引言
BPA治疗CTEPH的疗效确切,经过不断总结和改进,尽管目前单次BPA并发症的发生率已降低至10%,但仍有可能发生严重甚至致命并发症。通过分享一例BPA术后迟发性大咯血并形成肺内巨大血肿患者的诊治经历,为肺内巨大血肿的内科处理提供一些诊治思路的参考。
从疑诊到手术治疗一切看似井然有序……常规心源性与肺源性呼吸困难鉴别均不支持时,哪些典型影像特征提示了慢性血栓栓塞性肺动脉高压的可能?
卷宗1
基本资料:男性患者,47岁,主诉“胸闷、气短1年余”,于2025年3月17日入住郑州大学第一附属医院呼吸与危重症医学五科。
讲述者:李鹏飞
患者1年余前无明显诱因出现活动后胸闷、气短,呈进行性加重,不能爬坡,平路快走数分钟则需停下休息,休息数分钟可缓解,伴恶心、呕吐,无咳嗽、咳痰、咯血、胸痛、心悸、多汗等不适。当地县医院反复就诊,按“焦虑症”予以治疗,症状无改善。患者居住于山村中,房前道路为坡道,自述无法爬坡而不敢出门,活动范围仅限于卧室,身心俱疲。既往“高血压”20余年,最高血压150/110 mmHg,口服“氨氯地平 1片 QD”,血压控制可;“反流性胃炎、食管裂孔疝”8月,未特殊处理。发现“糖化血红蛋白异常5月”,饮食控制血糖,未应用降糖药物。个人史、家族史无特殊。
5个月前,患者为求进一步诊治来我院门诊就诊。心电图提示V1-V4导联T波倒置、心电轴右偏;心脏超声提示右心增大、三尖瓣中度关闭不全、肺动脉高压(中度,估测肺动脉收缩压61mmHg);肺功能:FVC药前3.30L(71.2%)药后3.60L(77.7%)、FEV1药前2.72L(72.5%)药后2.88L(76.6%)、FEV1/FVC药前82.61%药后96.1%、TLC 5.11L(72.3%),DLCO SB 7.25mmol/min/kPa(68.9%),提示轻度限制性通气功能障碍,弥散功能轻度降低,舒张试验阴性;胸部CT:肺窗可见多发磨玻璃影,纵隔窗可见肺动脉主干增粗、双肺尖段及右下肺血管纹理稀疏。
患者为中年男性,胸闷1年,先从心源性和肺源性呼吸困难鉴别,常见病因有冠心病、心力衰竭、心脏结构性疾病、慢阻肺、哮喘等,常规检查结果均不支持上述诊断。但是,有经验的肺血管中心医生,可以从上述结果做出诊断,拟诊慢性血栓栓塞性肺动脉高压(CTEPH)。依据如下:1.劳力性呼吸困难,呈进行性加重。2.心脏超声显示三尖瓣关闭不全、肺动脉压力升高(图1),CT可见肺动脉主干增粗(图2),以上均提示肺动脉高压。3.高分辨CT肺窗可见马赛克灌注,纵隔窗可见双肺尖段及右下肺血管纤细、稀疏(图2),这其实是典型的CTEPH影像表现,慢性肺动脉血栓在平扫CT上表现为肺血管纤细或消失,远端肺血管不显影。告知患者及家属初步诊断,患者要求先回当地医院治疗。当地完善肺灌注显像、CT肺动脉造影(CTPA),诊断肺栓塞,给予“利伐沙班 20mg qd”口服抗凝,患者自觉胸闷较前稍缓解。
图1. 门诊心脏超声(2024-10-28)
图2. 门诊胸部CT(2024-10-28),可见双肺马赛克灌注,肺血管纹理稀疏
