摘要
Q热是由贝纳柯克斯体(coxiella burnetii)引起的一种自然疫源性人畜共患病。本文报道一例37岁男性患者,为牦牛接生后,出现头痛、发热、呼吸困难症状,通过支气管肺泡灌洗液的病原学检查诊断为Q热,给予机械通气、抗生素以及糖皮质激素治疗,患者恢复良好。Q热所致的重症肺炎较少,通过对该病例诊治过程的介绍,以期提高临床医生对本病的认识,避免误诊、漏诊。
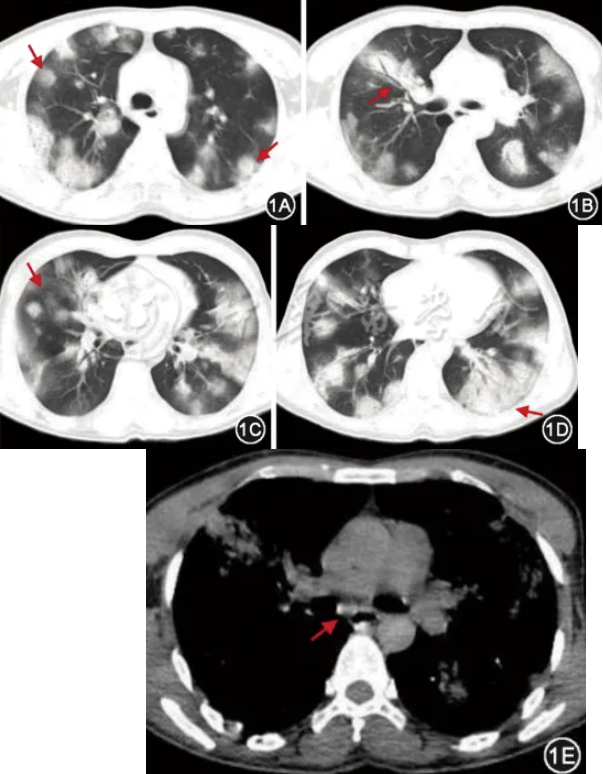
患者男性,37岁,藏族,牧民,主因“头痛10 d,发热、呼吸困难5 d”于2024年3月19日入院。患者10 d前出现头痛,以额部为主。5 d前出现发热,最高达39 ℃,伴呼吸困难,外院给予抗生素静脉滴注(具体不详),但呼吸困难加重。2 d前至急诊就诊,胸部CT提示双肺多发磨玻璃结节、渗出病变及实变,沿着支气管血管束分布(图1A~1D),7组淋巴结增大(图1E),头颅CT未见异常。动脉血气分析提示pH值为7.50,PaCO2为28 mmHg(1 mmHg=0.133 kPa),PaO2为39 mmHg(面罩吸氧8 L/min,拉萨,海拔3 650 m)。血常规提示白细胞计数、中性粒细胞计数增高(表1),淋巴细胞计数为0.45×109/L,血红蛋白172 g/L,血小板205×109/L。血生化提示丙氨酸转氨酶、天冬氨酸转氨酶及超敏C反应蛋白增高(表1)。血培养、鼻咽拭子呼吸道病原PCR、痰抗酸染色、结核分枝杆菌及利福平耐药检测(Xpert MTB/RIF)均阴性。急诊给予气管插管及机械通气,亚胺培南西司他汀钠(1 g,3次/d)及甲泼尼龙(40 mg,1次/d)静脉滴注,2 d后转入RICU住院治疗。既往体健,长居西藏浪卡子县(海拔4 450 m)。现吸烟15包年,偶尔饮酒。有食用生肉史。2024年1月在露天牧场为牦牛接生。
图1 2024年3月17日胸部CT可见双肺上叶类圆形磨玻璃结节(图1A,箭头),右肺上叶沿支气管血管束分布的实变(图1B,箭头),右肺中叶淡片状实变影(图1C,箭头),左肺下叶实变影(图1D,箭头),7组淋巴结增大,短径11.7 mm(图1E,箭头)
入院体检:体温36.4 ℃,脉率78次/min,呼吸频率28次/min,血压108/68 mmHg,双肺可闻及湿啰音,心、腹部未见异常,双下肢不肿。
入院实验室检查乳酸脱氢酶(LDH)为438 U/L(正常参考值:120~250 U/L),降钙素原升高(表1),诊断为重症社区获得性肺炎(severe community-acquired pneumonia,CAP)。入院当日行床旁支气管镜检查,镜下未见异常(图2),右肺下叶支气管肺泡灌洗液(BALF)为非血性,BALF的抗酸染色、Xpert MTB/RIF、细菌培养、真菌涂片、真菌PCR、呼吸道常见病原核酸均阴性。血液抗核抗体谱、抗中性粒细胞胞质抗体(ANCA)等免疫指标均阴性,B型脑钠肽为75.5 ng/L,心电图、心脏超声未见异常,非感染疾病相关肺炎或肺水肿的证据不充分。
图2 2024年3月19日支气管镜检查:图2A为左肺下叶基底段支气管,少量浆液性分泌物;图2B为中间段支气管,可见较多浆液性分泌物(箭头),未见黏膜水肿、出血;图2C为右肺下叶内基底段支气管,支气管开口周围黏膜轻微隆起(箭头)
