引言
这例老年发热待查的诊断历程,藏着老年恶性疾病最容易被忽略的“陷阱”——PET-CT阴性的“误导”、感染对肿瘤的“掩盖”、多系统症状的“干扰”、有创检查的“限制”,每一步都可能让诊断偏离方向。当“感染”与“肿瘤”纠缠不清时,医生需要怎样的“火眼金睛”,才能从“炎性病变”的表象中,揪出“淋巴瘤”的真正元凶?
79岁女性、3个月不明原因发热伴体重骤降5kg,左肺结节从1cm暴增至2.4cm,外院PET-CT提示炎性病变、肿瘤标志物全阴性,难道真的只是感染?
【卷宗1】
女性患者,79岁,因“反复发热3月余”于2025年12月1日入我院。
讲述者:赖博文 杨文韬
该患者热峰39-41℃,于外院先后经哌拉西林/他唑巴坦、万古霉素、亚胺培南西司他丁联合替加环素、头孢哌酮/舒巴坦等多种广谱抗生素治疗无效。入我院后三系进行性下降(PLT最低12×10⁹/L)。住院期间出现意识障碍,脑脊液检查示血性,白细胞67×10⁶/L(单个核57%),蛋白2243 mg/L,糖5.82 mmol/L,腺苷脱氨酶3.5 U/L,墨汁染色阴性。颅脑MRI增强提示脑膜炎可能。经科室讨论,考虑结核性脑膜炎可能,启动诊断性抗结核治疗。此后三系进行性下降,12月31日骨髓穿刺确诊淋巴瘤,家属放弃治疗后出院。患者现病史见第二份卷宗:
卷宗2
现病史:缘于入院前3月余(2025-8-20)无明显诱因出现发热,Tmax39℃,伴畏冷、寒战,伴咳嗽,无咳痰,无胸闷、胸痛,无头晕、乏力,无腹痛、腹泻,无尿频、尿急,无关节痛、皮疹等不适,就诊重庆陆军特色医学中心(9.05-10.02)。
住院期间查血常规(9.5):白细胞 5.09×10^9/L,单核细胞百分数14.9%,血红蛋白92g/L,。
肝功:白蛋白31.3g/L,AST 40.3U/L,LDH 726.1U/L,炎症指标:CRP 33.26mg/L PCT 0.05ng/ml,IL-6 25.41pg/mt,ESR 59mm/h。
EB-DNA:2.45E+03copies/mt;09.12血培养(24h报阳):耐甲氧西林人葡萄球菌。09.13血液mNGS提示肺炎克雷伯杆菌(序列数:5)。
呼吸道病原体谱、TORCH、CMV-DNA、TB-SPOT、血脂肪酶、淀粉酶、大便常规+隐血阴性。
糖化血红蛋白 9.20%。自身抗体谱阴性、抗核抗体1:100,抗CCP、RF阴性;肿瘤标志物9项:NSE 32.90ng/mL,CEA 7.01ng/mL。
胸部+全腹增强CT(9.10):
1、双肺散在斑片影,考虑炎性病变可能;
2、两肺门、纵隔多发钙化淋巴结;
3、左、右心房增大,冠状动脉走行区域多发高密度影;
4、胰腺改变,考虑慢性胰腺炎?胰腺导管结石并远端胰管梗阻、扩张;
5、十二指肠乳头部改变,考虑十二指肠乳头肥大?新生物待除外;
6、慢性胆囊炎;
7、双肾小结石。
心脏彩超(09.12):三尖瓣少量返流。主动脉瓣少量返流。左室舒张功能降低。
超声胃镜(09.18):1.慢性胰腺炎?2.胰管结石伴胰管扩张。
09.30全身PET-CT:
1、双肺散在异常密度影,部分病灶FDG代谢轻度增高,考虑炎性病变可能性大,左肺下叶0.7*1.1cm(SUVmax:2.03);
