嗜肺军团菌(legionella pneumophila,LP)是引起社区获得性肺炎(community-acquired pneumonia,CAP)的常见病原体之一,目前国内尚缺乏相关的流行病学调查,国外研究表明,LP约占社区获得性肺炎病原体的 6.8%[1]。且嗜肺军团菌肺炎可合并肺外其他系统损伤,常表现为严重且可能致命的肺炎,其病死率为10% ~ 15%,若起始经验性抗菌药物治疗不恰当,病死率可高达27%,因此早期诊断、治疗尤为重要[2-3]。
随着技术的发展和临床经验的积累,靶向二代基因测序(tNGS)在感染性疾病诊断和管理中的应用将更加广泛和精准,通过深入研究,临床实践的累积,亦或与人工智能(AI)的结合,tNGS将为我们提供更加精准和高效的感染性疾病管理策略[4]。
一、病历摘要
基本信息:患者男,59岁;主因寒战、高热伴全身疼痛10余天,于2025年9月4日入院。
现病史:患者8月下旬无明显诱因出现发热,随即伴发寒战,体温最高达39.5℃,呈驰张热型,同时伴全身肌肉酸痛,无咳嗽、咳痰、咽干、咽痛,无腰酸、尿频、尿急、尿痛、血尿、腹痛、腹泻、恶心、呕吐、皮疹、关节痛、胸憋、胸痛等,自行间断口服“感康、布洛芬缓释胶囊”4天,用药后体温暂时下降,肌肉酸痛稍有缓解,但停药后发热即反复、周身不适,且逐渐出现食欲不振、呃逆、乏力、气短,精神状态进行性变差,为求进一步诊疗收住我院。
既往史:既往体健。否认肝炎、结核等传染病史。否认高血压、糖尿病等慢病史。居住环境整洁,发病前存在空调环境暴露史;无动物接触史;无地方病、传染病流行区旅行居住史。
体格检查:T:38℃,P:112次/分,R:19次/分,BP:142/85mmHg,左下肺可闻及吸气末细湿啰音,余未闻及干湿性啰音及胸膜摩擦音。心率112次/分,律齐,各瓣膜听诊区未闻及杂音,未闻及心包摩擦音。余无异常体征。
二、辅助检查
1.实验室检查:血常规:白细胞计数7.22×10^9/L;中性粒细胞百分比81.0%↑,淋巴细胞百分比11.2%;C反应蛋白85.1mg/L↑,降钙素原(用药前)0.09ng/ml↑;尿常规:尿胆原+1、潜血试验+2↑、尿蛋白+1↑,镜检:红细胞偶见/HP。血气分析:pH值(体温)7.50,氧分压:70mmHg↓,二氧化碳分压29mmHg↓,乳酸1.7mmol/L↑,氧合指数310mmHg。谷丙转氨酶、谷草转氨酶、谷氨酰转移酶、肌红蛋白、超敏肌钙蛋白I、肌酸激酶同工酶、NT-proBNP、乙肝表面抗原、乙肝表面抗体、乙肝e抗原、乙肝e抗体、乙肝核心抗体、人免疫缺陷病毒抗体、丙肝抗体、梅毒螺旋体抗体、血糖、尿素、肌酐、尿酸、钾离子、钠离子、氯离子、钙离子、三碘甲状腺原氨酸、甲状腺素、促甲状腺素、抗链0、类风湿因子、甲乙型流感病毒抗原、支原体抗体等未见异常。总25羟基维生素D16.781ng/ml↓。
2.腹部彩超:脂肪肝;肝内小囊肿;双肾囊肿,脾大。
3.泌尿系彩超:双肾囊肿,前列腺稍大伴钙化。
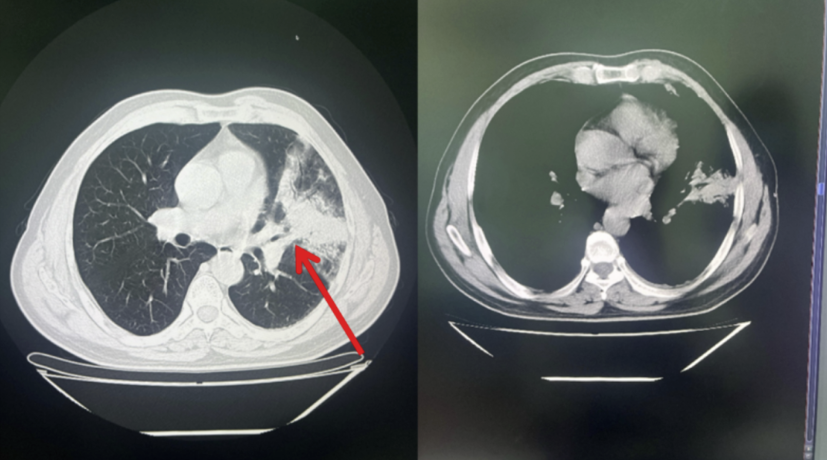
