一、病史简介
男,73岁,浙江人,2024-05-27入复旦大学附属中山医院感染病科。
主诉:发现左肺阴影2周。
现病史:
2024-05-13 当地医院体检行胸部CT:左肺阴影。无明显咳嗽、咳痰,无发热盗汗乏力等,予以左氧氟沙星抗感染。05-17复查CT:病灶未见明显改变。2024-05-22行PET/CT:左肺下叶及左肺上叶软组织肿块伴FDG摄取增高,首先考虑肿瘤性病变(如淋巴瘤等),特殊慢性炎症待排,建议穿刺活检;右肺下叶及左肺另所示散在斑片影,倾向慢性炎症。
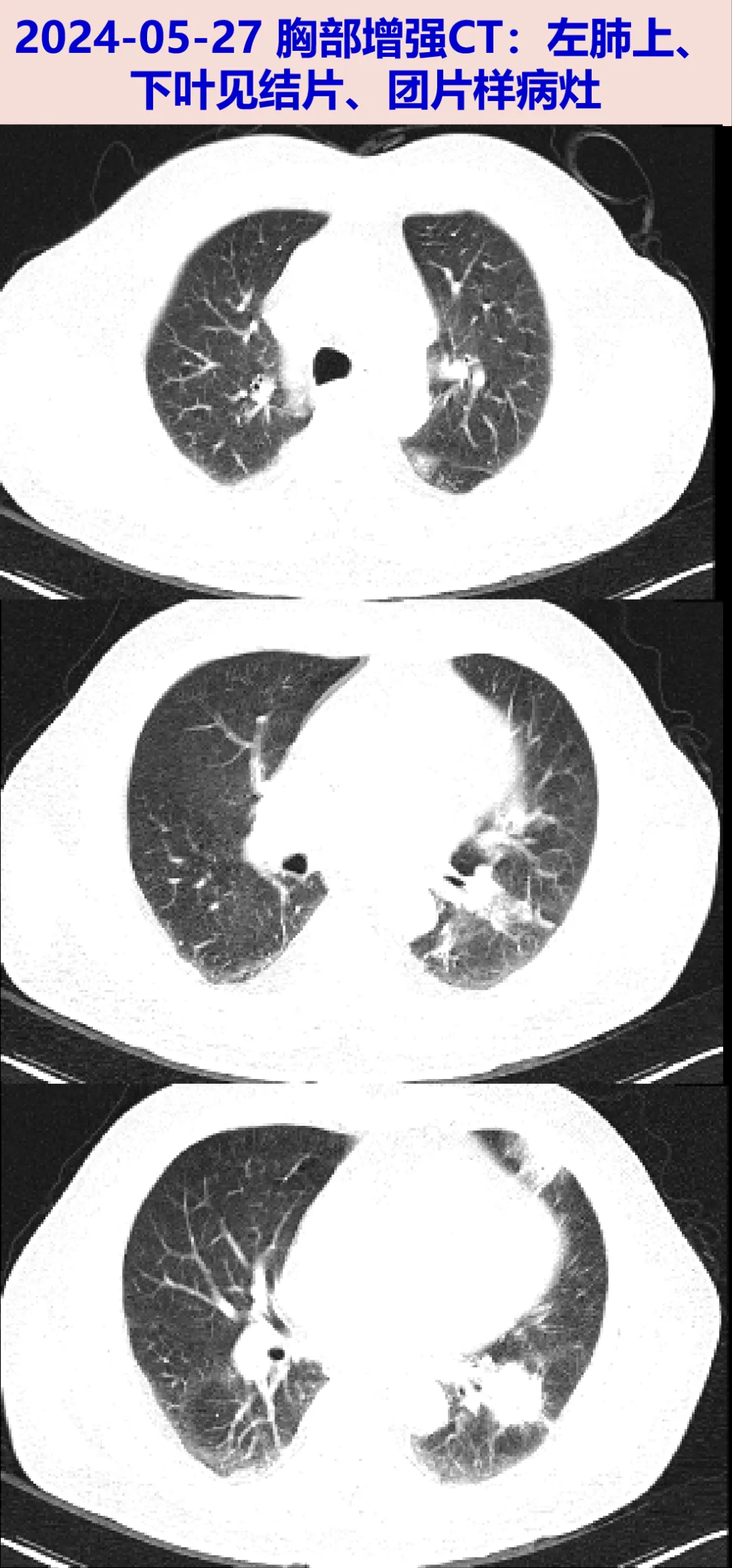
2024-05-27至我院就诊,行胸部增强CT: 左肺结片灶,较外院CT相仿。为明确左肺病灶性质收入我科。
既往史:糖尿病史12年,否认高血压病史。
二、入院检查(2024-05-27)
【体格检查】
- T 36.5℃,P 85次/分,R 19次/分,BP 143/84mmHg。
- 神志清,全身浅表淋巴结无明显肿大;双肺呼吸音清,未闻及明显干湿啰音;心律齐;腹平软,全腹未及压痛、反跳痛;下肢无水肿。
【实验室检查】
- 血常规:WBC 4.55×10^9/L,N 69.0%,Hb 144g/L。
- 炎症标志物:ESR 5 mm/h,hsCRP 2.8mg/L,PCT 0.03ng/mL。
- 尿常规:葡萄糖3+,余无殊。
- 生化:ALT/AST 24/27 U/L,LDH 186 U/L,Alb 42g/L,sCr 91μmol/L。
- T-SPOT.TB A/B 9/17(阴性/阳性对照 0/120) 阳性,G试验、GM试验、隐球菌荚膜抗原、CMV-DNA、EBV-DNA均阴性。
- 细胞免疫:Th淋巴细胞绝对计数 310cells/μL。
- 肿瘤标志物:NSE 18.7 ng/mL,余肿瘤标志物、自身抗体、补体、免疫固定电泳均阴性。
三、临床分析
病史特点:老年男性,以“体检发现左肺阴影”就诊,病程中无咳嗽、咳痰、发热、盗汗等呼吸道或全身症状。CT均提示左肺存在多发“结片灶”,经1周左氧氟沙星抗感染治疗后病灶未见吸收。PET/CT进一步提示左肺多发性软组织肿块伴FDG代谢增高,影像学首先考虑肿瘤性病变(如淋巴瘤等)。实验室检查提示炎症标志物(ESR、hsCRP、PCT)均处于正常范围,TSPOT阳性,其他常见感染病原学筛查(隐球菌、真菌等)均为阴性,肿瘤标志物未见明显异常。
1、肺结核:患者T-SPOT.TB结果为阳性,虽然患者无典型结核中毒症状,炎症标志物不高,但肺内多发阴影,且PET/CT提示代谢增高,需警惕不典型表现的肺结核,特别是增殖性结核结节或结核瘤。通过CT引导下经皮肺穿刺活检或经支气管镜活检/灌洗, 在获取的肺组织/BALF标本中,除送病理检查外,应同时送抗酸染色以及分枝杆菌培养。必要时可对组织标本进行微生物宏基因组测序(mNGS)快速明确。
2、肺真菌感染(如肺隐球菌病、曲霉菌感染等):患者无明显免疫缺陷基础,隐球菌荚膜抗原、G试验、GM试验均为阴性,目前缺乏支持常见侵袭性真菌感染的血清学证据。但肺内多发团块样病灶需考虑慢性隐匿性真菌感染可能,特别是肺隐球菌病,其影像学表现多样,可类似肿瘤。确诊依赖于组织病理学检查(特殊染色如PAS、六胺银染色查找真菌)及组织标本的培养或mNGS检测。
