摘要
抗肿瘤免疫治疗中并发的免疫检查点抑制剂相关肺炎(CIP)是少见的免疫相关不良反应类型,一旦发生,会严重影响后续的抗肿瘤免疫治疗,甚至导致呼吸衰竭或死亡。但若能及早被识别、诊断,并给予及时、合理的治疗,大多数患者预后良好,部分患者有可能后续接受免疫再挑战。为规范CIP的诊疗、改善其预后,由北京协和医院呼吸与危重症医学科发起,中国抗癌协会肿瘤呼吸病专业委员会、中华医学会呼吸病学分会肺癌学组和北京肿瘤防治研究会共同组织相关专家讨论后制订本共识。共识从CIP的危险因素、临床特征、诊断评价措施、诊断标准、鉴别诊断、治疗策略以及康复方案等方面,形成18条专家推荐意见,供临床医师参考。
新型的抗肿瘤免疫检查点抑制剂(immune checkpoint inhibitor,ICI)可显著提高多种恶性肿瘤患者的生存率和生活质量。但ICI引起的免疫相关不良反应(immune-related adverse events,irAE)不容忽视,若处理不当,会严重影响患者的预后。多个研究报道免疫检查点抑制剂相关肺炎(checkpoint inhibitor pneumonitis,CIP)发生率为2.6%~33%[1, 2, 3, 4, 5],虽不是最常见的irAE;但可能是常见的重症irAE,3~4级的CIP若不能有效治疗常会影响患者后续的抗肿瘤免疫治疗,可导致呼吸衰竭甚至死亡。2018年6月ICI在我国批准应用于非小细胞肺癌的临床治疗,2019年11月我国的第一版CIP共识问世。近年来随着ICI的广泛应用,CIP的诊疗和管理策略有很大的进步。为了进一步提高CIP的诊疗水平,优化CIP的综合管理流程和能力,由北京协和医院呼吸与危重症医学科发起,中国抗癌协会肿瘤呼吸病专业委员会、中华医学会呼吸病学分会肺癌学组和北京肿瘤防治研究会的专家组成共识编写组,基于国内外抗肿瘤免疫治疗相关研究的大量文献,充分听取免疫治疗不良反应管理专家的意见,并经过多轮讨论,共同制定了《免疫检查点抑制剂相关肺炎诊治和管理专家共识》。
本共识旨在提高临床医师对CIP的认识和救治水平,以期为恶性肿瘤患者更好地接受抗肿瘤免疫治疗提供保障。共识发布后,专家组成员将通过学术期刊、网站以及学术会议平台进行推广,在CIP诊疗和研究相关的人群中充分应用本共识的推荐意见;基于此,未来将更新CIP诊疗共识或形成我国的CIP指南。本共识还提出了CIP诊疗方面若干亟须但尚未解决的问题,期望基于本共识提出的诊疗策略建立全国范围内多家高水平医疗机构参与的CIP患者的标准化数据库和合作平台,健全我国CIP多学科、多中心合作机制,并积极开展相关临床和基础研究,不断积累研究证据,提高CIP临床诊治和科学研究水平。
一、共识形成方法
本共识由北京协和医院呼吸与危重症医学科发起,中国抗癌协会肿瘤呼吸病专业委员会、中华医学会呼吸病学分会肺癌学组和北京肿瘤防治研究会相关专家参与制订,本共识已在国际实践指南注册与透明化平台(http://guidelines-registry.org)进行注册并上传计划书(注册号:PREPARE-2023CN685)。启动时间为2023年9月,定稿时间为2024年11月。
1.共识工作组组建与利益冲突管理:本共识设置了证据工作组、共识专家组和外审专家组3个小组,工作组所有成员均已签署书面利益声明,与医药企业不存在利益关系,均不存在与本共识直接相关的利益冲突。
2.共识使用者与目标人群:本共识供肿瘤治疗医师、呼吸科医师、重症监护室医师、急诊科医师及社区医师等可能涉及接诊CIP患者的专业人员参考。共识推荐意见的目标人群为接受肿瘤免疫检查点抑制剂治疗后发生免疫性肺炎的患者。
3.临床问题构建:基于“PICO”原则构建临床问题,即人群(patient)、干预措施(intervention)、对照措施(comparison)和结局(outcome)[6],通过电话和面对面咨询等形式,从CIP诊疗相关的科室人员(肿瘤科、呼吸内科、风湿免疫科、急诊科、放疗科、放射科、检验科、肺功能检查室、气管镜检查室等)中征求CIP预防、诊断、治疗相关的问题,共25个,最终通过专家组讨论选取其中最为关注的18个问题。
4.文献检索及文献质量评价:中文数据库(包括中国生物医学文献数据库、万方数据和中国知网);英文数据库(包括PubMed、Medline、Ovid、the Cochrane Library、Wiley Online Library、Springer Link、Elsevier Science Direct、Embase和Cochrane Library),主要纳入系统评价、Meta 分析、网状Meta分析、随机对照试验(RCT)、队列研究、病例对照研究、病例系列分析、病例报告等。检索年限为2016年1月至2024年9月。
5.证据等级和推荐意见:本共识经过专家组多轮讨论,纳入70%以上专家同意的内容撰写成文,最终形成26条推荐意见:强推荐的专家意见需获得共识专家组90%以上的同意率(1级),中等推荐的专家意见需获得共识专家组80%~90%的同意率(2级),弱推荐的专家意见需获得共识专家组70%~79%以上的同意率(3级)。
二、CIP的危险因素