4.胸部CT:左肺上叶炎症,纵膈淋巴结肿大,肝脏右叶低密度影(见图1)。
图1:左肺上叶炎症,纵膈淋巴结肿大,肝脏右叶低密度影
三、初步诊断
1.社区获得性肺炎 非重症(左肺上叶);2.维生素D缺乏;3.脂肪肝;4.肝囊肿;5.双肾囊肿
四、诊疗经过
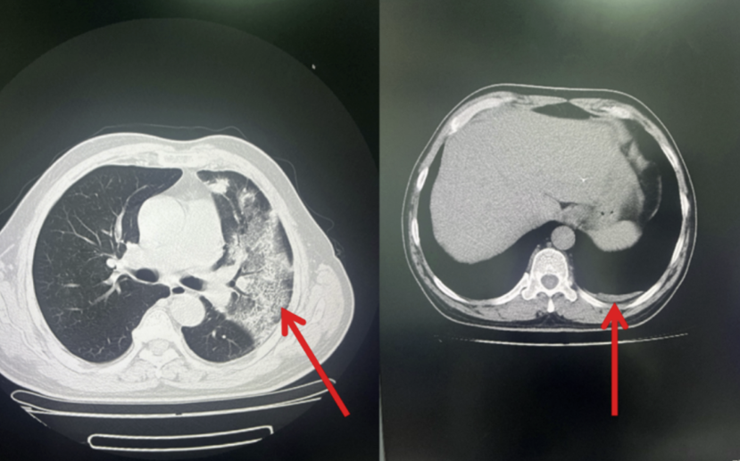
患者入院时以寒战、高热为主要表现,结合实验室检查及影像学检查,临床诊断考虑为社区获得性肺炎。入院后选用哌拉西林/他唑巴坦经验性抗感染治疗,3天后患者症状无明显好转,仍持续发热,体温最高达40.2℃,复查胸部CT示左肺上叶病灶范围明显扩大,左侧胸腔可见少量积液(见图2)。
图2:左肺上叶病灶范围明显扩大,左侧胸腔可见少量积液
同时微生物检测结果陆续回报:双套血培养两次均阴性,尿培养阴性,肺泡灌洗液一般细菌培养、一般细菌涂片及抗酸杆菌涂片均阴性;呼吸道病原体抗体(10项)、布鲁菌病抗体四项、抗双链DNA抗体、ANCA抗体均阴性;考虑哌拉西林/他唑巴坦治疗无效,遂调整抗感染方案为左氧氟沙星氯化钠注射液联合头孢曲松钠。
于9月8日再次采集肺泡灌洗液送呼吸道多种病原体靶向测序(tNGS),2日后结果回报:检出嗜肺军团菌(A类,序列数:413,1.2×103,);耶氏肺孢子菌(B类,序列数:311,<1.0×103,),缓症链球菌(C类,序列数:122, <1.0×103,),病毒未检出(见图3)。
图3:tNGS结果
进一步完善(1-3)-β-D葡聚糖(G)试验、LDH及PCT检测。结果显示连续两次G实验均阴性。LDH、PCT均在正常范围。嗜肺军团菌肺炎确诊。临床继续予左氧氟沙星氯化钠注射液联合头孢曲松钠抗感染治疗,3天后患者体温恢复正常,提示当前抗感染方案有效,继续治疗10天。复查血常规:白细胞计数5.14×109/L;中性粒细胞百分比56.60%,C反应蛋白2.4mg/L,PCT<0.05ng/ml;血气分析:pH值7.38,氧分压88mmHg,二氧化碳分压38mmHg,氧合指数321mmHg。
胸部CT:左肺上叶病灶明显减小,左侧胸腔积液消失。患者病情好转,于9月20日出院(见图4)。
图4:左肺上叶病灶明显减小,左侧胸腔积液消失
五、案例分析
老年男性患者,无明显诱因出现寒战、发热伴全身疼痛,无咳嗽咳痰;胸部CT示左肺上叶炎症。血液感染指标提示白细胞总数不高,中性粒细胞略高,CRP显著增高,PCT轻度升高。肺部感染诊断明确,但感染病原体暂不明确。临床予哌拉西林/他唑巴坦经验性抗感染治疗3天无效。同期微生物检验结果回报:双套血培养两次均阴性,尿培养阴性,肺泡灌洗液一般细菌培养,一般细菌涂片及抗酸杆菌涂片均阴性;呼吸道病原体抗体(10项)、布鲁菌病抗体四项均阴性,抗双链DNA抗体、ANCA抗体亦均阴性;复查胸部CT示左肺上叶病灶范围明显扩大,左侧胸腔可见少量积液。结合检查结果及经验性治疗无效,排除社区获得性肺炎常见细菌、病毒等病原体的感染,临床考虑非典型病原体感染可能,遂调整治疗方案为左氧氟沙星氯化钠注射液联合头孢曲松钠抗感染。并再次留取肺泡灌洗液送呼吸道多种病原体靶向测序(tNGS)。调整治疗3天后,患者体温恢复正常。tNGS结果回报:检出嗜肺军团菌(A类,序列数:413,1.2×103,);耶氏肺孢子菌(B类,序列数:311,<1.0×103,);缓症链球菌(C类,序列数:122, <1.0×103)。