2、四肢骨近段、腰2椎体、骶椎FDG代谢增高,考虑反应性功能增强可能;
3、双侧大脑半球散在腔隙性脑梗塞;脑萎缩;
4、双侧肺门及纵隔多发增大淋巴结,部分病灶FDG代谢增高,考虑炎性增生可能性大,最大1.8*0.9cm(SUVmax:3.63);
5、胰腺改变,未见FDG代谢异常增高,考虑慢性胰腺炎可能;
6、双肾结石;
7、子宫体PDG代谢增高(SUVma:4.2),考虑炎性病变可能。
患者住院期间体温波动于38-39.2℃,多于午后出现发热,间断有畏冷寒战,伴上腹部及胸前区不适。予哌拉西林他唑巴坦4.5g q8h (9.11-9.12);万古霉素0.5g q12h(9.12-9.14);万古霉素0.5g q12h+舒普深3g q12h(9.15-9.19);舒普深1.5g q8h+奥硝唑0.5g q12h 9.20-9.22)抗感染后仍反复发热。
2025年9月22日,多学科会诊后考虑:1、发热原因为胰管结石伴胰管不完全性梗阻引起间断菌血症可能性大,耐药菌感染不除外,调整抗感染方案为:亚胺培南西司他丁1g q6h+替加环素50mg q12h(9.23-10.01);2、建议完善MRCP,可考虑行ERCP+胰管取石+胰管支架植入术治疗。调整抗感染方案后热峰下降,体温波动于37.8-38.3℃左右,后家属拒绝行ERCP+胰管取石+胰管支架植入术治疗,要求办理出院。
出院后,患者仍有反复发热,5天前(11.26)就诊安溪县医院,查血常规(11.26):白细胞计数3.50×10^9/L,血红蛋白80g/L,血小板计数131×10^9/L;血G试验:143.74↑;血GM试验、血隐球菌荚膜抗原阴性;血常规11.30:白细胞计数2.29×10^9/L,血红蛋白59g/L,血小板计数12×10^9/L;疟原虫、登革热病毒均阴性。11.27胸部+上腹部CT:1.双肺多发结节。2.主胰管扩张并胰管区高密度影,考虑胰管结石可能,待除钙化所致;3.双肾多发小结石。4.腹腔少许积液”。予头孢哌酮钠舒巴坦钠3g q12h(11.27-11.30)、氟康唑0.4g qd(11.26-12.1)抗感染、特比澳升血小板等治疗后仍反复发热,间断伴畏冷、寒战,为进一步诊治来我院就诊,急诊拟“发热待查”收入院。自发病以来,精神状态一般,体力情况一般,食欲食量差,睡眠情况一般,近3个月减轻5kg,二便正常。
既往史:糖尿病30年,平素胰岛素控制血糖。2024年(10.23-11.08)因“反复发热1月余。”于我院呼吸内科住院。个人史、月经婚育史、家族史均无特殊。入院查体及相关检查请见第三份卷宗:
卷宗3
入院查体:T:36.4℃ P:86次/分 R:20次/分 BP:124/78mmHg,spo2 96%。神志淡漠,查体欠合作。全身浅表淋巴结无肿大。颈软,无抵抗,双肺呼吸音粗,未闻及干湿性啰音。心律齐,各瓣膜听诊区未闻及病理性杂音,无心包摩擦音。腹平软,拒按,腹部查体不满意,肝脾肋下未触及,肝肾无叩击痛,肠鸣音正常。双下肢无浮肿。病理征阴性。
入院后完善相关检查:
