马尔尼菲篮状菌病(Talaromycosis,TSM)是由马尔尼菲篮状菌(Talaromyces marneffei,TM)引起的一种严重侵袭性真菌病[1],主要流行于东南亚一带,我国广西、广东、香港等地区高发,与结核病和隐球菌病并列为三大艾滋病机会性感染之一[2]。竹鼠被认为是重要的病原携带者。近年来TSM在人类免疫缺陷病毒(human immunodeficiency virus,HIV)阴性和免疫功能正常的人群中变得越来越常见[3]。本文报道1例罕见的抗γ干扰素(interferon γ,IFN-γ)自身抗体阳性的HIV阴性宿主,反复出现“播散性TSM继发嗜肺军团菌肺炎”病例的诊治过程,旨在引起临床重视,提高临床医生对抗IFN-γ自身抗体阳性所致的成人免疫缺陷综合征的认识水平以及对TMS的诊治水平。
1、临床资料
1.1 一般资料
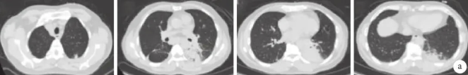
患者中年男性,急性病程,因“发热、咳嗽半月”于2024-12-25入院。事业单位退休人员。患者于半月前无明显诱因出现发热,热型不详,伴咳嗽,少量黄黏痰,无胸痛、明显气促、咯血、腹泻等不适,于2024-12-17外院住院查胸部CT示左肺下叶感染性病变可能性大,双肺新发多发结节,右肺下叶结节切除术后改变。痰病原学提示:嗜肺军团菌。考虑诊断为社区获得性肺炎,经验性予哌拉西林他唑巴坦+莫西沙星抗感染治疗,症状无明显好转;于2024-12-22复查胸部CT示左下肺病变较前有所加重(图1a),遂至我院住院诊治。
图1 不同时期典型胸部CT像
a. 2024-12-22
入院时患者仍发热、咳嗽。起病以来患者精神稍差,睡眠欠佳,食欲欠佳,大小便正常,体重无明显改变。既往病史:有2型糖尿病史,规律使用药物治疗,自述血糖控制可。右下肺早期肺癌史,已行手术切除,术后无放化疗等治疗。华支睾吸虫病史,自述已治愈。入院查体:体温37.5℃,脉搏100次/min,呼吸23次/min,血压110/79 mmHg(1 mmHg=0.133 kPa),SpO2 97%(吸空气)。听诊左下肺可闻及湿性啰音,余查体无特殊。外院辅助检查:血白细胞计数(white blood cell count,WBC)26.98×10^9/L,中性粒细胞比率89.2%,嗜酸性粒细胞0.57×10^9/L;降钙素原(procalcitonin,PCT)0.93 ng/mL;快速C反应蛋白(C-reactive protein,CRP)173.9 mg/L;粪便分析、尿干化学与沉渣分析、血脂四项、甲功五项、肿瘤指标无明显异常。
1.2 实验室检查和辅助检查
入院时结合患者病史及外院的相关检查,考虑社区获得性肺炎可能性大,经验性予左氧氟沙星抗感染,完善相关检查。血常规:WBC 13.87×10^9/L,中性粒细胞比率77.5 %,血红蛋白(haemoglobin,Hb)93 g/L,血小板计数(platelet count,PLT)51×10^9/L,嗜酸性粒细胞 0.42×10^9/L;CRP 15.64 mg/dL;PCT 0.445 ng/mL;血沉120 mm/1 h;免疫八项:免疫球蛋白G 24.50 g/L,免疫球蛋白A 5.92 g/L,免疫球蛋白M 1.21 g/L,补体C3 0.89 g/L,补体C4 0.388 g/L;肝功八项:丙氨酸氨基转移酶54.8 U/L,γ-谷氨酰基转移酶405.8 U/L;抗核抗体谱十一项、血管炎两项、抗核抗体定量、自身免疫性肌炎抗体谱检测、肺肿瘤五项、粪便分析、尿干化学与沉渣分析、血脂四项、甲功五项、凝血功能未见明显异常;血清结核分枝杆菌特异抗原刺激细胞因子释放试验、血清G试验、真菌抗原二项血清检测均为阴性;口吐痰结核痰涂片、痰标本TB-DNA、九项呼吸道感染病原体IgM抗体检测等结果为阴性。