现患者仍活动后胸闷,心功能II-III级(WHO分级),院外已充分抗凝4月,再次来我中心就诊。入院完善相关检查。血常规、大小便常规、甲功三项、传染病筛查:未见异常;肝肾功、电解质、血脂、血糖:氯112.0mmol/L,碱性磷酸酶36U/L,胆碱酯酶3.31KU/L,余未见异常;炎症3项:PCT 0.055ng/L;CRP、IL-6、血沉未见异常;铁三项:不饱和铁结合力 18.3umol/L。NT-proBNP:620pg/mL。心肌酶、肌钙蛋白T:未见异常。血气分析(FiO2 21%):pH 7.4,pCO2 32.3mmHg,pO2 61.8mmHg,HCO3- 19.7mmol/L。血凝试验:PT 16.3 s; PT% 56.0%; INR 1.51; APTT 36.0s; TT 16.2s; Fib 2.0g/L; D-dimer 0.02mg/L。
图3. CTEPH诊断流程(PH为肺动脉高压;PTE为肺血栓栓塞症;V/0显像为肺通气/灌注显像;CTPA为CT肺动脉造影;CTEPD为慢性血栓栓塞性肺疾病;CTEPH为慢性血栓栓塞性肺动脉高压;如未开展V/0显像检查,即使CTPA存在典型慢性血栓征象,少数患者并不能诊断为CTEPH,因此仍建议行肺动脉造影检查。)
图4. CTPA 2025-3-18
图5. 肺通气灌注显像 2025-3-19
图6. 心脏超声 2025-3-19
患者拟诊CTEPH,按照CTEPH诊断流程(图3),完善CTPA(图4):右肺动脉分支远端显示不清,肺灌注显像(图5):左肺上叶及右肺大片状血流灌注减低/缺损,心脏超声(图6):右心扩大(右室前后径22mm,右房58×55mm)、TAPSE 24mm、三尖瓣轻度关闭不全(峰值流速4.5m/s)、肺动脉高压(重度,估测肺动脉收缩压99 mmHg)。右心导管检查结果示:mPAP 76/33(47)mmHg,CI 1.6L/min/m2,PVR12.3WU,SvO2:61.4%,RAP:8mmHg。肺动脉造影可见:双侧肺动脉及其分支广泛狭窄、闭塞病变,远端血流差,以右侧为重,血流多为0-1级(图7)。
图7 肺动脉造影
CTEPH除了诊断,还要进行求因。中国人常见遗传性风险因素包括抗凝血酶缺乏、蛋白C缺乏或蛋白C抵抗、蛋白S缺乏等。获得性风险因素众多,包括外科手术、创伤、骨折、因急性内科疾病住院治疗、恶性肿瘤、抗磷脂综合征等。此外,口服避孕药、雌激素类药物、抗肿瘤药物、三环类抗抑郁药,以及高龄、吸烟、肥胖、高同型半胱氨酸血症等因素同样增加血栓形成风险。本患者类风湿全套、结缔组织病全套、抗磷脂抗体谱、肿瘤标志物均未见异常,易栓症全套可见狼疮抗凝物可疑阳性,请风湿免疫科会诊,考虑抗凝药物影响狼疮抗凝物检测,抗磷脂综合征诊断依据不足。故血栓病因不明确。
对于确诊的CTEPH患者,除进行肺动脉高压相关的功能评价外,尚需评估血栓病变的部位与严重程度,同时判断血栓负荷与血流动力学的匹配性,以完整评估病情,做出治疗决策。进一步完善六分钟步行试验,6WMD 347米,结合NT-proBNP 620pg/mL、CI 1.6L/min/m2,纳入中危组。结合影像、右心导管及造影结果,患者右肺动脉多发闭塞、次全闭塞病变,肺动脉病变手术分级II级,血管阻力较大。最后,经过充分的诊断和病情评估,本中心进行了MDT,制定患者治疗方案,给予“那屈肝素 6150IU q12h 皮下注射”抗凝,“利奥西呱1mg TID 口服”降肺动脉压力,择期行经皮肺动脉球囊成形术(BPA)治疗。
BPA术后迟发性大咯血伴右下肺巨大血肿进行性增大,下一步处理策略该如何制定?
