引言
在呼吸科的临床舞台上,肺部肿块与纵隔淋巴结肿大常如一对“孪生兄弟”,引发的是对恶性肿瘤最直接的警惕。然而,当一位有着50年烟龄的71岁男性,其胸部CT上呈现右下肺占位伴纵隔多发淋巴结肿大,血清中却飙升至正常值近两倍的IgG4,一场关于诊断方向的深刻博弈就此展开。究竟是肺癌晚期的典型表现?还是一种善于伪装、累及全身的免疫性疾病的局部显露?本案例将带领我们拨开迷雾,见证从“肺癌疑云”到“IgG4相关性疾病”确诊的曲折历程,深入探讨这一疾病在诊断中的“模仿秀艺术”、病理活检的关键作用以及长程管理的精细策略。
右肺下叶占位、伴阻塞性肺炎,纵隔和右肺门增大淋巴结都指向肿瘤嫌疑,但一项检验结果却发现了不和谐信号
卷宗1
基本资料与病史:患者凌某,男性,71岁,主诉“反复咳嗽、咳痰2月余,发现肺部阴影1月”。
讲述者:田禾燊
一切始于两个月前,患者无明显诱因出现阵发性咳嗽,咳少量白色粘痰,晨起尤甚。伴随而来的是活动后的胸闷气促,静息时可缓解。无发热、胸痛、咯血等“警报”症状。起初并未重视,直至症状持续,于当地县医院行胸部CT检查。影像报告打破了平静:右下肺团片状高密度影,边界欠清,考虑占位性病变;纵隔7组淋巴结明显增大,余纵隔淋巴结亦见轻度增大。
“肺癌伴纵隔淋巴结转移”,这是萦绕在当地医生和患者家属心头最沉重的初步判断。患者随即转至我院寻求进一步诊治。
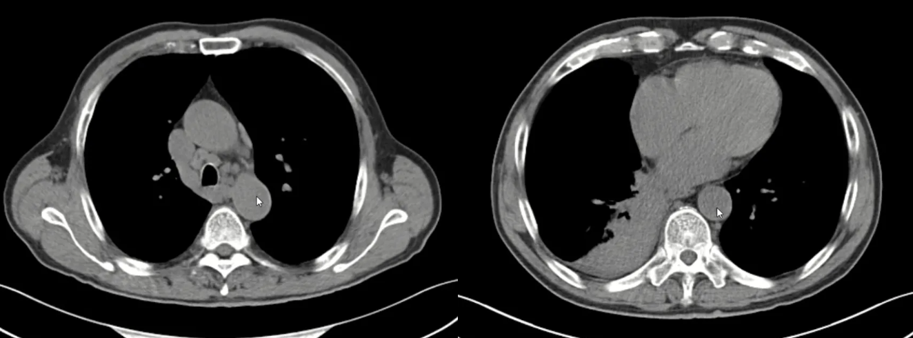
我院首次与患者病情交锋是在2025年6月,患者入院后,我们为其复查了胸部CT。影像学报告依旧冷峻:右肺下叶占位,考虑恶性肿瘤可能大,伴远端阻塞性肺炎、癌性淋巴管炎可能;纵隔及右肺门多发淋巴结肿大。当时看来,肿瘤的影像学特征似乎十分典型。
图1:外院肺部CT
然而,实验室检查却给我们的判断投下了一道“阴影”:血清免疫球蛋白G4(IgG4)高达3.86 g/L(正常参考范围:0.03-2.01 g/L)。这是一个明确的升高信号。尽管肿瘤性疾病也可能伴随非特异性的免疫球蛋白变化,但如此显著的IgG4升高,我们不得不拓宽鉴别诊断的思路。
我们迅速进行了支气管镜检查,并对纵隔7组、4L组淋巴结进行了超声支气管镜引导下经支气管针吸活检(EBUS-TBNA),同时行支气管肺泡灌洗。可是,灌洗液病原学检查(包括NGS)未见明确病原体,淋巴结穿刺活检的病理回报更是令人困惑:(7组淋巴结)见淋巴细胞,免疫组化:IgG(背景+),IgG4(仅约1个阳性细胞/高倍视野)。
显而易见,病理结果既不支持肿瘤,也远未达到诊断IgG4相关性疾病(IgG4-RD)的细胞数量标准。
