摘要
本文报道1例46岁男性肺毛霉病患者,既往糖尿病史,血糖控制不佳。胸部影像学表现为迅速进展的双肺斑片影合并多发空洞,支气管镜下表现为多发段及以下支气管菌栓阻塞。先后给予患者局部雾化及口服或静脉滴注抗真菌药物、支气管镜下钳取菌栓联合镜下灌注两性霉素B脱氧胆酸盐治疗效果不显著,在支气管镜取栓过程中曾出现气道大出血,经球囊封堵有效止血,后用细支气管镜探查并钳取亚段以下支气管菌栓、结合患者胸部CT表现调整灌注方法(增加灌注药量、液体容量和频次),患者病情好转出院。本病例是药物联合支气管镜介入成功治疗肺毛霉的典型病例,在支气管镜介入治疗方面较既往指南有所创新,强调了个体化治疗方案的重要价值。
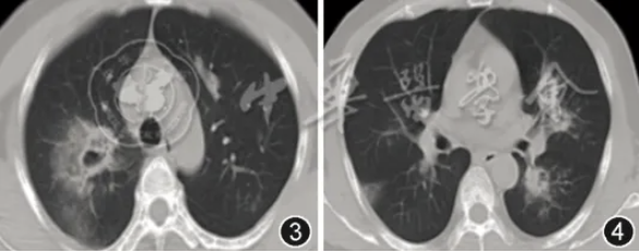
患者男,46岁,主因“咳嗽、咳痰伴发热27 d”于2025年1月27日入院。患者27 d前无明显诱因出现咳嗽、咳少量白黏痰伴发热,体温最高38.6 ℃。当地医院查血甲流IgM(+),胸部CT示双肺斑片影(图1,2),给予口服奥司他韦抗甲流、头孢菌素联合左氧氟沙星抗细菌治疗10 d后,复查胸部CT示双肺多发实变影伴空洞形成(图3,4),经验性加用伏立康唑抗真菌治疗1周后复查胸部CT示病变仍进展(图5,6)。既往史:2型糖尿病8年,口服二甲双胍、阿卡波糖、皮下注射甘精胰岛素治疗,未规律监测血糖;高血压1年,血压最高达170/100 mmHg(1 mmHg=0.133 kPa),未治疗及监测血压。无烟酒嗜好,否认过敏史,家族史无特殊。
图1,2 2025年1月4日胸部CT示双肺散在斑片影
图3,4 2025年1月14日(经抗甲流+抗细菌治疗10 d后)胸部CT示双肺多发实变影伴空洞形成
图5,6 2025年1月27日(经验性伏立康唑治疗7 d后)胸部CT示双肺多发实变伴空洞影较前进展
体格检查:体温37.8 ℃,脉率78次/min,呼吸频率20次/min,血压161/112 mmHg。神志清楚,精神稍弱,慢性病容,口唇无发绀,浅表淋巴结未触及,双肺呼吸音粗,未闻及干湿性啰音。心腹未见异常,无杵状指(趾),双下肢无水肿。
外院检查:随机血糖24 mmol/L,乳酸2.14 mmol/L,糖化血红蛋白11%,血白蛋白31.7 g/L;尿常规:尿糖4+,酮体-;淋巴细胞亚群及绝对计数:CD4+T淋巴细胞398个/μl,B淋巴细胞65个/μl;支气管肺泡灌洗液(BALF)mNGS:少根根霉。CRP 24.2 mg/L;血常规、降钙素原正常,血(1-3)-β-D葡聚糖检测(G试验)、曲霉菌半乳甘露聚糖检测(GM试验)、呼吸道病原学6项核酸、新冠病毒核酸、痰细菌学、痰真菌、结核杆菌DNA均阴性。肝肾功、凝血6项、BNP、心肌酶、肌钙蛋白I、肿瘤标记物均正常;自身抗体谱、抗核抗体、ANCA、类风湿因子、抗链O均阴性;超声心动图、腹部超声无异常。
入院诊断肺毛霉病,予泊沙康唑肠溶片口服联合两性霉素B脱氧胆酸盐(AmBD)雾化,治疗1周后患者咳嗽、咳痰及发热症状无好转,每日体温仍波动于37.5 ℃至38.5 ℃,复查支气管镜见双肺多发段及以下支气管内白色坏死物阻塞,给予毛刷刷检坏死物送检荧光真菌染色快速现场评价(rapid on-site evaluation,ROSE)提示毛霉(图7)。调整方案为:一周3次气管镜下介入治疗清理菌栓及AmBD(15 mg AmBD+30 ml灭菌注射用水)局部灌注治疗;同时加用两性霉素B脂质体(L-AmB)静脉滴注,起初药物浓度5 mg·kg-1·d-1,治疗2 d后患者出现急性肾功能不全,遂减量至3 mg·kg-1·d-1,监测肾功能仍进行性恶化,故停用L-AmB。因患者出现恶心、呕吐,换用艾沙康唑注射液静脉滴注治疗。