讲述者:王羽
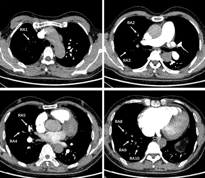
患者CTEPH诊断明确,血栓多为远端病变,有BPA适应征。于2025年3月21日夜间行BPA治疗。共治疗右肺下叶外基底段、后基底段、前基底段肺动脉,右肺中叶内侧段肺动脉4支血管及分支(图8)。整个操作过程顺利,术中无咳嗽、咯血,患者未诉特殊不适,安返病房。返回病房后15分钟左右,病人突发咳嗽、咯血,咯鲜红色血50ml,继而出现氧饱和持续下降至55%,烦躁、呼吸困难,心率114次/分,血压117/70 mmHg。给予止血药物应用,床旁气管镜下可见管腔较多鲜红色血液,以右侧为重,予以充分清理后,患者氧饱和可上升至90%左右。加查血常规,血红蛋白131g/L,相较于术前154g/L,下降23g。3小时后患者再次咯血,伴氧饱和、血压下降,床旁气管镜下可见管腔较多血性不凝固分泌物,予床旁气管插管、呼吸机辅助通气,生命体征平稳,再次复查血红蛋白118g/L。
图8 第一次BPA治疗 2025-3-21
BPA手术常见并发症包括再灌注肺水肿、肺血管损伤和肺动脉夹层等。
1. 再灌注肺水肿:BPA术中、术后可能发生再灌注肺水肿(RPE),其发生率6%,且mPAP和PVR越高,RPE发生率越高。BPA术中、术后患者出现气促加重、血氧饱和度下降、心率增快,咳泡沫痰、新出现的肺部湿啰音和影像学检查显示渗出病灶等,提示可能发生RPE。RPE的治疗应充分给氧,适度利尿,必要时使用无创正压通气治疗,严重病例需要尽早行有创呼吸机辅助通气或ECMO救治。
2. 肺血管损伤:肺血管损伤及咯血是BPA的常见并发症,发生率11.1%。操作过程中患者发生咯血提示血管损伤,通常由于操作不当,指引导管、导丝和球囊扩张等物理原因所导致。术中患者出现咳嗽、心率突然增加或突发指脉氧饱和度下降,即使未出现咯血也提示可能发生肺血管损伤,需暂停球囊扩张操作。BPA术中出现咯血时,建议使用球囊堵塞阻断血流以及鱼精蛋白中和普通肝素。如果持续出血可选择明胶海绵、弹簧圈栓塞或植入覆膜支架。确保咯血停止后方可撤出球囊、导丝和指引导管。
3. 肺动脉夹层:BPA操作过程中肺动脉夹层较少发生,可能与导管、导丝操作和对比剂推注有关。发生肺动脉夹层一般不需要处理,部分夹层可逐渐恢复。夹层合并咯血参照以上咯血处理策略。
BPA术后咯血常发生于术中,本患者术中未出现咳嗽、咯血、氧和下降,返回病房15分钟后(距离手术结束约50分钟)才出现大咯血,伴氧和下降。查阅文献,BPA引起血管损伤导致的咯血,因血管损伤程度、肺血管压力等因素,可发生于术中至术后3小时,本次患者术后咯血符合血管损伤的表现。治疗上,呼吸机辅助通气及升压药物维持生命体征,抗生素预防感染,PPI预防应激性溃疡,利尿改善再灌注肺水肿,利奥西呱将肺动脉压,停用抗凝药物预防再出血,监测血红蛋白、凝血及生命体征。
从2025年3月22日凌晨患者开始咯血,至3月24日,患者血红蛋白进行性下降(154g/L降至95g/L),提示活动性出血,3月25日至3月29日血红蛋白未再下降(图9),且患者氧和及意识逐渐好转,于3月26日拔管撤机。连续复查床旁胸片,提示右肺出血未再进展(图10),但3月28日胸片新发右下肺空洞,患者出现咳暗红色脓痰,为了一探究竟,我们在3月29日复查胸部CT。此时,CT显示右肺下叶团片状高密度影,内可见气体影,截面约110mm×97mm,考虑血肿(图11)。每间隔4天连续复查胸部CT,右下肺血肿竟有增大趋势(图11),面对如此巨大血肿,下一步又该如何处理?
