您可知道?当“肺炎”一直治疗不见好转,当吸烟人群长期咳嗽的声音突然变调了,当痰中带血丝,哪怕只有一次这种情况……这些都是需要我们要警惕的可能是肺癌的早期信号。
过去关于肺癌早发现的科普,很少将这些“细枝末节”的症状表现和自我感受讲得这么细,而这些被大家容易忽视的身体信号,正悄悄撕开癌症的伪装!今天,我们首先来看两张CT影像:

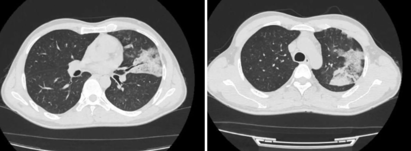
△患者康康(化名)2025年10月的CT影像
患者康康(化名)39岁,西南某省人,2025年10月他因受凉出现咳嗽、咳痰,在当地医院做胸部CT检查提示左肺斑片状渗出影,疑似肺炎。
这个青年男子曾以为自己只是一场“顽固的肺炎”,直到在重庆医科大学附属第一医院呼吸与危重症医学科就诊后,病理报告上“肺腺癌”三个字刺入眼帘。
隐藏在一场看似顽固肺炎背后的“夺命真凶”
2025年10月,康康因咳嗽在当地医院被诊断为“肺炎”,抗生素、中药轮番上阵,症状却愈演愈烈。半年后CT显示:左肺病灶疯长,右肺新发多处渗出灶。

△患者康康(化名)2026年3月的CT影像
“康康在当地医院行气管镜检查,肺泡灌洗液脱落细胞学检查见高度异性细胞。当地医院推荐他到我们科来进一步明确诊断。”科室主任郭述良告诉记者。
尽管医生团队立即启动超声支气管镜引导下冷冻肺活检,最终组织病理锁定“肺腺癌”。但此时康康的癌细胞已弥漫双肺,手术刀已无法触及。
“患者罹患的是典型的‘肺炎型肺癌’。它披着‘肺炎’的外衣,一开始可能只有咳嗽、发热这些常见症状,等它显露出真容时,常常已进入晚期。”郭主任讲道。
肺癌“不一样的咳嗽”到底有什么特点?
过去我们常常科普讲“持续性的干咳”要警惕,原来,但这只是一种笼统的表述。首先要肯定的是,并非让我们把所有咳嗽都往肺癌那去想,但肺癌的咳嗽是会“说话”的,因为有它一定的特点。
这是我们模拟的两种咳嗽:
第一种,普通咳嗽:深吸气后短促爆发,咳完畅快;
第二种,肺癌性的干咳:刺激性咳嗽,干咳为主,可能带有高音调金属音。
最危险的信号藏在“老烟民”身上,也就是长期吸烟人群。咳嗽的声音突然变了,咳嗽的时间也突然变了,要高度警惕。
几年前,重庆医科大学附属第一医院呼吸与危重症医学科收治的另一例患者:52岁的张师傅,吸烟30年,常年晨起咳嗽、咳黄痰。发病那一年,他的咳嗽声调忽然发生了变化,原本他的咳嗽声是沉闷的,听起来就像是喉咙里有痰在滚动那种“呼噜噜”的咳嗽声,变成了类似于“尖锐的金属音”,尤其是夜间平卧时,常常干咳得厉害,喘不上气。而这种情况往往可能已经是肿瘤堵塞大气道引发的气道狭窄了。
最终,张师傅因长期咳嗽治疗无效、无法平卧休息、夜间呼吸困难等症状前来就诊,确诊为肺腺癌,他的肿瘤已经阻塞了主支气管。
痰中带血丝或血块?不用多次,哪怕只有一次也要查!
过去我们科普的“痰中带血丝或血块”,大家可别以为是多大的一条血丝或者是多大的血块,有的人以为是要大口吐血才危险。
以医生观察患者的“痰标本”来举例,哪怕一根头发丝般那么细的血丝在视野中闪烁,也可能是肿瘤细胞带来的,因为肿瘤细胞就像‘豆腐渣工程’,表面的血管一碰就破。
所以,尤其晨起第一口痰液,刷牙的时候吐出来,您也不要着急嫌弃把它冲走,很可能就从中发现这些“蛛丝马迹”。
还有一名更年轻的28岁青年男子,该男子长期大量吸烟、熬夜加班,某一天在痰里发现一丝血,他以为是熬夜上火了。结果三个月后再次发现咳出的痰里带有血块才来就医,检查出来肿瘤长到了1厘米大;还有一名女教师,也曾发现咳嗽后痰中带血丝,自认为是“咽喉炎”,拖延了半年,确诊时癌细胞已骨转移。
因此,给大家的建议是:排除牙龈出血、鼻血倒流,无论血丝、血块或仅一次血痰,都建议及时就医。
固定位置疼痛……其他一些“反常的”症状和细节
“肺癌到了晚期才痛”?这句话并非绝对,部分肺癌患者早期也可能会出现固定位置的疼痛,比如固定的胸痛或肩背痛。
郭主任提醒我们:“还有一些‘反常的’症状和细节,如:声音嘶哑;不明原因的发热或气短;不明原因的消瘦与乏力。”
这种声音嘶哑是既没有感冒或咽炎却突然出现的,且持续超过2周未缓解的,这通常不是因为喉咙发炎了,而可能是肿瘤或肿大的淋巴结压迫了控制声带的喉返神经。
而不明原因的发热或气短,是指活动后出现胸闷、气促,感觉吸不够气。这可能是因为肿瘤阻塞了支气管,导致肺功能下降或肺不张。反复发作的肺炎或阻塞性肺炎,表现为低热(38℃左右),抗生素治疗后好转,但很快又复发。
不明原因的消瘦与乏力。是指如果在没有刻意减肥的情况下,短期内(如几个月)体重明显下降,且伴有食欲不振、浑身乏力,这可能是恶性肿瘤消耗所致。
郭主任特别提醒:“高危人群即便无症状,身体没有任何不适,也建议每年进行一次低剂量螺旋CT检查:1、年龄≥50岁;2、长期吸烟者;3、有二手烟或厨房油烟长期接触史;4、有肺癌家族史;5、有慢性阻塞性肺病(COPD)或肺纤维化病史。除了肺癌,肺炎、支气管扩张、结核等也会引起类似表现。关键在于‘持续不愈’,如果出现前述任一情况,且常规对症治疗2周无效,建议前往正规医院就诊。”

扫码添加小助手,加入患者群交流
专家简介

郭述良
主任医师,二级教授,博士生/博士后导师;重庆医科大学附属第一医院呼吸科/结核科(首批国家临床重点专科)主任;国家杰出医师,国家卫生健康突出贡献中青年专家,国家卫生健康委医疗应急工作专家组成员,国家重大科技项目评审专家,国家级一流课程负责人;中华医学会呼吸病学分会常务委员,中华医学会结核病学分会 副主任委员,中国医师协会呼吸医师分会 常务委员,中国研究型医院学会出血专业委员会副主任委员,咯血专家委员会主任;意大利佛罗伦萨大学/德国海德堡大学胸科医院客座教授;重大呼吸疾病精准诊疗重庆市重点实验室副主任。
