27岁青年治疗肾病时突发重症肺炎,气急症状无法缓解,mNGS发现耶氏肺孢子菌,高病死率危机下的诊治陷阱与突破?
来源: 呼吸界 11-25


病例资料


基本信息:


患者,男性,27岁,因“血肌酐高10月余,发热3天”于2025年8月30日入住我院肾内科。


现病史:


10月前患者体检发现血肌酐221umol/l,当时未予重视及进一步就诊及治疗。5月前患者受凉后开始出现胸闷、气促,咳嗽、咳痰,咳白色粘液痰,期间自诉间断有发热,体温不详,伴全身水肿,无明显少尿表现,期间当地医院就诊予对症治疗后好转(具体诊疗不详)。


3月前患者自觉发现尿量较前有所减少,感胸闷、气促较前加重,稍活动即出现,伴夜间阵发性呼吸困难,端坐体位稍好转,下肢浮肿。遂就诊于我院急诊(2025.5.2),当时监测BP:211/142mmHg,尿蛋白++++,BNP大于35000pg/ml,肌酐458umol/l,完善肺CT(2025.5.2):两侧胸腔积液、两肺部分肺组织膨胀不全,右侧为著;两肺散在炎性渗出,水肿待排。于肾内科住院治疗,监测血肌酐水平进行性升高波动在630-671umol/l,予血液透析替代治疗,排除禁忌后进一步完善CT引导下肾穿刺活检术,病理报告:膜增生性肾小球肾炎,合并肾小管间质病变、肾小血管病变。先后于2025.6-18、2025-7-03、2025-07-21、2025-08-06行四次利妥昔单抗治疗(累计剂量2.8g)联合泼尼松治疗(35mg/天维持)。


3天前无明显诱因下出现发热,咳嗽少作,痰少,色白,起初无胸闷气促,无腹泻,无头晕等不适,至急诊给予头孢曲松2.0g 静滴联合左氧氟沙星0.5g 静滴联合抗感染等治疗,同时完善肺CT(2025-8-29)提示双肺多发渗出,双侧胸腔少量积液;两肺小结节;心腔密度减低,心包少量积液。患者仍有反复高热,咳嗽咳痰无好转,逐渐出现胸闷气促不适,自觉鼻导管吸氧可缓解,意识清,为进一步诊治收住肾内科。


既往史:


既往诊断“高血压病3级(极高危),肾性贫血,继发性肾源性甲状旁腺功能亢进,胆囊息肉,多浆膜腔积液,单纯性肾囊肿,中央型房间隔缺损(卵圆孔型)病史”3月余,长期予硝苯地平 20mg q8h+可多华4mg bid+诺欣妥 100 mg bid, 达格列净5mg qd,利伐沙班10mg qd,琥珀酸美托洛尔缓释片 23.75 mg qd,罗沙司他及速立菲纠正贫血、非布司他+碳酸氢钠片降尿酸,单硝酸异山梨酯缓释胶囊及曲美他嗪护心治疗中。


个人史和家族史:无殊。


第一阶段诊治(2025年8月30日-2025年9月5日):


【血气分析 吸氧状态】


酸碱度:7.38 氧分压:8.59↓ kpa(10.67--13.33kpa) 二氧化碳分压:4.61↓ kpa 肺泡动脉氧分压差:6.080↑ kpa。


送检外周血NGS(2025年8月31日)回报提示:耶氏肺孢子菌(见图1)


图1:患者外周血NGS报告


患者入病房予鼻导管吸氧,考虑患者肾功能状态,结合患者影像学表现及免疫功能低下基础,给予“SMZ 0.48g bid 口服+更昔洛韦0.085g qd静脉滴注+卡泊芬净50mg qd静脉滴注(首剂70mg)+美罗培南0.5g q8h静脉滴注”方案的抗感染治疗,同时加用甲泼尼龙40mg qd静脉滴注抗炎,辅以静脉注射人丙种球蛋白调节免疫,抑酸护胃、化痰、护肝、改善肾性贫血、预防性抗凝、营养支持等治疗。治疗过程中监测患者血小板水平进行性下降,最低至51x10^9/L,予加用特比澳+海曲泊帕升血小板治疗,考虑患者出血风险大予暂停抗凝治疗。患者体温逐渐下降至正常水平,但觉胸闷气急逐渐加重,予调整为面罩吸氧到鼻导管+面罩吸氧,患者仍感胸闷明显,体温反复,高峰38.4℃,药剂科会诊结合患者肾功能水平予调整为静脉SMZ(磺胺甲噁唑0.4g,甲氧苄啶0.08g )4ml静脉滴注q12h,改美罗培南0.5g静脉滴注q12h继续联合更昔洛韦、卡泊芬净抗感染治疗。



患者气急症状仍无法缓解,血气提示I型呼吸衰竭,于入院第7天转至我院呼吸重症监护室继续治疗。


第二阶段诊治(2025年9月5日-2025年10月8日):


