天)联合美罗培南(4天)静滴抗感染、甲泼尼龙40mg抗炎(3天)及对症治疗后稍有好转,出院口服伏立康唑200mg BID及左氧氟沙星0.5g QD两周。
经治疗后,上述症状缓解不明显,主要症状为剧烈咳嗽、咳痰。遂复查胸部CT,提示双肺病灶较前进展。于2024年11月15日就诊于我院慢性咳嗽门诊,拟“双肺病灶 感染?肿瘤?”收治入院。
自起病以来,患者精神、胃纳、睡眠差,大小便如常,体重近4年来下降6KG,近1月下降约2KG。
查既往史及个人史,该患者有高血压、高脂血症,平素口服硝苯地平、波立维、阿托伐他汀治疗,血压控制在110/80mmHg。右上第三磨牙根尖周炎,未予特殊处理。有乙型病毒性肝炎10余年,规律服用恩替卡韦,未监测病毒复制。曾经从事废品回收多年,近4年在家照顾中风卧床家人。无烟酒史。2013年行甲状腺结节切除术、肠外脓肿引流术,术后无特殊。
图1:PET-CT提示右侧上牙槽区局部炎症,双肺多发斑片状、团块状及类结节灶
图2:外院tNGS提示白色念珠菌
图3:外院病理提示纤维素性机化性肺炎
2024年11月15日,患者入住我院后体格检查详见第三份卷宗:
卷宗3
体格检查:T:36.3℃;R:25次/分钟;P:100次/分钟;BP:123/53mmHg;吸氧下SpO2:97%(3L/min)。
神清,精神一般,口唇轻度紫绀。
右侧颌下淋巴结可触及肿大,直径约1cm,边缘较清,质中,表面光滑,活动良好。胸廓无畸形,听诊双肺呼吸音清晰,可闻及散在湿啰音,未闻及胸膜摩擦音。语音传导无异常。腹软,无压痛反跳痛双下肢无水肿,无杵状指趾。双下肢轻度凹陷性水肿。其余无特殊。
首先我们对患者病史进行总结:患者为老年女性,亚急性起病,照顾发热家人后出现反复咳嗽、咳痰伴气促,PET-CT提示右侧上牙槽区局部炎症,双肺多发斑片状、团块状及类结节灶,代谢不同程度增高,考虑特殊感染与肿瘤相鉴别,感染指标与肿瘤标记物稍高,tNGS提示白色念珠菌序列数明显升高,抗感染及抗真菌治疗效果不佳,胸部影像学表现仍进展。
因此,入院初步诊断:1.肺部多发病灶性质待定 特殊感染?肿瘤? 2.慢性乙型病毒性肝炎 3.高血压2级(极高危)4.中度贫血5.甲状腺右叶结节6.双侧乳房结节7.脂肪肝8.右上根尖周炎9.脑萎缩。
入院复查鼻窦+胸部CT提示:1、双侧上颌窦少许炎症 2、考虑左上肺前内基底段肺癌并两肺、胸膜多发转移,两肺门、纵膈淋巴结转移。3、左侧胸腔少量积液。
图4:胸部CT:双肺病灶抗感染治疗后仍进展
围绕“肺部多发球形结节待查”进一步查因思路?应重点筛查哪些指标?是否需与特殊病原菌、肺癌进行鉴别诊断?