肺泡灌洗液呼吸道多种病原体靶向测序(tNGS)同时检出嗜肺军团菌和耶氏肺孢子菌。嗜肺军团菌属军团菌科军团菌属,为需氧革兰氏阴性杆菌,无芽孢、无荚膜,有鞭毛可运动。在我国多种自然淡水及人工供水系统中均可检出,包括中央空调冷却塔、热水供应系统、喷泉、温泉、加湿器等[5]。其适宜生长温度为25℃~42℃,在温暖潮湿、富含生物膜的水环境中易于大量繁殖[5],通常人们常因吸入含菌气溶胶而引起军团菌病。我国多项流行病学研究显示,军团菌在社区获得性肺炎中的病原学的比例约为1%~9%[6][7],在老年人及免疫功能低下人群中的占比更高。军团菌病在我国呈现散发为主、夏秋季高发的流行特征,与夏季水系统运行频繁以及环境温度适宜其繁殖密切相关[8]。临床可分为庞提阿克热型(非肺炎型,急性、自限性、流感样疾病,多短期内自愈)与肺炎型(急性下呼吸道感染,表现为发热、咳嗽咯痰、喘憋等症状,肺部影像学表现无特异性,易与肺炎链球菌所致社区获得性肺炎混淆,致使临床上难以鉴别。)
鉴别诊断:耶氏肺孢子菌是一种机会性致病真菌,是肺孢子菌肺炎(PCP)的致病菌[9],正常人群呼吸道可携带但不发病,当宿主免疫力下降时(如艾滋病、自身免疫性疾病、长期用免疫抑制剂、高龄体弱者),可引发肺部感染。临床典型表现为咳嗽、呼吸困难、发热及低氧血症。结合患者病史,其发病前有明确空调接触史,既往体健、无基础疾病,此次仅表现为寒战、发热,实验室检查连续两次G实验阴性;LDH、PCT均正常;且左氧氟沙星氯化钠注射液联合头孢曲松钠抗感染有效。暂不考虑耶氏肺孢子菌肺炎。
经上述方案治疗后,患者未再发热。复查血常规、CRP均恢复正常。胸部CT示左肺上叶病灶明显减小,左侧胸腔积液消失。病情好转达到出院标准,于9月20日出院。10月9日门诊复查,血常规:白细胞计数:5.49×109/L;中性粒细胞百分比:55.81%,C反应蛋白<5.0mg/L,PCT<0.05ng/ml。
胸部CT:左肺上叶病灶完全吸收。恢复良好。见图5:
图5:胸部CT扫描
六、总结体会
1、嗜肺军团菌为需氧菌,传统的细菌培养是其感染的诊断标准,特异度高,但该菌营养要求特殊,无法在常规培养基生长,需专用培养基(BCYE)培养,且培养周期长,灵敏度低,临床标本分离难度大。对于社区获得性肺炎患者,常规β-内酰胺酶类抗生素治疗3天以上症状无缓解、体温持续升高且常见病原体检查阴性时,需警惕嗜肺军团菌或非典型病原体感染。合理应用精准检测技术,个体化制定抗感染及对症支持方案,才能提升诊疗质量,改善患者预后。
2、与传统培养相比,靶向二代基因测序(targeted nextgeneration sequencing,tNGS)检测范围广,可覆盖细菌、真菌、病毒等多种难培养/非培养病原体;阳性率高,能够检出抗菌药物治疗后生长被抑制、无法培养出的病原体,或混合感染病原体;检测回报时间更快,可快速明确罕见病原体;还能同步检测病原体耐药基因。为嗜肺军团菌重症肺炎的临床诊断与治疗提供了新思路。
