摘要
本文报道1例食管癌术后复发所致气管食管瘘合并重度肺部感染患者的成功救治经验。患者在接受气管金属覆膜支架置入封堵瘘口后,继发耐碳青霉烯类鲍曼不动杆菌肺部感染。基于支气管肺泡灌洗液培养及宏基因组二代测序、聚合酶链反应结果,采用头孢哌酮舒巴坦联合多黏菌素E甲磺酸钠进行目标性抗感染治疗。经此综合干预,患者感染指标迅速下降,肺部影像学较前明显吸收,最终呼吸功能改善并顺利出院。本案例表明,对于此类复杂感染,以气道介入技术封堵瘘口为基础,并结合基于精准病原学的强效抗生素治疗,是多学科诊疗模式下实现成功救治的关键。
关键词:气管食管瘘;气道支架;耐碳青霉烯类鲍曼不动杆菌肺炎;多黏菌素
气管食管瘘是晚期食管癌的严重并发症之一,常因肿瘤局部浸润或治疗后(如放疗)组织坏死所致 [1],其发生率为5%~15% [2]。该并发症致使呼吸道与消化道异常连通,进而引起反复吸入性肺炎、难治性肺部感染及呼吸衰竭,患者生活质量显著下降,预后极差,临床处理极为棘手。近年来,气道支架置入术作为缓解气管食管瘘相关症状的重要手段,被广泛应用于临床以封堵瘘口、维持气道通畅 [3]。然而,支架置入后存在并发肺部感染的风险,尤其是多重耐药菌感染,进一步加重治疗难度。其中,耐碳青霉烯类鲍曼不动杆菌(carbapenem-resistant Acinetobacter baumannii,CRAB)感染因抗菌药物选择有限,病死率高,成为临床面临的重大挑战 [4]。本文报道1例食管癌术后合并气管食管瘘患者,在接受气道支架置入术后继发CRAB肺部感染,经联合多黏菌素的目标性抗感染治疗,最终成功控制感染,旨在探讨该类复杂感染的治疗策略,为临床提供借鉴与参考。
1、病例资料
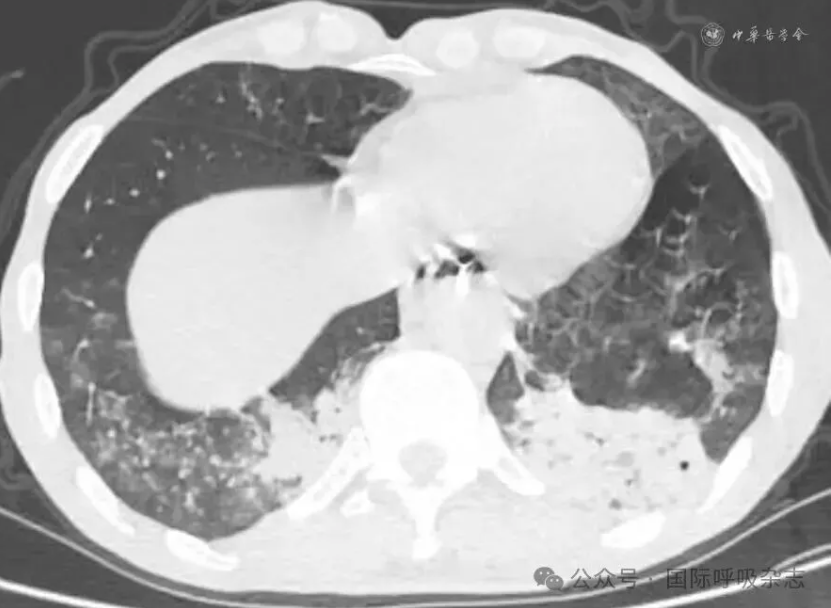
患者男,61岁,因“食管癌术后3年,咳嗽、气喘半年”于2025年3月14日入院。患者于2022年确诊食管鳞癌,曾接受新辅助免疫联合化疗、食管癌根治术、术后辅助免疫治疗、局部放疗及多线化疗等规范治疗。2024年12月经胃镜检查确诊为“气管食管瘘”,遂行空肠营养管置入术(图1)。后因咳嗽、气喘症状持续,辗转多家医院治疗效果不佳就诊于西安市胸科医院。入院查体:端坐呼吸,声音嘶哑,双肺可闻及湿性啰音及喘鸣音。实验室检查示炎症指标升高:白细胞计数8.82×109/L,中性粒细胞比例88.8%,C反应蛋白165.88 mg/L。血气分析pH值7.435,PaCO2为45.2 mmHg(1 mmHg=0.133 kPa),PaO2为55 mmHg,氧合指数200 mmHg,提示Ⅰ型呼吸衰竭。胸部CT提示气管食管瘘,伴双下肺感染及实变(图2)。支气管镜下见气管中下段膜部菜花样新生物,新生物下方可见瘘口(图3)。
图1:61岁男性气管食管瘘患者胃镜检查示气管食管瘘,空肠营养管置入状态
图2:61岁男性气管食管瘘患者胸部CT(2025年3月14日)示气管食管瘘,双肺下叶感染、实变