图7 坏死物刷片荧光真菌染色ROSE阳性,菌丝体呈飘带征,无分隔,考虑毛霉 免疫荧光染色 高倍放大
讨论
金艳坤(呼吸与危重症医学科):本例病例特点:(1)中年男性,急性起病,亚急性病程;(2)既往2型糖尿病,血糖控制差;(3)以咳嗽、咳嗽伴发热为主要症状;(4)起病时甲流IgM阳性,病初随机血糖24 mmol/L,BALF送检mNGS回报少根根霉;支气管镜刷检坏死物送检荧光ROSE提示毛霉;(5)胸部CT提示双肺散在斑片影、结节影进行性增多,右上肺出现空洞并进展;经积极抗感染(甲流+细菌+曲霉)治疗,病情仍进展。
董格红(病理科):组织病理学是毛霉病确诊的重要手段,鉴别毛霉主要依靠对其形态学的观察:与其他侵袭性真菌相比,毛霉丝最大径7~25 μm,粗细不均,呈宽大、飘带状,无分隔或少分隔,可见45°~90°的不规则分支。特殊染色可以使真菌成分更清晰:六胺银染色菌丝呈黑色,PAS染色菌丝呈紫红色。此例患者多次送检支气管镜刷片和菌栓组织印片荧光ROSE均显示为典型的毛霉。毛霉感染组织时可出现中性粒细胞浸润、片状凝固性坏死,而肉芽肿性炎少见;菌丝可侵犯血管,出现坏死性血管炎、血栓形成、组织梗死[1],因而肺毛霉病患者极易出现大咯血。
王宝增(感染科):毛霉广泛存在于自然界中,其孢子可通过鼻腔、结膜或口腔进入人体,引起机会性感染[1]。人类致病毛霉中最常见的是根霉属,其次是横梗霉属、毛霉属和根毛属等,根霉属中又以少根根霉(既往称米根霉)最为多见。目前尚无针对毛霉感染的血清学检测方法,诊断主要基于:(1)宿主危险因素;(2)毛霉病的临床表现,或特征性影像学表现;(3)微生物学证据;(4)组织病理学证据。拟诊:1+2;临床诊断:1+2+3;确诊:1+2+3+4[2, 3];本例患者可临床诊断毛霉病。毛霉的菌丝易被包裹在坏死组织中不易脱落,因而痰液的菌丝量少不易被检出,同时菌丝脆弱易碎导致组织培养阳性率低。鉴于毛霉病发展迅速,早期高效的诊断是治疗成功的关键,目前更倾向对于高度怀疑肺毛霉病患者,尽早进行支气管镜检查获取刷检、BALF或组织标本,并采用直接镜检、分子生物学(mNGS)、病理等多种技术联合检测的策略[4, 5]。
丁彦(呼吸与危重症医学科):肺毛霉病是由呼吸道吸入毛霉孢子引起的侵袭性真菌病,其菌丝具有血管侵袭性,常导致组织坏死。虽发病率较低,但进展迅速,我国病死率接近40%。本病主要发生于免疫抑制宿主,如糖尿病、恶性血液病、造血干细胞移植及实体器官移植等患者[2],其中,控制不良的糖尿病自20世纪中叶至今依然是全世界肺毛霉病最重要的危险因素,其易感机制与高血糖和糖尿病酮症酸中毒诱导的内部环境改变密切相关,发病机制包括糖尿病患者的呼吸道上皮细胞损伤、血管内皮损伤、免疫细胞功能障碍、凝血异常、铁过载和高酮酸环境[6]。肺毛霉病的临床表现及影像学均缺乏特异性,往往难以与侵袭性肺曲霉病等其他感染相鉴别。此例患者的诊治早期处于甲流高发季节、甲流IgM阳性,虽已经验性覆盖曲霉治疗但病情仍进展,因而再次强调血糖控制不佳的糖尿病患者要警惕毛霉感染的可能,积极完善病原学检查至关重要。