3、tNGS报告的规范解读需综合多维度信息:首先结合标本类型、病原体种类、均一化序列数等核心检测指标,同时需及时与临床沟通,详细询问患者相关接触史、旅行史等临床背景,通过检测数据与临床信息的融合分析,判断检出病原体是否为致病菌。
参考文献
[1]. KEŠE D,OBREZA A,ROJKO T,et al. Legionella pneumophila-epidemiology and characterization of clinical isolates,Slovenia,2006-2020[J]. Diagnostics(Basel), 2021,11(7):1201.
[2]. PHIN N,PARRY-FORD F,HARRISON T,et al.Epidemiology and clinical management of Legionnaires'disease[J].LancetInfectDis,2014,14(10):1011-1021.
[3]. 张晓燕,田锐,谢晖,等.社区获得性重症军团菌肺炎2例 [J/CD].中华肺部疾病杂志(电子版),2018,11(4):502- 503.
[4]. 中国医疗保健国际交流促进会临床微生物学分会. 靶向高通量测序在感染性疾病中应用与实践专家共识. 中华医学杂志,2024,104(48):4375-4383.
[5]. 中国疾病预防控制中心环境卫生所. 军团菌污染与防控技术指南(试行)[R]. 北京: 中国疾病预防控制中心, 2020.
[6]. 中华医学会呼吸病学分会. 成人社区获得性肺炎诊治指南(2016年版)[J]. 中华结核和呼吸杂志, 2016, 39(4): 253-279.
[7]. 王辰, 陈欣, 叶茂. 我国社区获得性肺炎病原谱研究进展[J]. 中华医学杂志, 2019, 99(18): 1401-1407.
[8]. 上海市疾病预防控制中心. 上海市军团菌病监测及流行病学分析报告(2015–2020)[R]. 上海: 上海市疾控中心, 2021.
[9]. 《临床微生物学手册(第12版)》(第一、二卷)重磅发布. 中华医学信息导报,2021,36(06):12-12.
作者简介
李艳
副主任技师,任职于临汾市第二人民医院检验科,从事临床检验工作20余年。系山西省预防医学会卫生检验专业委员会委员、临汾市医学会医学检验专业委员会常务委员;先后于全国细菌耐药监测网实践培训基地北京协和医院、北京大学人民医院培训学习,参编北京大学医学出版社《微生物学检验》教材。
作者:李艳(临汾市第二人民医院);审校:赵鸿(北京大学第一医院)
本文转载自订阅号“京港感染论坛”
原链接戳:【病例讨论】嗜肺军团菌——潜伏的“温柔杀手”——tNGS助力快速识别与临床诊疗
* 文章仅供医疗卫生相关从业者阅读参考
本文完
责编:Jerry