三大常规(入院第1天):血常规:白细胞计数(WBC) 2.6×10^9/L,中性粒细胞百分比(NEUT%) 77.0%,中性粒细胞计数(NEUT#) 2.0×10^9/L,血红蛋白(HGB) 85g/L,血小板计数(PLT) 15×10^9/L。尿常规:隐血1+,余指标无异常。粪常规+隐血试验:正常。
生化:白蛋白(ALB) 28g/L,总胆红素(TBIL) 13.5umol/l,直接胆红素(DBIL) 9.3umol/l,丙氨酸氨基转移酶(ALT) 16U/L,天门冬氨酸氨基转移酶(AST) 92U/L,碱性磷酸酶(ALP) 136U/L,乳酸脱氢酶(LDH) 1238U/L,甘油三酯 尿素(UREA) 5.2mmol/l,肌酐(CREA) 78umol/l,尿酸(UA) 483umol/L,钾(K) 3.20mmol/l。
凝血功能:凝血酶原时间(PT) 60.2s,活化部分凝血活酶时间(APTT) 88.4s,凝血酶时间(TT) 22.0s,纤维蛋白原(FIB) 1.42g/L,抗凝血酶活性(AT:A) 44.9%,纤维蛋白(原)降解产物(FDP) 2.44mg/L,D-二聚体(D-D) 1.13mg/L。
炎症指标:降钙素原 1.40ng/mL, C-反应蛋白 81.50mg/L,血沉16mm/h。铁蛋白(SF) >1500.0Ug/l。
心功能:N端-B型钠尿肽前体 33710.00Pg/ml,肌钙蛋白I定量 1.682ng/mL。
病原学:EB病毒DNA :2.45E+03Copies/mL;EB抗体阴性。2次血培养阴性。呼吸道病原学六项、新型冠状病毒RNA、结核感染T细胞干扰素释放试验、肥达反应、人巨细胞病毒DNA、布鲁菌病抗体四项均正常。
肿瘤标志物:癌胚抗原(CEA) 8.25ng/mL。
免疫方面:细胞免疫: CD4细胞计数 121个/μl, CD8细胞计数 207个/μl, CD4/CD8 0.58, NK细胞百分比 3.56%,NK细胞计数 14个/μl, CD19细胞计数 25个/μl, CD45细胞计数 386个/μl。体液免疫: 免疫球蛋白G 16.20g/L↑,免疫球蛋白A 4.800g/L↑,补体C3 0.70g/L↓。抗人球蛋白试验(直接法)阳性(2+)。自身抗体、抗心磷酯抗体、ANCA均阴性。(12.03)心脏彩超(EF 34%):1、室壁运动减弱,左室射血分数降低;2、左房扩大,二尖瓣少量反流;3、三尖瓣少量反流;4、主动脉瓣回声增强伴微量反流;5、左室收缩及舒张功能减低。(12.04)浅表淋巴结彩超:双侧颈部及双侧腋窝未见明显异常肿大淋巴结。(12.05)全腹彩超:轻度脂肪肝。肝内多发低回声,低脂分布?血管瘤?胆囊壁增厚、毛糙。胆囊附壁稍高回声,性质待定,考虑息肉可能。胆总管上段扩张,中上段结石。脾内强回声,考虑钙化斑。双肾实质回声增强。双肾多发结石。膀胱壁毛糙。子宫内膜增厚。腹腔积液。
初步诊断为:1.发热待查(感染性?肿瘤性?);2.三系减低原因待查;3.心功能不全;4.凝血功能障碍;5.低蛋白血症;6.电解质紊乱;7.糖尿病。
初步治疗:入院后予特比澳升血小板,输注血小板、血浆等支持治疗。
PET-CT阴性就能排除肿瘤吗?为何短期内病灶翻倍增长的“肿瘤生长规律”,会被“炎性病变”的诊断延迟?感染是“主谋”还是“帮凶”?
