摘要
慢性肺曲霉病是呼吸系统常见疾病,咯血是这类患者最常见的死亡原因,本文报道1例慢性肺曲霉病合并大咯血的患者资料,由于患者血管解剖位置异常,我们采用双循环方式,即肺循环、体循环,分别经股静脉、股动脉、桡动脉穿刺,最终顺利完成手术。术前进行肺动静脉、支气管动脉CT血管成像提示体动脉、肺动脉均受累,首先沿股静脉入路行双肺动脉造影,造影提示右肺动脉主干增宽,右肺动脉各肺段远端低灌注未见显影,随后沿股动脉入路造影,造影可见多支支气管动脉、体动脉增粗、扭曲,末梢紊乱,并可见体-肺动脉分流及肺动脉远端瘤样扩张,沿股静脉入路栓塞肺动脉瘤样扩张,沿股动脉入路栓塞正常位置支气管动脉,由于部分非支气管性体动脉(右侧锁骨下动脉分支)严重扭曲,遂沿桡动脉入路使用颗粒栓塞剂逐一栓塞,手术顺利,随访半年,患者咯血未复发。
慢性肺曲霉病(chronic pulmonary aspergillosis,CPA)是一种严重的呼吸系统疾病,可引起危及生命的大量咯血。血管内介入治疗已成为治疗伴有大量咯血的CPA的有效方法。然而,由于曲霉对血管解剖结构的破坏,常规的血管内治疗方法可能需要进行调整。本病例描述了一种新颖的三种入路血管内治疗方法,有效管理了一位CPA伴大咯血的病人。本病例的目的是展示三种入路方式的血管内治疗在处理复杂CPA病例中的有效性和可行性,并为未来的临床实践提供参考。通过描述患者的详细病史、影像学特征和介入手术过程,我们旨在为临床医生提供全面的治疗策略,以改善这类患者的预后。
患者男,60岁,务农。因“咯血1周”于2023年6月入院。患者1周前无明显诱因出现咯血,整口鲜红色血,量约200 ml/d,伴咳嗽、咳痰,为黄黏痰,无发热,无胸闷、胸痛、心悸、呼吸困难,无腹痛、腹泻,于当地医院住院治疗1周,诊断为“慢性肺曲霉菌病”,予以抗感染、止血等治疗,患者咯血无好转,转入我科进一步治疗。既往有“肺结核”病史10余年,曾多次反复咯血;有长期吸烟史20余年,平均20支/d,戒烟10余年;有长期饮酒史30余年,平均200 ml/d,近1周未饮酒。
入院后体格检查:体温36.8 ℃,脉率102次/min,呼吸频率25次/min,血压97/50 mmHg(1 mmHg=0.133 kPa),指脉氧饱和度97%(吸入氧流量为0.41),意识清楚,胸廓对称,左肺呼吸音低,右肺呼吸音粗,右肺可闻及湿性啰音,心律齐,P2>A2,各瓣膜未及杂音,腹软,肝脾未及,双下肢无水肿。
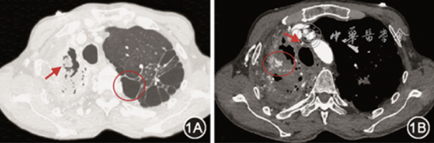
辅助检查:红细胞沉降率64 mm/1 h,白蛋白29.6 g/L,血曲霉半乳甘露聚糖(GM)试验结果升高:0.54 μg/L,血真菌(1-3)-β-D葡聚糖(G)试验<31.25 ng/L。心脏彩色多普勒超声提示:心脏结构未见异常;心脏左心室收缩功能正常。肺泡灌洗液GM试验结果为0.85 μg/L。肺泡灌洗液tNGS:烟曲霉(序列数62)、屎肠球菌(序列数54)、巨细胞病毒(序列数205)。支气管动脉、肺动静脉CT血管成像显示:右肺上叶毁损,右肺上叶可见空洞,左肺肺气肿、肺大泡(肺窗,图1A);支气管动脉迂曲增粗,肺动脉瘤样扩张,肺静脉未见异常(纵隔窗,图1B)。诊断为慢性肺曲霉病,结核性毁损肺。
图1 患者胸部CT可见右肺上叶空洞(图1A红色箭头),空洞内可见空气新月征,考虑为曲菌球,左肺肺气肿、肺大泡(图1A红圈);CTA提示支气管动脉迂曲增粗(图1B红色箭头)、肺动脉瘤样扩张(图1B红圈)