讲述者:谢佳星
我们首先重点筛查血常规、降钙素原、G试验、GM试验、隐球菌抗原、风湿免疫、肿瘤标记物,同时抗细菌感染及抗真菌治疗无效,外院PET-CT除了肺部病变还有右侧牙槽炎症,需警惕特殊病原菌感染及肺恶性肿瘤。详见第四份卷宗:
卷宗4
实验室检查及其他检查
2024年11月
- 感染指标:
血常规(2024.11.15→2024.11.20→2024.11.23→2024.11.26): WBC 17.92 × 109/L,NE 82.1% →奈诺沙星抗感染3天→ WBC 13.60 × 109/L,NE 82.9% → 联邦倍能安针3天→ WBC 15.56 × 109/L,NE 79.7% →联邦倍能+奥硝唑2天→ WBC 16.17× 109/L,NE 82.6%
降钙素原 PCT(2024.11.15→2024.11.20→2024.11.23→2024.11.26):0.095ng/ml→奈诺沙星抗感染3天→0.088ng/ml→ 联邦倍能安针→0.160ng/ml →联邦倍能+奥硝唑静滴→0.200ng/ml
血沉(2024.11.16→2024.11.26):112mm/h→78mm/h
CRP(2024.11.21→2024.11.26):5.08mg/dl→9.03mg/dl
- 病原学指标:
G试验及真菌抗原二项、痰涂片、痰培养、BALF痰培养、Balf-结核分枝杆菌核酸检测阴性
Balf-DNAmNGS:未检出
左侧经皮肺穿肺组织DNA+RNA mNGS(2024.11.23):未检出
- 肿瘤及风湿免疫指标:
肺肿瘤五项: 神经元特异性烯醇化酶19.50ng/ml、CA125:131 U/ml;
免疫八项:IgG 4.41g/L、IgM 0.25g/L、β2微球蛋白 3.6mg/L;
TBNK细胞检测: T辅助/抑制细胞 1.11、 B淋巴细胞(CD3-CD19+) 3.2%、 T辅助淋巴细胞(CD3+CD4+)绝对计数 534 个/UL、 B淋巴细胞(CD3-CD19+)绝对计数 38个/UL
类风湿因子、抗核抗体、抗核抗体谱十一项、自身免疫性肌炎抗体谱检测、血管炎五项(间接免疫荧光法)均阴性。
- 咳嗽专科检查:
血嗜酸:0.1%(0.02×10^9/L)
总IgE(TIgE):159.63IU/mL;屋尘螨、屋尘、猫上皮、狗上皮、蟑螂、交链孢霉、柳树、艾蒿:0.18IU/mL;
呼出气一氧化氮测定 (FeNO):24ppb;
诱导痰细胞学分类:中性粒细胞比例:98.25%;巨噬细胞比例:1.25%;嗜酸性粒细胞比例:1%;淋巴细胞比例:0.5%;
Balf-细胞学分类:BALF中性粒细胞比例:98.5%;BALF巨噬细胞比例 1%;BALF嗜酸性粒细胞比例:0%;BALF淋巴细胞比例:0.5%;
Ø 其他化验指标:(正常的是否不要写具体结果,就合并一起写正常)
尿沉渣定量^尿干化学分析 : 细菌:33个/uL;未见隐血及蛋白
血传播八项 : 乙型肝炎病毒表面抗原:>250.00IU/mL;乙型肝炎病毒e抗体:2.92IU/mL;乙型肝炎病毒核心抗体:>10.00IU/mL;
HBV-DNA测定(定量):646IU/mL;
心梗鉴别六项、肝功八项、肾功、血脂四项、甲功、骨代谢五项大致正常。
- 影像学检查:
鼻窦+胸部增强CT:1.考虑左上肺前内基底段肺癌并两肺、胸膜多发转移,两肺门、纵膈淋巴结转移。2.左侧胸腔少量积液。3.双侧上颌窦少许炎症。
肺通气+激发:1.小气道功能障碍。 2.最大分钟通气量(MVV)轻度下降。激发试验阴性。备注:受检者检查配合佳。检查质量:FVC:A级,FEV1:A级。
支气管镜:1.支气管腔内未见异常。2.(支气管刷片)涂片可见纤毛柱状上皮细胞,大量中性粒细胞,未见癌细胞。3.淋巴结针吸活检:未发现肿瘤细胞