陈瑞玲(药学部):肺毛霉病目前推荐的治疗药物主要有L-AmB及其复合静脉制剂、泊沙康唑、艾沙康唑等。目前多项国际指南仍然推荐L-AmB为毛霉病的一线治疗方法,推荐的剂量是L-AmB 5~10 mg·kg-1·d-1,此外通过雾化和支气管镜灌注L-AmB也可用于治疗肺毛霉病。泊沙康唑目前有3种剂型[7]:口服混悬液、肠溶片和注射液,后两者的生物利用度更高,故2019年ECMM全球指南[8]中将这两种剂型作为一线治疗,其治疗毛霉病的总成功率为54%。泊沙康唑的血清浓度与治疗及预防真菌感染的效果密切相关,因此,建议监测泊沙康唑的血清浓度。艾沙康唑作为新型唑类药物,比泊沙康唑半衰期更长,分布容积更大,可透过血脑屏障增加脑脊液的药物浓度。不良反应方面,艾沙康唑的耐受性良好,故在肾功能不全的毛霉病患者中更推荐艾沙康唑作为首选药物[3]。此例患者的L-AmB静脉治疗剂量在标准范围内,但仍迅速出现肾功能损害,减量后肾功能仍未恢复而停用,换用艾沙康唑静脉滴注联合支气管镜介入治疗后,肾功能逐渐恢复正常,毛霉也得到有效控制。待患者病情稳定后可转换为艾沙康唑口服制剂序贯治疗[9]。目前治疗毛霉病的疗程尚不清楚,最终应基于临床、影像学、微生物学检测结果及患者的免疫抑制状态是否改善综合判断(表1),建议总疗程至少3~6个月,其中静脉给药4~6周直到病情稳定后可转为口服艾沙康唑或泊沙康唑[8]。
陈雯辉(胸外科):外科手术目前仍是治疗肺毛霉病的重要方式,手术原则是使患者获益大于风险。手术包括:①根据病灶评估是否需要紧急手术以防止或治疗大咯血;②充分抗真菌治疗后存在局部感染不吸收时进行择期手术。基于多篇病例报道,外科手术干预可获得更高的治愈率和存活率,2019年ECMM全球指南[8]强烈建议在全身抗真菌治疗基础上,尽可能对毛霉病灶进行早期手术治疗。但手术指征要严格掌握,要求患者一般情况能耐受手术,且病灶范围局限。本例患者双肺各叶均有病灶播散,不建议外科手术。
王娟(呼吸与危重症医学科):肺毛霉病伴有支气管壁坏死或菌栓阻塞支气管时内科治疗更加困难,要在全身治疗基础上,积极进行支气管镜介入治疗,包括:镜下清创,即清除坏死组织或菌栓、预置球囊预防或治疗可能发生的气道大出血、局部灌注AmBD。部分患者通过上述治疗可免于外科手术。支气管介入治疗的麻醉及通气方式选择很重要:①静脉全麻+肌松+喉罩/插管/硬镜下,便于彻底治疗和应对出血,尤其是硬镜下;②静脉镇静镇痛下、保留自主呼吸,患者耐受性稍差因而操作时长受限;③出血风险高者,不建议单纯局麻下操作。工作孔道大的治疗型支气管镜便于吸引积血,镜下可用器械多,但不易到达段及亚段支气管;外径细/孔道小的细支气管镜则灵活,便于大角度操作、观察和处理远端病灶,但镜下可用器械少。位于中心气道的菌栓可选择治疗型支气管镜联合多种手段如圈套器、冷冻、钳夹等方法取出。
本例诊治的挑战在于菌栓多、位置深、分布广(6个段及以下支气管),尤其是右上叶尖、后段的菌栓负荷重、解剖角度特殊,治疗型支气管镜无法窥及(图8),需借助外径4.0 mm细支气管镜配合1.8 mm活检钳反复钳夹,因而操作难度大、耗时长。