患者入院后仍有咯血,肺动静脉、支气管动脉CTA提示体动脉、肺动脉均受累,经充分评估病情后行“体动脉、肺动脉造影术+栓塞术”治疗。第一步:穿刺右侧股静脉置入8F血管鞘(TERUMO),运用5F PIG导管行双肺动脉造影,造影提示右肺动脉主干增宽,右肺动脉各肺段远端低灌注未见显影(图2A);第二步:穿刺右侧股动脉置入5 F 血管鞘,根据CTA图像,使用C3、H1、MIK、RLG、SIMMONS 2、MPA(Cook medical)等各型导管行双侧支气管动脉,双侧锁骨下动脉,双侧膈下动脉、食管固有动脉、肋间动脉造影,可见1支右侧支肋共干、2支左右共干支气管动脉、右侧第2、4、5、6、7肋间动脉,右侧胸廓内动脉、1支异位起源于右侧肋颈干的右侧支气管动脉、右侧肋颈干动脉、右侧胸上动脉、右侧胸外动脉、右侧肩胛下动脉、食管固有动脉异常,主干增粗、扭曲,末梢紊乱,并见明显体-肺动脉分流(图2B,2C),另可见右侧肺动脉A1、A3支远端呈瘤样扩张(图2D);第三步:沿股静脉入路使用MPA导管结合1.98 F微导管(Asahi)超选择性插管后右侧肺动脉A1、A3支远端瘤样扩张处,使用金属弹簧圈(Cook medical)栓塞,复造影,瘤样扩张消失;随沿股动脉入路使用300 μm聚乙烯醇颗粒(Cook medical)+500 μm明胶海绵颗粒(Varian)栓塞右侧支肋共干、左右共干支气管动脉、右侧第2、4、5、6、7肋间动脉、食管固有动脉;右侧锁骨下动脉严重扭曲,无法超选择其分支血管(包括:右侧胸廓内动脉、异位起源于右侧肋颈干的右侧支气管动脉、右侧肋颈干动脉、右侧胸上动脉、右侧胸外动脉、右侧肩胛下动脉);第四步:穿刺桡动脉,置入6 F 血管鞘(TERUMO),超选至右侧锁骨下动脉分支血管,栓塞后复造影,末梢血管消失(图3A,3B)。术中患者无明显不适,即拔管、撤鞘后,弹力绷带压迫止血,患者安全返回病房。术后患者有少许暗红色血凝块,伴发热,于术后第5天上诉症状消失。患者出院后继续口服伏立康唑200 mg(1次/12 h)抗真菌治疗。随访半年咯血未复发。
图2 选择性右肺动脉造影结果显示,右肺动脉主干增宽、低灌注,右肺动脉各肺段远端未见显影(图2A红色箭头);锁骨下动脉近端扭曲(图2B红色箭头),腋动脉迂曲增粗;胸外侧动脉迂曲增粗(图2C红色箭头),与右上肺动脉交通,体肺分流形成(图2C红圈);体动脉-右侧腋动脉造影可见肺动脉显影,提示肺动脉远端瘤样扩张(图2D红色箭头)
图3 栓塞后复造影,可见锁骨下动脉(图3A红色箭头)和胸外侧动脉(图3B红色箭头)迂曲增粗的末梢血管消失
讨论
慢性肺曲霉病(chronic pulmonary aspergillosis,CPA)指从单纯性曲霉瘤到进行性空洞性肺曲霉的一系列疾病,常发生在免疫功能低下合并肺部疾病患者中,可引起显著的呼吸和全身症状[1, 2]。CPA最常见的诱发因素为肺结核,此外其他导致肺纤维化和空腔形成的疾病也是诱发因素,如肺癌、慢性阻塞性肺疾病或纤维囊性结节病[2, 3]。CPA的临床表现为咳嗽、咯血、缓慢体重下降,咯血可为轻微或严重,并危及生命[3]。
支气管动脉栓塞术(bronchial artery embolization,BAE)是一种安全有效治疗危及生命的CPA患者咯血的方法,支气管动脉是CPA咯血中最常见的责任血管,其次为非支气管性体动脉,包括肋间动脉、锁骨下动脉、食管固有动脉、膈下动脉等[5],在CPA中,侵袭性生长的曲霉球可侵蚀肺循环系统,缺氧、炎症和结构改变可触发肺动脉和支气管动脉吻合从开放[4]。体动脉、肺动脉及体-肺分流的形成也增加了BAE的难度。穿刺入路的选择是BAE成功的第一步,文献报道在肺曲霉合并咯血中,约33%的患者因入路选择困难而无法完成BAE治疗[6]。