目前文献报道的CIP发生率差异较大,波动于2.6%~33.0%[1, 2, 3, 4, 5]。不同的肿瘤类型,使用的免疫治疗药物及联合治疗方案不同,CIP的发生率不同。2018年Ma等[3]基于多瘤种的研究数据荟萃分析显示,接受ICI单药治疗的患者其CIP的总发生率为2.6%;其中重度CIP,即常见不良事件评价标准(CTCAE 5.0)中3级及以上的肺炎,发生率为1.4%。而肺癌患者CIP的总发生率为3.1%,显著高于其他肿瘤患者(2.0%,包括黑色素瘤、尿路上皮癌及头颈部鳞癌)。另一项纳入晚期非小细胞肺癌患者接受ICI联合放化疗的荟萃分析研究报道,CIP的总体发生率为33%,3~5级CIP的发生率为6.1%,致死性CIP的发生率为0.8%[1]。免疫治疗药物亦影响CIP的发生率,有研究结果显示,应用PD-1单抗后CIP的发生率高于应用PD-L1单抗[7, 8]。与ICI单药治疗相比,PD-1单抗联合CTLA-4单抗治疗后CIP的发生率更高[9],在免疫治疗联合胸部放疗的患者中CIP的发生率高于ICI单药[10]。CIP的中位发生时间约为ICI治疗开始后的2~3个月[4,11],大部分CIP发生在开始ICI治疗后的6个月之内;但在首次使用ICI后数小时或ICI停药后亦可发生[6]。
CIP的危险因素较为复杂,主要包括以下内容。
1. 人口学特征:多项回顾性分析结果提示,高龄(年龄≥70岁)[12]、有吸烟史(既往吸烟或尚未戒烟者)[13]、东部肿瘤协作组(ECOG)体能状态评分(PS)≥2[14]均是CIP的危险因素。
2.合并肺部基础疾病或CT提示特定影像学异常:合并间质性肺疾病是发生CIP的危险因素[15, 16];其他肺部疾病,包括慢性阻塞性肺疾病[17]、肺气肿、支气管哮喘、气胸、胸腔积液等也使患者发生CIP的风险增加[17, 18]。胸部CT提示肺间质性病变、弥漫性肺气肿亦是发生CIP的危险因素[19]。另外,一氧化碳弥散量(DLCO)动态下降可能对CIP发生有提示意义[20]。值得注意的是,上述基础肺疾病并非使用ICI的绝对禁忌证[15,21],临床医生在使用ICI前应充分评估患者肺部基础疾病的严重程度、是否合并活动性炎症/感染、进展速度、患者的一般情况(可结合ECOG、KPS评分),并在用药前向患者及家属交代ICI治疗的风险及获益等,在全面评估、权衡利弊、充分知情同意后应用;且需要在使用期间密切监测CIP的发生,以早期发现、早期处理。
3.肿瘤类型:肺癌患者接受免疫治疗后CIP的发生率高于黑色素瘤、泌尿系肿瘤、头颈部鳞癌等其他肿瘤[3,22]。在各种肺癌的病理类型中,鳞状细胞癌患者发生CIP的风险更高[5,13]。
4.ICI类型:应用PD-1单抗后CIP的发生率高于应用PD-L1单抗[7, 8],而相比PD-L1或CTLA-4单药治疗,PD-1单抗联合CTLA-4单抗治疗,CIP风险更高[9]。
5.伴随治疗:接受胸部放疗是发生CIP的危险因素,正在或既往接受胸部放疗者发生CIP风险更高[10,18]。与放疗同步ICI以及放疗后序贯ICI治疗相比,在ICI治疗后序贯放疗发生CIP的风险更高[23]。ICI联合EGFR-TKI亦增加CIP发生率[24],尤其奥希替尼序贯或联合PD-(L)1单抗与CIP风险增加有关[25, 26, 27];对于应用奥希替尼后进展的EGFR敏感突变患者欲使用ICI治疗,奥希替尼的药物洗脱期应至少为3~4个半衰期或末次服用奥希替尼后1周后开始。
6.感染:文献报道巨细胞病毒感染可能与CIP的发生有关,该研究分析了29例3~4级CIP患者的血清学样本,发现28例患者CMV pp65抗原为阳性[28]。这可能与免疫治疗增强感染后的炎症反应、进一步激活潜在的肺部感染有关。不过,感染性疾病可以模拟CIP的临床过程和影像学异常,是诊断CIP过程中的重要鉴别诊断,临床医生需要通过临床表现、辅助检查和血清学结果进行甄别。
【问题1】恶性肿瘤患者接受抗肿瘤ICI治疗时,引起CIP的常见危险因素有哪些?
【推荐意见1.1】吸烟史、肺部肿瘤、存在基础肺疾病(包括间质性肺疾病、慢性阻塞性肺疾病、影像学提示肺间质病变或弥漫性肺气肿等),ICI联合或序贯胸部放疗、既往胸部放疗史、接受不同种类的ICI联合治疗、ICI同时联合奥希替尼治疗或奥希替尼治疗后药物洗脱期内应用ICI治疗等是ICI治疗中引起CIP的常见危险因素。
【推荐意见1.2】推荐恶性肿瘤患者接受抗肿瘤ICI治疗前,进行详细的问诊、体格检查、胸部影像及肺功能检查,以识别导致CIP的高危因素;对CIP高危患者加强宣教、并密切监测ICI治疗后的临床表现及指脉氧饱和度(SpO2)、影像学变化等。【投票专家58人;赞成58票,反对0票,弃权0票】
三、CIP的临床表现
CIP以干咳、活动后气短或活动耐力下降为主要临床表现,常伴有乏力、疲劳等非特异性表现。部分患者可伴有发热、胸痛,或合并其他系统免疫相关不良反应[2,4]。常见的体征亦缺乏特异性,包括活动时SpO2下降、肺部爆裂音等。轻症CIP患者可无明显呼吸系统表现,仅表现为胸部CT新发的肺部渗出影。重症CIP患者可表现为发热、快速进展的呼吸困难、呼吸衰竭[29]。
【问题2】CIP的特征性临床表现有哪些?