图3:61岁男性气管食管瘘患者支气管镜检查(2025年3月15日)示气管中下段膜部可见菜花样新生物,于新生物下方可见气泡冒出,考虑瘘口形成
经院内多学科诊疗(胸外科、肿瘤科、影像科、消化科等),确定行气道支架置入术治疗气管食管瘘,其中气道支架的大小及种类选择决定手术成败。通过气道三维重建(气管上中段管腔狭窄,长度约45 mm,狭窄上端距声门下约58 mm,狭窄下端距隆突约28 mm,最窄内径约12.8 mm×3 mm;气管上段距声门下腔约82 mm处可见管壁破损,与食管相通,瘘口宽约2~3 mm)(图4)及多次支气管镜下的测量数据,最终确定气道支架型号为:金属覆膜20 mm×60 mm。2025年3月17日行气管新生物电凝圈套切除及消融治疗(图5)。2025年3月20日在全身麻醉硬质支气管镜下成功置入气道金属覆膜支架(图6),术后患者呛咳症状即刻缓解。
图4:61岁男性气管食管瘘患者气道三维重建(2025年3月14日)示气道狭窄及气管食管瘘
图5:61岁男性气管食管瘘患者2025年3月17日支气管镜下行气管新生物电凝圈套切除及消融治疗
图6:61岁男性气管食管瘘患者2025年3月20日支气管镜下置入20 mm×60 mm金属覆膜支架
患者入院时胸部CT示双下肺多发感染,且痰液潴留,根据支气管肺泡灌洗液宏基因组二代测序(metagenomics next-generation sequencing,mNGS)结果(提示流感嗜血杆菌、缓症链球菌等),鉴于患者病情危重,感染初期拟采用“降阶梯治疗”策略。初始抗感染治疗方案为:静脉输注美罗培南(1 g/次,每8小时1次)及利奈唑胺(0.6 g/次,每12小时1次),以广谱覆盖潜在病原体,稳定病情。
气道支架置入术后第5天(2025年3月25日),患者出现高热,体温达39.0 ℃,痰液较多。实验室检查提示炎症指标急剧恶化:白细胞计数19.86×109/L,中性粒细胞比例为94.2%。复查胸部CT显示右肺下叶实变范围较前扩大。考虑感染加重的诱因:金属支架置入会破坏气道纤毛的清除功能,致使黏液滞留,为微生物定植创造了条件。在优势定植菌方面,以铜绿假单胞菌为主的假单胞菌属、金黄色葡萄球菌为主的葡萄球菌属,以及不动杆菌、克雷伯菌、念珠菌等均较为常见,且这些定植菌往往具有较高的耐药性。此外,金属支架表面会形成生物膜,其菌群与支气管肺泡灌洗液中的菌群一致,成为重要的感染源。该患者同期支气管肺泡灌洗液结果回报也证实以上原因,其培养及聚合酶链反应结果均为CRAB,药敏试验结果显示该菌株对碳青霉烯类及多种常用抗菌药物耐药,仅对多黏菌素、替加环素等少数药物敏感。聚合酶链反应结果检测出OXA-23耐药基因,提示产D类碳青霉烯类,再次与临床药学等多学科诊疗,确定了针对当前致病菌——CRAB的抗菌治疗方案。