患者予氧气钢瓶接面罩转运至呼吸重症监护室病房,入科时意识模糊,呼吸短促,立即予高流量(FIO2 100%,流速60L/min)维持,气急明显,心率波动在111次/min左右,氧饱和度89-93%,完善血气分析(吸氧状态)氧和指数P/F 59。与家属沟通后入科当日予气管插管接呼吸机辅助通气,同时予镇静镇痛,给予PEEP滴定后呼吸机参数为:P-A/C模式,FIO2 100%,吸气压力15cmH2O,PEEP 12cmH2O,监测患者指端氧饱和度 99%,心率88次/min,血压133/80mmHg。治疗上继续予SMZ注射液4ml静脉滴注q12h+卡泊芬净 50mg静脉滴注qd+美罗培南 0.5g 静脉滴注q12h+伐昔洛韦片0.15g 口服bid抗感染治疗方案,同时调整甲强龙40mg静滴q12h抗炎等对症支持治疗。予床旁气管镜检查(期间多次出现氧合下降,指端氧饱和度最低70%左右),送检灌洗液NGS,及耐药基因评估,报告如下(见图2)


治疗中动态监测SMZ血药浓度持续偏低,磺胺甲恶唑峰浓度39mg/L(参考范围150~200mg/L),甲氧苄啶峰浓度4.4ug/ml(参考范围5~8ug/ml),予请药剂科会诊予调整为SMZ 0.96g口服qid,结合患者既往灌洗液NGS报告及痰培养及药敏结果提示多重耐药铜绿假单胞菌(见图3),调整为联合头孢他啶阿维巴坦2.5g静脉滴注q12h、阿米卡星0.4g 雾化qd、米诺环素100mg口服bid(首剂200mg)抗感染治疗方案。


图2:灌洗液NGS检测报告


图3:患者痰培养及药敏结果


患者治疗中监测proBNP进行性升高伴少尿(195ml/24H),肌酐水平增高到328umol/L。床旁胸片双肺渗出明显,先后于9月10日(入住呼吸重症监护室第6天)、9月11日、9月13日、9月15日行床旁超滤替代治疗(CVVHDF模式)。同时予多次申请输注红细胞悬液、血小板支持治疗。动态监测肌酐下降至173umol/L左右,每日尿量达2000ml以上。


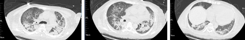
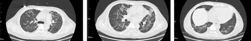
经过治疗后患者病情逐渐好转,呼吸机需氧浓度及PEEP逐渐下调,复查血气氧和指数逐渐好转,9月17日复查胸部CT(见图4),氧合指数165,予拔除气管插管,改日间高流量(流速 40L/min,氧浓度60%)与夜间无创呼吸机辅助通气(IPAP12cmH2O EPAP 5cmH2O FiO2 45%)交替,复查血气氧和指数P/F 182。予逐渐下调氧浓度复查氧和指数进一步升高(见图5),监测患者外周血感染指标超敏C反应蛋白降至基本正常(见图6)。调整鼻导管吸氧,10月7日复查胸部CT双肺慢性及间质改变较前明显吸收(见图7)。监测患者外周血KL-6水平较前明显下降(见图8)。


图4 患者2025年9月17日复查胸部CT


图5:患者拔管后复查床旁X线(左:2025年9月22日 高流量与无创交替 FIO2 70% P/F 195;右:2025年9月29日 5L/min鼻导管吸氧 P/F 292)


图6:患者超敏C反应蛋白变化


图7:患者2025年10月7日复查胸部CT


图8:患者复查KL-6变化趋势图


讨论


耶氏肺孢子菌肺炎是由耶氏肺孢子菌引起的机会性治病的肺部感染性疾病,相较于HIV感染患者,非HIV患者感染耶氏肺孢子菌可出现短期内病情迅速进展,出现急性呼吸衰竭,更甚者需机械通气支持,其病死率可高达30~60%
[1]。在非HIV患者中,CD4+T细胞<200/ul是感染重要危险因素之一。及时、有效的诊断及治疗对改善患者的预后至关重要。


耶氏肺孢子菌有滋养体、包囊和孢子体3种形态,孢子体从包囊中出来,发育成滋养体,成熟形成包囊。在重症感染患者中肺内常有大量滋养体,引起急性肺损伤。在使用SMZ或棘白菌素后,可崩解出数个滋养体,可造成严重的肺损伤。耶氏肺孢子菌肺炎临床常可及进行性加重的呼吸困难、低热、干咳等非特异性表现,由于耶氏肺孢子菌体外培养条件严苛,与传统G试验相比,研究表明宏基因二代测序(mNGS)检测PJP的阳性率为100%,显著高于G试验的敏感性 [2]。典型胸部CT影像学表现多以广泛的片状磨玻璃渗出影多见,上肺近肺门为主,不累及胸膜。