【推荐意见2】CIP无特征性的临床表现,咳嗽、活动后呼吸困难是常见的临床表现,部分患者可伴有发热。早期或轻症CIP患者可无明显的临床表现,或表现为乏力、活动耐量下降等非特异性表现,重症患者可出现快速进展的呼吸困难、呼吸衰竭。需关注并认真对待ICI治疗患者的上述非特异性临床表现,力求早期诊断CIP,并尽早制定个体化治疗方案以改善患者预后。【投票专家58人;赞成58票,反对0票,弃权0票】
四、CIP的诊断评价
(一)血清学检查
血液的生物标志物具有微创、易采集、可重复性强等优点。在首诊CIP时,需完善全面的血清学检查,包括(1)常规化验:血常规、肝肾功能及电解质、肌酸激酶、血糖、凝血功能和D-二聚体等。既往研究表明,中性粒细胞与淋巴细胞比值、血小板与淋巴细胞比值和乳酸脱氢酶水平的升高,或淋巴细胞绝对计数、血红蛋白和白蛋白水平的降低与CIP的发生有关[30, 31, 32]。(2)炎症指标:红细胞沉降率(ESR)、C反应蛋白(CRP)、免疫球蛋白(Ig)、降钙素原(PCT),若有条件,建议评价血清细胞因子水平:较低的基线,C-X-C基序趋化因子配体9(CXCL9),C-X-C基序趋化因子配体10(CXCL10),C-X-C基序趋化因子配体11(CXCL11)和C-X-C基序趋化因子配体19(CXCL19)水平更易发生irAE;ICI治疗后IL-6、IL-10、IL-17A、IL-35、CXCL5、CXCL9和CXCL10水平(与基线相比)的显著升高也可预测irAE的发生[32, 33, 34, 35, 36]。(3)肿瘤相关血清学检查:常规肿瘤标志物。(4)针对性的常见病原学的血清学化验,如军团菌抗体、支原体抗体、(1,3)-β-D葡聚糖、曲霉菌半乳甘露聚糖、隐球菌荚膜多糖抗原、或γ-干扰素释放试验等。(5)其他常见irAE的血清学化验,如甲状腺功能、血清皮质醇/促肾上腺皮质激素和肌酶水平等。(6)必要时,若有条件建议完善自身抗体筛查:抗核抗体(ANA)谱、抗中性粒细胞胞质抗体(ANCA)谱、抗环瓜氨酸肽抗体(CCP)等,以及根据患者的基线疾病状态,可能合并的其他irAE的特异性自身抗体检测。已有研究证明,自身抗体(类风湿因子、抗核抗体、抗甲状腺抗体等)与NSCLC患者irAE的发展有关[37]。(7)其他基于患者的临床表现以及基线疾病状态的相关检查。
需要注意的是,现阶段尚无CIP特征性的血清学化验,为提高对于CIP危险因素、病情程度分级以及预后判断的能力,对于有条件的医疗机构,建议建立CIP患者的血清样本库,并基于血清样本库开展基础研究、以探索CIP特征性客观标志物、疗效和预后相关标志物等并后续进一步验证。
在CIP患者随诊中,若出现不能用目前的CIP程度来解释的临床表现、化验指标时,需要鉴别CIP复发、合并其他irAE、糖皮质激素不良反应、其他治疗不良反应、并发感染和肿瘤进展等疾病,积极做好鉴别诊断。
【问题3】诊断CIP需要安排哪些血清学化验?
【推荐意见3.1】首诊CIP后,建议安排全面的血清学化验,除常规检测外,还建议检测系统炎症指标,必要时可检测自身抗体;并根据患者的临床表现并和用药前基线水平对照进行针对性鉴别诊断。【投票专家58人;赞成58票,反对0票,弃权0票】
【推荐意见3.2】CIP随诊中,新出现不能用目前的CIP程度来解释的临床表现、化验指标异常时,需要鉴别CIP复发或加重、合并其他irAE、糖皮质激素不良反应、其他治疗相关不良反应、并发各类感染和肿瘤进展等疾病,积极做好鉴别诊断。【投票专家58人;赞成58票,反对0票,弃权0票】
(二)呼吸道标本的病原学筛查
CIP常规需要与感染性肺疾病鉴别,包括继发机会菌感染、合并病毒感染等。
【问题4】是否推荐常规开展支气管肺泡灌洗液(BALF)的病原学二代测序筛查?
【推荐意见4.1】首诊CIP的诊断评价中,建议常规开展痰液和鼻咽拭子的病原学检测;但不推荐常规开展BALF的病原学二代测序筛查。对于高度疑似感染,但血和(或)痰病原学检测未能证实时,需根据患者的病情状态,评价获益和风险、并征得患者/家属同意后,酌情安排气管镜BALF的病原学检查和病原学二代测序。【投票专家58人;赞成49票,反对4票,弃权5票】
【推荐意见4.2】首诊CIP的诊断评价中,对于因呼吸衰竭行气管插管有创机械通气的CIP患者,建议常规安排气管镜BALF的病原学检查和(或)病原学二代测序,以进一步明确是否合并存在潜在的感染性疾病。【投票专家58人;赞成49票,反对4票,弃权5票】
【推荐意见4.3】临床诊断CIP并给予糖皮质激素和(或)免疫抑制剂充分治疗后,病情仍进行性加重,建议常规开展支气管镜检查以及BALF的病原学检查和(或)病原学二代测序确认或排除感染。【投票专家58人;赞成49票,反对4票,弃权5票】
(三)胸部影像
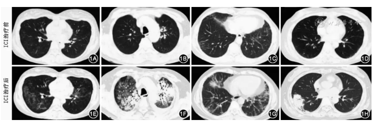
CIP是药物相关间质性肺炎,胸部影像学中的胸部CT是诊断CIP必要的关键的检查,也是评价CIP严重程度和评价预后的重要客观方法。与其他间质性肺疾病(ILD)类似,胸部高分辨率CT(HRCT)能更好地评价CIP的形态学特征。常规推荐胸部HRCT作为CIP诊断评价的首要检查。CIP患者的胸部CT影像学表现多样(图1),主要包括机化性肺炎样改变、非特异性间质性肺炎样改变、过敏性肺炎样改变、弥漫性肺泡损伤(急性间质性肺炎或急性呼吸窘迫综合征)样改变和普通型间质性肺炎样改变等[2,38]。此外,肺炎的影像学类型可能与临床严重程度和分级相关,如弥漫性肺泡损伤(急性间质性肺炎或急性呼吸窘迫综合征)样改变提示较高级别的肺炎以及较差的临床预后,其次是机化性肺炎样改变,而非特异性间质性肺炎样改变和过敏性肺炎样改变与较低级别的肺炎相关[12,39, 40]。胸部CT还可表现为其他免疫相关肺损伤模式,包括胸膜病变(胸膜增厚、胸腔积液或多浆膜腔积液),肺结节病样肉芽肿性反应和胸内淋巴结肿大等[41, 42]。一般不推荐常规开展造影剂增强检查,但若疑诊并发肺栓塞时,建议尽早行CT肺动脉造影(CTPA)联合 CT静脉造影(CTV)检查。PET-CT在CIP的诊断和随访中的作用尚不清楚,因为PET-CT对于CIP、恶性肿瘤以及感染的鉴别诊断缺乏特异性,因此不常规推荐PET-CT作为CIP诊断评价的手段。
图1 免疫检查点抑制剂(ICI)相关间质性肺炎常见影像学表现,其中图1A、1E为非特异性间质性肺炎型,图1B、1F为弥漫性肺损伤型,图1C、1G为非特异性肺炎合并机化性肺炎,图1D、1H为机化性肺炎型
【问题5】推荐何种胸部影像学用于CIP诊断评价中?
