2026年2月,瞿介明教授团队在《Nature Communications》 (IF 15.7,Q1)发表题名为“Phosphoglycerate dehydrogenase-mediated serine reprogramming aggravates macrophage hyperinflammation in murine Pseudomonas aeruginosa pneumonia.”—— PHGDH介导丝氨酸代谢重编程加剧铜绿假单胞菌感染中小鼠肺部巨噬细胞过度炎症的研究论文。
瑞金医院呼吸与危重症医学科瞿介明教授、李亚男副研究员为论文的共同通讯作者;陈蓉博士研究生、曾然博士研究生为论文的共同第一作者。
doi:10.1038/s41467-026-69539-1.
铜绿假单胞菌是一种临床常见的条件致病菌,尤其好发于免疫功能低下、长期住院或机械通气的患者。作为医院获得性肺炎的主要病原体之一,其固有的多重耐药机制和强大的生物被膜形成能力,使得临床治疗极为棘手,病死率居高不下。铜绿假单胞菌肺炎的病理进展不仅取决于细菌本身的毒力因子,更与宿主免疫应答的强度密切相关。巨噬细胞作为肺组织抵御病原体入侵的第一道防线,在识别并清除细菌的同时,也会释放大量促炎细胞因子。然而,当炎症反应过度或失控时,这些细胞因子反而会损伤肺组织,导致脓毒症甚至多器官功能衰竭。如何在“有效清除病原体”与“避免免疫损伤”之间取得平衡,是感染免疫领域亟待解决的关键科学问题。
近年来,越来越多的证据表明,巨噬细胞的活化状态与其内部代谢通路的重新布局密切相关。丝氨酸代谢作为氨基酸代谢的重要组成部分,不仅参与蛋白质合成,还通过一碳代谢影响核酸合成、氧化还原平衡和表观遗传修饰。然而,丝氨酸代谢重编程是否参与调控细菌感染过程中巨噬细胞的炎症反应,目前尚缺乏系统研究。
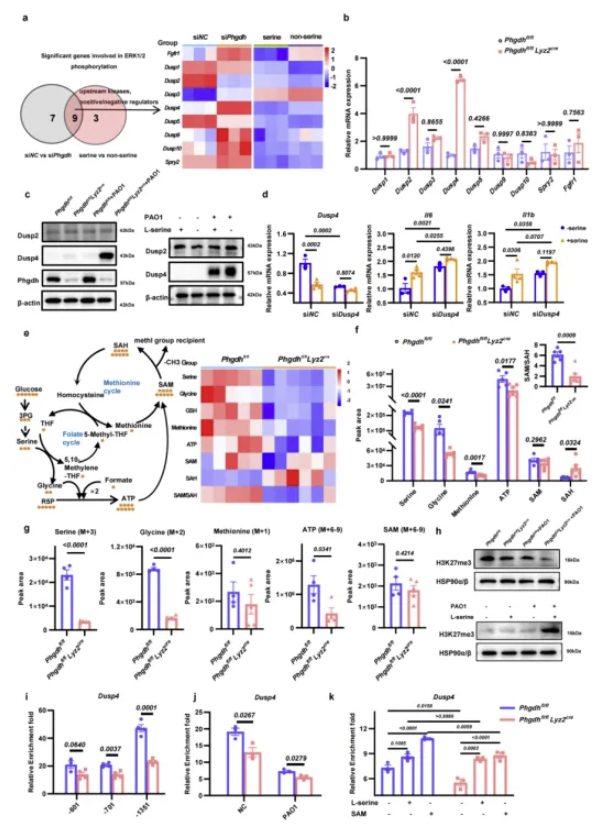
该研究通过单细胞测序定位感染后肺部高表达丝氨酸合成代谢关键限速酶三磷酸甘油酸脱氢酶的主要细胞类型。进一步构建体内外巨噬细胞感染模型,发现铜绿假单胞菌刺激可显著上调三磷酸甘油酸脱氢酶的活性及表达。为验证其功能,研究人员分别采用酶活性抑制剂和小干扰RNA干预三磷酸甘油酸脱氢酶,结果均提示可显著抑制巨噬细胞过度活化及促炎细胞因子释放。通过构建髓系特异性三磷酸甘油酸脱氢酶基因敲除小鼠发现,在铜绿假单胞菌肺炎模型中,基因敲除小鼠存活率显著提高,肺组织病理损伤减轻,肺组织及肺泡灌洗液细菌负荷明显下降;同时伴随肺泡巨噬细胞耗竭程度明显减轻,及促炎巨噬比例的显著降低。机制层面,联合运用RNA测序、代谢流分析、染色质免疫共沉淀技术发现,三磷酸甘油酸脱氢酶驱动的L-丝氨酸合成可增强一碳代谢通量,促进组蛋白H3赖氨酸27三甲基化与双特异性磷酸酶4的相互作用,通过调控ERK1/2磷酸化水平最终放大肺泡巨噬细胞的炎症级联反应。
Phgdh 介导H3K27me3对Dusp4的转录抑制
Abstract
Metabolic reprogramming in immune cells can determine the outcome of pathogen infection. For Pseudomonas aeruginosa, a clinically challenging pathogen, it remains unclear whether the host can exploit this strategy to combat bacterial invasion. Here, we identify phosphoglycerate dehydrogenase as a key mediator of macrophage inflammation during Pseudomonas aeruginosa infection. Pharmacological and genetic inhibition of phosphoglycerate dehydrogenase suppress macrophage hyperactivation and the production of pro-inflammatory