讲述者:赖博文
再来看患者的病情变化与诊疗经过:
2025-12-03(入院第3天):患者出现反复低血糖、低钠血症,查皮质醇-8AM 72.39nmol/L↓,皮质醇-4PM 62.46nmol/L,ACTH 1.52pg/mL↓。甲功:TSH 0.10mIU/L↓,FT3 3.23pmol/L↓。内分泌科会诊考虑席汉综合征可能,予泼尼松10mg bid替代治疗(12-04起),雷替斯25ug qd(12-10起)。患者精神状态较前好转。
2025-12-12(入院第12天):出现发热,Tmax 40℃,伴左侧腰痛。尿常规:白细胞6058.8个/μl,红细胞427.7个/μl,细菌10278个/μl。考虑泌尿系感染,予哌拉西林4.5g q8h抗感染。12-16尿培养:粪肠球菌、耐碳青霉烯类肺炎克雷伯菌。12-16改为头孢他啶阿维巴坦2.5g q8h抗感染。但患者仍反复高热,神志逐渐转为嗜睡。
2025-12-15(入院第15天):复查胸部CT示左肺下叶结节较前明显增大(2.4cm×1.7cm),双肺新增多发结节,部分MT可能。全腹彩超:轻度脂肪肝,胆囊壁增厚,胆总管上段扩张并结石,双肾多发结石,腹腔积液。
图1 我院12.15胸部CT增强对比旧片
患者双肺散在多发结节灶,左肺下叶外基底段见一较大结节灶(2.4cm×1.7cm),边界尚清,增强扫描呈不均匀明显强化,邻近胸膜增厚。余双肺见多发小结节(大者约0.6cm×0.6cm),界清,部分于纵隔窗显示,增强扫描呈不均匀强化。双肺可见散在网格状、蜂窝状、斑片状及条索状密度增浓影,边界较清。双肺部分支气管管壁增厚,以右肺为著。双肺门区及纵隔内见多发稍大淋巴结,部分伴钙化(大者短径约1.0cm)。双侧胸膜稍增厚,双侧胸腔少量积液。扫及主动脉壁、冠状动脉壁可见钙化灶。左侧第9肋骨腋段部分骨皮质不连;胸7椎体变扁呈楔形。扫及双乳见散在钙化斑点,双肾散在小斑点状致密影。甲状腺密度不均,其内可见结节状稍低密度灶。肝内多发类圆形低密度灶(大者径约2.2cm),部分呈轻度强化。双侧肾上腺各见一结节(大者径约1.1cm),增强扫描呈轻度强化。腹腔少量积液。
面对当前情况,我们不得不思考,当亚胺培南、替加环素等高级抗生素轮番上阵,体温仍反复飙升至41℃;当三系减低、铁蛋白>1500μg/L、LDH持续>1000U/L的“恶性信号”持续报警;当垂体功能减退、多浆膜腔积液、噬血征象同时出现,需要直面的最棘手疑问是:当多次血培养阳性、mNGS检出病原体,是感染导致了所有症状,还是肿瘤在“借感染之名”掩盖恶性本质?多系统受累的“迷局”如何破解?垂体-肾上腺轴功能低下、凝血障碍、三系减低,究竟是各自独立的疾病,还是同一个“元凶”的不同表现?
有创检查受限的情况下,如何拿到“确诊钥匙”?血小板严重减少导致肺穿刺无法实施,医生如何突破“禁区”,最终通过骨髓穿刺明确诊断?
讲述者:陈丽娟 谢晓霞
综上,科室于2025年12月18日进行了疑难病例讨论,讨论情况如下:
