一、病情介绍
1. 基本信息
患者男性,56岁,主诉:咳嗽、咳痰1周,发热1天。住院时间:2021年12月24日入住RICU。
2. 病史情况
患者1周前出现咳嗽、咳黄痰,痰量中等,痰不易咳出,伴有喘憋,活动后明显。1天前出现发热,体温37.5℃。无畏寒、寒颤,无乏力、盗汗等不适。
2021年5月在北京某医院确诊为右肺中下叶鳞癌,在某肿瘤医院行手术治疗,诊断为右肺下叶腺鳞癌,分期pT3N1M0。2021年8月复查胸部CT提示复发,在某医院行低剂量白蛋白紫杉醇单药化疗,2周期后复查复发,病灶增大,在第3周期加用安罗替尼。2021年11月5日行射频消融治疗,2021年12月16日已完成第5周期化疗,因腹泻明显,安罗替尼已停用3天。
高血压病史5年,血压最高180/90 mmHg,现口服拜新同治疗。5个月前诊断慢性阻塞性肺疾病,予布地格福治疗。胃食管反流病史5个月。
家族史、过敏史、个人史均无特殊。
3. 入院查体
体温36.8℃,脉搏96次/分,呼吸18次/分,血压128/83 mmHg。右下肺呼吸音减弱,右下肺可闻及湿啰音。心脏、腹部查体未见明显异常,双下肢无水肿。
4. 常规化验检查(2021-12-24)
血常规:WBC 11.8×109/L,NEU% 76.3%,Hb 150 g/L,PLT 340×109/L。
超敏C-反应蛋白(hs-CRP):181.15 mg/L。
生化、心肌酶、TnI、BNP、凝血功能均未见明显异常。
血气分析(未吸氧):pH 7.485,PaCO2 34.2 mmHg,PaO2 64 mmHg,氧合指数305 mmHg,肺泡动脉氧分压差51 mmHg,乳酸1.10 mmol/L。
5. 影像学
2021年5月19日(外院手术治疗前),患者胸部CT示:右下肺占位性病变(图1)。术后病理分期提示为腺鳞癌。
图1 患者外院胸部CT(2021-05-19)
2021年8月26日复查胸部CT提示复发,右下肺病灶较5月进一步增大(图2)。10月12日再次复查胸部CT,右下肺病灶仍清晰可见(图3)。
图2 患者外院胸部CT(2021-08-26)
图3 患者外院胸部CT(2021-10-12)
患者于2021年11月5日行射频消融治疗,11月17日胸部CT示:右下肺有渗出影(图4)。
图4 患者外院胸部CT(2021-11-17)
12月23日(入院前1天)胸部CT:右下肺渗出影进一步增大,且可见部分空洞及脓胸表现(图5)。
图5 患者外院胸部CT(2021-12-23)
6. 入院诊断
①肺炎;②右肺下叶恶性肿瘤(pT3N1M0 ⅢA期);③腺鳞癌切除术后;④恶性肿瘤复发;⑤恶性肿瘤化疗、靶向治疗及射频消融术后;⑥慢性阻塞性肺疾病急性加重;⑦高血压3级,极高危组;⑧胃食管反流。
7. 完善检查(2021-12-27)
血常规:WBC 14.17×109/L,NEU% 93.1%,Hb 136 g/L,PLT 392×109/L。
生化指标:未见明显异常。
感染相关指标:hs-CRP 181.15 mg/L,PCT 0.05 ng/ml,ESR 68 mm/h。
N端-B型钠尿肽原(NT-proBNP):4303 pg/ml。
自身抗体、标志物五项、CA三项+AFP:均阴性。