乳腺彩超:左乳低回声结节,BI-RADS分级为4a级。右乳 BI-RADS 1级。双侧腋窝多发肿大淋巴结声像。
颈部淋巴结彩超:双侧颈部皮下多发肿大淋巴结(最大长径2cm,最大短径<1cm)声像,建议复查。
妇科彩超,二维:子宫萎缩,未见明显占位性病变。 (声窗差,建议必要时经阴道超声检查)
心脏彩色超声(加心功能):主动脉瓣退行性变。主肺动脉增宽。肺动脉高压(轻度)。左室收缩功能未见明显异常。
甲状腺彩超:甲状腺右叶结节,C-TIRADS 3类,考虑结节性甲状腺肿。
肝胆脾胰+门静脉彩超:1、脂肪肝声像,血流未见异常。2、胆囊未见结石。胆总管上段未见明显扩张。3、脾脏、胰腺不大。
泌尿系彩超:1、双肾大小正常,未见结石及积液,双肾血流未见明显异常。2、双输尿管上段未见扩张。3、膀胱未见结石
综合上述检查结果,再次对该病例进行总结:老年女性,亚急性起病,剧烈咳嗽、少痰、呼吸急促,胸部CT提示双肺多发球形、实变病灶,感染、肿瘤指标稍高,风湿免疫指标不高,两次气管镜Balf-mNGS、EBUS(11R淋巴结)病理、B超引导下肺穿刺组织mNGS及病理均未明确感染及肿瘤依据,经验性抗感染治疗效不佳。我们需进行以下鉴别诊断:
图5:诊断分析路线图
(1)细菌感染
支持点:患者照顾发热家人起病,初期有发热,PET-CT提示右侧上牙槽区局部炎症,胸部CT表现为结节、实变影。
不支持点:多次病原学检查阴性,Balf-tNGS提示未见细菌。痰培养示肠杆菌科1+,碳青霉烯类及喹诺酮类抗感染无效。
(2)真菌感染
支持点:临床症状呈慢性病程,有反复咳嗽、咳痰、气促,Balf-tNGS提示白色念珠菌,胸部CT表现为结节、实变。
不支持点:G试验、GM试验阴性,氟康唑及伏立康唑治疗无效。
(3)特殊感染
支持点:临床症状呈慢性过程,临床症状有反复咳嗽、咳痰、气促,胸部CT可以表现为结节、实变,需注意隐球菌、马尔尼菲蓝状菌、非结核分枝杆菌感染可能。
不支持点:患者无免疫功能缺陷病史,免疫八项及TBNK未提示免疫功能明显下降,Balf-tNGS、Balf-mNGS、组织mNGS均未提示相关病原菌感染。
是否为非感染性疾病呢?
(4)系统性血管炎:
是以血管炎症与破坏为主要病理改变的一组自身免疫性疾病。
支持点:无感染相关证据,双肺多发类结节、实变影。
不支持点:血管炎相关抗体阴性,短期激素治疗无效。
(5)恶性肿瘤:
支持点:肿瘤指标稍高,PET-CT提示双肺病灶代谢不同程度增高,体重明显减轻。
不支持点:EBUS(11R淋巴结)病理、两次支气管镜肺组织活检及超声引导下肺组织活检均阴性。
(6)淋巴瘤:
支持点:双侧腮腺、右侧颈部、双侧腋窝、纵隔、双肺门区、左侧内乳区、右侧心膈角区、双侧髂血管旁及腹股沟区多发淋巴结反应性增生,体重明显减轻。
不支持点:肺组织病理组织学检查阴性,短期激素治疗无效。
鉴于目前检查未能明确病因,经全院MDT讨论后建议再次完善FAPI-PET-CT明确病因。
11月26日,再次行全身FAPI-PET-CT检查提示:1.右侧颞下部 FAP 高摄取肿块影,考虑为恶性肿瘤(间叶来源恶性肿瘤?恶性淋巴瘤?),建议核医学科分子影像PET/CT引导下穿刺活检(活部位见图)。2.双肺各叶多发结节、斑片及团块状实变病灶,FAPI摄取明显增高,对比外院2024-10-16PET/CT数目较前增多、范围较前增大,考虑为双肺多发转移瘤。3.双侧颈部(I、II区)、双侧肺门、纵隔内、双侧腋窝、左侧内乳区、心膈角区多发增大淋巴结。部分FAPI摄取增高,考虑为多发淋巴结转移。患者12月2日右侧颌面部活检病理结果回报:B细胞淋巴瘤,倾向弥漫大B淋巴瘤。骨穿结果:送检骨髓组织增生大致正常,三系均可见,粒红系大致正常,均以中晚幼阶段为主,巨核可见,以成熟分叶核为主,未见肿瘤。
