一名63岁男性因咳嗽、发热就诊,影像学显示肺部多发空洞性结节,同时合并肝脏巨大占位。就在诊断尚未明朗之际,患者突发右眼眶周肿胀并迅速丧失视力,随后又发现多发脑部病灶。肝、肺、脑、眼相继发病,一条清晰却凶险的感染传播链逐渐浮出水面。病例最终指向的是高毒力细菌感染——一种可由肝脓肿起始,迅速经血行播散至多个远处器官的致命感染。眼部受累往往进展迅猛、预后极差,留给临床医生反应和干预的时间极为有限。
病例陈述
一名63岁男性因发热、咳嗽及右眼视力丧失入院。
患者此前身体健康,约3周前出现呕吐和腹泻,自认为与食用变质肉类有关。2周后消化道症状逐渐缓解,但继而出现咳嗽,伴有灰褐色痰液,同时伴间歇性发热及寒战。
5天前患者在淋浴时跌倒,后脑着地,但未出现意识丧失。3天前因咳嗽加重,由其妻陪同前往当地医院急诊就诊。
评估时,患者主诉发热、寒战、咳嗽及轻度呼吸困难。近几周体重无意间减轻约3 kg。呕吐和腹泻已缓解,无腹痛、食欲减退或皮疹等症状。耳温36.7°C,血压109/71 mmHg,心率104次/分钟,呼吸频率19次/分钟,呼吸环境空气时血氧饱和度为91%。肺部听诊可闻及散在湿啰音,腹部无压痛,未见皮疹或淋巴结肿大。白细胞计数为19,300/μL。其余实验室检查结果详见表1。
表1. 实验室检查结果
胸部X线片显示双肺可见多发斑片状及结节状阴影。增强CT检查(包括胸部、腹部及盆腔)提示双肺存在15个以上弥漫性分布的结节及肿块,多数呈空洞性,最大直径达4.4 cm,主要位于肺中叶及上叶(图1A)。肝脏可见一处囊实性病灶,直径约8.6 cm,异质性强化,并伴有肝中静脉充盈缺损(图1B)。右肺门可见直径1.4 cm的淋巴结,其他区域未见明显淋巴结肿大。头部CT未见异常。
图1. 其他医院的检查结果
患者经鼻导管吸氧,并经验性使用头孢曲松联合阿奇霉素治疗,同时静脉补液后转至另一家医院继续治疗。
入院次日,患者寒战及咳嗽症状持续。采集血液、尿液及诱导痰液送培养。入院第3日清晨,患者醒来后突然发现右眼视力完全丧失,无眼痛或头痛。查体发现右侧眼眶周围明显水肿,眼睑无法自主睁开。
静脉注射造影剂后行头部磁共振成像(MRI),显示双侧大脑半球多发皮质、皮质下及深部白质病灶,分布于不同血管灌注区,呈弥散受限(图1C);在液体衰减反转恢复(FLAIR)序列上表现为高信号,未见明显强化。右眼球轻度突出,T1加权像示右眼球内可见不规则漂浮状高信号病灶,T2加权像则显示为低信号,玻璃体内存在弥散受限病灶。右侧前眶软组织肿胀,右侧泪腺亦见水肿及强化,眼前部可见小范围积液。
经胸超声心动图检查示左心室收缩功能增强,未见心瓣膜赘生物。停用头孢曲松与阿奇霉素,改为经验性应用万古霉素、头孢哌酮和甲硝唑治疗。患者随后转入麻省总医院(MGH)。