cytokines. In a murine model of Pseudomonas aeruginosa pneumonia, myeloid-specific deletion of phosphoglycerate dehydrogenase improves survival, alleviates lung injury, and reduces bacterial load. Similarly, dietary restriction of L-serine improves prognosis in infected mice. Mechanistically, phosphoglycerate dehydrogenase fuels L-serine synthesis to augment one-carbon metabolism, which strengthens the direct interaction between histone H3 lysine 27 trimethylation and dual-specificity phosphatase 4. This cascade ultimately promotes extracellular signal-regulated kinase 1/2 phosphorylation. Our study uncovers a metabolism-epigenetics crosstalk that amplifies macrophage inflammation, proposing metabolic modulation as a therapeutic strategy for bacterial pneumonia.
中文摘要
免疫细胞的代谢重编程可决定病原体感染的结局。对于临床上具有挑战性的病原体如铜绿假单胞菌,目前尚不清楚宿主是否可利用这种策略来对抗其入侵。本研究发现三磷酸甘油酸脱氢酶是铜绿假单胞菌感染过程中介导巨噬细胞炎症的关键分子。利用小分子抑制剂预处理及基因编辑的方式抑制三磷酸甘油酸脱氢酶的活性及表达,均可抑制巨噬细胞的过度活化及相关促炎细胞因子的产生。在铜绿假单胞菌肺部感染的模型中,髓系特异性敲除三磷酸甘油酸脱氢酶可显著提高小鼠的存活率,减轻肺损伤,并减少细菌负荷。同样,L-丝氨酸的饮食限制改善了感染小鼠的预后。机制上,三磷酸甘油酸脱氢酶介导的L-丝氨酸合成可增强一碳代谢生物过程,并触发组蛋白H3赖氨酸27三甲基化与双特异性磷酸酶4的直接互作。这一系列反应最终促进了细胞外信号调节激酶1/2的磷酸化。该研究揭示了激化巨噬细胞炎症反应的代谢-表观遗传学互作机制,并提出了代谢调节可作为细菌性肺炎的一种治疗策略。
【扫描二维码可下载原文】
Phosphoglycerate dehydrogenase-mediated serine reprogramming aggravatesmacrophage hyperinflammation in murine Pseudomonas aeruginosa pneumonia.pdf
作者介绍
瞿介明 主任医师,教授,博士生导师,上海交通大学医学院附属瑞金医院终身教授,上海交通大学医学院附属瑞金医院呼吸与危重症医学科,上海交通大学医学院呼吸病研究所所长,上海市呼吸传染病应急防控与诊治重点实验室主任,中华医学会呼吸病学分会第11届主任委员,中国医师协会呼吸医师分会候任会长;研究方向:肺部感染及新型治疗策略与技术。
李亚男 副研究员,硕士生导师。上海交通大学医学院附属瑞金医院呼吸与危重症医学科;中华医学会呼吸病学分会青年委员,中华医学会细菌感染与耐药防治分会青年委员;研究方向:肺部感染与免疫。
陈蓉 博士研究生,上海交通大学医学院附属瑞金医院呼吸与危重症医学科;研究方向:肺部感染。
曾然 博士研究生,上海交通大学医学院附属瑞金医院呼吸与危重症医学科;研究方向:肺部感染。
本文内容来源自“瑞金医院图书馆”,原链接:瑞金新知速递 第1162期|瞿介明教授/李亚男副研究员团队Nature子刊揭示丝氨酸代谢重编程调控巨噬细胞肺部感染免疫新机制
* 文章仅供医疗卫生相关从业者阅读参考
本文完
责编:Jerry