林棱主任医师:该病例的影像学演变非常值得深究。患者9月份PET-CT显示双肺病灶SUVmax仅2.03,纵隔淋巴结SUVmax 3.63,当时确实倾向于炎性病变。但3个月后左肺结节从1cm迅速增大到2.4cm,这种倍增速度符合肿瘤生长规律,而非感染性疾病。需要警惕PET-CT在部分低度恶性淋巴瘤或黏液腺癌中的假阴性,因其FDG摄取可能不高。此外,全身多发钙化灶(肺、胰腺、淋巴结)需考虑两点:一是是否为陈旧性结核钙化,但患者TB-SPOT阴性,无结核中毒症状,钙化灶稳定不支持活动性结核;二是需警惕肿瘤相关的营养不良性钙化,特别是淋巴瘤可能。关于中枢受累,患者有淡漠、定向力障碍,虽颈软无抵抗,但老年颅内感染脑膜刺激征常不典型。脑脊液检查是必需的,但需警惕血小板重度低下带来的操作风险。目前三系减低不能以单纯感染解释,需高度怀疑骨髓浸润或噬血细胞综合征。
李鸿茹主任医师:垂体功能低下的原因需要重点甄别。患者皮质醇和ACTH同步降低,提示继发性肾上腺皮质功能减退。垂体MRI未见异常,席汉综合征诊断存疑——该综合征多见于产后大出血,79岁女性无相关病史。我更倾向于肿瘤相关性内分泌异常:一是淋巴瘤直接侵犯垂体,但影像学未显示;二是肿瘤分泌的细胞因子(如IL-6、TNF-α)抑制下丘脑-垂体轴,称为肿瘤相关肾上腺皮质功能不全。此外,患者有低钠血症,还需鉴别抗利尿激素分泌异常综合征(SIADH),这在肿瘤中常见。胸部增强CT是必要的,可观察结节血供及强化模式,肺癌转移与淋巴瘤的影像学特征不同:前者多为 solitary nodule with spiculation,后者多为 multiple nodules with ground-glass halo sign。建议尽快在风险可控前提下获取肺组织活检。
魏硕主任医师:从感染角度,我们不能轻易排除特殊病原体感染。患者G试验显著升高(143.74),虽GM试验阴性,但需警惕播散性隐球菌病:其影像学可表现为多发结节,可累及肺、中枢神经系统,并引起内分泌异常(侵犯垂体)。但隐球菌荚膜抗原阴性,不支持。NTM(非结核分枝杆菌)感染也可表现为肺部结节、淋巴结肿大、消耗症状,且对常规抗结核药耐药,但通常病程更长,不会如此快速进展。另一个关键是侵袭性真菌病合并血液肿瘤:患者有糖尿病、长期使用广谱抗生素、细胞免疫低下(CD4仅121个/μl),是真菌高危人群。但氟康唑治疗无效,且病灶进展速度不符合真菌感染特征。我认为当前核心问题是:感染是并发症,而非原发病。我们的抗感染策略应针对当前检出病原体(CRKP),但更重要的是明确原发病诊断。
许能銮主任医师:三系减低和铁蛋白>1500μg/L是重要的肿瘤警示信号。根据HLH-2004诊断标准,患者目前已满足:发热、脾不大(但影像学未详细评估)、血细胞减少(累及两系以上)、高甘油三酯、高铁蛋白、低纤维蛋白原、NK细胞活性降低(计数仅14个/μl),已足够诊断噬血细胞综合征。噬血可由淋巴瘤(特别是T/NK细胞淋巴瘤)直接引发,也可由感染诱发。骨髓穿刺是确诊的金标准,既可评估噬血现象,也可寻找淋巴瘤细胞。另外,直接抗人球蛋白试验(2+)阳性提示存在自身免疫性溶血,这在淋巴瘤中常见,可为诊断提供佐证。外院曾使用哌拉西林他唑巴坦等β-内酰胺类抗生素,可能导致药物性血小板减少,但本例停药后无改善,不支持药物因素。建议立即行骨髓穿刺+活检,同时查sCD25、NK细胞活性功能试验完善HLH诊断。
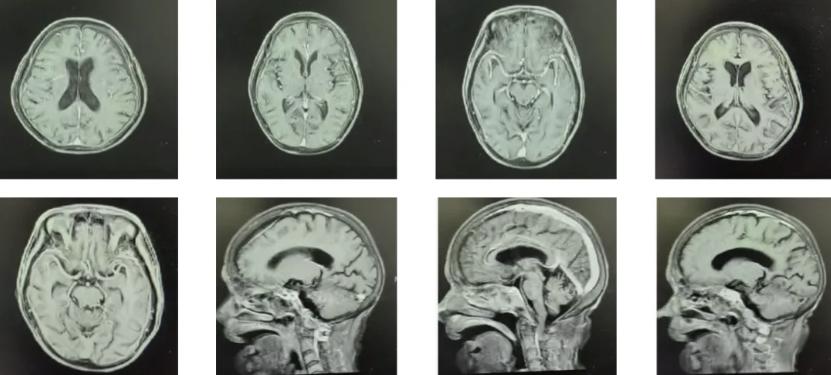