18F-FDG全身PET/CT显像(图2):(1)左下肺实变伴代谢弥漫性增高,余双肺多发结节及条片状磨玻璃密度影,代谢轻度增高,结合患者病史及实验室检查,考虑为感染性病变。(2)左侧腋窝、左锁骨下、双侧肺门、纵隔、左侧内乳区、肝胃间隙、脾胃间隙、胰头周围、腹主动脉两旁、右侧髂血管旁、右侧腹股沟区多发高代谢淋巴结,考虑为淋巴结炎性增生。(3)右下胸膜单发高代谢结节,肝脏多发高代谢结节,脾脏单发高代谢结节;肝脾饱满,脾脏代谢弥漫增高;胸5左侧附件高代谢结节,全身骨髓代谢弥漫增高,综合考虑为感染性病变。
图2 18F-FDG全身PET/CT像
抗感染治疗3天后患者症状无明显好转,仍有发热。为了进一步明确病原学诊断,行支气管镜下取支气管肺泡灌洗液(bronchoalveolar lavage fluid,BALF)和肺组织。BALF宏基因组二代测序(metagenomics next-generation sequencing,mNGS)检测示马尔尼菲篮状菌(序列数3 067),BALF培养可见TM(1×104)生长。肺组织病理示肺泡腔内可见组织细胞及纤维素,间隔淋巴细胞浸润,局灶可见少许纤毛柱状上皮、纤维素及中性粒细胞渗出物;特殊染色GMS(–),PAS(–),抗酸(–),革兰(–),抗酸荧光(–),真菌荧光(–);肺组织改变为肺炎症性病变,考虑为感染,未见特殊病原菌(图3a)。追问病史:患者近期有广西旅游史,但无明确竹鼠的接触史。
图3 支气管镜肺组织活检病理像(×100)
a. 首次病理结果
1.3 诊断和治疗
依据上述的检查结果,患者被诊断为:(1)播散性TSM(肺、肝、脾、淋巴结、骨髓);(2)2型糖尿病;(3)右下肺恶性肿瘤手术切除。诊断后加用两性霉素B脂质体300 mg(3~4 mg/kg)qd静脉滴注诱导治疗,2周后改为伏立康唑200 mg q12h(首剂300 mg q12h)口服抗真菌治疗。药物控制血糖等。
1.4 治疗结果、随访及转归
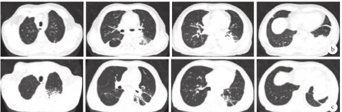
经过治疗后患者症状及体征明显好转,复查感染指标明显下降,复查胸部CT示左下肺病灶较前吸收减少(图1b),遂予出院。院外继续予伏立康唑片200 mg q12h口服规律治疗。出院期间均规律至门诊随访,其间查伏立康唑血药浓度(谷浓度):0.57 μg/mL(2月7日),10.5 μg/mL(3月26日),复查胸部CT示左下肺部病灶基本完全吸收(图1c)。
图1 不同时期典型胸部CT像
b. 2025-01-08;c. 2025-02-05
但在出院后第4个月(2025年4月),患者受凉后再次出现全身酸痛,随后出现发热,热峰达39.2℃,伴阵发性咳嗽,咳少许黄黏痰,无咯血、胸痛,无骨痛,无腹痛、腹泻、视物模糊,再次就诊于我院。入院后完善相关检查:血常规WBC 11.36×10^9/L,中性粒细胞比率81.7 %,Hb 112 g/L,PLT 154×10^9/L, 嗜酸性粒细胞0.15×10^9/L;CRP 13.76 mg/dL;PCT 0.158 ng/mL;血沉120 mm/1 h;伏立康唑血浆药物浓度(谷浓度)2.98 μg/mL;结核分枝杆菌特异抗原刺激细胞因子释放试验、结核痰涂片、痰标本TB-DNA、九项呼吸道感染病原体IgM抗体检测、G试验、真菌抗原二项血清检测、肺肿瘤五项、TBNK等指标均为阴性。