3、细菌性肺炎或肺脓肿(慢性化、局限性):患者急性起病症状不明显,血常规及炎症标志物均未见明显升高,且经喹诺酮类治疗后复查CT病灶“未见明显改变”,不符合典型急性社区获得性细菌性肺炎的临床过程。但影像学表现为多发团片灶,仍需考虑慢性低毒力病原体感染所致的局限性炎症或已机化包裹的感染灶。可尝试更广谱的经验性抗感染治疗并短期复查影像,但最终明确仍需依靠病原学或病理学证据。
4、特殊类型慢性炎症或肉芽肿性疾病(如机化性肺炎、结节病、IgG4相关性疾病等):患者炎症指标(ESR、CRP、PCT)均处于正常范围,无明显感染中毒症状,但PET/CT有代谢增高,需警惕非感染性、增殖性或肉芽肿性炎性疾病。这类疾病可表现为肺内孤立或多发肿块/结节,对抗菌药治疗反应差。可考虑在获取肺组织病理的同时,送检病理组织以寻找肉芽肿、纤维母细胞增生等特征性改变,并完善血清IgG4水平等检查以助鉴别。
5、肺恶性肿瘤(如肺癌、肺淋巴瘤等):患者为老年男性,体检发现左肺多发团片灶,无明显呼吸道症状。PET/CT提示左肺多发性团片影伴FDG代谢增高,高度提示肿瘤性病变,淋巴瘤为重要考虑方向。虽然常见肿瘤标志物未见明显异常,但无法排除恶性可能。增强CT提示病灶持续存在,经经验性抗感染治疗未见吸收。后续需通过CT引导下经皮肺穿刺活检或经支气管镜活检,获取组织病理学及免疫组化检查以明确诊断。
四、进一步检查、诊治过程和治疗反应
- 2024-05-28 CT引导下左下肺病灶穿刺活检,肺组织涂片找细菌、真菌、抗酸杆菌阴性,XPERT-TB阴性。
- 2024-05-28 予奈诺沙星0.5g qd经验性抗感染。
- 2024-05-29 肺组织病理:穿刺肺组织部分区纤维组织增生伴机化,少量淋巴细胞浸润,现有穿刺组织提示炎症性病变伴机化。肺组织mNGS(05-28采样):阴性。
- 2024-05-30 胡必杰主任查房,考虑不能排除肿瘤性病变;行支气管镜,肺泡灌洗液及肺组织涂片找细菌、真菌、抗酸杆菌阴性,XPERT.TB阴性,肺泡灌洗液隐球菌荚膜抗原阴性、GM试验阴性。
- 2024-05-31 肺组织初步病理: (左下内前基底+外基底)镜下为支气管壁及肺组织,部分区纤维组织增生伴局灶机化,部分区少量淋巴细胞浸润,现有活检组织炎症性病变可能性大,正在行免疫组化及特殊染色检查以协助诊断。肺泡灌洗液及肺组织mNGS(05-30采样):均阴性(科研 免费)。
- 2024-06-03 肺组织免疫组化及特殊染色:免疫组化结果未提示肿瘤性病变依据,特殊染色未见明确阳性菌。目前无明确肿瘤依据,试用抗感染治疗方案左氧氟沙星0.5g qd+SMZ-Co 0.48g bid口服出院。
出院后随访:
- 2024-06-07 肺泡灌洗液真菌培养:阴性。
- 2024-06-14 肺组织细菌真菌培养(05-30采样,支气管镜活检):阴性。
- 2024-07-03 胸部CT:左肺上叶及下叶团片影较前部分吸收好转。嘱继续口服左氧氟沙星0.5g qd+SMZ-Co0.48g bid 10天左右停药(2024-07-15停抗感染药物)。