血气分析(鼻导管吸氧,FiO2 29%):pH 7.447,PaCO2 33.8 mmHg,PaO2 59.5 mmHg,乳酸1.10 mmol/L。
T-SPOT、呼吸道抗体、GM试验均阴性。
痰液病原学检查:细菌培养甲型溶血性链球菌,奈瑟球菌。痰涂片G+球菌。真菌培养有霉菌生长(丝状菌)。
X-pert、抗酸染色均阴性。
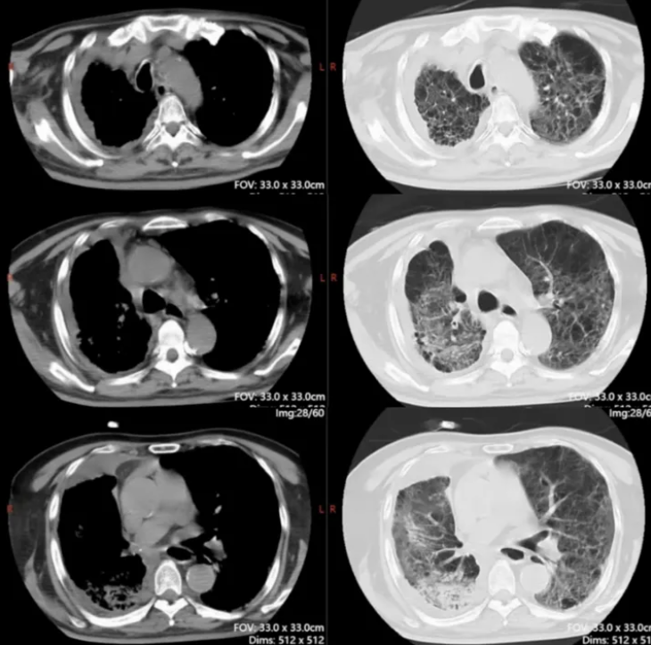
复查胸部CT(2021-12-27):右肺有大片蜂窝状改变,右下肺有脓胸、空洞及纵隔脓肿(图6)。
图6 复查胸部CT(2021-12-27)
思考
患者右肺多发蜂窝状改变的原因是什么?
纵隔脓肿、脓胸的原因有哪些?
该患者的病原学如何?
需进一步完善哪些检查?怎么治疗?
二、诊疗经过
1. 检查及治疗
2021年12月24日予哌拉西林舒巴坦+左氧氟沙星抗感染。12月29日于CT引导下行胸腔闭式引流术,因胸腔内分隔较多,置管后予以尿激酶盐水行胸腔冲洗,冲洗时,患者咳嗽剧烈,可咳出液体。是否存在食管气管瘘?
12月29日行气管镜检查,镜下可见右中下支气管呈术后改变,右上叶后端开口可见中等量痰液,予充分吸引。退镜至主支气管,嘱患者口服亚甲蓝溶液20 ml,主支气管未见亚甲蓝溶液。12月30日行上消化道造影,未见明确瘘道形成。可排除食管气管瘘。
12月29日化验结果回报:①胸水常规:白细胞3516个/μl,多核细胞占比96%。②胸水生化:ADA 44.1 U/L,LDH 4857 U/L,GLU 0.2 mmol/L,蛋白28.5 g/L。③引流液送mNGS结果:烟曲霉(序列数2191),未检出其他病原体。
调整抗感染方案为:比阿培南+万古霉素+伏立康唑。
2. 疗效分析
经过上述治疗,患者体温曾有一度好转,但在12月29日又再度升高。白细胞计数持续升高,中性粒细胞百分比维持在80%左右,hs-CRP先降后升(图7)。
图7 患者感染等相关指标变化情况
回溯12月29日行胸腔内注入尿激酶时患者出现呛咳,后体温及感染指标较前升高,气管镜注入亚甲蓝及上消化道造影结果均未见食管气管瘘。是否在支气管胸膜瘘?
3. 病情变化
予引流、加强抗感染后,患者发热、咳嗽、咳痰、喘憋症状仍未见明显好转,并出现咯血。2022年1月4日,患者喘憋、咯血症状明显加重。
复查:①血常规:WBC 30.41×109/L,NEU% 96.8%,Hb 144 g/L,PLT 467×109/L。②hs-CRP 146 mg/L,PCT 0.33 ng/ml。③血肌酐166.9 μmol/L,血尿素氮6.56 mmol/L。④血气分析(FiO2 100%):pH 7.402,PaCO2 42.5 mmHg,PaO2 82.4 mmHg,氧合指数82.4 mmHg,肺泡动脉氧分压差600 mmHg,乳酸1.10 mmol/L。
行气管插管有创呼吸机辅助通气,PCV模式,PC 18 cmH2O,PEEP 10 cmH2O,FiO2 80%。抗感染方案调整为:利奈唑胺+美罗培南+伏立康唑+米卡芬净。
在加强引流及积极抗感染的情况下,患者的感染仍未控制,并出现进行性加重甚至出现脓毒性休克、ARDS,这是否由真菌感染引起?或同时合并其他病原学感染?