复查PET-CT:(1)原左下肺实变代谢弥漫性增高灶,体积较前增大,代谢增高(图1d),余双肺多发结节较前明显缩小、数量较前减少,代谢基本降低至本底水平,综上考虑为TM感染治疗后活性较前好转;(2)原左侧腋窝、左锁骨下、双侧肺门、纵隔、左侧内乳区、肝胃间隙、脾胃间隙、胰头周围、腹主动脉两旁、右侧髂血管旁,右侧腹股沟区多发高代谢淋巴结,体积较前缩小,部分较前消失,代谢较前减低,考虑为TM感染治疗后活性部分受抑,但仍有活性残余;(3)右后下胸膜单发高代谢结节体积较前缩小,代谢较前明显减低原肝脏、脾脏及胸5左侧附件多发高代谢结节较前消失,综上所述考虑为TM感染治疗后活性基本受抑。
图1 不同时期典型胸部CT像
d. 2025-04-07
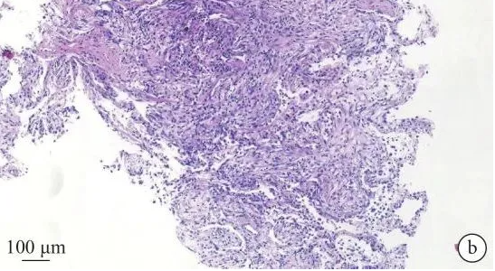
患者再次发热,白细胞升高,左下肺病灶在规范抗真菌(伏立康唑浓度达标)治疗后先缩小后增大,而全身PET-CT 提示TM感染的治疗有效,未见肿瘤征象。为了进一步明确病灶再次增大的病因,再次行支气管镜检查,左下肺病灶位置取BALF和组织活检。BALF的mNGS的结果提示:嗜肺军团菌(序列数67108)。呼吸道病原体核酸检测:嗜肺军团菌(+)。肺组织病理(左下叶背段送检肺组织)):肺泡腔见渗出的纤维素及机化灶,间隔少量中性粒细胞及淋巴细胞浸润,特殊染色结果GMS(–),抗酸(–),抗酸荧光(–),真菌荧光(–),符合纤维素性机化性肺炎(图3b)。考虑诊断嗜肺军团菌肺炎,遂加用左氧氟沙星注射液抗军团菌治疗,继续维持伏立康唑的治疗。患者体温逐步下降,症状较前明显好转。该患者出现病情的反复,多次出现胞内菌(TM、嗜肺军团菌),但无常见的可导致免疫缺陷的基础病。完善相关检查:TBNK细胞亚群提示CD4+ T细胞、CD8+ T细胞,B细胞,NKT细胞等数量未见异常;免疫八项未见明显异常;随后查抗IFN-γ自身抗体提示阳性,滴度1∶1600。同时,分离患者血清中抗IFN-γ自身抗体进行中和实验,提示对IFN-γ具有较强的中和活性。
图3 支气管镜肺组织活检病理像(×100)
b. 再次发热后第二次病理结果。
该患者最终确诊为:(1)嗜肺军团菌肺炎;(2)播散性TSM(肺、肝、脾、淋巴结、骨髓);(3)抗IFN-γ自身抗体综合征;(4)2型糖尿病;(5)右下肺恶性肿瘤手术切除。经过治疗后,患者无发热,症状好转,予出院。院外继续使用左氧氟沙星口服抗嗜肺军团菌,伏立康唑抗TM,定期监测伏立康唑血药浓度。随访2个月未见复发,于2025年6月24日复查胸部CT示原左下肺病灶基本吸收(图1e)。
图1 不同时期典型胸部CT像
e. 2025-06-24
2、讨论
本例患者呈现了播散性TSM的规范诊治过程,以及在治疗过程中继发嗜肺军团菌肺炎后的临床处理经验。患者在有明确病原学依据的情况下诊断为播散性TSM,给予规范的两性霉素B脂质体联合伏立康唑抗真菌治疗后,症状及影像学检查提示病情好转。但随后患者再次出现发热、咳嗽、咳痰等症状,再次完善支气管镜检查提示合并嗜肺军团菌肺炎,同时完善抗IFN-γ自身抗体水平检测评估免疫功能,结果提示阳性。经联合抗真菌和抗细菌感染治疗后患者症状好转,且长期随访病灶无复发。本病例提示临床医生在HIV阴性宿主出现双重、难治性、复发性感染时应注意排除患者是否存在潜在的免疫缺陷疾病,如抗IFN-γ自身抗体等,“感染为表、免疫为根”从表及里,明确复杂感染背后的病因,推动高质量肺炎临床诊治的发展。此外,抗IFN-γ自身抗体阳性的TSM患者在治疗过程中若病情反复需鉴别是否合并其他胞内病原体感染,例如嗜肺军团菌、非结核分枝杆菌等,及时鉴别诊断是诊治成功的关键。