- 2024-09-04 胸部CT:左肺上叶及下叶团片影较前总体相仿。
- 2025-03-10外院CT:左下肺病灶较前进展。嘱再次试用左氧氟沙星0.5g qd+SMZ-Co0.48g bid 经验性抗感染。
- 2025-04-09 胸部CT:两肺病灶较外院3月片相仿,停左氧和复方磺胺;同时结合前次穿刺病理及病程,考虑机化化性肺炎可能,予试用甲泼尼龙:每天6片×2周。
- 2025-04-23 胸部CT:两肺病灶较前片大部相仿,部分稍有吸收好转。继续激素每天5片×3周。
- 2025-05-14 胸部CT:两肺病灶较前相仿。嘱激素继续减停,每周减量1片,至2025-08-14停用激素。
- 2025-09-17 胸部CT较前总体相仿。继续停药随访。
- 2025-12-03 胸部CT:左肺病灶较前再次进展。
第二次住院(2025-12-03)
病史简介:
- 2025-12-03 再次入院后复查T-SPOT.TB T-N 6-2(阳性对照 365)阴性,G试验、GM试验、隐球菌荚膜抗原阴性;肿瘤标记物:神经元特异烯醇化酶:23.3ng/mL,细胞角蛋白19片段:4.6ng/mL,余肿瘤标志物阴性。血常规、炎症标志物等未见异常。
- 2025-12-04行CT引导下左上肺结节穿刺活检,肺组织涂片找细菌、真菌、抗酸杆菌阴性,XPERT-TB阴性。肺组织初步病理:(肺组织)镜下淋巴组织明显增生,正在行免疫组化及基因检测以协助诊断有无肿瘤性病变。
- 2025-12-07 肺组织正式病理:黏膜相关淋巴组织边缘区淋巴瘤(MALT淋巴瘤)。
- 2025-12-11血液科门诊就诊,建议行CD20单抗为基础的靶向治疗,目前血液科随访中。
- 2025-12-07 肺组织完整病理:黏膜相关淋巴组织边缘区淋巴瘤(MALT淋巴瘤)。
五、最后诊断与诊断依据
最后诊断:
肺黏膜相关淋巴组织边缘区淋巴瘤
诊断依据:
患者老年男性,隐匿起病,以体检发现左肺阴影就诊,无明显感染或肿瘤相关临床症状。肺部影像学特征为左肺多发性团片病灶,PET/CT提示FDG摄取增高。初期经联合抗感染(左氧氟沙星联合磺胺)治疗后病灶一度缩小,符合感染性或炎症性病变特点;但停药后随访中病灶再次增大,且试用激素治疗虽有效果但不能维持,停药后仍进展,此过程不符合典型感染或单纯机化性肺炎的转归规律。最终,通过再次CT引导下经皮肺穿刺活检,获取组织病理学及免疫组化证据,明确诊断为肺黏膜相关淋巴组织边缘区淋巴瘤(MALT淋巴瘤),故诊断明确。
六、经验与体会
本例患者肺部团片病灶在初次抗感染治疗后一度缩小,这一变化容易被当作支持感染或炎症诊断的有效证据。然而,后续随访中病灶再次增大,加之PET/CT提示FDG高代谢,对最终确诊起到了关键启示。这提示我们,部分惰性淋巴瘤(如MALT淋巴瘤)可能因治疗的抗炎或免疫调节作用而出现暂时退缩。因此,在面对形态不典型的病灶时,若仅依赖影像学的短期好转来排除肿瘤,风险极高。关键在于进行动态、连续的影像学评估,并结合临床特征进行审慎解读,以辨析“感染性”与“肿瘤性”病变之间的模糊边界,避免早期误判。
