本为治疗皮损,何以突发双肺弥漫性病变伴快速进展呼吸衰竭?……治疗上的“免疫暗礁”我们能避开吗?丨疑案探密(181)
来源: 呼吸界 02-03


引言


当我们面对越来越多使用生物制剂的患者,如何敏锐识别药物性肺损伤的信号?如何在常规思维之外,考虑到药物不良反应这个“隐藏变量”?该病例或许能给我们带来最真实的临床启示。


双肺弥漫磨玻璃影,感染、自身免疫均阴性,依奇珠单抗治疗情况如何?


卷宗1


基本资料:女性,55 岁,北京人,因发热、呼吸困难就诊于急诊科,后转入北京大学第一医院呼吸和危重症医学科重症监护室(RICU)。


讲述者:王世轩


这位患者主诉“发热、咳嗽伴进行性气促 3 天。”患者3天前出现发热、咳嗽、气促,进行性加重,就诊急诊查ABG(FiO₂ 21%,PH 7. 44, PCO₂  37 mmHg, PaO₂  56.00mmHg,血常规:WBC 9.37×10⁹/L,NE% 81.6%,CRP 120mg/L;胸部 CT 提示双肺弥漫斑片状磨玻璃密度灶。因呼吸衰竭快速进展转入RICU。既往史:银屑病病史20余年,3月前开始应用依奇珠单抗,末次用药为6周前,治疗后皮疹消退。高血压病史4年。否认药物、食物过敏史。



入院检查情况如下:



体格检查:T 39℃ ,P 131次/分,R 32次/分,BP 151/99mmHg

神志清楚。喘憋貌。皮肤及关节检查未见异常。双肺呼吸音粗,双下肺可闻及吸气相湿啰音。心律齐,各瓣膜听诊区未闻及杂音。腹平软。双下肢无水肿。



实验室检查:ABG(FiO2 45% ):pH 7.45, PaCO₂ 36mmHg, PaO₂ 67mmHg。

血常规:WBC 7.8×10⁹/L,NE% 84.3%,LY 0.6×10⁹/L。

CRP:101 mg/L,PCT:0.09 ng/mL;IL-6:69.4↑pg/ml。

肝肾功能、心肌损伤标记物、BNP均正常。

凝血:PT 14.1 s,APTT 31 s,FIB 6.16↑ g/L,D-Dimer 0.37↑ g/L。

呼吸道九联检IgM:阴性。

血培养:阴性

血G试验、GM试验:阴性。

结核γ干扰素释放试验:阴性。

免疫球蛋白+补体:IgG 7.61 g/L,IgM 0.33↓g/L,补体正常。

自身抗体谱(ANA+抗ENA谱):阴性;ANCA:阴性;肌炎抗体谱:阴性。



辅助检查:

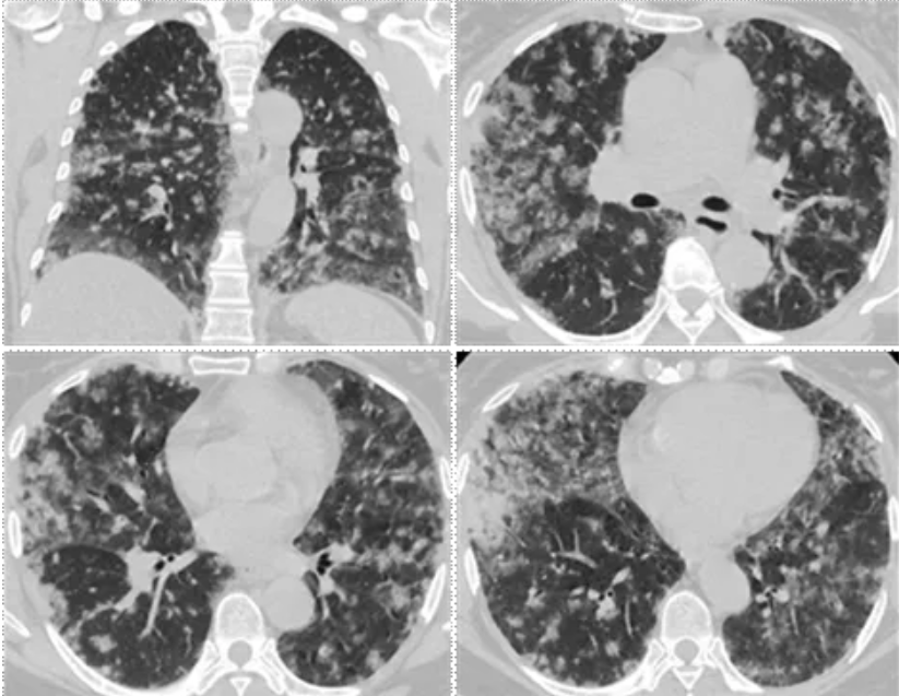
胸部 CT:双肺弥漫斑片状磨玻璃密度灶,部分边界欠清,病变主要沿支气管血管束分布,以双肺中外带、胸膜下为著,其内可见小叶间隔增厚,伴多发片状小实变灶(图1)。



图1.