图6:复查PET-CT提示右侧颌面部及双肺多发病灶代谢较前明显增强
图7:右侧颌面部病灶较前明显增强
图8:右侧颌面部组织活检提示弥漫大B淋巴瘤
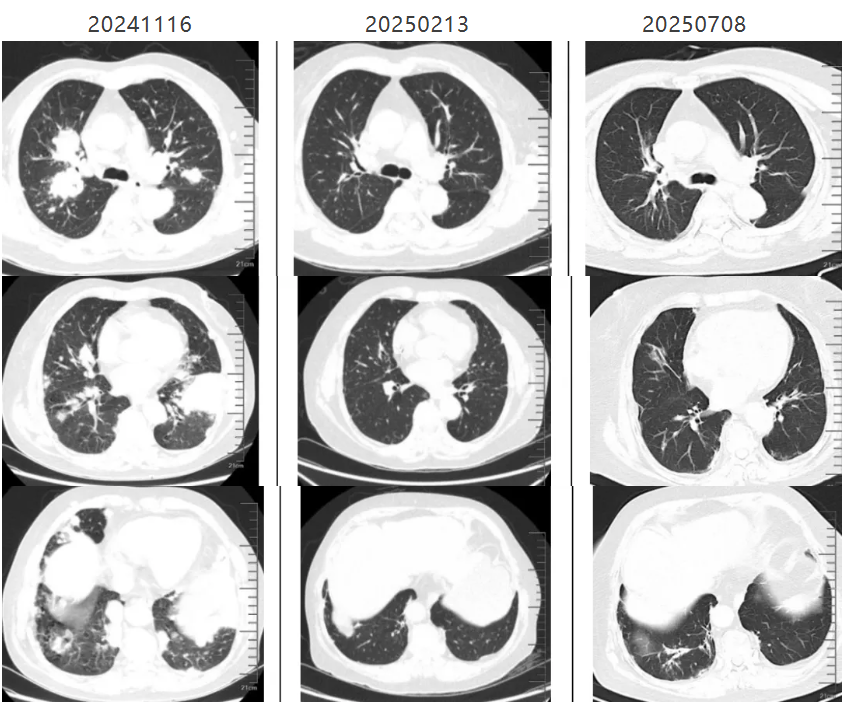
最终诊断为:弥漫大B淋巴瘤。诊断明确后,患者转入血液科进行下一步的治疗,治疗3周期后复查胸部CT提示病灶较前明显吸收,咳嗽症状明显好转。
图9:经淋巴瘤规范治疗胸部病灶明显吸收
图10:经淋巴瘤规范治疗后PET-CT提示代谢增高病灶明显减少
经历了曲折的诊治过程,我们能从中总结出哪些宝贵的经验与教训?
讲述者:陈彦
患者为老年女性,亚急性起病,以剧烈咳嗽、少痰、气促为主要表现的双肺多发类球形、实变病灶,起病初期有发热家人接触史、发热、血象稍高,初诊很容易考虑社区获得性肺炎,该患者围绕细菌性肺炎治疗效果欠佳,经积极肺泡灌洗液送tNGS诊断白色念珠菌,经验性予氟康唑、伏立康唑治疗,影像仍未改善。风湿免疫指标未见异常,肿瘤指标稍高,外院PET-CT提示右侧上牙槽区局部炎症和肺部病变,未提示肿瘤及肺外器官受累,我院经验性抗感染治疗病灶进展,Balf-mNGS、组织mNGS、气管镜下淋巴结活检(11R)、肺活检,B超引导下肺活检等三次组织活检均为阴性。再次完善FAPI-PET-CT提示右侧颌面部软组织代谢较1月前外院PET-CT明显增强,遂再次行超声引导下颌面部软组织活检病理提示弥漫大B淋巴瘤,经血液科规范诊治后肺部病灶明显吸收。
弥漫大B细胞淋巴瘤(diffuse large B cell lymphoma, DLBCL)是非霍奇金淋巴瘤(non-Hodgkin lymphoma, NHL)最常见的亚型,在NHL病例中约占1/4,通常表现为颈部或躯干有症状的淋巴结肿大,但也可表现为结外受累,1/3的患者有“B”症状(如不明原因发热、盗汗或体重减轻)。结内DLBCL可能会继而累及肝脏、肾脏、肺部、骨髓和中枢神经系统。结外/髓外受累常见于早期(即Ⅰ/Ⅱ期)疾病患者,胃和/或消化道其他部位最常受累,但其他任何组织几乎均可受累,包括睾丸、骨骼、甲状腺、唾液腺、扁桃体、皮肤、肝脏、乳腺、肾上腺、肾脏、鼻腔、眼附件、鼻旁窦、宫颈、阴道和中枢神经系统 [1-2]。
面部肿块为表现的淋巴瘤,报道并不多见。Knauss等 [3]报告了一例侵袭性皮肤间变性大细胞淋巴瘤病例,其表现为类似面部蜂窝织炎,从一个小粉刺仅在1个月内迅速发展为一个大的外生性肿块;Angharad等 [4]报道了一例B细胞非霍奇金淋巴瘤表现为右侧面部溃疡肿块,败血症和急性肾损伤而没有其他全身受累或B症状的证据;Jung等 [5]报道了一例滤泡性大B细胞淋巴瘤反复出现脸颊肿胀被误诊为季节性过敏,但两次细针穿刺(FNA)活检恶性肿瘤呈阴性,最终进行了手术切除才得以确诊。我们这例患者以肺部多发类结节实变病灶起病,3次肺组织活检均阴性,临床表现并无颌面部肿胀、破溃、突出皮面。
患者最后诊断为弥漫大B淋巴瘤,起病确实十分隐匿,首诊表现为剧烈咳嗽、咳痰、气促,外院PET-CT提示双肺多发病变代谢不同程度增强却多次mNGS病原学与病理学结果阴性,因病因不明且经验性治疗效果不佳,1月后再次完善PET-CT提示颌面部组织较前明显增大且代谢增强给出积极提示,最终经活检证实最后诊断为弥漫大B淋巴瘤,提醒我们如何把握时机进行再次全身评估对于最终诊断及治疗具重要意义。
赖克方教授点评
