ARDS患者在进行肺保护性通气时右心功能不全的发生率居高不下,其中急性肺心病(ACP)与不良预后密切相关。我将从ARDS患者ACP发生率及危险因素、ARDS患者右心功能监测及评估、ARDS患者右心保护策略三方面为大家阐述。
ARDS患者ACP发生率及危险因素
ACP以右心室后负荷急性升高为主要特征,若进展为重症,可继发急性右心功能衰竭,肺栓塞、肺炎和ARDS都是ACP的常见危险因素。有多种病理机制均可能引发ACP,包括:1.因不合理液体治疗或其他因素引发的容量过负荷;2.因机械通气参数设置不当、各类重症肺部疾病或左心疾病所致肺血管阻力增高,进而引起的压力过负荷;3.右冠状动脉缺血、感染中毒症、心肌病、心脏外科术后等导致的右心收缩功能下降及右心充盈障碍。
ACP在ARDS患者中较为常见。一项前瞻性临床研究纳入了一所大学医院ICU 1996至2001年间收治的75例接受保护性通气策略的ARDS患者。研究发现,接受肺保护性通气的ARDS患者中,25%的患者于入院3日内发生ACP,而在氧合指数(PaO2/FiO2)低于100mmHg的ARDS患者群体中,ACP发生率可高达50%[
1]。
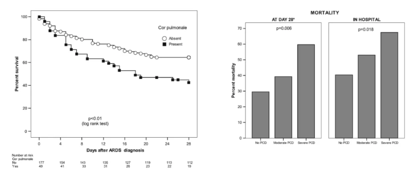
法国Henri Mondor医院ICU开展的一项单中心前瞻性观察研究纳入了2004年至2009年间接受保护性通气的226例中-重度ARDS患者。结果发现,22%接受保护性通气的中-重度ARDS患者发生ACP;存在ACP的ARDS患者28天病死率显著高于无ACP患者,且病死率升高与ACP严重程度关联密切。说明即使在保护性通气策略下,ARDS患者仍具有较高的ACP发生率,且ACP与不良预后密切相关 [2]。
ECHO-COVID,这项多中心回顾性观察研究纳入了2020年2月至2021年6月期间8个国家14个ICU 收治的677例COVID-19患者,所有患者均在进入ICU后48小时内完成首次超声心动图检查。研究发现,149例(22%)存在左室收缩功能障碍(伴或不伴右心功能不全),该症状未合并左室扩张及充盈压增高;152例(22.5%)存在右心收缩功能障碍;90例(17.4%)出现ACP,其中机械通气(OR>4)、肺栓塞(OR>5)、PaCO2升高是ACP发生的危险因素,而合并高龄是住院病死率(含ICU病死率)升高的独立危险因素 [3]。
同样,基于ECHO-COVID研究的二次分析纳入2020年2月至2021年6月7个国家11个ICU的281例COVID-19相关ARDS患者,评估表型(ACP、右室衰竭、右室功能障碍)与ICU死亡率的关联。右室受累率67%(189/281),ACP率37.4%(105/281),右室衰竭率54.7%(140/256),右室功能障碍率29%(74/255);第一次ICU超声就发现ACP的患者ICU死亡风险最高,ACP是与ICU死亡风险关联最强的表型 [4]。
一项回顾性队列研究纳入法国Ambroise Paré医院ICU 1980-1992年(维持二氧化碳正常范围、无气道压力限制)及1993-2006年(采用限制气道压力的低牵张通气策略)的共计352例患者数据,发现平台压低于27cmH2O时,患者病死率和ACP发生率最低 [5]。
一项多中心前瞻性研究纳入11个法国ICU的752例接受肺保护性通气的中重度患ACP的独立危险因素。肺保护性通气肺炎、驱动压≥18cmH2O、PaO2/FiO2<150mmHg及PaCO2≥48mmHg [6]。