关键检查排除感染,药物性间质性肺病成焦点……真相是它吗?


讲述者:王世轩


总结病史特点,患者为中年女性,急性病程,主要表现为发热、咳嗽、迅速进展的呼吸衰竭,实验室检查提示淋巴细胞减少、CRP显著升高,胸部 CT 示双肺弥漫斑片状磨玻璃密度灶。需考虑以下鉴别诊断:



1. 感染性疾病:患者急性起病,发热、咳嗽、气促,CRP显著升高,胸部CT见双肺弥漫渗出,首先需考虑感染性疾病。结合患者影像,不符合常见细菌、真菌等感染表现,需警惕结核、病毒等病原可能,初步筛查阴性,进一步可考虑完善支气管镜下支气管肺泡灌洗进一步排查;



2. 结缔组织病相关间质性肺疾病(CTD-ILD):患者基础银屑病病史,此次发热、快速进展呼吸衰竭,双肺弥漫磨玻璃渗出,需警惕合并皮肌炎等自身免疫性疾病肺受累可能。但患者无皮疹、肌无力等表现,且自身抗均阴性,不支持CTD-ILD,考虑可能性较低;



3. 药物相关性间质性肺病(DI-ILD):患者银屑病,使用依奇珠单抗3个月后出现肺部病变,该药为生物制剂,虽相关病例少见,但近年来生物制剂诱导的 DI-ILD 呈上升趋势,需考虑改诊断可能,但需充分除外感染等其他病因后方可考虑诊断。


入院次日,在全身麻醉下行支气管肺泡灌洗及经支气管肺冷冻活检。支气管肺泡灌洗液(BALF)呈淡黄色,细胞学分类示:淋巴细胞比例显著升高(巨噬细胞 14%,中性粒细胞 3%,淋巴细胞 75%,嗜酸细胞 8%);BALF 细菌培养、找抗酸 结核X-Pert、真菌培养、GM等病原学检测均为阴性。


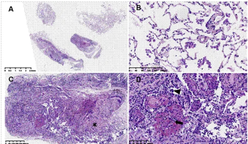
经支气管肺冷冻活检(TBLC)组织病理检查:送检肺组织,支气管壁内淋巴细胞、浆细胞及嗜酸性粒细胞等多型炎细胞浸润,间质纤维增生,局灶肺泡上皮增生,肺泡腔内纤维素蛋白样物沉积。考虑炎症性病变,未见肉芽肿,抗酸染色阴性(图2)。



图2.


本例依奇珠单抗相关DI-ILD背后的DI-ILD诊疗有何启示?


讲述者:廖纪萍


结合前述经过,我们考虑依奇珠单抗导致的药物相关性间质性肺病(DI-ILD),予甲泼尼龙 40mg/d 静脉治疗,患者体温恢复正常,呼吸衰竭迅速改善,炎症指标下降,1周后复查胸部CT提示双肺病变明显吸收。出院后激素逐渐减量,2 个月后停药。停药后复查胸部 CT ,提示肺部病变完全吸收(图3)。



图3.



最后诊断:依奇珠单抗导致的药物相关性间质性肺病。



诊断依据:


①中年女性,基础银屑病病史,近期使用依奇珠单抗治疗后出现发热、咳嗽、进行性气促,符合药物暴露与疾病发生的时间关联性;


②患者胸部 CT 示双肺弥漫性磨玻璃影及实变影,BALF示淋巴细胞比例显著升高,经支气管肺冷冻活检病理提示炎性细胞浸润、间质纤维化等间质性肺病改变,且排除感染、肉芽肿等其他病因,符合DI-ILD的影像、细胞及病理特点;