图8 外径6.0 mm支气管镜下见右上叶支气管各段开口通畅,无法窥及尖段、后段亚支菌栓阻塞
毛霉极易侵袭血管,因此术前胸部增强CT检查非常重要,一旦发现菌栓周围有血管侵袭或累及心包,禁止支气管镜下取栓。空洞周围的菌栓取出时出血风险极高,取栓前应做好气道大出血的防控预案,包括在菌栓近端的中心气道预置封堵球囊。该患者菌栓取出困难、无法单次支气管镜完成取栓,又因经济原因无法每次手术均预置球囊。因此,在钳取右上叶后段b支菌栓时发生气道大出血,立即采取右侧卧位同时局部喷洒肾上腺素、冰盐水及凝血酶止血无效,紧急更换6.0 mm支气管镜吸引健侧积血、保证通气,置入球囊封堵(图9, 图10, 图11, 图12),待无活动性出血后,将球囊气体抽出并保留于右主支气管,观察3 d无活动性出血后将其拔除,整个过程需要经验丰富的团队配合。回顾分析应补充预案:备用另一支气管镜,一旦发现菌栓从气道取出过程中有出血迹象,可立即将菌栓塞回支气管以封堵出血部位,迅速进入另一支气管镜放置球囊,再将菌栓取出,同时向球囊充气以封堵出血部位。
图9,10 外径4.0 mm支气管镜下可见右上叶后段a、b亚支分别被菌栓阻塞(图9),支气管镜下活检钳夹除右上叶后段b亚支菌栓时出现气道大出血(图10)
图11 外径6.0 mm支气管镜下置入球囊封堵右主支气管
图12 外径4.0 mm支气管镜下活检钳钳夹取出的菌栓,来自右上叶尖、后段,其中最左侧菌栓来自于右上叶后段b亚支,取出时发生气道大出血
镜下局部灌注AmBD治疗需签署知情同意书并向医务处备案。首次灌注术前1~3 d要雾化吸入AmBD进行诱导治疗以避免灌注中发生不良反应。文献[10, 11, 12]建议灌注浓度为0.025%~0.125%,并确保每处靶点分配至少2.5 mg,重要靶点可以超过5 mg。本例双肺广泛受累,常规容量难以覆盖全部病灶。初期采用10~20 mg AmBD溶于20~30 ml注射用水进行分段灌注,但影像仍显示部分区域进展,考虑与病灶分布广泛、药液总量不足以及菌栓无法短期内清除有关。后续调整方案为:AmBD 20~30 mg以注射用水溶解后加入生理盐水至120~200 ml,按胸部CT肺段受累的严重程度进行分段灌注,具体方法为:双肺每个肺段按胸CT显示受累程度分为0~4分,将AmBD灌注溶液按分值占比分配至需要灌注的段支气管,每周2~3次。经积极清创与3次大容量灌注治疗后,患者所有菌栓完全清除,影像学表现明显改善(图13,14)。整个治疗过程中未出现呼吸困难、咯血、胸痛、心律失常、心力衰竭、肾功能不全等并发症,耐受良好。
图13,14 2025年4月2日胸部CT示右上叶空洞基本闭合,双肺实变影较前吸收
卜小宁(呼吸与危重症医学科):2015年ESCMID和ERS推荐如果不需要手术切除以治疗反复咯血,可向曲霉球腔内局部灌注抗真菌药物,首选AmBD局部灌注治疗,具体配制方法为50 mg AmBD溶于20 ml 5%葡萄糖溶液中,灌注量取决于空腔的大小[13]。然而,目前国际上尚缺乏关于AmBD气道内灌注治疗肺毛霉病的指南或专家共识,现有证据多来源于回顾性研究及病例报告。我国已有三部专家共识[2,11,14]均指出可经气道灌注AmBD治疗肺毛霉病,尤其适用于肺部空洞、实变、支气管胸膜瘘等局部病变。但目前AmBD的配制方法、灌注总量和治疗频次仍缺乏统一标准。有共识[11]建议每个病灶靶点灌注2.5~5 mg AmBD,多发病灶时总剂量可增至15~20 mg。