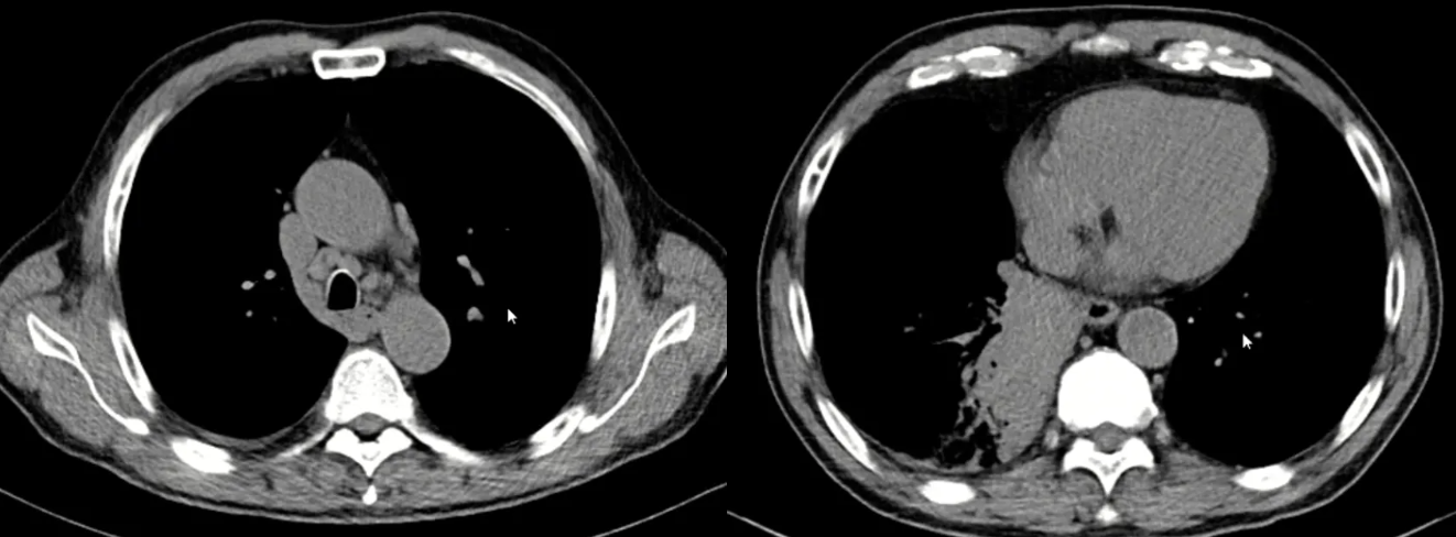
因目前气管镜病理无法明确诊断,建议患者行肺穿刺,但患方顾虑肺穿刺风险,要求先抗感染治疗以后观察。我们给予了为期三周的莫西沙星治疗。治疗结束后,于2025年7月22日复查胸部CT,这时的结果又让“感染”的假设落空了:肺部病灶与淋巴结大小较前无明显变化,右侧胸腔积液甚至稍有增多。
图2:抗炎治疗一个月后复查肺部CT
到这时,我们面临的临床鉴别诊断困境已十分明显。来总结一下患者的情况:患者为老年男性,重度吸烟史,影像学高度怀疑肺癌,但抗感染无效,且存在一个显著的血清学异常,IgG4升高。是两种疾病并存(肺癌合并某种导致IgG4升高的状态)吗?还是根本就不是肺癌?
面对这个僵局,我们启动了系统性鉴别诊断程序。患者再次收治入院,进行更深入的“全身侦察”。
1.病史再挖掘:除了长期吸烟饮酒史,还有一个重要线索浮出水面,因为患者自述于2024年12月,曾因“左侧腮腺肿块”在外院行手术切除,但术后具体病理报告遗失。这一个信息立刻引起了我们的高度警觉,因为唾液腺(如腮腺、颌下腺)正是IgG4-RD最常累及的器官之一。但这是巧合还是同一系统性疾病在不同时间、不同部位的表现?打个问号。
2.全面辅助检查,为诊断与鉴别铺路:二次血清学(2025-07-26),IgG4进一步升至4.24 g/L,补体C3、C4、C1q均降低,血κ轻链升高。这组指标强烈提示B细胞活化、浆细胞增殖及补体系统消耗,更符合免疫增殖性疾病而非单纯肿瘤;全身影像学筛查:我们安排了头颅MRI、全腹增强CT、心脏彩超、浅表淋巴结超声。结果回报:除已知的肺部病变,胰腺形态正常,腹膜后未见明确纤维化或肿块,其他实质脏器未见占位。这在一定程度上降低了隐匿性肿瘤广泛转移或淋巴瘤的可能性;胃肠内镜检查:仅提示慢性胃炎与结肠息肉(已摘除),未见肿瘤性病变。
3.新发挑战是血小板减少的谜题:患者在住院期间,常规复查血常规发现血小板计数从1个月前的120×10⁹/L显著下降至61×10⁹/L。这又引发了我们新的担忧:是否为骨髓转移?血液系统肿瘤?于是我们立即进行了骨髓穿刺活检。骨髓涂片与活检病理回报:骨髓造血组织大致正常,未见肿瘤细胞浸润或异常增殖。流式细胞术也未检测到克隆性浆细胞或淋巴瘤细胞。请血液科会诊,血液科考虑,血小板减少可能与慢性炎症、免疫活跃状态有关。这非但没有将我们引向肿瘤,反而更指向了全身性免疫炎症性疾病可能导致的血液系统受累。
思考题:初次的淋巴结穿刺活检(TBNA)无法明确诊断,既无肿瘤证据,抗炎治疗也无效,下一步该何去何从?