图9 咯血后血红蛋白变化趋势
图10 患者咯血后连续监测床旁胸片
右下肺巨大血肿保守/介入/外科均不适用,如何在止血与清除血肿间开辟险中求生之路?
讲述者:代灵灵
患者胸部CT提示肺内巨大血肿,查阅文献,肺内血肿常见于肺挫裂伤,常见处理方式如下:1.少量出血,保守治疗,待血肿自行吸收;2.活动性出血,可考虑介入栓塞出血血管;3.外科手术,肺段或肺叶切除。本患者出血量较大,3-29血红蛋白102g/L,4-3再次下降至86g/L(图9),CT提示血肿体积增大(图11),考虑仍活动性出血。
图11 患者胸部CT
患者血肿治疗一方面要防止继续出血,另一方面如何处理血肿。
止血方面:1.停用抗凝药,动态监测血红蛋白、咯血量、血氧饱和度变化,预估是否继续出血。2.介入科会诊,可行肺动脉栓塞止血,但患者肺动脉压力高,栓塞肺动脉后可能造成肺动脉压力进一步升高,加重右心衰竭,故暂不考虑介入。停用抗凝药后,患者血红蛋白未再下降,4-7复查胸部CT血肿未再增大。
血肿处理:患者目前血肿稳定,血肿体积过大,压迫肺组织,占据胸腔体积,加重呼吸困难,不适合保守治疗。患者肺动脉压力高,全麻风险高,不建议外科手术治疗。仔细阅读4-7胸部CT,出血部位位于右肺下叶前基底段和外基底段,血肿内液性暗区与气体密度区混杂,影像类似肺脓肿,是否可参考肺脓肿穿刺置管引流原则,引流血肿?反复与外科沟通,方案可行,在血红蛋白稳定后,于4-7行超声引导下行血肿穿刺置管引流,引流出暗红色不凝液体。继续引流3天,共计流出800ml液体,4-10复查胸部CT,血肿明显吸收(图12),血红蛋白无下降、患者呼吸困难较前缓解。但患者D-二聚体明显升高,考虑目前无活动性出血,避免血栓形成,平衡出血与抗凝,予普通肝素抗凝,监测APTT,实时调整肝素用量。
图12 血肿引流后复查CT
患者血肿引流初期顺利,后则引流缓慢,参照气胸负压引流方法,予小梯度负压持续引流(图13),前期引流量增加,后期引流量减少。血肿液性成份得到充分引流,但血凝块尚存。考虑目前血凝块尚新鲜,参照血管内溶栓方法,拟局部小剂量尿激酶注射溶解血凝块,短期保留,及时抽吸,防止血管破裂再次出血。予尿激酶 IU注入,保留 分钟,抽吸出大量血凝块(图13)。反复3次尿激酶注射,监测血红蛋白无下降,引流无新发出血,患者呼吸困难明显改善。4-20复查胸部CT,血肿明显吸收,右下肺复张,拔除引流管,翌日出院。
图13 负压引流血肿,注射后尿激酶抽出的血凝块
随后半年内,患者陆续接受4次BPA治疗,开通其余肺动脉分支,患者肺动脉平均压降至 20mmHg,心功能I级,6WMD 487米,患者可从事正常体力劳动,达到临床治愈(图14)。
图14 患者从事日常体力劳动
程哲主任点评
BPA治疗CTEPH的疗效确切,但需要注意操作安全。经过不断总结和改进,尽管目前单次BPA并发症的发生率已降低至10%,但仍有可能发生严重甚至致命并发症。因此,手术操作过程中,需要严格按照操作规范,分阶段/分次逐渐扩张策略;对于mPAP≥40mmHg,PVR>7WU的患者,首次操作球囊选择建议≤2.5mm;优先处理网状狭窄和环状病变,应尽最大可能避免并发症发生。