本例患者为老年患者,以剧烈咳嗽、气促起病,胸部CT提示双肺多发类结节、实变病灶,外院充分抗感染及短期试验性激素治疗效果欠佳转至我院,初始以感染性及非感染性疾病为鉴别诊断,因未找到有效证据,诊疗一度陷入困局。经过经验丰富的多学科专家团队协作会诊,提出重新复查PEC-CT才找到了面部进展的软组织影可能是唯一线索,后经B超团队精准化面部穿刺,病理科团队仔细辨识及免疫组化确诊“弥漫大B细胞淋巴瘤”。诊断明确后,经血液科充分评估最终诊断为“弥漫大B淋巴瘤 IVA期,IPI评分5分 高危组”,经4程R-CHOP方案治疗,复查病灶较前明显缩小,最为困扰患者的剧烈咳嗽也明显缓解,疑难“肺炎”才最终破局。该病例再次印证淋巴瘤可以伪装成任何“疗效不佳的肺炎”,只有进行充分地多学科合作才能将隐匿杀手及时锁定并转化为可治之症,给患者重新带来希望。
参考文献
1. Yang, Liu; Stefan Klaus, Barta. Diffuse large B-cell lymphoma: 2019 update on diagnosis, risk stratification, and treatment.Am J Hematol. 2019;94(5):604-616.
2. Jonathan W, Friedberg. New strategies in diffuse large B-cell lymphoma: translating findings from gene expression analyses into clinical practice. Clin Cancer Res. 2011;17(19):6112-7.
3. Knauss HM, Glosser LD, Beran A,et al. Anaplastic Large Cell Lymphoma Presenting as Ulcerative Facial Mass: A Case Report. Case Rep Oncol. 2022 ;15(1):199-206.
4. Anthony VA, Rees DO, Stephens JW. Isolated B-cell non-Hodgkin's lymphoma of the parotid gland presenting as an ulcerating facial mass and sepsis during an acute medical take. BMJ Case Rep. 2013.bcr2012008114.
5. Jung G, Lisi CV, Sivarajah S.Subcutaneous Facial Mass as a Rare Presentation of Follicular Lymphoma: A Case Report. Cureus. 2025.17(2):e79770.
专家介绍
赖克方
广州医科大学附属第一医院、国家呼吸医学中心、广州呼吸健康研究院;呼吸疾病全国重点实验室临床实验部主任;中华医学会呼吸病学分会哮喘学组副组长,中国医师协会呼吸医师分会哮喘工作组副组长,中国研究型医院学会环境医学分会副会长,中国医促会胃食管反流病学分会副主委,中国咳嗽联盟主席,ERS咳嗽联盟国际顾问,中国首部咳嗽指南起草者,欧洲呼吸协会(ERS)慢性咳嗽指南专家组成员,美国胸科医师学会(ACCP)咳嗽指南专家组成员。20余种SCI杂志和国内杂志编委和审稿专家。
谢佳星
广州医科大学附属第一医院、国家呼吸医学中心、广州呼吸健康研究院慢性咳嗽病房主任医师、学术型博士研究生导师;呼吸疾病全国重点实验室PI;欧洲呼吸学会长期奖学金获得者,全国卫生健康系统新冠肺炎疫情防控工作先进个人;《肺部嗜酸性粒细胞增多相关疾病鉴别诊断》第一主编(人民卫生出版社,2021)。
陈彦
副主任医师,医学博士,广州医科大学附属第一医院呼吸科内科慢性咳嗽病房副主任医师,硕士研究生导师, 广东省嗜酸粒细胞增多相关性肺疾病专业委员会常委,广东省呼吸困难专委会秘书长;主持中国博士后基金面上项目。研究方向:慢性咳嗽与重度哮喘。
* 文章仅供医疗卫生相关从业者阅读参考
本文完
采写编辑:冬雪凝;责编:Jerry