(1)头孢哌酮舒巴坦:在现有药物中,舒巴坦及含舒巴坦的β-内酰胺酶抑制剂复合制剂是重要选择,因舒巴坦本身对不动杆菌属具备独特的抗菌活性。对于多重耐药鲍曼不动杆菌感染,舒巴坦的常用剂量为4.0 g/d,专家共识 [5]推荐可增加至6.0 g/d甚至8.0 g/d,分3~4次给药。头孢哌酮舒巴坦在体外对不动杆菌存在协同抗菌活性,敏感性优于氨苄西林舒巴坦,故国内将其作为不动杆菌感染重要的治疗药物。
(2)多黏菌素:主要用于联合治疗。国外多用多黏菌素E,剂量为2.5~5 mg·kg-1·d-1。需警惕其肾毒性及神经毒性,尤其对老年及肾功能不全患者。鲍曼不动杆菌易对其产生异质性耐药,但联用β-内酰胺类或替加环素可能恢复多黏菌素E的敏感性。
(3)替加环素:体外对不动杆菌敏感度高。疗效与最低抑菌浓度相关,若最低抑菌浓度≥1 mg/L需增加剂量(如100 mg/次,每12小时1次)或联合用药。增加剂量可能增加胃肠道反应。国内常以其为基础,或与头孢哌酮舒巴坦组成联合方案。结合患者病情及药敏试验,对碳青霉烯类耐药,最终确定将抗感染治疗方案调整为头孢哌酮舒巴坦(1∶1)(3 g/次,每8小时1次)联合多黏菌素E甲磺酸钠(75 mg/次,每12小时1次)。
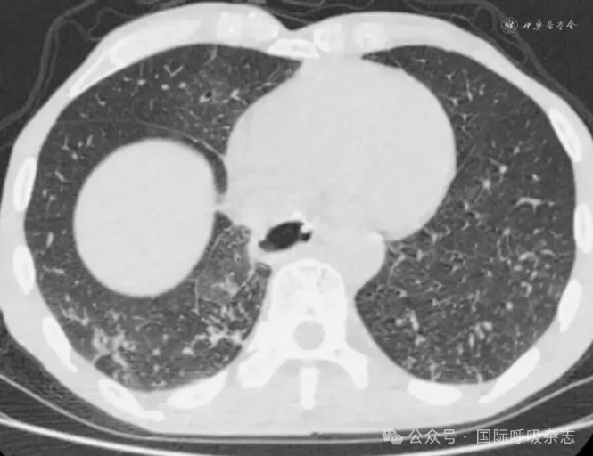
调整抗感染治疗方案10 d后,患者体温恢复正常,血清感染指标较前改善,复查血常规示白细胞计数7.12×109/L,C反应蛋白86.4 mg/L。2025年4月4日复查胸部CT,示双肺感染性病变较前明显吸收(图7)。再次行支气管镜检查,见气道内支架位置良好,管腔通畅,痰液较前已显著减少(图8)。患者整体病情趋于稳定,一般情况改善,予办理出院。患者术后1个月复查支气管镜提示管腔通畅,支架周围可见少许肉芽组织;复查血常规示白细胞计数8.16×109/L,中性粒细胞比例87.8%,C反应蛋白39 mg/L,降钙素原0.15 μg/L;血气分析pH值7.415,PaCO2为45 mmHg,PaO2为93.0 mmHg,氧合指数356 mmHg,患者气短、咳嗽症状明显缓解,给予卡瑞丽珠单抗联合替吉奥等免疫维持治疗。术后3个月复查支气管镜可见支架周围有肉芽组织,管腔内少量痰液,给予吸引后管腔通畅;复查血常规示白细胞计数6.15×109/L,中性粒细胞比例85.9%,C反应蛋白39.61 mg/L,降钙素原0.14 μg/L;血气分析pH值7.405,PaCO2为48 mmHg,PaO2为95.0 mmHg,氧合指数368 mmHg,继续给予卡瑞丽珠单抗联合替吉奥等免疫维持治疗,症状较前有所改善,多次送检支气管肺泡灌洗液均未查见CRAB。
图7:61岁男性气管食管瘘患者胸部CT(2025年4月4日)示双肺下叶炎症明显吸收
图8:61岁男性气管食管瘘患者支气管镜检查(2025年4月5日)示支架位置良好,气道内脓性分泌物显著减少
2、讨论
本文报道了1例因晚期食管癌并发气管食管瘘,继发CRAB肺部感染的患者。基于多学科诊疗,采取以金属覆膜气道支架置入为核心的综合治疗策略,成功打破了“瘘口持续污染”与“耐药菌肆虐”的恶性循环,最终使感染得到控制,患者呼吸困难显著缓解,为后续治疗创造了宝贵契机。此案例为处理此类临床极端困境提供了深刻启示。