肺保护性通气治疗中,需限制平台压驱动压以降低肺应力、提高氧合以逆转低氧性肺动脉收缩、减轻高碳酸血症,并结合俯卧位通气等措施保护右心功能。同时,在机械通气过程中可通过漂浮导管心脏超声监测评估右心功能变化 [7]。
ARDS患者右心功能监测及评估
有创血流动力学监测可用于及时识别ARDS患者血流动力学变化,辅助诊断ACP并评估治疗反应。除动脉导管中心静脉导管外,肺动脉导管提供更全面的血流动力学数据,帮助理解病因机制,并为制定药物治疗液体管理方案提供依据。肺动脉导管作为有创监测手段,对操作技能特定要求。
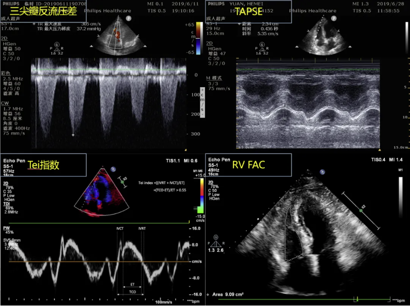
超声心动图是监测ARDS患者右心功能不全的良好替代。这是经胸超声心动图(TTE)床旁评估右心室解剖结构功能的主要成像技术 [8]。
通过TTE评估ARDS患者的右心功能,可依据检查结果将其右心受累情况分为三个亚型:1.ACP:表现为右心室扩张(右心室舒张末期面积/左心室舒张末期,面积>0.6,若无法获取该比值则需目测评估右心室呈中至重度扩张),以及左心室短轴切面显示室间隔矛盾运动;2.右心室衰竭(Right ventricle failure,RVF):右室扩大合并体循环静脉充血(CVP≥8mmHg),若无法测量CVP则以下腔静脉(IVC)增宽为判定依据;3.右心室功能障碍:三尖瓣环收缩期位移(TAPSE)≤16mm [4]。
ARDS患者右心保护策略
PVR增高引发右心室压力超负荷,导致扩张、室壁应力增加和右冠脉灌注减少,造成右心室缺血与输出量下降。输出减少通过两种机制加剧循环障碍:一是主动脉根部压降、右冠脉收缩期灌注限制和心动过速形成恶性循环;二是心室相互依赖机制引起右心室前负荷降低、室间隔移位和左心室前负荷减少,降低整体心输出量。心输出量减少加重右心室缺血与功能障碍。同时,PVR升高破坏右心室-肺动脉耦合,肺动脉超负荷导致三尖瓣反流和右侧充盈压升高,引发水肿及器官淤血,加剧循环障碍[ 9]。
PVR随肺容积变化,低容积(如肺不张)时,血管塌陷狭窄,阻力上升;中容积时,几何构型最优,阻力最小;高容积时,血管受压、平滑肌收缩等致阻力升高。整体呈“肺容积过低或过高阻力增大,中等时最小”曲线特征 [9]。
天平类比(图A)与U型曲线(图B)阐释评估右室功能,需权衡肺复张与肺过度膨胀。低肺应力与低肺循环阻力相关。调控通气控制肺应力可平衡两者,使PVR处于最优区间,以优化右心室功能和血流动力学 [10]。
2020-2022年间,法国两家医院ICU进行的这项前瞻性双中心试点研究,纳入了46例新发ARDS的成人或儿童患者(均接受有创机械通气),分析跨肺驱动压(ΔPL,肺应力替代指标)对右心室损伤的影响,发现在非自主呼吸成人患者中,肺应力显著影响右心室功能,证实跨肺驱动压升高与急性肺心病和右心室功能衰竭独立相关 [11]。
预防ACP的阶梯式策略,首先是评估平台压(<27 cmH₂O)和驱动压(<17 cmH₂O),未达标时降低潮气量控制肺应力;其次评估PaCO₂(<60 mmHg),未达标时增加呼吸频率并移除热湿交换器优化通气效率;根据右室功能和平台压调整PEEP,右室功能障碍时降低PEEP减轻右心后负荷,无功能障碍时可尝试增加PEEP但需复查状态;若PaO₂/FiO₂<150 mmHg,建议俯卧位改善通气血流比及降低肺应力。整体逻辑是通过控制肺应力→调整通气效率→优化PEEP→适时俯卧位的阶梯策略,平衡肺力学与右心血流动力学,预防ACP [1
2
]。
需要注意的是,较高PEEP可改善氧合,减少肺水,但可能导致右心室扩张和功能下降,引发ACP。ARDS通气策略需平衡“肺休息”限制平台压和潮气量,同时规避低PEEP致肺萎陷。