影像学上纵隔淋巴结肿大的鉴别诊断有哪些?小心内镜检查暗藏玄机!
讲述者:张浩
以下是我们对影像学上纵隔淋巴结肿大的鉴别诊断流程图:
因支气管镜TBNA获取组织量小、可能为反应性增生区域,未能抓住病变核心。要打破诊断僵局,必须获取更具代表性、更大量的病变组织。我们决定将目标转向肺部肿块本身,行肺穿刺活检。我们充分向患方交待肺穿刺病理活检的重要性,患者同意肺穿;评估后采取了B超引导下穿刺,可更好地避免损伤血管。这次肺穿刺活检的病理报告,成为照亮整个病例的灯塔。
图3:超声引导下右肺肿块穿刺活检;黄色箭头可见漩涡状改变,又称席纹状纤维化。
大体描述:穿刺组织呈灰白色,质韧。
镜下所见(核心发现):
慢性炎症浸润:可见大量淋巴细胞、浆细胞弥漫性浸润于肺间质。
特征性纤维化:间质明显纤维组织增生,胶原沉积,部分区域呈现典型的 “席纹状”(storiform)或“车轮状”排列,这是IgG4-RD较具特征性的组织学模式之一。
免疫组化(确诊关键):
IgG染色显示大量浆细胞阳性。
IgG4染色显示:IgG4阳性浆细胞密集浸润,计数 > 10个/高倍视野(HPF),且IgG4阳性细胞数占IgG阳性细胞数的比例 > 40%。
其他标记(如CK、TTF-1等)排除了肺癌。
诊断:IgG4相关性疾病(IgG4-RD),累及肺部及淋巴结。
至此,如何拨云见日?我们做了一个诊断依据与鉴别要点的总览:
根据2020年修订的IgG4-RD综合诊断标准,本例确诊无疑:
临床特征:单个器官(肺)出现肿块样病变 + 多发淋巴结肿大。
血清学:血清IgG4 > 135 mg/dL(本例为424 mg/dL)。
病理学:满足以下三条中的两条(本例全满足):
致密淋巴浆细胞浸润伴纤维化。
IgG4+/IgG+ > 40% 且 IgG4+浆细胞 > 10/HPF。
席纹状纤维化或闭塞性静脉炎。
深入鉴别诊断——IgG4-RD的“模拟疾病”:
感染:细菌、真菌感染,大量浆细胞和慢性炎症的浸润会导致与IgG4-RD相似;组织细胞病:Rosai-Dorfman disease(罗道病)、Erdheim-Chester Disease(ECD),多中心Castleman病;需依靠特征性病理形态和免疫组化(如S-100、ALK等)鉴别,本例未见相关特征。
肿瘤:浆细胞瘤、淋巴瘤(伴浆细胞分化)、炎性肌纤维母细胞瘤、滤泡树突状细胞肿瘤以及一些癌症;ANCA相关性血管炎(GPA,EGPA);结缔组织病及自身免疫性疾病:干燥综合征、炎性肠病、桥本氏甲状腺炎。
诊断明确后,治疗目标从抗肿瘤彻底转向抗炎和免疫调节……邀请风湿免疫科共同制定长期管理方案
讲述者:田禾燊
诊断明确后,我们的治疗目标从抗肿瘤彻底转向抗炎和免疫调节。同时邀请风湿免疫科共同制定长期管理方案如下:
1.初始诱导治疗(2025年8月起):
糖皮质激素:作为一线基石药物,起始足量泼尼松40mg/日(约0.6mg/kg/d),旨在快速控制炎症、缩小肿块。
辅助治疗:同步给予质子泵抑制剂护胃、钙剂及维生素D预防骨质疏松,并予复方磺胺甲噁唑预防耶氏肺孢子菌肺炎。
2.维持与减量阶段:
治疗2周后,患者咳嗽、气促症状明显好转。激素开始规律减量,计划在3-4个月内减至小剂量(≤10mg/日)维持。
鉴于患者基线IgG4水平高、有多部位(肺、淋巴结、可能的历史腮腺)受累,属于复发高危人群,我们在激素减量至30mg/日时(2025年8月底),早期联用了免疫抑制剂——吗替麦考酚酯(1g/日),以巩固疗效、减少激素用量和预防复发。
3.疗效随访结果是令人鼓舞的回应:
临床症状:咳嗽、咳痰基本消失,活动耐力恢复。
影像学(治疗后1个月,2025年8月28日CT):右肺下叶阻塞性肺炎显著吸收,实变范围缩小;纵隔及肺门肿大淋巴结明显缩小;右侧胸腔积液基本完全吸收。对比治疗前后CT,变化一目了然,充分证实了病变对免疫抑制治疗的敏感性。
图4:激素治疗1月后复查肺部CT
血清学标志物:IgG4水平成为监测疾病活动的良好指标。从治疗前的4.24 g/L,稳步下降至2.20 g/L(2025年8月)→ 1.25 g/L(2025年9月)→ 0.78 g/L(2025年11月,已接近正常)。
血小板计数:也随着炎症控制而逐渐回升至正常范围。
4.长期管理计划:
患者目前处于小剂量激素(泼尼松7.5mg/日)联合吗替麦考酚酯的维持治疗阶段。计划长期随访,监测症状、血清IgG4、影像学变化及药物副作用,目标是实现疾病的长期缓解,保护肺功能,提高生活质量。
周华主任点评
本案例是一堂生动的临床思维教学课。它深刻地揭示,在面对一个具有强烈“肿瘤预警”因素的患者时,保持诊断的开放性是何等重要。本案的转折点,始于对 “不协调数据” 的执着探究:即影像学提示的“恶性”与血清IgG4显著升高、抗感染无效之间的矛盾。
它彰显了多学科协作(MDT)的价值:呼吸科、影像科、病理科、风湿免疫科、血液科的专家们从不同角度审视同一病例,最终汇聚到正确的诊断。尤其是病理科,在获取了高质量的组织标本后,提供了无可辩驳的诊断金标准。
诊断IgG4-RD,本质上是一场 “排除法”的智慧游戏。它要求临床医生像侦探一样,系统地排查肿瘤、感染、其他免疫性疾病等一系列“嫌疑人”,才能最终锁定这个“伪装大师”。本例中,对既往腮腺肿块病史的追溯、对血小板减少的深入探究、以及果断进行肺穿刺活检的决定,都是成功破案的关键步骤。
在治疗上,本案体现了对IgG4-RD这一慢性、易复发疾病的全程管理理念。没有停留在诊断和初始治疗,而是制定了包括诱导、维持、减量、监测、预防复发在内的长期策略,并重视患者教育,这正是现代医学从“治病”到“治人”的体现。
从“肺癌疑云”到“IgG4-RD确诊”,改变的不仅是一个诊断名称,更是患者完全不同的治疗路径、预后预期和生活质量。这个病例提醒我们,在呼吸系统疾病的诊断迷宫中,当最常见的路径看似被堵死时,或许需要点亮另一盏灯,去照亮那些罕见但至关重要的可能性。
参考资料
[1] Umehara H, et al. The 2020 revised comprehensive diagnostic (RCD) criteria for IgG4-RD. Mod Rheumatol. 2021.
[2] Wallace ZS, et al. The 2019 ACR/EULAR Classification Criteria for IgG4-Related Disease. Arthritis Rheumatol. 2020.
[3] 中华医学会风湿病学分会. IgG4相关性疾病诊治中国专家共识. 中华内科杂志,2021.
专家介绍
田禾燊
浙江大学医学院附属第二医院呼吸与危重症医学科主治医师 博士;主持及主参多项省部级及国自然项目,第一作者(含共同)发表SCI论文7篇;参编专著《呼吸病学(第三版)》。
张浩
浙江大学医学院附属第二医院呼吸与危重症医学科副主任医师,博士;浙江省医师协会呼吸医师分会青委会委员;浙江省医师协会呼吸医师分会烟草依赖和控烟工作委员会副组长。
* 文章仅供医疗卫生相关从业者阅读参考
本文完
采写编辑:冬雪凝;责编:Jerry