肺MALT淋巴瘤作为一类惰性B细胞淋巴瘤,其临床行为与影像表现常与特殊慢性炎症(如机化性肺炎)交织重叠,构成临床诊断的“灰区”。本例初诊两次穿刺未见肿瘤依据,予经验性抗感染治疗,病灶一度缩小,后续再增大考虑机化性肺炎可能,试用激素治疗虽有效但不能根治,停药后即复发,病程一波三折,这一过程深刻反映了此类疾病的诊断困境:抗炎治疗(包括抗菌药物、激素)的反应性不能作为排除低度恶性淋巴瘤的可靠依据,相反,若“炎症”对规范抗炎治疗呈现依赖性而非治愈性,或停药后迅速反弹,应成为重新审视诊断、高度怀疑惰性淋巴瘤的重要预警信号。因此,需充分认识惰性淋巴瘤诊疗的“灰区”挑战,避免过早或过度的确定性治疗。
本病例的诊断核心,最终依靠的是第三次穿刺活检所获得的病理组织学及免疫组化证据。这凸显了在影像学和临床反应均存在矛盾与不确定性时,组织病理学诊断不可替代的决定性作用。当非侵入性检查无法给出明确结论时,应避免在“疑似诊断”的基础上进行长周期、高强度的试验性治疗(尤其是激素或免疫抑制剂)。对于持续存在的、性质不明的肺内实性病灶,及时、精准的穿刺活检应被视为打破诊断僵局、避免延误治疗的核心步骤。
肺MALT淋巴瘤常被形象地称为“伟大的模仿者”,因其临床表现隐匿、影像学多变,可完美模拟肺炎、机化性肺炎、甚至肺癌。本病例的曲折历程警示我们,在老年患者、表现为孤立或多发肺结节/肿块、且常规抗感染无效的临床场景中,鉴别诊断思维必须主动纳入肺淋巴瘤这一选项。尽管其相对罕见,但在“肿瘤性病变”与“特殊炎症”的鉴别谱系中,应占据一席之地。提高对该病的临床警觉性,是缩短其诊断延迟的前提。
该病例的诊断过程横跨影像科、感染科、病理科及血液肿瘤科。从影像特征的细致分析、抗感染与试验性抗炎治疗的临床决策,到最终穿刺的精准实施与病理的精确判读,每一个环节都至关重要。建立一个高效的多学科协作团队,能够综合影像、临床、病理及分子信息进行整合判断,构建多学科协作(MDT)诊疗模式是处理此类复杂病例的必要保障。
参考文献
[1] Borie R, Wislez M, Antoine M, et al. Pulmonary mucosa-associated lymphoid tissue lymphoma revisited. Eur Respir J. 2016; In press. doi:10.1183/13993003.01701-2015
[2] Zucca E, Arcaini L, Buske C, et al. Marginal zone lymphomas: ESMO Clinical Practice Guidelines for diagnosis, treatment and follow-up. Ann Oncol. 2020;31(1):17-29. doi:10.1016/j.annonc.2019.10.010
作者:刘海霞 马玉燕 金文婷;审阅:胡必杰 潘珏
本文转载自订阅号“SIFIC感染视界”
原链接戳:探案丨三次穿刺,方得始终:一例肺内疑难病灶的诊断升级之路
* 文章仅供医疗卫生相关从业者阅读参考
本文完
责编:Jerry