2025-12-19(入院第19天):完善腰椎穿刺,脑脊液常规:轻度血性,浅红色,潘迪氏试验阳性,红细胞22900×10^6/L,白细胞67×10^6/L(单个核57%,多个核43%)。脑脊液生化:葡萄糖5.82mmol/L,氯109mmol/L,ADA 3.50U/L,总蛋白2243mg/L。墨汁染色未检出隐球菌。同步血糖14.50mmol/L。颅脑MRI平扫+增强提示脑膜炎可能。
图2 我院12.19颅脑MRI平扫+增强
左侧顶叶见小斑点状DWI高信号(急性-亚急性脑梗塞可能);大脑半卵圆区、基底节区可见多发斑点状、斑片状长T1、长T2信号,部分病灶T2-FLAIR上呈稍高信号,部分沿侧脑室旁晕状分布,增强扫描未见强化。双侧额顶部少许硬膜下积液(宽约0.8cm)。增强扫描显示双侧脑膜明显线样强化,符合脑膜炎改变:脑实质未见明显异常强化灶。部分脑室、沟、池增宽,脑中线结构居中。
结合影像学进展、三系减低、铁蛋白显著升高、LDH持续>1000U/L,考虑结核性脑膜炎不能排除,于2025-12-19开始诊断性抗结核治疗:甲泼尼龙40mg→80mg;异烟肼300mg qd;利福平0.45g qd;吡嗪酰胺0.5g bid;乙胺丁醇0.75g→0.6g qd;阿米卡星600mg qd;左氧氟沙星0.5g qd。
2025-12-25(入院第25天):患者仍反复高热(最高41℃),神志未好转,双系血细胞持续降低。高甘油三酯、高铁蛋白,需考虑噬血细胞综合征可能,予静注人免疫球蛋白15g qd(12-25至12-29)调节免疫。抗结核期间出现肝功能损害,停用异烟肼、利福平,加用左氧氟沙星、阿米卡星。
2025-12-26至12-31:患者血小板计数仍反复降低,出现三系减低,血涂片见异常淋巴细胞。
图3 我院12.31血涂片:可见异常淋巴细胞,血小板显著减少,三系减低
2025-12-31(入院第31天):完善骨髓穿刺,结果提示淋巴瘤。
图4 我院12.31骨髓穿刺病理:骨髓增生活跃,见大量异常淋巴细胞浸润,胞体大小不一,核染色质粗糙,核仁可见,正常造血细胞三系受抑。病理诊断:淋巴瘤骨髓浸润(具体分型待免疫组化结果)。
图5 骨穿镜下可见典型淋巴瘤细胞
最终诊断
淋巴瘤(病理分型待免疫组化);噬血细胞综合征(高度怀疑);结核性脑膜炎(高度怀疑);多器官功能损害;泌尿系感染(CRKP);继发性肾上腺皮质功能减退;糖尿病;多浆膜腔积液。
后续治疗及病情转归:患者家属了解病情后,表示拒绝血液科化疗等进一步治疗,要求出院,予办理出院。
经验总结:本例患者核心问题在于老年女性长期发热伴多系统损害的鉴别诊断,具有以下特点:1.临床特征:高龄,3个月发热病程,体重下降5kg,初始表现为感染征象,但抗感染效果不佳。2.影像学演变:从2024年10月左肺小结节(1cm),到2025年9月PET-CT未见恶性征象,再到12月肺部病灶快速进展(2.4cm)并双肺多发结节,呈暴发性进展。3.血液系统异常:入院时即表现为三系减低,铁蛋白>1500μg/L,LDH持续>1000U/L,凝血功能障碍,提示恶性疾病可能。4.内分泌异常:垂体-肾上腺轴功能低下(皮质醇、ACTH降低),但垂体MRI正常,需鉴别席汉综合征与肿瘤相关内分泌异常。5.感染与肿瘤重叠:病程中检出MRSCN、CRKP、EB病毒,G试验阳性,同时存在免疫激活和消耗表现。
