一、病例介绍
一般资料
患者男性,57岁,有吸烟史30余年,每天约20支。主诉:咳嗽咳痰1个月,加重伴胸闷1周。12月8日入院。
现病史
1个月前无明显诱因下出现咳嗽,不剧,伴少许白痰,易咳出,胸闷气急不明显,无畏寒发热,无头晕头痛,无胸痛心悸,无咯血,无盗汗乏力,起初未予重视及治疗。1个月来症状逐渐加重,咳嗽加剧,痰量增多,逐渐出现胸闷气急。1周前休息时出现胸闷气急,夜间高枕卧位,无畏寒发热,无盗汗乏力,无头晕头痛,无胸痛心悸,无咯血,在当地卫生院输液治疗6天(具体不详),治疗后症状未见好转。入院当天至当地人民医院就诊,查胸部CT示两肺广泛感染,诊断考虑“重症肺炎”,建议转上级医院,遂来我院急诊,测体温36.8℃,查血常规:白细胞(WBC)5.2×109/L,血红蛋白(Hb)148 g/L,血小板(PLT)139×109/L,高敏C反应蛋白(hs-CRP)15.6 mg/L。血气分析:pH 7.468,PaO2 59.5 mmHg(FiO2 41%),PaCO2 34.1 mmHg;拟“肺部感染”收入病房。患者自发病以来,神志清,精神软,胃纳一般,夜眠欠佳,大小便无殊,体重无明显减轻。
既往史
既往有“高血压”病史半年,血压最高155/90 mmHg,口服降压药控制(具体用药不详);有“外伤导致左侧股骨颈坏死”病史20余年,未正规治疗。无疫水、疫区及家禽密切接触史。家族中无传染病及遗传病病史。
入院查体
体温36.7℃,脉搏90次/分,呼吸21次/分,血压143/80 mmHg,神清,精神软,口唇无发绀,颈部、腋窝淋巴结未及肿大,双下肺叩诊浊音,听诊呼吸音粗,两肺可及湿啰音,心率90次/分,律齐,各瓣膜听诊区未及杂音,腹平软,无压痛、反跳痛,肝脾肋下未及肿大,双肾区无叩痛,双下肢不肿。
辅助检查
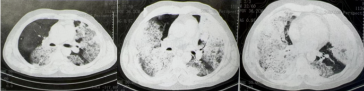
12月8日当地医院胸部CT示:两肺广泛感染(图1)。12月13日我院胸部CT示两肺感染及多发小结节(图2)。
图1 外院胸部CT
图2 我院胸部CT
12月13日行支气管镜检查示:双侧各段所见管腔通畅,黏膜充血,大量泡沫样分泌物;于右侧下叶基底段肺泡灌洗(脱落、抗酸、培养)、细针穿刺、毛刷检查。右侧下叶基底段(细针穿刺液细胞蜡块)少量纤毛柱状上皮细胞,未见恶性依据;(纤维支气管镜毛刷涂片及肺泡灌洗液)未找到癌细胞(阴性)。多次痰找脱落细胞阴性。
12月19日行B超引导下右肺病变穿刺术,肺穿刺活检标本病理为黏液腺癌(图3);送检EGFR检测提示野生型。
图3 B超引导下肺穿刺活检病理为黏液腺癌
最后诊断
肺腺癌(TxNxM1, Ⅳ期, EGFR野生型)。
治疗及转归
患者及家属拒绝继续治疗,于12月28日自动出院。
二、讨论
肿瘤可以产生弥漫性肺浸润进而影响氧合,严重者甚至导致急性呼吸窘迫综合征(ARDS)。引起ARDS最常见的肺肿瘤性浸润有白血病和淋巴瘤,其他会导致ARDS的肿瘤包括绒毛膜上皮癌、甲状腺癌、恶性组织细胞增多症等。这些肿瘤由于出血或其他原因导致肺泡气体交换障碍,进而演变为ARDS。
此病例有ARDS的典型表现,包括进行性呼吸困难、肺部湿啰音、大片肺实变等;床边心脏超声及血钠尿肽检测正常,排除了心源性肺水肿的可能。经过抗感染、糖皮质激素等治疗,患者低氧血症改善不明显。在排除其他病因后,考虑肺恶性肿瘤的可能。患者CT影像呈双侧广泛的肺实变影,通常这种改变出现在肺部感染病例。换言之,由于肺恶性肿瘤导致的这种改变,一般病程长,缓慢进展。此病例呈急性加重表现,对临床医生的初始诊断产生了干扰,并且患者CT影像也没有其他证据提示有肿瘤性改变。表现为快速进展的肺腺癌常预后极差,但因合并ARDS导致短期内死亡的病例却罕见报道。
侵袭性肺腺癌的CT表现没有特异性,包括肺实变、支气管充气征和团块等,多见于肺下叶。有时表现为多灶、多叶的实性或半实性结节,多呈小叶中央型。有时亦表现为机化性肺炎样变,呈非节段性分布,部分会快速发展。有时腺癌沿肺泡间隔生长而不改变肺结构,也不导致气道阻塞,影像可能表现为叶段渗出和/或实变,所以原发性肺腺癌有时表现类似社区获得性肺炎(CAP)。证据表明肺炎型肺癌预后更差。患者表现为快速进展的双肺大片实变,类似重症肺炎而非腺癌。腺癌为什么会出现短期内快速进展的机制目前尚不完全清楚。
患者痰涂片示找到革兰阴性杆菌,痰培养为肺炎克雷伯菌,而最终病理确诊为肺腺癌。目前已经认识到肺癌患者的气道有可能存在细菌定植。Laroumagne等评估初次诊断肺癌患者支气管内细菌定植的发生率及特性,发现约48.1%的标本具有潜在的细菌感染,且大多为革兰阴性菌。同时,他们发现合并细胞定植的肺癌患者预后更差。有意思的是,他们还报道了克雷伯菌肝脓肿与隐匿性结肠腺癌有关。是否克雷伯菌肺炎与肺腺癌有关,有待进一步研究。
相对于精细活检针,空芯针穿刺活检能获得更多的组织量,便于进一步行免疫检查。Anderson等比较了CT引导下精细活检与空芯针活检肺病变组织,两者活检方法的诊断效能分别为78%和93%(P<0.005)。此病例氧合差,在没有机械通气支持的情况下,我们在床旁行B超引导下空芯针活检,最终明确了诊断。
该病例也能提示我们,侵袭性肺腺癌有时会表现为急性重症肺炎。CT扫描有助于显示病灶部位、大小及病损的特征,但对于鉴别病原体的作用有限。确诊还需要侵入性检查。在条件允许的情况下,尽早进行B超/CT引导下的经皮肺穿刺,有助于及时诊断。
参考文献略
作者:崔恩海,华锋;单位:浙江大学医学院附属湖州医院
本文转载自订阅号「重症肺言」(ID:RCCRC_0067)
原链接戳:表现为重症肺炎的肺癌
* 文章仅供医疗卫生相关从业者阅读参考
本文完
责编:Jerry