入院补充病史:患者数十年未进行系统体检,既往无明确基础疾病或药物过敏史。退热时偶用对乙酰氨基酚或布洛芬。患者出生于加勒比国家,婴幼儿时期移居美国,此后未有海外旅行史,长期居住于美国新英格兰沿海地区。饮酒极少,无吸毒或吸烟史,偶尔吸食大麻。家族病史不详。
体格检查见左眼外观正常,右眼眼眶周围明显水肿(图1D),眼睑轻度红肿,触压痛明显,肿胀导致眼睑无法自主睁开。右眼眼球活动受限,轻度突出,仅能感知光线。左眼眼球活动正常,视力20/60。右眼眼压为26 mmHg,左眼为17 mmHg(参考范围10~21 mmHg)。因角膜混浊及前房内纤维蛋白沉积,右瞳孔对光反射受阻;左眼瞳孔反射正常。右眼存在传入性瞳孔缺陷。裂隙灯检查右眼示全周性泡状结膜化学性水肿,角膜弥漫性水肿并见下缘上皮缺损,前房可见纤维蛋白沉积。虹膜结构模糊,仅隐约可见,晶状体完整但成像模糊,眼底结构无法观察。左眼前节正常,玻璃体清晰。散瞳后检查左眼眼底可见视网膜下方有棉絮状病灶。右眼B超提示玻璃体混浊,视网膜下方见高回声团块,同时伴明显脉络膜增厚(图1F)。
白细胞计数升高至24,750/μL。其余实验室检查结果见表1。继续给予万古霉素、头孢吡肟及甲硝唑经验性抗感染治疗,同时启动脂质体两性霉素B以抗真菌治疗。
鉴别诊断
这名63岁男性患者最初因持续近三周的自限性呕吐与腹泻,继而出现发热、寒战及咳嗽伴大量痰液,前往外院就诊。检查发现白细胞显著升高,肝脏内存在巨大肿块,同时双肺可见多发空洞性结节。入院第3日突发急性右侧眼眶周围水肿并迅速出现视力丧失。头部MRI显示脑实质内多血管分布区域存在异常病灶。鉴于病情进展迅速,上述表现提示感染性病因最为可能,以下将围绕可同时累及肝脏、肺部、脑部及眼部的感染性疾病进行讨论。
肝脓肿
肝脏病灶表现为异质性强化的囊实性混合病变,符合肝脓肿的影像学特征。肝中静脉邻近区的充盈缺损提示存在脓毒性血栓性静脉炎。
常见的肝脓肿类型包括化脓性、阿米巴性和棘球蚴性三种。尽管阿米巴性肝脓肿在全球范围内常见,但在美国相对罕见,患者多有前往或迁居阿米巴病流行地区的病史。棘球蚴性肝脓肿亦属罕见,常见于源自囊性棘球蚴病流行地区的移民。鉴于本例患者自幼定居美国,且无境外旅行史,这两种寄生虫感染的可能性极低。此外,CT图像未见阿米巴性脓肿典型的边缘强化低密度病灶,也不符合棘球蚴病中常见的单发或多发囊性病灶特征。
综合影像学表现,本例最符合化脓性肝脓肿的诊断——这是美国最常见的感染性肝脏病变。其常见致病菌包括大肠杆菌、肺炎克雷伯菌、咽峡炎链球菌、肠球菌、厌氧菌或其混合感染。感染常源于胆道系统或肠道,病原体经门静脉进入肝脏。本例未见明显胆道病变(如胆道梗阻或狭窄),但贫血与体重减轻提示应高度警惕潜在的隐匿性结肠癌。在化脓性肝脓肿患者中,结直肠癌的发病风险显著高于普通人群,若感染病原为肺炎克雷伯菌,风险进一步上升。
空洞性肺结节
患者肺部可见多发性、广泛分布的结节,其中多数为空洞性病变。由于起病急骤,肺转移癌的可能性较低。肉芽肿性多血管炎可伴发肺结节,但其结节通常体积较大,并常伴鼻出血或咯血等症状,本例未见相关病史。