既往文献中AmBD支气管镜下灌注治疗的药液配制方法主要有:①使用灭菌注射用水溶解;②使用生理盐水溶解;③使用5%葡萄糖溶液溶解,多见于曲菌球空腔的灌注。其中,治疗肺毛霉病以灭菌注射用水为溶媒文献居多。溶媒体积在5~20 ml,灌注频率每周1~7次均有个案实践[2,11,13, 14, 15, 16, 17, 18]。本例患者治疗初期,采用文献中方法进行AmBD灌注并联合支气管镜取栓,虽每周3次灌注,效果仍不理想。我中心基于患者毛霉病灶范围广(各肺叶均受累)、全身治疗反应及不良反应,为其制定了个体化灌注与取栓方案,并增加了灌注容量。在选择溶媒时团队充分考虑以下因素:大容量灌注5%葡萄糖溶液可能破坏气道表面液体层(airway surface liquid,ASL)稳态,增加细菌感染风险[19];灭菌注射用水属低渗液体,大剂量灌注可致肺泡上皮细胞肿胀,加重气道水肿,影响痰液引流及远端菌栓清除。尽管药品说明书使用方法为灭菌注射用水溶解后加5%葡萄糖注射液静脉输注——旨在避免生理盐水导致AmBD沉淀及血管阻塞,但支气管灌注治疗侧重于局部药物覆盖,并非血管内给药。且有文献报道[15]使用生理盐水配制AmBD进行支气管灌注。因此,本团队最终选用先以注射用水溶解后加入生理盐水作为灌注溶媒,并实施个体化大容量灌注方案(120~200 ml)。多次治疗中均未发现AmBD沉淀结晶,患者病情亦迅速得到控制。这一实践表明该配制与灌注方式具有可行性及安全性,但仍有待更多临床实践进一步验证。
经药物联合支气管镜介入治疗2个月后,患者体温正常,咳嗽、咳痰症状消失,感染指标正常,BALF标本未检出毛霉,病情平稳后出院,继续口服艾沙康唑胶囊。出院2周后复查胸部CT较前更进一步吸收(图15,16),已达完全缓解,嘱患者1个月后随诊。
图15,16 2025年4月21日胸部CT示右上叶病变呈纤维索条影,部分支气管轻度扩张,双肺实变影、斑片影基本吸收
通过本病例,我们认识到:(1)对于血糖控制不佳、经验性抗菌治疗后肺部病变仍快速进展的患者,G试验、GM试验阴性,要警惕毛霉感染的可能;(2)对于多叶段的肺毛霉病需要在全身抗真菌治疗的基础上尽早进行支气管镜下介入治疗,要注意段及亚段菌栓的探查和清理;(3)局部灌注AmBD需要充分覆盖病灶,可适当增加灌注容量;(4)支气管镜下取空洞病变周围的菌栓时需备用封堵球囊,介入团队应当做好充分止血准备。
参考文献(略)
作者:金艳坤 董格红 王宝增 丁彦 陈瑞玲 陈雯辉 卜小宁 王娟;第一作者单位:首都医科大学附属北京天坛医院呼吸与危重症医学科;通信作者:王娟,首都医科大学附属北京天坛医院呼吸与危重症医学科
引用本文: 金艳坤, 董格红, 王宝增, 等. 药物联合个体化支气管镜介入治疗肺毛霉病[J]. 中华结核和呼吸杂志, 2025, 48(12): 1172-1177. DOI: 10.3760/cma.j.cn112147-20250528-00291.
本文转载自订阅号“中华结核和呼吸杂志”
原链接戳:【临床病例(理)讨论】药物联合个体化支气管镜介入治疗肺毛霉病
* 文章仅供医疗卫生相关从业者阅读参考
本文完
责编:Jerry