2.1 气道介入的关键作用与治疗窗口的把握
由恶性肿瘤侵袭所致的气管食管瘘与中央气道狭窄,是导致顽固性肺部感染与呼吸衰竭的核心病理基础,患者预后极差 [6-8]。尽管球囊扩张、激光、冷冻等腔内技术可用于处理狭窄 [9-11],但对于存在瘘口的患者,气道支架置入术因其能同时实现气道重建与瘘口封堵,已成为局部治疗手段之一 [12-15]。常见的气道支架有硅酮支架和金属支架。硅酮支架虽有肉芽少的优势,但具有柔顺性差、易移位、安放耗时等不足;而金属支架具有良好的柔顺性、易安放、不易移位、贴壁性好等特点,但肉芽形成较多,其中覆膜支架因有回收线,易取出,可减少肉芽组织增生,降低再狭窄风险。本病例选择金属覆膜支架主要基于以下考量:首先,患者气道三维重建显示气管存在长约45 mm的狭窄段,且瘘口位于气管中下段膜部,需要在几分钟内快速释放支架完成手术。硅酮支架需要推送器进行操作,耗时较长,而金属覆膜支架具备优异的径向支撑力,能快速释放。其次,相较于硅酮支架,金属覆膜支架可通过硬质支气管镜在全身麻醉下精准、可视释放,操作相对便捷,贴壁性更佳,这对于一般状况差、需要紧急干预的晚期肿瘤患者至关重要 [16]。此外,对于恶性气道疾病,金属覆膜支架在缓解症状和改善生活质量方面显示出良好的即时效果,为后续治疗创造了条件 [17]。本病例在外院因一般状况差及活动性感染而未能及时行支架置入,导致感染迁延,这恰恰凸显了把握干预时机的重要性。提示在强有力的抗感染及呼吸支持下,即使感染未完全控制,但对存在明确瘘口污染、呼吸力学不稳的患者,果断施行支架置入以消除感染源头,是逆转病情、阻断“感染-营养不良-呼吸衰竭”这一恶性循环的关键决策 [17-18]。
2.2 多重耐药菌感染的挑战与精准抗感染策略
本病例的另一治疗难点在于支架置入术后出现CRAB感染。支架作为异物,可能为鲍曼不动杆菌等生物膜形成菌提供定植的“基地”,从而极大增加治疗难度 [19]。本病例药敏试验提示病原菌仅对多黏菌素、替加环素等少数药物敏感,选择多黏菌素E甲磺酸钠为核心药物,主要基于以下几方面考量:首先,多黏菌素通过与革兰阴性菌外膜中的脂多糖分子结合,破坏外膜完整性,导致细胞内容物泄漏,最终杀灭细菌,其对CRAB的体外敏感度高,是治疗这类多重耐药菌感染的基石药物 [20]。其次,相较于替加环素(在肺组织中的血药浓度相对较低),多黏菌素经静脉给药后能在肺泡上皮衬液中达到有效的治疗浓度,更适用于重症肺炎的治疗 [21]。再者,采用头孢哌酮舒巴坦与之联合,旨在利用舒巴坦对鲍曼不动杆菌特有的青霉素结合蛋白的抑制作用,直接发挥抗菌效应并破坏细菌细胞壁;同时,头孢哌酮舒巴坦可协同破坏细菌外膜结构,增强多黏菌素对CRAB生物膜的穿透性与杀菌活性,形成协同抗菌效应 [5]。