空洞性肺病变常见于结核、曲霉菌感染或肺脓肿等情况,但本例结节呈广泛多发、外周分布的特点,并不符合上述常见病原感染的典型影像学特征。相比之下,脓毒性肺栓塞可引起弥漫性结节与肿块,常位于肺外周区域,且多伴空洞形成——这些特征与本例肺部表现高度一致。因此,推测患者肺部病变极可能源于肝静脉脓毒性血栓性静脉炎所致的栓塞转移。
脑部病变
患者头部MRI显示多发性小病灶分布于不同血管区域,这些病灶在弥散加权成像(DWI)及FLAIR序列上均呈高信号,提示为近期形成的微小梗死灶。此种影像学特征与脓毒性脑栓塞相符,后者通常呈广泛分布且伴弥散受限。脓毒性脑栓塞常继发于感染性心内膜炎。尽管经胸超声心动图未发现瓣膜赘生物,但经食管超声心动图在检测心内膜炎方面具有更高敏感性,因此本例应考虑进一步进行该项检查。
眼部表现
患者左眼外观正常,但眼底检查可见棉絮状斑块。此类改变最常见于糖尿病和高血压患者,也可能见于菌血症等其他全身性疾病。虽血培养结果为阴性,但因采样时间晚于抗生素应用,可能影响结果准确性。
右眼则表现出明显异常,眼睑高度肿胀、闭合,伴压痛及轻度红斑,提示存在眶前蜂窝织炎或眼眶蜂窝织炎。后者诊断依据包括以下至少一项体征:眼外肌活动受限、眼球突出或视力下降。本例患者上述三项均有,符合眼眶蜂窝织炎的诊断标准。该病最常继发于鼻窦炎,但患者无相关临床或影像证据。
在少数情况下,眼内炎可波及眼眶,引发眼眶蜂窝织炎。眼内炎指玻璃体或房水受到细菌或真菌感染。在极少数情形下,感染可向眼外扩展,形成全眼炎(即眼内炎合并眼眶蜂窝织炎)。本例即为此类罕见情形。其临床症状急骤发作,更符合细菌性感染;且患者无眼部手术或外伤史,支持内源性眼内炎(即感染通过血流由远处病灶播散至眼内)诊断,而非外源性眼内炎(即因眼表穿透性感染所致)。
本例具备多个暴发性细菌性眼内炎的临床与影像学特征。此病多见于眼压升高时,角膜因内皮泵功能受损而出现水肿。裂隙灯检查几乎总可见前房内大量白细胞,部分病例出现前房积脓(即“脓层”,图2)。虽然本例未观察到典型脓层,但前房中存在致密纤维蛋白沉积——尽管少见,已有文献报道肺炎克雷伯菌所致内源性眼内炎可表现出此特征。
图2. 眼解剖及眼内炎
此外,玻璃体炎是眼内炎的另一常见表现。由于患者右眼玻璃体无法直接观察,改行B超检查,结果显示玻璃体混浊,进一步支持眼内炎诊断。B超所见高回声性视网膜下物质,可能为视网膜下脓肿。
内源性细菌性眼内炎是一种临床诊断,需结合血培养证实菌血症,部分病例还需玻璃体或房水培养阳性(图2)。该病最常见的原发感染灶包括:感染性心内膜炎、尿路感染、胃肠道手术后感染,以及肺炎克雷伯菌引起的肝脓肿等。
全身性感染