考虑CAP,病因为细菌感染,结合影像学需考虑社区获得性耐甲氧西林金黄色葡萄球菌或非典型致病菌,加用左氧氟沙星(0.5 g,1次/d)和利奈唑胺(600 mg,2次/d)静脉滴注。血气分析提示pH值为7.47,PaCO2为33 mmHg,PaO2为64 mmHg(机械通气,呼吸末正压8 cmH2O,吸氧浓度为55%),患者为中度急性呼吸窘迫综合征(acute respiratory distress syndrome,ARDS),给予保护性肺通气策略,俯卧位通气(>12 h/d),继续甲泼尼龙(40 mg,1次/d)治疗ARDS。Padua评分为5分,下肢静脉超声未见血栓,给予低分子肝素100 U/kg预防性抗凝。
入院第4天,BALF的靶向高通量测序(targeted high-throughput sequencing,tNGS)回报病原体仅为贝纳柯克斯体,均一化序列数为85,微生物估测浓度为5.6×10^6/L,患者病情好转,撤离呼吸机成功,停用利奈唑胺、甲泼尼龙及左氧氟沙星,将亚胺培南降级为哌拉西林他唑巴坦(4.5 g,3次/d)静脉滴注,加用多西环素(100 mg,2次/d)口服,并转入普通病房。入院第10天好转出院,继续多西环素治疗15 d。出院后1个月复查胸部CT可见双肺渗出明显好转(图3)。
图3 2024年4月25日胸部CT可见双肺渗出性病变明显吸收,双肺散在磨玻璃影(图3A~3D),7组淋巴结减小,短径7.8 mm(图3E,箭头)
讨论
1937年,Derrick博士在澳大利亚昆士兰发现一种不明原因的发热,命名为Q热[1];后来Q热的病原菌命名为贝纳柯克斯体[2]。Q热是一种人畜共患病,贝纳柯克斯体具有广泛的宿主,其中包括哺乳动物、鸟类和节肢动物(主要是蜱),反刍动物是主要宿主[3]。人类通常通过吸入具有传染性的气溶胶而感染,这种气溶胶主要是由受感染动物的粪便、尿液或胎盘衍生物所形成,其中胎盘衍生物含菌量最大[3, 4]。根据感染时间和病原体存在状态,分为急性Q热和慢性Q热。如果急性Q热1个月后血清PCR仍为阳性,则可以诊断为慢性Q热,心内膜炎是本病慢性形式的常见标志[5]。本例患者入院前1个月为牦牛接生,追问病史,接生场地为露天牧场中的简易牛棚,暴露时间约1 h;在接生过程中,患者全程未采取戴口罩和手套等防护措施,近距离接触可吸入牛胎盘中产生的大量病原体气溶胶;接生后,未及时对身体进行清洁和消毒,衣物和皮肤上可能残留有贝纳柯克斯体,增加了感染风险。
1940年春,贝纳柯克斯体首次被认为是肺炎的病因[6];Q热肺炎多见于中年男性,通常伴有发热、咳嗽、呼吸困难及头痛症状[7];胸部的体格检查通常无显著特征,最常见的是吸气末湿啰音,约5%的Q热肺炎患者有脾肿大[6]。实验室检查,与其他微生物引起的肺炎相比,白细胞计数一般正常或低,而C反应蛋白水平通常较高,显著高于其他肺炎[7, 8, 9]。Q热肺炎的影像学有一定特征性,对法国75例患者的胸部CT分析结果显示,最常见的影像学征象依次为肺泡实变(89%)、磨玻璃影(69%)、淋巴结肿大(40%),且病变以单侧分布为主(67%),而缺少肺炎链球菌的支气管增厚或(微)结节特征[10]。