TM为机会性胞内致病菌,常见于免疫抑制宿主,TM感染既可表现出局限型感染,如肺部感染,又可导致全身播散型感染,如皮肤、肝脾、骨等部位感染[4],进而导致相应器官功能损害。TSM临床表现无特异性,实验室检查炎症指标(白细胞、中性粒细胞、PCT、CRP等)可显著升高;在影像学表现上,胸部CT均可出现肺部结节、浸润、空洞或大片实变等征象,这些病变可能与肺癌、肺结核、其他肺部真菌感染等疾病相混淆,需要临床医生注意鉴别。TM主要侵犯单核-巨噬系统,故而在富含单核-巨噬细胞的组织、器官如淋巴结、肝、脾、肺、皮肤等容易发生病变。其临床标本涂片或组织病理切片镜下可表现为特征性横隔的圆形/椭圆形、腊肠样细胞[5]。目前TSM诊断仍以真菌培养为金标准,但针对危重或培养阴性病例,宏基因组二代测序(mNGS)具有显著的时效性优势。HIV阳性的TSM患者诱导期治疗药物首选两性霉素B,包括两性霉素B脂质体和两性霉素B脱氧胆酸盐,如患者不耐受可选用伏立康唑替代治疗。伊曲康唑或伏立康唑用作巩固期和维持期预防治疗[6]。然而伏立康唑在体内药物代谢呈现非线性药代动力学,且具有明显的个体差异,因此在临床工作中需注意定期监测血药浓度。对于HIV阴性患者目前尚无相关指南,治疗多参照HIV阳性患者治疗指南,但疗程未明确。合并成年起病的抗IFN-γ自身抗体综合征患者在抗真菌治疗的同时需使用免疫调节剂,否则停用抗真菌药物后感染容易复发[7]。治疗策略上,本例遵循两性霉素B脂质体序贯伏立康唑的方案,并强调了治疗药物监测(TDM)在伏立康唑个体化治疗中的必要性以规避非线性药代动力学导致的疗效波动。
在治疗过程中,该患者出现病灶吸收再增大的情况,可能由以下几方面原因引起:首先,伏立康唑血药浓度可能未达标,这可能是由于患者的个体差异、药物相互作用或肝功能不全导致的,在治疗期间该患者规律复查伏立康唑血药浓度并调整用药确保血药浓度达标。其次,TM可能存在耐药性,特别是在免疫抑制状态下,长期使用抗真菌药物可能导致耐药菌株的出现。第三,免疫重建炎性样综合征(IRIS)可能是患者病情加重的原因,感染相关IRIS往往好发于HIV阴性但存在免疫功能抑制的患者,当机体免疫功能得到快速恢复过程中,触发过度的炎症反应,引起相应的免疫损伤,从而导致病情再次加重,其临床特征表现为再次发热、原有感染灶增大、或出现新发病灶。但多次复查该患者免疫功能均无明显异常,另外,该诊断为排他性诊断,结合患者相关检查不考虑此诊断。第四,机化性肺炎亦可能是感染后出现炎症反应进而导致病灶增大的原因,其诊断主要通过临床表现、影像学及病理表现综合判断,机化性肺炎典型的胸部CT表现为多发实变影,病灶多分布于双下肺、胸膜下或支气管血管束周围[8],病理学为诊断金标准。在治疗方面,继发性机化性肺炎应以控制感染和消除诱因为主,因此该病例未使用激素治疗以避免加重免疫抑制。最后,混合感染或继发感染在免疫抑制患者中较为常见,该患者可能同时感染了其他病原体。患者再次完善肺泡灌洗液mNGS检测提示嗜肺军团菌,明确了继发细菌感染的诊断,因此在治疗过程中应警惕多重病原体的存在,并采取联合抗菌治疗。