综合临床表现与影像学特征,医生认为该患者患有侵袭性肺炎克雷伯菌综合征,表现为原发性肝脓肿并发多器官转移性感染,病原体为高毒力型肺炎克雷伯菌。与其他细菌引起的肝脓肿相比,该菌所致的肝脓肿更常表现为单发实性或含坏死碎屑的病灶,且更容易并发血栓性静脉炎与远处转移性感染。
约60%的肺炎克雷伯菌性肝脓肿患者伴有肺部受累,通常表现为多发性空洞性结节,还可能继发脑脓肿或脑膜炎,其中7%的患者会出现内源性眼内炎。肺炎克雷伯菌性肝脓肿与眼内炎之间的关联,早在近40年前已有文献报道。部分患者血培养可呈阳性;若结果为阴性,可通过玻璃体或房水培养获取病原体。本例患者建议行玻璃体切除术或玻璃体穿刺抽吸以获取微生物学标本。
初步诊断
高毒力肺炎克雷伯菌所致播散性感染。
初步治疗与住院病程
患者转入MGH当日即行右眼玻璃体穿刺抽吸术。由于玻璃体高度粘稠且伴严重炎症,未能获取有效玻璃体标本;房水穿刺成功抽取约200 μL液体用于微生物学检查。在静脉抗感染治疗的基础上,患者还接受了玻璃体腔内注射头孢他啶、万古霉素及伏立康唑联合治疗。
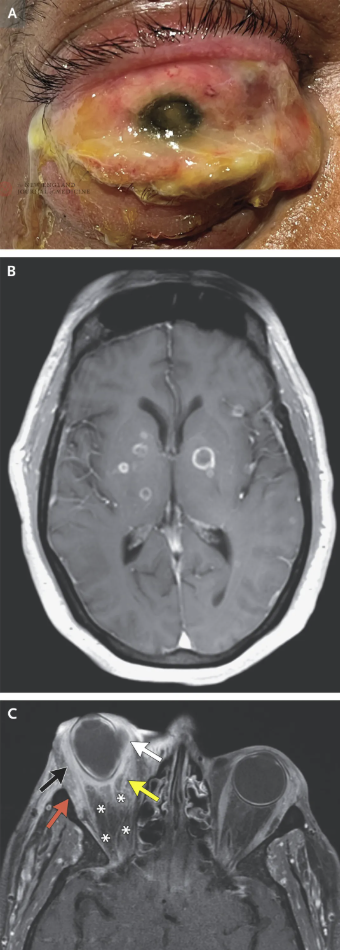
由于角膜混浊严重,合并广泛多层脓肿及巩膜壁缺损,无法安全实施玻璃体切除术。术后患者自述右眼“无光感”,很可能系转院时视力已接近完全丧失,加之术后眼压持续升高所致。尽管尝试多种降眼压措施,右眼视功能始终未恢复。为缓解炎症及眼压升高,开始局部应用糖皮质激素和降眼压滴眼液。入院第一周内,右眼眼球突出和结膜水肿进一步加重(图3A),视力持续为“无光感”。
图3. MGH的临床及头颅MRI影像
住院第8日复查头部MRI示:双侧大脑半球及后颅窝多发病灶出现新发环形强化,弥散受限表现持续存在(图3B)。右眼显示严重睑前软组织炎症,伴显著眼球突出及眼球异常延长。MRI还发现右眼巩膜环形强化,后眶隔区域存在广泛软组织炎症改变,累及右侧眼外肌及泪腺;眼球内侧可见一小型周边强化病灶,考虑为巩膜周围脓肿。此外,MRI显示右侧视神经严重牵拉,沿视神经路径可见广泛神经周围强化(图3C)。
鉴于患者右眼视力无恢复可能,且存在眼球自发穿孔风险,加之接受规范抗感染治疗后仍出现进行性眼眶感染恶化,医生最终决定行右眼球摘除术以控制病情。
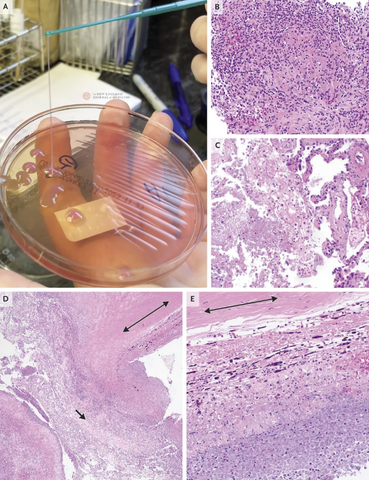
病理学讨论
获取的液体标本量不足,无法进行显微镜检查。细菌及真菌培养未见微生物生长。
住院第2日,对患者痰液标本进行革兰氏染色,显示中等数量中性粒细胞,但未见细菌。痰液培养中生长出少量革兰氏阴性杆菌,经质谱分析鉴定为肺炎克雷伯菌。根据感染科建议,进一步对该菌株进行黏液丝试验。该试验虽为非正式、非标准化方法,但常用于判断高毒力菌株:用接种环挑起菌落后观察是否可拉出>5 mm的黏稠丝状物,若为阳性则提示超黏稠表型,为高毒力肺炎克雷伯菌的特征性表现。本例中分离菌株黏液丝试验结果呈明显阳性(图4A)。药敏试验显示该菌株对多种常用抗菌药物敏感,包括患者初始接受的经验性抗生素。