【推荐意见5】推荐胸部HRCT用于CIP的诊断评价中,首选胸部HRCT。若疑诊并发肺栓塞时,建议尽早行CTPA+CTV检查。【投票专家58人;赞成58票,反对0票,弃权0票】
(四)呼吸功能评价
临床实践中,常用于评价呼吸功能的检测手段包括指脉氧饱和度、动脉血气、肺功能检测、6 min步行试验和呼吸问卷等。针对既往存在肺部疾病的患者,建议免疫治疗前进行肺功能及影像学检查以评价患者肺部基础病变情况及发生CIP的可能性。
首诊CIP时,常规推荐监测指脉氧饱和度和动脉血气分析,可以直接反映身体是否缺氧,这对CIP患者的CTCAE评级非常重要。CIP患者的肺功能检查表现为限制性通气功能障碍和弥散功能障(FVC占预计值%及DLCO占预计值%降低),且免疫治疗前DLCO占预计值%下降与CIP严重程度呈负相关[43];因此,如患者一般状态可,推荐进行肺功能进一步评价CIP患者的呼吸功能状态,同时也可用于监测CIP患者对治疗的反应[44, 45]。但急性期、重症患者多不能耐受或配合肺功能检查。
【问题6】抗肿瘤免疫治疗中,如何评价CIP患者的呼吸功能?
【推荐意见6.1】对于CIP高危人群,建议对患者和(或)照护者加强宣教及随访,推荐动态监测指脉氧饱和度以期早期发现CIP。【投票专家58人;赞成53票,反对2票,弃权3票】
【推荐意见6.2】首诊CIP后,推荐动脉血气分析以进一步评价CIP患者的呼吸功能状态和氧合情况。【投票专家58人;赞成53票,反对2票,弃权3票】
【推荐意见6.3】若患者能配合、耐受肺功能检测,建议患者接受包括通气、容量及弥散功能在内的肺功能检测用于CIP的诊断评价。【投票专家58人;赞成53票,反对2票,弃权3票】
(五)支气管镜检查
经支气管镜检查可以完善病变部位的活检、BAL采样和BALF化验(包括病理学检查、病原学检测以及细胞计数分类、T细胞亚群分析)等。CIP患者的BALF主要以淋巴细胞增多以及CD4/CD8细胞比例倒置为主[46],其细胞亚群和细胞因子的变化也有助于CIP的诊断,指导临床治疗[47, 48],同时可送检病原学检测以鉴别感染性疾病;然而,支气管镜检查是创伤性检查,存在一定风险,但对于除外感染性诊断至关重要;此外,经气管镜活检的样本较小,且CIP无特异性组织学表现,对CIP的诊断价值有限。因此,对于诊断存疑的二级及以上CIP患者以及临床诊断CIP且治疗后无效时,推荐在CIP诊断评价中常规开展支气管镜检查。
【问题7】CIP诊断评价中是否常规开展支气管镜检查?
【推荐意见7.1】对于诊断存疑的二级及以上CIP患者或临床诊断CIP且治疗后无效时,建议结合患者病情以及患者/家属意愿,积极推荐支气管镜检查完善病理和病原学检查。【投票专家58人;赞成57票,反对1票,弃权0票】
(六)肺活检
临床诊疗中,常用的肺活检措施有:经支气管镜肺活检(包括经支气管镜冷冻肺活检)、CT引导下肺活检、外科肺活检等。对于弥漫性的间质性肺疾病,一般需要外科肺活检来明确诊断。结节病、机化性肺炎等间质性肺疾病、肺部感染、肿瘤性疾病等则可以通过病变部位的小标本病理检查(经支气管镜肺活检、CT引导下肺穿刺活检)来诊断。CIP组织学表现多样,缺乏特异性[42,44,46,49, 50, 51],因此无法仅通过组织学确诊CIP,且肺活检为侵入性检查,存在活检相关风险,因此不常规推荐肺活检作为CIP的诊断手段。当诊断困难或需要鉴别其他疾病(如感染、肿瘤进展、癌性淋巴管炎、潜在的系统性结缔组织病的急性加重、对其他药物或治疗方法的反应如放射性肺炎等)时,需考虑患者的基线情况及风险获益比,并结合患者/家属意愿,多学科会诊权衡获益/风险比后谨慎决定。
【问题8】CIP诊断评价中是否常规开展肺活检?
【推荐意见8】在CIP诊断评价中不推荐常规开展肺活检。当诊断困难或需要鉴别其他疾病、并结合患者/家属意愿,多学科会诊后个体化开展肺活检。【投票专家58人;赞成56票,反对2票,弃权0票】
五、诊断及鉴别诊断
(一)CIP的诊断标准
恶性肿瘤患者,在接受ICI抗肿瘤免疫治疗后出现新发肺部阴影,在除外肺部感染、肺部肿瘤进展、肺水肿及其他原因引起的间质性肺疾病后,结合病史、血清学化验、病原学筛查、支气管镜等检查结果以及胸部CT表现后诊断CIP;并结合临床表现、病情进展速度等进行CIP的病情严重程度分级。推荐有条件的医疗机构,开展多学科讨论(multidisciplinary treatment,MDT)的模式诊断CIP、进行严重程度分级及全程管理。管理CIP的MDT团队建议包括呼吸与危重症医学科专科医师、肿瘤专科医师、放射科医师、病理科医师、临床药师、康复治疗师及护理团队,并建议呼吸专科医师全程参与CIP患者的管理。
【问题9】如何诊断CIP?