北京朝阳医院呼吸ICU进行的一项单中心前瞻性随机对照研究,比较了跨肺压指导与肺休息策略在102例重症ARDS患者接受V-V ECMO支持下的效果,发现跨肺压组ECMO撤机成功率更高、60天死亡率更低、ECMO时间更短,且驱动压、潮气量、机械功率更低(p<0.05),PEEP更高(p<0.05),说明跨肺压指导策略可提高撤机成功率、降低死亡率,改善患者预后 [13]。
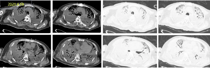
这是一名66岁男性患者的胸部CT对比,患者无明显诱因发热1月余,伴寒战,活动后呼吸困难加重,抗感染治疗效果不佳。
肺CT示双肺多发片状高密度影
5天前,氧合指数降至64.5mmHg,建VV-ECMO后收入RICU。
可见,右心保护策略包括血流动力学和其他特定管理,跨肺压指导的机械通气策略可在实现肺保护的同时让肺休息,以此获得最优化的右心功能。
ARDS患者右室衰竭的管理原则需联合有创血压监测与超声心动图。检测到显著PPV时,立即超声心动图评估,常常会发现右室流出量周期性下降伴右室扩张或ACP。如何管理?(1)血流动力学:血管活性药物、限制性液体管理、超滤或利尿剂;(2)呼吸:潮气量6~8 mL/kg,PEEP 6~8 cmH₂O,呼吸频率适配PaCO₂,避免动态过度充气,驱动压<27 cmH₂O,PaCO₂<48 mmHg;(3)特定管理:俯卧位、iNO、PDESi、PGI₂等。若右室衰竭持续,考虑V-V ECMO作为挽救措施。ECMO用于右心功能管理:轻度右心受累或可改善者用V-V ECMO;恶化至心源性休克者用V-A ECMO或右室辅助支持 [14]。
ARDS合并右心功能障碍的管理策略核心是在经典ARDS治疗基础上,围绕右心保护进行调整。具体为:1.通气:优化PEEP滴定,控制平台压<27 cmH₂O,避免内源性PEEP和高碳酸血症;2.俯卧位:精准识别获益患者;3.液体管理:使用迷你液体挑战评估容量,容量过载时用利尿剂或CRRT;4.V-V ECMO:仅在常规治疗无效后使用,影响有变异性;5.药物:探索吸入一氧化氮/前列环素、肺动脉高压药物、去甲肾上腺素等。管理需围绕降低后负荷、优化前负荷、改善收缩功能 [15]。
小结
1.在肺保护通气下右心功能不全发生率仍高,ACP与不良预后相关,因此需重视ARDS患者右心功能评估;
2.现有右心保护策略基于肺保护通气,需进一步研究如何优化以保护右心,除优化机械通气外,其他管理措施也很重要;
3.右心管理应综合机械通气、液体和药物管理,以改善预后。
参考资料
1.Vieillard-Baron A, Schmitt JM, Augarde R, et al. Acute cor pulmonale in acute respiratory distress syndrome submitted to protective ventilation: incidence, clinical implications, and prognosis. Crit Care Med. 2001;29(8):1551-1555.
2.Boissier F, Katsahian S, Razazi K, et al. Prevalence and prognosis of cor pulmonale during protective ventilation for acute respiratory distress syndrome. Intensive Care Med. 2013;39(10):1725-1733.