诊断难点:1.早期肿瘤标志物不典型:外院PET-CT及肿瘤标志物未提示恶性,导致诊断延迟。2.感染掩盖肿瘤:多次血培养阳性、mNGS检出病原体,使治疗重心偏向感染。3.多系统受累干扰判断:垂体功能减退、凝血障碍、噬血征象同时出现,鉴别复杂。4.有创检查受限:因血小板严重减少,肺穿刺活检无法实施,未能早期获得病理。
经验教训:1.老年不明原因发热需警惕肿瘤:即使PET-CT阴性,短期内病灶快速进展仍高度提示恶性。2.三系减低+铁蛋白显著升高是重要线索:应尽早考虑血液系统恶性肿瘤或噬血细胞综合征。3。"感染"治疗效果不佳时需重新评估 :高级别抗生素方案(亚胺培南+替加环素、头孢他啶阿维巴坦)仍反复发热,提示非感染因素。4.重视MDT讨论:各位主任从不同角度提出肿瘤、特殊感染、自身免疫病等鉴别,体现了多学科思维的重要性。诊断性治疗需谨慎:启动抗结核治疗后体温未控制,应及时反思诊断方向,本例最终通过骨髓穿刺明确诊断。
指导老师点评:本病例充分体现了老年发热待查的复杂性。患者高龄、基础疾病多、临床表现不典型,早期诊断极为困难。外院PET-CT阴性结果一度误导诊断方向,但血液系统异常(三系减低、LDH和铁蛋白显著升高)是重要的肿瘤警示信号。临床实践中,当患者出现以下情况时应高度警惕淋巴瘤可能:(1)不明原因发热超过2周;(2)短期内体重明显下降;(3)LDH持续显著升高;(4)影像学病灶快速进展;(5)噬血细胞综合征征象。
本例最终依靠骨髓穿刺明确诊断,再次印证了"病理诊断是金标准"的原则。在老年患者诊疗中,既要积极控制感染,又要时刻警惕肿瘤可能,当抗感染效果不佳、病情反复时,需果断调整思路,尽早获取病理标本。虽然患者最终因个人原因放弃治疗,但诊断过程对提升临床思维能力具有重要价值。
专家介绍
许能銮
福州大学附属省立医院感染性疾病科科主任,中国慢阻肺联盟委员,中国医师协会呼吸医师分会危重症医学委员会委员,中国老年医学学会呼吸病学分会委员,中国研究型医院学会呼吸病学专业委员会委员,中国医师协会睡眠医学专业委员会委员,福建省医师协会感染科医师分会副会长,福建省感染性疾病质量控制中心主任,福建省医师协会呼吸病学分会常委,福建省海峡医药交流协会呼吸病学分会副会长,福建省中西医结合学会睡眠医学分会常委,福建省医学会呼吸病学分会委员,福建省防痨协会理事会理事,福建省医学会感染病学分会委员。擅长:重症肺炎,耐药菌感染、疑难危重感染的诊治。
杨文韬
2007年毕业于福建医科大学内科学专业,现任福州大学附属省立医院感染性疾病科副主任医师,福建省医学会感染病学分会青年委员会副主任委员,福建省医师协会感染科医师分会肿瘤与感染学组委员。医治专长:泌尿系感染、复杂性皮肤软组织感染、感染性心内膜炎、肿瘤合并感染、潜伏结核感染、非结核分枝杆菌感染。
陈丽娟
主治医师,2015年中山大学内科学硕士毕业,之后在福福州大学附属省立医院感染性疾病科工作至今,参与课题2项。医疗专长:感染性疾病,不明原因发热,呼吸道感染,免疫缺陷合并感染、深部真菌感染。
谢晓霞
福州大学附属省立医院感染性疾病科医师,医学硕士。
赖博文
福州大学附属省立医院感染性疾病科医师,医学硕士。
* 文章仅供医疗卫生相关从业者阅读参考
本文完
采写编辑:冬雪凝;责编:Jerry