图4. 微生物学检查以及病理检查
在随后的两天内,进一步进行一系列辅助检查,包括肝穿刺活检及支气管镜检查。肝脏粗针穿刺活检中,病原学涂片未见微生物,细菌、真菌及分枝杆菌培养均为阴性。病理学检查示肝组织呈现纤维化,伴斑片状坏死及中性粒细胞浸润,符合肝脓肿特征(图4B),细菌及真菌特异性染色结果均为阴性。
支气管镜下行支气管肺泡灌洗(BAL)及经支气管黏膜活检。两组标本病原体涂片均为阴性,但BAL液培养中分离出单一克雷伯菌菌落,其表型与前述痰液中菌株一致。组织病理显示急性炎性肺泡改变及气道坏死碎片(图4C),虽为非特异性改变,但支持感染诊断。微生物特异性染色再次为阴性。
行右眼球摘除术后,获取多块组织进行病理及微生物学检测。显微镜下涂片及组织染色均未见微生物,细菌及真菌培养亦为阴性。病理学结果显示存在巩膜穿孔伴脓肿形成,以及明确的眼内炎表现(图4D和4E)。为进一步明确病原,将右眼球冷冻组织样本送至华盛顿大学实验室,进行广谱细菌、真菌及分枝杆菌的聚合酶链反应(PCR)及基因测序分析。四周后,测序结果明确病原体为肺炎克雷伯菌。
病理诊断
由肺炎克雷伯菌引起的感染。
巩膜穿孔伴脓肿形成及眼内炎。
高毒力肺炎克雷伯菌
多数临床医生熟知肺炎克雷伯菌作为院内感染的常见病原体,可引起肺炎、菌血症和尿路感染等。在西方国家,约有5%~35%人群的肠道菌群中携带该菌,而在亚洲国家,这一比例可高达60%~70%。在过去二十年中,肺炎克雷伯菌因其抗生素耐药性的不断增强而备受关注,常携带广谱β-内酰胺酶或碳青霉烯酶等耐药基因。
然而,近年来出现的一种高毒力型肺炎克雷伯菌引起广泛关注,其与传统毒力株在流行病学和致病机制上均存在显著差异。
高毒力肺炎克雷伯菌最早于1980年代在台湾被识别为某一特殊临床综合征的病原体。随后,该菌株在东南亚地区广泛流行,并在欧洲与美洲地区亦有零星病例报告。其典型的临床过程始于化脓性肝脓肿(常发生于无基础疾病的健康个体),继而通过血流播散至远隔部位,可引起眼内炎、脑膜炎、脑室炎、肺炎,甚至皮肤与软组织感染——这些并发症在传统肺炎克雷伯菌感染中相对罕见。
本例患者表现出典型的化脓性肝脓肿合并转移性感染的临床综合征,但确诊高毒力菌株具有一定挑战性。多数高毒力菌株具有K1或K2型荚膜,且表现为超黏稠表型,可通过黏液丝试验检测,但该方法缺乏敏感性和特异性。基因组测序可识别与毒力质粒相关的特定毒力基因(如rmpA、iuc等),或借助小鼠感染模型评估其毒力,以区别于传统分离株。
由高毒力肺炎克雷伯菌引起的化脓性肝脓肿及播散性感染综合征病死率为3%~31%;若合并活动性菌血症,病死率可升至35%以上。若波及眼部或中枢神经系统,超过70%的患者会遗留永久性视力或神经功能障碍。