③该患者停用依奇珠单抗并予糖皮质激素治疗后,症状、炎症指标及肺部影像学均快速改善,停药后病变完全吸收,符合 DI-ILD 治疗反应特点。


经验与体会


药物相关性间质性肺疾病(Drug-induced interstitial lung disease, DI-ILD)是一类由各种药物引起的一组广泛且高度异质性的疾病,占所有ILD病因的 3%-5%。目前已有超过 400 种药物被证实可诱发DI-ILD,且随着新型治疗药物的不断问世,其发病率呈持续上升趋势。生物制剂引起的DI-ILD 虽相对少见,但近年来发病趋势亦明显升高。依奇珠单抗(Ixekizumab)是一种靶向白介素 - 17A 的单克隆抗体,在银屑病治疗中疗效显著,已获批用于中重度斑块状银屑病及银屑病关节炎的生物制剂治疗;截至目前,全球报道的依奇珠单抗相关 DI-ILD 病例仅 3 例。


DI-ILD 的发病机制复杂多样,具体机制因药物的不同而异。其中,细胞毒性介导的肺损伤与免疫介导的肺损伤是两大核心机制,二者既可单独作用,也可协同致病。近期研究表明免疫机制失调是生物制剂相关 DI-ILD发病的关键因素。DI-ILD发病时间从接触致病药物后数天到数年不等。在 3 例已报告的依奇珠单抗引起的DI-ILD病例中,发病时间分别为用药后5个月、7个月和 8个月。DI-ILD可表现出多种临床模式,从无症状到以发热、气短为特征的急性肺炎,甚至危及生命的急性呼吸窘迫综合征。最常见的影像学模式是斑片状磨玻璃影、不规则线状(网状)影、实变和小叶中心结节。尽管不具有特异性,但胸部 CT 扫描通过明确疾病范围和反映药物性间质性肺病的炎症性质,在该病诊断中具有核心作用。DI-ILD 可呈现多种组织病理学亚型,包括弥漫性肺泡损伤、机化性肺炎、非特异性间质性肺炎、嗜酸性粒细胞性肺炎及肉芽肿性肺病等,但上述病理类型均非 DI-ILD所特有。


DI-ILD的诊断具有挑战性。Fleischner Society提出了药物性间质性肺病的 3 项诊断标准:(1)胸部 CT 或 X 光片新发现肺实质浸润影,通常呈双侧非节段性分布;(2)临床表现与治疗药物的启用存在时间关联;(3)排除其他可能的病因。支气管镜检查和支气管肺泡灌洗是重要的检查手段,有助于排除间质性肺病的其他病因,如感染性疾病、血管炎及肺泡出血等。BALF的细胞学分类可为药物性间质性肺病的各种病理类型提供参考。DI-ILD患者典型BALF特征是以 CD8⁺细胞为主的淋巴细胞性肺泡炎。肺活检在药物性间质性肺病常规诊断中的应用证据有限,但与支气管肺泡灌洗类似,在诊断不明确或需要排除其他病因的特定病例中可能有所帮助。


停用致病药物是DI-ILD的主要治疗方法。既往文献显示,2/3的病例在停用生物制剂后 2-6个月内自行恢复,无需特殊治疗。对于症状严重或疾病进展迅速的患者,建议使用糖皮质激素治疗,但指南尚未对其进行标准化。关于DI-ILD糖皮质激素的剂量方案和疗程,相关观察性研究有限,其剂量主要根据临床经验、疾病严重程度以及放射病理亚型而定。



本期点评


本期病例展示了一例少见的抗IL-17A单克隆抗体相关间质性肺病的诊疗经过。生物制剂的广泛应用,给呼吸科医生带来了新的挑战。有的生物制剂由于作用靶点的原因,既可能诱发重症感染,也可以导致严重的药物性间质性肺病(DI-ILD), 症状与影像难以鉴别,诊断需尽快“排除一切可能”。这位患者的故事,正是这种“少见却致命”情况的典型缩影。当患者使用药物后出现发热、咳嗽、进行性呼吸困难伴双肺弥漫病变时,应该首先快速全面排查感染。当全面病原筛查均为阴性时,即应转向非感染疾病(特发性或继发间质性肺病,各种原因导致的肺损伤)。本病例充分体现了DI-ILD 诊断的核心逻辑,即需紧扣 “用药时序 - 影像异常 - 病因鉴别” 三个要素。发病前的特殊用药史,快速进展的双肺弥漫病变,常规检查全部阴性,支气管肺泡灌洗(BALF淋巴细胞占比75%)与冷冻肺活检病理的关键线索,以及停药+激素治疗后的快速好转,每一步都考验着医生的诊断思维与决策速度。