另有文献报道Q热1 261例,其中肺炎1 003例(79.5%),50%的肺炎患者住院,10例住进ICU[2]。本病患者以头痛起病,后出现发热和进行性呼吸困难。转氨酶升高至正常参考值的3倍,血象及炎性指标升高,本患者的影像学具有特征性,外周分布以类圆形磨玻璃结节为主,叶段分布的以多发实变和渗出为主,无支气管壁增厚的支气管炎的特征,突出病原以气溶胶形式吸入、均匀播散至肺脏而导致肺泡炎症的特点,这和常见CAP的病因以及其他吸入性肺炎的影像学不同,符合Q热肺炎的典型特征。
Q热导致重症肺炎较少,进展成ARDS的病例罕见,我国报道了2例因延迟诊断而需气管插管和体外膜氧合等抢救措施的重症肺炎患者,后加用多西环素后好转[11, 12]。因其罕见且国内外的CAP病原鲜少提及贝纳柯克斯体[13, 14],导致本病例发病10 d内漏诊,从轻症发展为重症肺炎。虽然多西环素是Q热的首选治疗方案,但米诺环素、甲氧苄啶/磺胺甲噁唑、克拉霉素、阿奇霉素和氟喹诺酮类药物也有效[4,15]。本例患者在启用左氧氟沙星前体温恢复且C反应蛋白下降,考虑糖皮质激素治疗有效。有荟萃分析提示糖皮质激素能有效改善重症肺炎患者病情,降低血清CRP水平和缩短住院时间[16]。指南建议,中重度的ARDS患者在诊断后24 h内可短期加用糖皮质激素治疗[17]。本例患者在氟喹诺酮类药物联合糖皮质激素使用下,脱机成功,笔者认为短期糖皮质激素应用可能对缩短本例重症肺炎患者的机械通气时间有益,但未来需大规模临床干预研究验证。
西藏地区畜牧业较多,大部分牧民从事养殖业,存在卫生观念不强且防护意识差等情况;另外,西藏地区低氧、低压、寒冷、干燥的环境下更容易发生呼吸道感染,延长CAP患者的病程[18]。但Q热在西藏地区报道较少,笔者推测,认识和诊断手段不足是导致西藏地区近年来Q热报道甚少的主要原因。因条件限制,缺乏血清学证据[间接免疫荧光法(IFA)检测Ⅱ相IgG抗体≥1∶128或恢复期抗体升高4倍]是本病例的局限。通过支气管肺泡灌洗液tNGS诊断Q热肺炎,为Q热的诊断提供了一种新的选择[19, 20]。
总之,本案例强调对牧区具有人畜共患疾病的流行病学暴露史,以头痛、发热起病,伴转氨酶升高,影像学以实变和磨玻璃影为主而缺乏支气管炎症表现的重症CAP患者,抗菌药物应经验性覆盖贝纳柯克斯体。另外,下呼吸道分泌物的tNGS不失为不明原因肺炎的一种快速诊断手段。
参考文献(略)
作者:邱桂川 普布卓嘎 张妮 美朗曲措 刘盼 廖纪萍;第一作者单位:西藏自治区人民医院呼吸与危重症医学科,拉萨;通信作者:廖纪萍,北京大学第一医院呼吸和危重症医学科,北京
引用本文: 邱桂川, 普布卓嘎, 张妮, 等. 表现为Q热的重症肺炎1例[J]. 中华结核和呼吸杂志, 2025, 48(10): 953-956. DOI: 10.3760/cma.j.cn112147-20250326-00165.
本文转载自订阅号“中华结核和呼吸杂志”
原链接戳:【病例报告】表现为Q热的重症肺炎1例
* 文章仅供医疗卫生相关从业者阅读参考
本文完
责编:Jerry