从历史角度看,高毒力肺炎克雷伯菌株通常对常用抗菌药物敏感(如本例所示),其对阿莫西林和氨苄西林的天然耐药性主要归因于染色体编码的可变型β-内酰胺酶。然而,在过去十年中,已观察到传统耐药株与高毒力株之间的遗传物质水平转移,导致出现兼具耐药性与高致病性的肺炎克雷伯菌新型变异株。这些变异株可能携带碳青霉烯酶或广谱β-内酰胺酶等耐药因子。
多项研究表明,由碳青霉烯耐药型高毒力肺炎克雷伯菌引发的侵袭性感染,其病死率超过50%。这凸显了亟需开发包括候选疫苗在内的预防及治疗策略,以应对这类具有高度传播性和致命性的病原体。
治疗策略讨论
对患者肝脏、肺部及眼部标本所进行的微生物学与病理学检查排除了其他致病因素,因此治疗重点聚焦于肺炎克雷伯菌所致化脓性肝脓肿及播散性感染的管理。经食管超声心动图检查未见心瓣膜赘生物或主动脉根部脓肿。根据痰培养中克雷伯菌属的药敏谱(提示K1血清型特征),停止使用脂质体两性霉素B,抗生素治疗调整为头孢曲松联合甲硝唑。
在以下情况下,通常建议对肝脓肿或脑脓肿行引流或外科清创:①病灶可安全引流,②致病菌耐药(如多重耐药菌),或③病灶体积较大(脑脓肿>3 cm,肝脓肿>5 cm)。本例患者脑部病灶体积较小但数量众多,手术清创的风险大于潜在获益;而肝脓肿则呈多房性、质地不均,亦不适合单纯引流。因此,制定经验性抗生素治疗方案,预计疗程为6~12周,具体治疗时长及是否需要外科干预,将根据后续临床表现和影像学改善情况动态调整。
尽管部分小样本研究提示,化脓性肝脓肿在早期转为口服抗生素治疗可能有效,但本例患者未接受引流且感染呈多灶性,合并脑部病灶,故决定在初始6周内持续静脉抗生素治疗。
住院期间,患者病情一度波动,出现急性肾损伤及一次意识状态恶化。复查头部影像显示,尽管抗生素治疗持续进行,病灶周围水肿仍呈加重趋势。给予地塞米松治疗10天后,患者意识状态明显改善。
入院第5周,患者转入康复中心继续接受头孢曲松静脉治疗。两周后顺利出院,治疗方案调整为口服左氧氟沙星。
出院后6个月的随访影像学评估显示,头部MRI提示强化病灶的数量及体积明显减少;腹部CT显示肝脓肿病灶显著缩小,且已无强化表现;胸部CT显示肺部结节基本消退。
患者出院后在社区医院随访,并按建议完成结肠镜检查。抗生素治疗持续共9个月,在影像学复查确认肝脓肿完全消退后正式停药。
最终诊断
高毒力肺炎克雷伯菌播散性感染。
参考文献
Durand ML, Siedner MJ, Chen JW, Rossin EJ, Rosen DA, Klontz EH. Case 2-2026: A 63-year-old man with pulmonary nodules, liver mass, and vision loss. N Engl J Med 2026;394:282-94.
本文内容转载自订阅号“NEJM医学前沿”,原链接:咳嗽发热3周,右眼一夜失明:肝-肺-脑-眼“串联”的致命感染 | 麻省总医院病例
* 文章仅供医疗卫生相关从业者阅读参考
本文完
责编:Jerry