BAE手术路径包括股动脉、桡动脉和肱动脉等入路,其中经股动脉入路(transfemoral access,TFA)是最常用的操作入路,经桡动脉入路(transradial access,TRA)行介入手术具有安全、舒适的特点,是冠状动脉介入治疗的首选入路,然而TRA在肺血管介入诊疗中的应用明显滞后于冠状动脉介入。2022年Lee等[7]首先报道TRA支气管动脉栓塞术治疗咯血,并提出TRA行支气管动脉及非支气管性体动脉栓塞安全有效,对起源于锁骨下动脉及其分支的咯血责任血管TRA具有独特优势,TRA可作为TFA的补充或替代入路。其次主动脉弓及弓上血管发育情况及迂曲程度是影响大咯血介入操作的重要因素,对于有复杂解剖结构的主动脉弓,如Ⅱ型或Ⅲ型主动脉弓,行弓上发出的动脉插管时,经同侧TRA相比于 TFA 可更方便、有效地进行操作[8, 9, 10]。肱动脉由于特殊解剖结构及其并发症发生率较桡动脉、股动脉高,临床较少使用。股静脉入路是肺动脉源性咯血介入栓塞的首选入路,通常在支气管动脉栓塞后仍有咯血,需要考虑肺动脉出血可能。介入栓塞术前肺动静脉、支气管动脉CT血管显影辅助明确“罪犯血管”,一旦发现肺动脉受累,需行肺动脉造影,通过股静脉入路对肺动脉责任血管进行栓塞治疗。
本例患者入院时生命体征稳定,我们首先进行了术前肺动静脉、支气管动脉CT血管造影(computed tomography angiography,CTA)发现体动脉、肺动脉均受累。随后,进一步完善体、肺动脉数字减影血管造影(digital subtraction angiography,DSA),肺动脉造影由于右肺动脉低灌注未见右肺动脉瘤样扩张显影。曲霉的破坏引起患者右侧肺容积缩小及血管形态结构改变,体动脉造影显示多支血管增粗紊乱,回流见肺动脉显影,存在体-肺分流,同时体动脉造影显示右侧头臂干及锁骨下动脉远端分支迂曲异常,常规股动脉入路操作难度大、处理困难,因此我们选择右桡动脉入路。然而,锁骨下动脉、腋动脉分支迂曲异常,常规造影导管超选困难,我们使用胃左动脉导管(RLG导管)通过剪管技术DIY剪去导管第一弧度,第二弧度可成功超选到靶血管造影显影肺动脉,随沿股静脉入路栓塞肺动脉瘤样扩张,避免肺动脉破裂大咯血的发生。
目前,血管栓塞材料主要包括聚乙烯醇颗粒、明胶海绵颗粒、Amplatzer血管塞、弹簧圈等。聚乙烯醇颗粒、明胶海绵颗粒直径较小,主要适用于栓塞异常的血管,且栓塞后血管易再通致使咯血复发[11],此外对于肺动脉破裂出血的患者,颗粒栓塞由于直径小可进入体循环,造成异位栓塞;Amplatzer血管塞适用于大血管栓塞、动静脉畸形治疗等,Amplatzer血管塞主要用于供血动脉直径≥5 mm的肺动静脉瘘,在供血动脉直径≥5 mm的PAVF中使用弹簧圈会增加脱落移位甚至异位栓塞的风险,血管塞能够降低脱落移位的风险[12];弹簧圈栓塞已经被公认为是全身动脉瘤、假性动脉瘤及肺动静脉瘘的安全有效的栓塞材料[13, 14, 15]。
对于慢性肺曲霉合并大咯血患者,我们有以下建议:(1)此类患者肺部毁损严重、肺容积缩小及多支血管畸形,当存在发自锁骨下动脉及其分支的异位支气管动脉及非支气管性体动脉时,考虑桡动脉入路联合股动脉入路。(2)此类患者需注意肺动脉受累情况,必要时需经股静脉入路栓塞肺动脉。(3)当某条入路存在困难时,术者应该及时调换入路,术中可联合应用多入路进行栓塞。总之,三种入路方式的血管介入治疗是CPA合并大咯血患者可选治疗策略,未来需要更多地研究观察双循环方式能否降低大咯血短期及长期复发率。
参考文献(略)
作者:陈颖洁 朱紫阳 余伟 覃伟 钟金男 李承红 李发久;第一作者单位:江汉大学附属医院呼吸与危重症医学科 咯血中心 肺血管介入中心;通信作者:李承红,江汉大学肺血管病研究所
引用本文: 陈颖洁, 朱紫阳, 余伟, 等. 双循环方式血管介入治疗慢性肺曲霉病合并大咯血1例[J]. 中华结核和呼吸杂志, 2025, 48(5): 460-463. DOI: 10.3760/cma.j.cn112147-20240812-00480.
本文转载自订阅号「中华结核和呼吸杂志」
原链接戳:【病例报告】双循环方式血管介入治疗慢性肺曲霉病合并大咯血1例
* 文章仅供医疗卫生相关从业者阅读参考
本文完
责编:Jerry