军团菌病是需要入住ICU的社区获得性肺炎的三个最常见病原体原因之一,下呼吸道样本培养是检测军团菌的金标准[9]。本例患者在抗真菌治疗好转后病情波动,经BALF mNGS证实合并嗜肺军团菌感染,最终诊断为播散型TSM继发嗜肺军团菌肺炎,且经抗感染治疗后好转。该病例告诉我们:规律治疗期间病情反复,需警惕病原谱移位或多重感染,应及时完善病原学复查;对于非HIV背景的难治性、机会性感染,应高度怀疑抗IFN-γ自身抗体阳性等潜在免疫缺陷,实现从“对症抗感染”向“底层免疫评估”的诊疗转型。
抗IFN-γ自身抗体(anti-interferon-γ autoantibody,AIGA)是一种抗细胞因子抗体,主要包括IgG1、IgG3和IgG4,其通过阻断IL-12/IFN-γ轴而增加机体对某些细菌和真菌的易感性,被认为是一种新型的迟发性免疫缺陷[7,10]。既往研究表明在HIV阴性TSM患者中抗IFN-γ自身抗体阳性率可达98%[11]。AIGA介导的成人起病免疫缺陷病容易出现各种机会性感染,感染病原体主要是马尔尼菲篮状菌、沙门氏菌、分枝杆菌、伯克菌属等细胞内病原体,其可能与下调IL-12、IFN-γ、TNF-a 的分泌,抑制 IFN-γ介导的 STAT-1 磷酸化有关[7,12]。抗IFN-γ自身抗体检测对该病的诊断具有决定性意义,酶链免疫吸附试验(ELISA)是常用的检测方法,用于确定抗体的存在和滴度[13]。本病例首次就诊确诊播散型TSM时常规免疫评估并未发现明显免疫缺陷,直至再次出现胞内菌感染才进行了AIGA检测,结果提示高滴度中和性AIGA进而得以确诊。而该病目前尚无靶向治疗的药物,主要治疗方案分为普通免疫抑制剂治疗与B细胞治疗两方面[8,14]。治疗决策应基于患者的具体情况,包括感染的类型、疾病严重程度和免疫功能状态综合判断,需要结合抗感染治疗和免疫治疗综合考量,以达到控制感染、改善免疫功能和提高患者生活质量的目标。
本例诊治成功经验表明:第一,初始抗感染治疗有效后的病情恶化,需警惕病原谱移位或混合感染,mNGS是快速识别跨界病原体的关键工具;第二,对于非HIV背景的机会性感染,应常规排查潜在的迟发性免疫缺陷。临床应秉持“由表及里、标本兼治”的策略,构建从病原学精准诊断到宿主免疫功能重建的全程管理模式。
利益冲突:本研究不涉及任何利益冲突。
参考文献略。
作者简介
张容尔
广州医科大学附属第一医院住院医师,在读硕士;研究方向:肺真菌病。
李征途
广州医科大学附属第一医院副主任医师/副研究员,博士研究生导师,博士后合作导师;广州市卫生健康委优秀人才,广州医科大学“南山学者”后备人才等,荣获首届全国“中青年呼吸精英:临床创新”称号;任广东省医学会医院感染预防与控制学会青年委员会副主任委员,广东省临床医学学会感染性疾病精准诊疗专业委员会常务委员,广东省医学会呼吸病学分会感染学组组员,国家自然科学基金项目函审专家等;主持科技部重大专项(2030 四大慢病,课题负责人)1 项,国自然项目2项,省市级科研课题多项。以第一作者和通讯作者发表60余篇学术论文;获授权中国发明专利10项;荣获广东省科技进步奖一等奖(2019 年),广东省科技进步奖二等奖(2025 年),国际人类和动物真菌学会亚洲分会2024年会(ISHAM ASIA 2024)Certificate Awarded。
引用本文:张容尔, 张焕耀, 叶枫, 李征途. 特殊免疫功能缺陷相关播散性马尔尼菲篮状菌病继发嗜肺军团菌肺炎一例. 中国呼吸与危重监护杂志, 2026, 25(3): 205-209. doi: 10.7507/1671-6205.202601001
本文转载自订阅号“中国呼吸与危重监护杂志”
原链接戳:【病例报告】特殊免疫功能缺陷相关播散性马尔尼菲篮状菌病继发嗜肺军团菌肺炎一例
* 文章仅供医疗卫生相关从业者阅读参考
本文完
责编:Jerry