甲氧苄啶-磺胺甲恶唑(TMP-SMX)是治疗PJP的首选药物,通过静脉注射或口服给药均可。因肾功能受损限制磺胺药物足量使用时,建议使用棘白菌素类抗真菌药联合适当剂量的磺胺 [3]。而糖皮质激素治疗选择目前仍存在争议,肾移植指南推荐对于所有肾移植后PJP感染患者使用糖皮质激素辅助治疗;而对于血液恶性肿瘤及造血干细胞移植患者,不建议常规使用。当考虑在这些患者中使用糖皮质激素时,重要的是要考虑短期副作用,如高血糖、谵妄和合并感染等。长期副作用,如肌病和骨质疏松症等也应考虑在内,但这些不太可能在标准的21天疗程中遇到 [4]。另外,由于TMP-SMX本身常见的电解质紊乱、胃肠道反应、肾毒性等不良反应以及药物的药代动力学存在很大的个体差异,在治疗过程中需密切监测其血药浓度。而现阶段TMP-SMX治疗PJP的疗效与不良反应之间的剂量平衡点仍难以把握,需根据血药浓度及时调整剂量 [5]。对于经过标准治疗后临床症状仍持续无法缓解甚至恶化的患者需考虑混合感染可能,研究表明20%的PJP入住ICU的患者存在合并感染,另有22%的患者在ICU住院期间可发生医院获得性感染 [4]


而此例膜增生性肾小球肾炎基础的患者,因免疫单抗治疗及长期口服激素的原因,处于免疫功能受损状态,属于耶氏肺孢子菌感染易感群体。在患者临床症状及胸部CT影像学表现上均比较典型,疾病进展迅速,团队基于宏基因二代测序的检测手段能快速明确,全面监测,及时调整治疗方案,患者得到及时有效治疗,预后良好。


参考文献

[1]Nasr M , Mohammad A , Hor M , etal.Exploring the differences in Pneumocystis pneumonia infection between HIV and non-HIV patients [ J ] .Cureus , 2022 , 14 ( 8 ): e27727.

[2]DuanJL , GaoJ , LiuQH, etal.Characteristics and prognostic factors of non-HIV immunocompromised patients with Pneumocystis pneumonia diagnosed by metagenomics next-generation sequencing [ J ] .FrontMed ( Lausanne ), 2022 , 9 : 812698.

[3]王振,史晓峰,郑建明,等.中国肾脏移植术后耶氏肺孢子菌肺炎临床诊疗指南[J].器官移植,2024,15(05):726-736.

[4]Weyant RB, Kabbani D, Doucette K, Lau C, Cervera C. Pneumocystis jirovecii: a review with a focus on prevention and treatment. Expert Opin Pharmacother. 2021 Aug;22(12):1579-1592.

[5]方洁,陈超,周敏. 对耶氏肺孢子菌肺炎患者进行复方磺胺甲(噁)唑治疗药物监测的重要性研究[J]. 内科理论与实践,2024,19(1):31-36. DOI:10.16138/j.1673-6087.2024.01.06.



作者介绍

崔金瑜

上海交通大学医学院附属瑞金医院呼吸与危重症医学科进修学员,就职于杭州市红十字会医院呼吸与危重症医学科主治医师,硕士。


谢思敏

上海交通大学医学院附属瑞金医院呼吸与危重症医学科呼吸治疗师,上海市医学会呼吸病学专科分会呼吸治疗组委员,中国康复医学会会员,上海呼吸治疗联盟成员。


周俊

上海交通大学医学院附属瑞金医院呼吸与危重症医学科主治医师,硕士,加拿大McMaster大学短期访问学者,以第一作者发表SCI论文多篇,相关研究曾获得美国胸科医师大会旅行者奖。


周灵

上海交通大学医学院附属瑞金医院呼吸与危重症医学科主治医师,博士;上海抗癌协会会员;上海康复医学会会员;主要研究方向为肺恶性肿瘤的精准化治疗和间质性肺病诊治。发表相关SCI论文6篇,参与专利1项,参与编写专业书籍2本。


冯耘

上海交通大学医学院附属瑞金医院主任医师,博士研究生导师,上海交通大学医学院副研究员,美国杜克大学访问学者,中国医师协会呼吸医师分会危重症青委,中国医药教育协会感染疾病专业委员会委员,上海市医学会呼吸分会青年委员会委员,上海市医学会呼吸分会重症学组副组长。曾获得上海市人才培养计划,上海市优秀专科医师及上海交通大学医学院九龙医学奖。获得2项国家自然基金及科技部重点项目子课题资助,发表相关SCI文章30余篇,第一完成人专利2项,参与编写专业书籍3本。



特别感谢冯耘教授给《呼吸界》的投稿!


* 文章仅供医疗卫生相关从业者阅读参考


本文完

责编:Jerry

397