4. 追查病原学
2022年1月7日再次行肺泡灌洗并送检mNGS,结果回报:烟曲霉(序列数7)。结合患者之前的检查结果,仍不能除外曲霉感染可能。沿用上述治疗方案,经过治疗,患者氧合逐渐改善,白细胞计数、CRP及血肌酐均呈下降趋势(图8)。
图8 患者氧合及感染等相关指标变化情况
5. 后续治疗
由于患者痰液量及各方面条件不符合拔管指征,遂于1月20日行气管镜引导下气管切开术。
2022年1月23日,患者体温及感染指标趋于平稳,停用美罗培南+利奈唑胺。继续伏立康唑+米卡芬净治疗(图9)。予抗感染、引流、床旁气管镜吸痰后,患者体温、感染指标、氧合指数、神志均逐渐好转。
图9 患者治疗过程中体温变化情况
患者一般情况好转,但仍存在低热。2022年1月25日气管镜mNGS回报嗜麦芽窄食单胞菌(序列数7947),细菌培养亦提示嗜麦芽窄食单胞菌。抗感染方案调整为:哌拉西林舒巴坦+替加环素。患者体温降至正常。
1月30日气管切开处接人工鼻吸氧。
6. 影像学
床旁胸片:入院初,患者双肺渗出较多,右肺为著。经过一段时间的治疗,肺内病灶逐渐得到控制(图10)。
图10 患者治疗过程中胸片变化
2022年1月28日复查胸部CT:双肺感染仍然较重,虽未完全吸收,但较前有好转(图11)。
图11 复查胸部CT(2022-01-28)
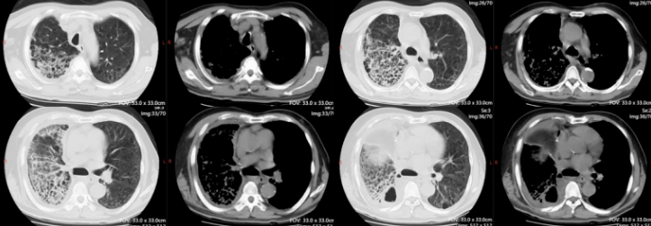
2022年2月18日胸部CT:双肺病灶较前进一步吸收,右下肺脓肿尚未完全吸收(图12)。
图12 复查胸部CT(2022-02-18)
7. 结论
患者肺部病灶考虑为射频消融术后烟曲霉感染、支气管胸膜瘘、纵隔脓肿形成。
三、总结
支气管纵隔瘘是癌症和癌症治疗的严重和致命并发症,发病率少,有文献报道其多发生于放化疗后3~7个月,常见致病菌为革兰氏阴性杆菌、真菌、革兰氏阳性球菌。纵隔脓肿临床上较为少见,但其病因复杂,一旦发生,进展迅猛,病情危重,临床诊治困难,常可危及患者生命。全身支持和抗感染是治疗继发性纵隔脓肿的基础,及早行引流治疗仍是控制感染、治疗脓肿最安全、有效的方法。
作者介绍
殷琦敏
首都医科大学附属北京胸科医院呼吸与危重症医学科,医学硕士,主治医师;目前主要学术任职:中国老年保健协会老年医学会青年委员,北京市医学会呼吸感染学组委员,通州区感染质控中心秘书。主要擅长呼吸系统常见疾病的诊断及治疗,尤其呼吸系统感染性疾病及肺血管疾病的诊治及鉴别诊断。
本文转载自订阅号「重症肺言」(ID:RCCRC_0067)
原链接戳:“霉”完“霉”了的洞
* 文章仅供医疗卫生相关从业者阅读参考
本文完
责编:Jerry