【推荐意见9】现阶段尚缺乏诊断CIP的特异性客观指标,CIP是排除性诊断。推荐有条件的医疗机构开展多学科讨论(MDT)的模式诊断CIP。【投票专家58人;赞成58票,反对0票,弃权0票】
对接受ICI治疗的肿瘤患者,尤其存在irAE高危因素的患者,建议密切随访、监测irAE的发生。建议治疗期间每3周或每次用药前进行评估,治疗结束后可根据患者病情每6~12周评估[52],评估内容包括症状、肺部听诊、指脉氧饱和度,酌情安排胸部影像学检查(推荐HRCT)。若患者出现新发呼吸系统症状或原有症状加重、发热、乏力等表现,和(或)胸部CT发现新发肺部阴影,需考虑CIP诊断并安排相关检查(详见上文“四、CIP的诊断评价”部分),以除外其他可能引起新发肺部阴影的病因[详见下文“(三)CIP的鉴别诊断”部分]。不过,临床上也存在肺部感染、肿瘤进展和CIP共存的复杂情况[53]。CIP的诊断流程图如图2。
注:a通常行胸部CT,若有条件建议选择HRCT,若疑诊肺栓塞,则建议行CTPA;b至少包括流感病毒和新型冠状病毒;c CIP与肺部感染、肿瘤进展等同时存在
图2 免疫检查点抑制剂(ICI)相关肺炎(CIP)的诊断流程
(二)CIP的病情分级
CIP患者的病情分级是制定CIP患者治疗措施的基础,必须对CIP患者进行病情严重度分级:结合患者的临床表现、氧合程度、进展速度等综合评价后进行CIP分级;诊断CIP后的全程管理中,建议根据病情变化动态评价CIP病情,及时调整分级和相应的治疗措施。目前尚无可参考的CIP分级的客观指标。
常用的CIP分级的标准包括美国国立卫生研究院、国家癌症研究所发布的不良事件通用术语标准(common terminology criteria for adverse events,CTCAE)[54]及由美国国家综合癌症网络(national comprehensive cancer network,NCCN)[52]发布的免疫治疗相关不良反应管理指南中的分级标准,具体见表1所示。其中CTCAE标准更简单、实用,首先推荐选用。
【问题10】如何进行CIP的病情程度的分级?
【推荐意见10】建议结合CIP患者的临床表现、氧合程度、进展速度等综合评价后进行CIP分级;推荐使用CTCAE分级标准;并在CIP诊断后的全程管理中,根据病情变化动态调整CIP病情分级。【投票专家58人;赞成58票,反对0票,弃权0票】
(三)CIP的鉴别诊断
CIP为除外性诊断,因此鉴别诊断至关重要。对于疑诊CIP的病例,需要进行鉴别诊断的主要疾病详见表2。
在CIP随诊过程中,应定期评估病情,警惕合并/继发感染,尤其对于3~4级的重型CIP,通常需要应用较大剂量、较长疗程的免疫抑制治疗,继发感染风险较高。对于加用CIP相关治疗后病情无好转趋势,或一度好转后再次加重的病例,需注意筛查有无继发感染,除社区获得性肺炎常见的病原体之外,还应警惕金黄色葡萄球菌、铜绿假单胞菌等细菌感染[55],以及巨细胞病毒、肺孢子菌、曲霉、结核分枝杆菌等机会性感染。
六、CIP的治疗策略
(一)CIP的药物治疗
常用的CIP治疗药物包括糖皮质激素、免疫抑制剂、生物制剂、IVIG等。
1.糖皮质激素(简称激素):激素是CIP的一线治疗药物。激素的起始治疗剂量需结合CIP的严重度分级、病情进展速度以及患者的基础疾病来决定:对于3~4级CIP、快速进展者,起始治疗建议静脉给予大剂量激素治疗,不低于1 mg·kg-1·d-1泼尼松当量[48,56, 57, 58, 59, 60],部分指南中激素推荐量可高达2~4 mg·kg-1·d-1[61, 62],甚至有采用冲击剂量激素治疗的报道[63]。对于3~4级CIP、缓慢进展者,起始治疗建议足量糖皮质激素,如1 mg·kg-1·d-1;对于1~2级CIP,若临床表现不明显、无进展者,可在密切监测随访下暂不给予系统性激素治疗;但若2级CIP患者,在监测过程中出现疾病进展、呼吸困难等临床表现,可以口服糖皮质激素,一般其实剂量在0.5~1 mg·kg-1·d-1,并在病情改善后逐渐减停。
糖皮质激素敏感的CIP在治疗起效后逐步减量至停用:2级CIP糖皮质激素总疗程建议4~6周[48,56, 57, 58, 59, 60],3~4级CIP总疗程建议达到6~8周或以上[48,56,60,62],减量过程中需密切监测病情避免反复,警惕激素依赖性CIP。在初始激素治疗48~72 h[48,58, 59, 60,62, 63],如无症状好转,在进一步充分排查感染、肺栓塞等其他原因后考虑为激素难治性CIP,需要尽快联合其他药物治疗。激素治疗期间常规补充钙剂、维生素D3。
【问题11】首诊CIP后如何合理应用糖皮质激素?