这一联合方案经药学-临床多学科诊疗讨论,被认为是针对本例支架置入术后CRAB肺炎最有可能迅速控制感染的强效方案。本例最终采用该协同方案并取得良好的临床效果,再次凸显了多黏菌素在应对多重耐药革兰阴性菌感染中的核心地位 [22]。这一过程提示,对于此类高风险患者,必须贯彻“精准抗感染”策略。一旦疑诊,即应尽早、规范地留取呼吸道标本,综合利用包括分子诊断(如mNGS)和传统微生物培养与药敏试验在内的病原学技术,快速明确病原体,并据此制定强效、目标性的治疗方案 [23]。特殊级抗菌药物的早期、合理应用,往往是决定治疗成败的关键。
2.3 临床启示与展望
本病例的成功管理进一步凸显了针对高风险患者(支架置入合并晚期肿瘤)的精细化临床策略。基于本病例经验,笔者提出以下建议。
2.3.1 高风险患者的CRAB感染预警策略
对于气道支架置入的晚期肿瘤患者,应建立系统性的 CRAB感染预警机制。(1)高危识别:既往有广谱抗生素暴露史、住院时间>14 d、合并呼吸道结构性病变(如支架)的患者,应视为CRAB感染高风险人群。(2)主动筛查:在置入支架前,对呼吸道分泌物进行主动微生物培养与耐药基因检测,建立基线耐药谱。(3)感染指标动态监测:除常规炎症指标(如降钙素原、C反应蛋白)外,结合临床征象(如痰液性质改变、氧合恶化)及时行支气管镜采样,避免感染延误诊断 [24]。
2.3.2 mNGS与传统药敏试验的联合应用时机
在疑诊耐药菌感染时,推荐阶梯化病原学诊断策略。(1)早期经验阶段:在临床病情危重、感染病原不明时,优先采用mNGS技术进行广谱病原筛查,尤其适用于传统培养阴性但感染征象持续存在的情况。(2)目标性治疗阶段:在病原菌培养及聚合酶链反应提示CRAB等耐药病原后,立即联合传统药敏试验,以明确耐药模式、精确指导抗生素选择与剂量调整。(3)疗效评估阶段:在治疗中后期,可重复采用传统培养与药敏试验动态评估病原清除情况,避免死菌残留对mNGS技术的干扰 [25]。
综上,本病例通过成功管理1例气道支架置入后并发CRAB感染的晚期肿瘤患者,提炼出2项关键启示:在具体策略层面,需建立针对高风险患者的耐药菌预警体系,并明确mNGS与传统药敏试验的联合应用时机;在治疗原则层面,则应确立“介入先行,抗感染并重”的多学科诊疗模式。本案例证实,该模式的核心价值在于充分发挥支架置入的姑息治疗作用,通过解除梗阻与控制感染为抗肿瘤治疗创造“时间窗”。这不仅是为患者争取进一步治疗机会与尊严的支持性胜利,也为未来探索此类患者远期生存获益的循证研究奠定了基础。
(参考文献略)
作者:郭倩、赵延军、杨一斐、顾兴(西安市胸科医院呼吸与危重症医学科,西安 710100)
DOI:10.3760/cma.j.cn131368-20251117-00659
本文转载自订阅号“国际呼吸杂志”
原链接戳:【病例报道】气道支架联合多黏菌素成功救治气管食管瘘合并耐碳青霉烯类鲍曼不动杆菌肺炎1例并文献复习
* 文章仅供医疗卫生相关从业者阅读参考
本文完
责编:Jerry