本例患者BPA手术后出现迟发性咯血,并形成肺内巨大血肿。治疗过程中,在稳定生命体征的基础上,需要注意出血与抗凝的平衡、预防感染、降肺动脉压等。在巨大血肿的处理方法上,本病例提供了一份宝贵的经验:理论上参照肺脓肿穿刺引流、气胸负压吸引、尿激酶溶栓的原理,在安全性和可行性下,进行血肿穿刺引流、负压吸引、小剂量短时间尿激酶保留,综合处理巨大血肿。
专家介绍
程哲
从事专业:呼吸与危重症医学科,特别在肺栓塞与肺动脉高压,慢性气道病,感染性疾病,肺癌,间质性肺疾病,以及疑难杂症方面颇有造诣;郑州大学第一附属医院主任医师、教授,医学博士、硕士/博士研究生导师、博士后导师;郑州大学第一附属医院质控处处长;入选中原英才计划(育才系列)-中原医疗卫生领军人才;河南省优秀青年科技专家、河南省卫生科技创新型人才;河南省医学会内科学分会 主任委员;中华医学会内科学分会委员;河南省肺栓塞与肺动脉高压诊疗中心 主任;河南省静脉血栓栓塞症诊疗质量控制中心 主任委员;中华医学会呼吸分会基层学组委员;中国医师协会肺栓塞与肺血管病工作委员会委员;河南省医学会呼吸分会副主任委员;中国康复医学会呼吸康复慢病学组副组长;河南省呼吸与危重症学会肺栓塞与肺血管病分会主任委员。
代灵灵
郑州大学第一附属医院呼吸与危重症五科主治医师,博士。主要研究方向:肺栓塞与肺血管疾病。学术兼职:河南省医学会呼吸分会青年委员,河南省医学会呼吸分会感染学组委员,河南省呼吸与危重症学会肺栓塞与肺血管病分会青委会副主委兼秘书,河南省医学会呼吸病学分会第一届慢阻肺联盟秘书。
李鹏飞
医学博士,郑州大学第一附属医院呼吸与危重症医学科主治医师,河南省呼吸与危重症学会肺栓塞及肺血管病分会青年委员会秘书。2013年毕业于郑州大学获医学学士学位;2016年硕士毕业于郑州大学第一附属医院;2019年博士毕业于中南大学湘雅医院。目前参与国家自然科学基金4项,以第一作者发表SCI论文3篇,以参与作者发表SCI论文16篇,获得国家实用新型专利2项。研究方向为:慢性气道疾病、肺血管病和急性中枢神经系统损伤后肺炎的临床与基础研究。
王羽
医学博士,郑州大学第一附属医院呼吸与危重症医学科主治医师,河南省呼吸与危重症学会肺栓塞及肺血管病分会青年委员会秘书。2013年毕业于郑州大学获医学学士学位;2016年硕士毕业于四川大学华西医院;2019年博士毕业于四川大学华西医院。曾参与国家“十二五”传染病防治重大专项、多项国家自然科学基金委面上项目,主持国家自然科学基金委青年基金1项,以第一作者发表SCI论文6篇,另以参与作者发表SCI论文20余篇。研究方向为:结核病与抗结核药物性肝损害的分子遗传,慢性气道疾病、肺血管病的发病机制和临床应用。
* 文章仅供医疗卫生相关从业者阅读参考
本文完
采写编辑:冬雪凝;责编:Jerry