【推荐意见11】建议结合CIP的病情严重度分级、进展速度以及患者的基础疾病来制定糖皮质激素(简称激素)使用:对于3~4级CIP、快速进展者,推荐大剂量激素起始治疗(≥1~2 mg·kg-1·d-1泼尼松当量);对于3~4级CIP、缓慢进展者,推荐足量激素(1 mg·kg-1·d-1泼尼松当量)起始治疗;对于1~2级CIP,若临床表现不明显、无进展者,可暂不给予系统性激素治疗,并密切监测病情;一旦出现病情进展,建议给予激素治疗。注意激素治疗期间不良反应的监测和处理。【投票专家58人;赞成58票,反对0票,弃权0票】
2.免疫抑制剂:吗替麦考酚酸酯、环磷酰胺、他克莫司以及硫唑嘌呤等传统的免疫抑制剂通常起效较慢,可作为激素起效后长期免疫抑制维持治疗,在治疗激素依赖性、复发性CIP中占有重要地位。
3.生物制剂:对于重症和危重症CIP患者,建议早期联合IL-6受体的抑制剂妥珠单抗[48,56, 57,59],该药物作为强效炎症因子IL-6抑制剂,尤其适用于高炎症状态患者;该药可能不影响免疫检查点抑制剂的抗肿瘤疗效[64, 65],是CIP治疗的合适选择。英夫利昔单抗等抗TNF-α生物制剂被部分指南推荐用于早期联合治疗激素难治性3~4级CIP患者,并可重复给药[48,56, 57, 58,60, 61, 62],但其治疗CIP的疗效、继发感染及对肿瘤治疗效果的影响仍有待证实。由于临床前研究显示JAK抑制剂与ICI具有良好的协同活性,JAK抑制剂控制全身炎性反应的同时也可以很好地调节肿瘤微环境[66, 67],JAK抑制剂应用于CIP的临床研究也在积极进行中(NCT 05899725等)。静脉注射人免疫球蛋白(IVIG)通过被动免疫中和抗原起到抗炎作用,在CIP治疗中具有普遍良好的疗效和安全性,尤其适用于感染不能完全除外者。此外,IL-1、IL-17抑制剂[68]以及抗纤维化药物可能具有潜在的治疗前景。
【问题12】对于CIP患者,如何合理应用非糖皮质激素类免疫抑制药物及生物制剂?
【推荐意见12.1】激素依赖性、复发性CIP患者,若无禁忌,建议尽早联合免疫抑制剂,如吗替麦考酚酸酯、他克莫司、环磷酰胺、硫唑嘌呤等,并密切监测其不良反应及关注药物相互作用。【投票专家58人;赞成55票,反对0票,弃权3票】
【推荐意见12.2】对于重症和危重症CIP患者,可考虑在初始激素治疗时,联合抗IL-6制剂、抗TNF-α制剂等生物制剂和(或)JAK抑制剂,以及联合丙种球蛋白治疗,并密切监测上述治疗药物相关不良反应。【投票专家58人;赞成55票,反对0票,弃权3票】
4.抗菌药物:发生CIP的恶性肿瘤患者,因为其前的抗肿瘤免疫治疗、抗肿瘤化疗和放疗、因CIP接受的激素治疗和免疫抑制等,往往处于免疫低下状态,是各种感染性疾病(包括机会感染)的易患人群。已有专家提出CIP接受激素和(或)免疫抑制剂治疗中,给予预防性磺胺药物的治疗[28,69, 70, 71, 72]。此外,部分呼吸道感染可能诱发或加重CIP,部分患者还同时存在CIP和肺部感染性疾病等复杂情况。
抗菌药物也是CIP药物治疗中的重要组成部分。如合并感染,获取病原学证据后给予针对性抗感染药物治疗的最佳选择。但是部分重症CIP患者病情危重、难以耐受支气管镜等有创检查,不能有效获取下呼吸道标本送检病原学,经验性抗菌药物治疗策略也常用在重症CIP临床诊疗中。
【问题13】对于CIP患者,如何合理应用抗菌药物?
【推荐意见13.1】不推荐CIP患者常规使用广谱、广覆盖的抗生素策略。建议根据CIP的临床-胸部影像学特征、病原学证据及基线治疗方案,个体化选择抗生素治疗方案。【投票专家58人;赞成58票,反对0票,弃权0票】
【推荐意见13.2】对于有肺孢子菌感染高危因素及影像学特征符合的CIP患者,若无禁忌常规给予预防量磺胺口服;常见的高危因素有:控制不佳的糖尿病、长期激素(泼尼松当量≥20 mg/d)[73]和(或)免疫抑制剂、肿瘤治疗后骨髓抑制、既往有耶氏肺孢子菌感染史、外周血CD4+T细胞<400个/μl等。【投票专家58人;赞成58票,反对0票,弃权0票】
(二)CIP的呼吸支持
呼吸支持是改善重症CIP患者低氧血症的重要辅助手段,大致分为无创呼吸支持和有创呼吸支持,前者包括鼻导管、文丘里面罩、储氧面罩、经鼻高流量呼吸机、双水平气道正压通气呼吸机(BiPAP呼吸机)等非侵入性氧疗手段,后者主要指气管插管和机械通气。应根据重症CIP患者临床需求进行不同程度的呼吸支持。
【问题14】对于CIP患者,如何合理应用呼吸支持?
【推荐意见14】对于存在明显低氧血症的CIP患者(静息脉氧饱和度<90%、动脉血氧分压<60 mmHg,1 mmHg=0.133 kPa),建议根据患者的低氧程度给予个体化的呼吸支持策略,以改善低氧血症和临床症状,为药物治疗CIP创造条件。优先选择无创呼吸支持策略。【投票专家58人;赞成57票,反对0票,弃权1票】
(三)基础恶性肿瘤的治疗
发生CIP的患者应同时评估基础恶性肿瘤的疾病控制情况及抗肿瘤治疗的迫切程度,结合CIP患者的体能状态评分、有无抗肿瘤治疗禁忌等,综合权衡CIP患者是否能够接受抗肿瘤治疗以及接受何种抗肿瘤治疗。多项研究表明免疫治疗不良反应的发生与抗肿瘤疗效存在正相关[74, 75],因此部分重症CIP的患者可能同时处于较好的肿瘤控制阶段,为处理患者严重的CIP病情争取到宝贵的时间。在肿瘤治疗需求迫切的患者中,如排除抗肿瘤治疗禁忌,权衡风险获益后可在密切监测下进行化疗、抗血管靶向治疗、靶向治疗等系统性抗肿瘤治疗或放疗、射频消融等局部抗肿瘤治疗。考虑到CIP患者尽管停用ICI治疗,其他抗肿瘤治疗如小分子靶向药、胸部放疗同样存在肺毒性风险,需要进行密切监测。
【问题15】如何合理治疗CIP患者基础恶性肿瘤?