当一位长期受银屑病困扰的中年女性,终于通过依奇珠单抗控制了皮损时,没人料到这款“精准治疗”的生物制剂,会突然引发致命的肺部危机。发热、咳嗽、进行性气促,短短1周内进展为急性呼吸窘迫综合征(ARDS),双肺弥漫性磨玻璃影布满CT屏幕。更让呼吸医生头疼的是,感染筛查(血培养、结核、真菌)全阴性,自身抗体(ANA、ANCA)无异常,甚至结核γ干扰素释放试验也未提示结核活动。“不是感染,不是自身免疫,那是什么?”这或许是每个遇到此类病例的医生都会陷入的困惑。生物制剂的广泛应用,给皮肤病、风湿病患者带来了福音,但也给呼吸科医生带来了新的挑战,那些“疗效确切”的药物,可能通过未知的免疫机制,诱发严重的药物性间质性肺病(DI-ILD)。它像个“伪装者”,临床表现与感染性肺炎、特发性间质性肺炎重叠,诊断需“排除一切可能”,而延误诊断可能导致患者失去最佳治疗时机。这位患者的故事,正是这种“少见却致命”情况的典型缩影,常规检查无法揭示的病因,支气管肺泡灌洗(BALF淋巴细胞占比75%)与肺活检(炎性细胞浸润、间质纤维化)的关键线索,以及停药+激素治疗后“立竿见影”的好转,每一步都考验着医生的诊断思维与决策速度。



参考文献 

[1] Ghoreschi K, Balato A, Enerbäck C, Sabat R. Therapeutics targeting the IL-23 and IL-17 pathway in psoriasis. Lancet. 2021;397(10275):754-766.

[2] Miyagawa H, Hara H, Araya J, et al. Characteristics of anti-IL-17/23 biologics-induced interstitial pneumonia in patients with psoriasis. PLoS One. 2021;16(1):e0245284.

[3] Matsumoto Y, Abe N, Tobita R, et al. The risk of interstitial lung disease during biological treatment in Japanese patients with psoriasis. Clin Exp Dermatol. 2020;45(7):853-858.

[4] Oka R, Inoue T, Hashimoto A, Tsuruta N, Nagase K, Sugita K. Improvement of ixekizumab-related interstitial pneumonia following its discontinuation in a patient with psoriatic arthritis. Eur J Dermatol. 2022;32(2):281-282.

Ahmed A, Khanna P, Omari OA, et al. Ixekizumab-induced interstitial lung disease. Am J Ther. 2024;31(3):e315-e318. 

[5] Johkoh T, Lee KS, Nishino M, et al. Chest CT diagnosis and clinical management of drug-related pneumonitis in patients receiving molecular targeting agents and immune checkpoint inhibitors: a position paper from the Fleischner Society. Chest. 2021;159:1107–1125.

[6] Matsuno O. Drug-induced interstitial lung disease: mechanisms and best diagnostic approaches. Respir Res. 2012;13(1):39.

[7] Spagnolo P, Bonniaud P, Rossi G, Sverzellati N, Cottin V. Drug-induced interstitial lung disease. Eur Respir J. 2022;60(4):2102776.



专家介绍

王世轩

北京大学第一医院 呼吸和危重症医学科 主治医师。2018年毕业于北京大学医学部,获医学博士学位。2022年完成国家专科医师培训(PCCM)。北京医师协会支扩学组委员。擅长肺部感染、慢性气道疾病的诊治。发表多篇SCI和国内核心期刊论文。


廖纪萍

北京大学第一医院 呼吸和危重症医学科 副主任医师、副教授。中华医学呼吸病学分会慢阻肺学组委员、北京医学会呼吸分会慢阻肺学组委员、中华医学会公共卫生分会第十届委员会青年委员会委员、中国老年医学会呼吸病分会慢阻肺学组委员。研究方向为慢阻肺、哮喘和肺血管疾病、呼吸系统感染性疾病,熟练掌握支气管镜、胸腔内镜的操作。参加重大慢性非传染性疾病防控研究、首都卫生发展科研专项项目等多个重点课题。发表多篇SCI和国内核心期刊论文。


马靖

北京大学第一医院呼吸和危重症医学科主任,医学博士,主任医师,博士研究生导师。中国医师协会呼吸医师分会委员,中华医学会呼吸分会睡眠呼吸障碍学组委员,中国医师协会睡眠医学专业委员会委员,中国医疗保健国际交流促进会睡眠医学分会常委等。主要研究方向为睡眠呼吸疾病,间质性肺病。承担多项国家自然科学基金和省部级科研项目。


* 文章仅供医疗卫生相关从业者阅读参考


本文完

采写编辑:冬雪凝;责编:Jerry

952