3.Huang S, Vignon P, Mekontso-Dessap A, et al. Echocardiography findings in COVID-19 patients admitted to intensive care units: a multi-national observational study (the ECHO-COVID study). Intensive Care Med. 2022;48(6):667-678.
4.Huang S, Vieillard-Baron A, Evrard B, et al. Echocardiography phenotypes of right ventricular involvement in COVID-19 ARDS patients and ICU mortality: post-hoc (exploratory) analysis of repeated data from the ECHO-COVID study. Intensive Care Med. 2023;49(8):946-956.
5.Jardin F, Vieillard-Baron A. Is there a safe plateau pressure in ARDS? The right heart only knows. Intensive Care Med. 2007;33(3):444-447.
6.Mekontso Dessap A, Boissier F, Charron C, et al. Acute cor pulmonale during protective ventilation for acute respiratory distress syndrome: prevalence, predictors, and clinical impact. Intensive Care Med. 2016;42(5):862-870.
7.Wang XT, Liu DW, Zhang HM, et al. Zhonghua Nei Ke Za Zhi. 2017;56(12):962-973.
8.Tsolaki V, Zakynthinos GE, Karavidas N, et al. Comprehensive temporal analysis of right ventricular function and pulmonary haemodynamics in mechanically ventilated COVID-19 ARDS patients. Ann Intensive Care. 2024;14(1):25. Published 2024 Feb 12.
9.Price LC, Wort SJ, Finney SJ, Marino PS, Brett SJ. Pulmonary vascular and right ventricular dysfunction in adult critical care: current and emerging options for management: a systematic literature review. Crit Care. 2010;14(5):R169.
10.Repessé X, Charron C, Vieillard-Baron A. Acute cor pulmonale in ARDS: rationale for protecting the right ventricle. Chest. 2015;147(1):259-265.
11.Vedrenne-Cloquet M, Petit M, Khirani S, et al. Impact of the transpulmonary pressure on right ventricle impairment incidence during acute respiratory distress syndrome: a pilot study in adults and children. Intensive Care Med Exp. 2024;12(1):84. Published 2024 Sep 27.
12.Vieillard-Baron A, Price LC, Matthay MA. Acute cor pulmonale in ARDS. Intensive Care Med. 2013;39(10):1836-1838.
13.Wang R, Sun B, Li X, et al. Mechanical Ventilation Strategy Guided by Transpulmonary Pressure in Severe Acute Respiratory Distress Syndrome Treated With Venovenous Extracorporeal Membrane Oxygenation. Crit Care Med. 2020;48(9):1280-1288.
14.Petit M, Jullien E, Vieillard-Baron A. Right Ventricular Function in Acute Respiratory Distress Syndrome: Impact on Outcome, Respiratory Strategy and Use of Veno-Venous Extracorporeal Membrane Oxygenation. Front Physiol. 2022;12:797252. Published 2022 Jan 14.
15.Yogeswaran A, Kremer NC, Janetzko P, et al. Right-sided heart failure in acute respiratory distress syndrome. Eur Respir Rev.2025;34(177):250060. Published 2025 Aug 20.
专家介绍
孙兵
首都医科大学附属北京朝阳医院-北京呼吸疾病研究所 呼吸与危重症医学科 副主任,主任医师;中华医学会 呼吸病学分会 呼吸危重症学组 委员;中国医师协会 体外循环专业委员会 委员;中国医师协会 呼吸分会 呼吸危重症工作委员会 委员;中国心胸血管麻醉学会 体外生命支持分会 常务委员;中国病理生理学会 危重症专业委员会 呼吸治疗学组副组长;中国康复医学会 呼吸康复专业委员会 青年委员会副组长;国家药品监督管理局医疗器械技术审评专家;主要研究方向:呼吸危重症、呼吸治疗和呼吸支持技术。
本文由《呼吸界》编辑 冬雪凝 整理,感谢孙兵教授的审阅修改!
* 文章仅供医疗卫生相关从业者阅读参考
本文完
责编:Jerry