【推荐意见15】兼顾并重视CIP患者的基础恶性肿瘤的评估、治疗:若如基础恶性肿瘤控制良好,建议进入抗肿瘤休疗阶段。但若患者的基础恶性肿瘤治疗需求迫切,且患者基础状态可耐受,权衡风险获益后,可在密切监测下,选择化疗、小分子靶向治疗、抗血管治疗或局部放疗等。要警惕小分子靶向治疗药物、胸部放疗等相关性肺损伤风险。【投票专家58人;赞成57票,反对0票,弃权1票】
(四)并发症/合并症的治疗
免疫检查点抑制剂治疗的患者在发生CIP同时可能伴发其他系统的免疫治疗不良反应,应给予充分重视、积极排查,并根据其他免疫治疗不良反应的病情需要调整激素等药物治疗强度。
CIP诊治过程中需注意排查血栓栓塞性疾病,必要时给予治疗;如无明确血栓证据,对于重症CIP患者,如无禁忌建议酌情使用预防量抗凝治疗。
在针对CIP进行治疗的同时,应关注感染、医源性库欣综合征(类固醇相关糖尿病、高血压、向心性肥胖、蛋白质及脂代谢异常)等代谢紊乱、水钠潴留、消化道出血、骨质疏松等并发症,加强监测及支持治疗。
(五)免疫治疗再挑战
1~2级CIP在病情缓解后,可根据个体化情况恢复ICI治疗,并密切监测CIP再发。3~4级CIP患者在早期的国内外指南中曾被建议永久停用ICI,随着对免疫治疗相关不良反应处理经验的不断积累及临床证据的丰富,近年来重症CIP患者免疫治疗再挑战也被认为是可行的。鉴于再挑战患者中相当比例再发相同的irAE[76],建议在既往CIP治疗效果良好、仍保留有较好的肺功能、ICI治疗潜在获益大的患者中谨慎进行。免疫治疗再挑战的时机选择上,需要CIP缓解至1级及以下及且泼尼松剂量10 mg/d或以下;也可考虑定期复查病情,待恶性肿瘤疾病进展后再挑战;有研究结果显示泼尼松10~15 mg/d或以上剂量持续会降低ICI疗效。药物选择方面:尽管有研究提出ICI类型转化策略,但现有证据提示该策略不能降低CIP的发生风险。
【问题16】对于发生过CIP的恶性肿瘤患者,如何合理开展ICI再挑战?
【推荐意见16】1~2级CIP可在病情缓解后,个体化开展再次ICI治疗,并密切监测ICI相关不良反应。3~4级CIP需要CIP缓解至1级且泼尼松剂量10 mg/d或以下,也可考虑定期复查病情,恶性肿瘤疾病进展后再挑战;再次ICI治疗前必须患者充分知情、密切监测下尝试。不建议换用其他ICI药物。【投票专家58人;赞成56票,反对1票,弃权1票】
CIP的治疗推荐流程详见图3。
注:a一般采用鼻导管吸氧即可;b包括面罩吸氧、高流量吸氧、无创呼吸机、气管插管+呼吸机辅助呼吸;对于是否气管插管+呼吸机辅助呼吸前,建议综合患者的基础状况、基线恶性肿瘤的病情、患方意愿以及CIP的可逆程度等决定,必要时建议多学科讨论(MDT)后决定对于3、4级CIP,在大剂量激素治疗同时,可以给予静脉注射人免疫球蛋白(IVIG)和经验性抗菌药物治疗
图3 CIP的治疗流程
七、CIP的康复策略
美国胸科学会/欧洲呼吸学会定义呼吸康复为:在对患者进行全面评估的基础上,量身定制个体化的综合干预措施,即根据患者的具体情况进行治疗,包括但不限于运动训练、教育和行为改变,旨在改善慢性呼吸系统疾病患者的身心状况,并促进其长期坚持有利健康的行为[77]。
呼吸康复治疗主要包括运动训练和非运动训练两大部分[77],训练开始前需对患者情况进行评估,以根据患者肺功能、活动耐量及肺部病变的情况等制定个体化方案。运动训练是肺康复的基石,大规模随机对照研究结果表明运动训练可显著提高ILD患者6 min步行距离和HRQoL[78];也可提高接受药物治疗的肺癌患者运动耐量、减轻患者疲劳感[79];其主要包括活动耐量训练、对抗阻力训练及柔韧性训练,骑自行车或步行是活动耐量训练最常用的运动方式,可通过自由负重或空气阻力式器材等进行对抗阻力训练,而拉伸主要肌群及加强关节活动可提高柔韧性。非运动训练则主要包括患者宣教、心理支持、症状改善及缓和医疗等;其中症状改善包括通过氧疗缓解呼吸困难及有效控制咳嗽症状。以上内容的共同顺利进行可达到最佳的呼吸康复治疗效果。
CIP患者呼吸康复的总体原则为早期、个体化、动态调整。呼吸康复在病程早期可能会带来更大获益,并应针对患者的症状、运动能力及健康相关生活质量提出个体化综合治疗方案,后续根据病情变化及训练方案实施情况及时进行调整。
【问题17】如何合理开展CIP患者呼吸康复措施?
【推荐意见17】建议尽早开展个体化形式多样的呼吸康复措施,如活动耐量训练、对抗阻力训练及柔韧性训练等,并根据CIP病情动态调整。【投票专家58人;赞成56票,反对0票,弃权2票】
八、CIP患者的宣教
癌症患者往往健康状况较差,体力活动较少,识别新发呼吸系统症状的能力也会受到影响,部分患者基于自己的临床症状就医时,可能已处于CIP晚期,导致预后不佳。因此,加强宣教至关重要,可帮助患者及照护者了解疾病症状、熟悉相关风险及提高自我管理能力,促进患者主动监测临床征兆、及时寻求医疗干预。以实现CIP的早期就诊、早期识别、准确诊断和及时治疗,改善患者生活质量及预后。
首先应加强对患者及患者家属的疾病教育,指导其认识临床表现:当患者出现乏力、活动耐量下降、发热及呼吸困难等其他呼吸异常症状时,建议及早就医;同时建立自主监测系统:需定期自我监测症状及家庭监测指氧饱和度,以早期识别CIP的发生发展;教育患者加强自我管理:如戒烟、个体化呼吸康复、个人防护等。
同时也要加强对社区医师、急诊医生及肿瘤科医师等其他一线医务人员的疾病教育,以提高其对CIP的临床理解和诊断能力,包括CIP风险评估、准确诊断、密切监测等。
【问题18】如何开展有效的CIP患者宣教?
【推荐意见18】加强对接受抗肿瘤免疫治疗的患者及其照护者的宣教,使其充分认识CIP的临床表现,并在出现可疑症状时尽早就诊。加强对可能接诊CIP的一线医师(急诊科医师、社区医师等)CIP相关知识的宣贯,以提高其对CIP的认识和警惕性,做到达到早期诊断CIP。【投票专家58人;赞成58票,反对0票,弃权0票】
九、CIP的未来研究和探索
关于CIP的诊断、治疗、预后预测等还有很多需要进一步探索的内容。诊断方面:(1)尚欠缺能早期预测发生CIP的客观指标;(2)尚无诊断CIP的客观标志物;(3)对于ICI治疗后新发的肺部阴影的病因诊断深度学习模型也有待进一步探索、建立和完善,以期能借助于AI技术来鉴别诊断CIP和感染性疾病、肿瘤进展等。
CIP的治疗仍有很多问题尚未解答:(1)对于激素难治性或激素依赖性的CIP,如何选择其他药物。(2)如何在CIP治疗的同时,保留患者抗肿瘤的免疫功能。(3)CIP治疗新药或新方案的探索,特别是早期生物制剂或免疫调节剂的使用。(4)对于CIP缓解后的ICI何时和何种药物再挑战。
期待在本共识的推广应用有助于在全国范围内开展同质化的CIP诊断、治疗,全面提升CIP的临床诊疗水平。
共识制定执笔专家:黄慧(中国医学科学院北京协和医院)、陈茹萱(中国医学科学院北京协和医院)、石钰洁(中国医学科学院北京协和医院)、高晓星(中国医学科学院北京协和医院)、石岳泉(中国医学科学院北京协和医院)、梁红格(中国医学科学院北京协和医院)、潘瑞丽(中国医学科学院北京协和医院)、刘潇衍(中国医学科学院北京协和医院)、杨萌(中日友好医院)、赵微(解放军总医院)
参与讨论专家(按姓氏汉语拼音排序):白莉(解放军总医院)、曹彬(中日友好医院)、曹孟淑(南京鼓楼医院)、陈良安(解放军总医院)、陈闽江(中国医学科学院北京协和医院)、陈茹萱(中国医学科学院北京协和医院)、范晓云(安徽医科大学第一附属医院)、付秀华(内蒙古医科大学附属医院)、高蓓莉(上海交通大学附属瑞金医院)、高晓星(中国医学科学院北京协和医院),韩一平(上海长海医院)、何勇(陆军特色医学中心)、洪群英(复旦大学附属中山医院)、胡洁(复旦大学附属中山医院)、黄慧(中国医学科学院北京协和医院)、姜丽岩(上海交通大学附属胸科医院)、金阳(华中科技大学同济医学院附属协和医院)、兰芬(浙江大学医学院附属第二医院)、李梅(中国医学科学院北京协和医院)、李敏(中南大学湘雅医院)、梁红格(中国医学科学院北京协和医院)、刘丹(四川大学华西医院)、刘晓芳(首都医科大学附属北京同仁医院)、刘潇衍(中国医学科学院北京协和医院)、吕镗烽(南京大学医学院附属金陵医院)、田攀文(四川大学华西医院)、穆传勇(苏州大学附属第一医院)、穆新林(北京大学人民医院)、潘瑞丽(中国医学科学院北京协和医院)、施敏骅(苏州大学附属第二医院)、石钰洁(中国医学科学院北京协和医院)、石岳泉(中国医学科学院北京协和医院)、斯小燕(中国医学科学院北京协和医院)、宋勇(南京大学医学院附属金陵医院)、唐华平(青岛市市立医院)、王成弟(四川大学华西医院)、王汉萍(中国医学科学院北京协和医院)、王珂(吉林大学第二医院)、王孟昭(中国医学科学院北京协和医院)、王琪(大连医科大学附属第二医院)、王悦虹(浙江大学医学院附属第一医院)、王小平(韶关市第一人民医院)、吴迪(深圳市人民医院)、谢宝松(福建省立医院)、谢敏(华中科技大学同济医学院附属同济医院)、徐淑凤(秦皇岛市第一医院)、徐小嫚(中国医科大学附属盛京医院)、徐燕(中国医学科学院北京协和医院),杨柳青(火箭军特色医学中心)、杨萌(中日友好医院)、杨侠(亳州市人民医院)、余宗阳(联勤保障部队第九〇〇医院)、张惠兰(华中科技大学同济医学院附属同济医院)、张稷(浙江大学医学院附属第一医院)、张艰(空军军医大学西京医院/西安市人民医院)、张剑青(昆明医科大学第一附属医院)、张力(中国医学科学院北京协和医院)、张晓菊(河南省人民医院)、张晓彤(中国医学科学院北京协和医院)、张予辉(首都医科大学附属北京朝朝阳医院)、赵静(中国医学科学院北京协和医院)、赵微(解放军总医院)、钟巍(中国医学科学院北京协和医院)、周承志(广州医科大学附属第一医院)、周向东(陆军军医大学西南医院)、周燕斌(中山大学附属第一医院)
参考文献(略)
作者:中华医学会呼吸病学分会 中国抗癌协会肿瘤呼吸病专业委员会 北京肿瘤防治研究会;通信作者:王孟昭,中国医学科学院北京协和医院呼吸与危重症医学科;陈良安,解放军总医院呼吸与危重症医学科;曹彬,国家呼吸医学中心中日友好医院呼吸与危重症医学科
引用本文: 中华医学会呼吸病学分会, 中国抗癌协会肿瘤呼吸病专业委员会, 北京肿瘤防治研究会. 免疫检查点抑制剂相关肺炎诊治和管理专家共识(2025)[J]. 中华结核和呼吸杂志, 2025, 48(4): 329-343. DOI: 10.3760/cma.j.cn112147-20241121-00694.
本文转载自订阅号「中华结核和呼吸杂志」
原链接戳:【诊疗方案】免疫检查点抑制剂相关肺炎诊治和管理专家共识(2025)
* 文章仅供医疗卫生相关从业者阅读参考
本文完
责编:Jerry
