引言
夹层术后继发HAP,感染症状反反复复,PCT起起落落,并发感染中毒症,感染部位究竟在哪里?通过本案例的诊治,以期为同道提供一些诊断思路。
中年男性A型主动脉夹层术后,重症感染合并多器官功能障碍及ECMO支持转诊……
卷宗1
基本资料:患者男性,55岁,主诉「前区疼痛13天,低氧伴发热11天,多发出血5天」于2023年12月21日入住我院呼吸与危重医学科(本部)住院部。
讲述者:刘雅兰
患者55岁,有高血压病史的退休军医,在钓鱼过程突发A型主动脉夹层,次日转当地医院行全弓置换和主动脉瓣换瓣手术。术后,在ICU内先后出现右侧气胸、VAP、继发脓毒性休克,当地予VA ECMO支持,但感染控制不佳,并出现膜肺血栓、多部位出血、肾功能不全,需要联合CRRT。
患者13天前(12-8)无明显诱因出现心前区疼痛,为剑突上左侧撕裂样疼痛,伴黑懵、胸闷,就诊于当地医院,确诊主动脉夹层动脉瘤(A型),遂于当地三甲医院(12-9)急诊行全主动脉弓置换术(置换主动脉机械瓣、孙氏手术),术后转入ICU治疗。
11天前,突发血氧饱和度下降(血气具体不详),胸片示右侧气胸,压缩90%,行右侧胸腔闭式引流术,复查胸片复张良好。10天(12-11)前氧合持续恶化,血气(支持条件不详)pH7.37,PaC02 38mmHg,Pa02 75mmHg,伴发热,体温38.4℃,血常规示血象升高、感染及炎症指标指标升高、转氨酶及肌酐升高,胸片示广泛渗出、右肺实变,予美罗培南1g q12h抗感染,西维来司他钠0.4g QD、乌斯他丁10万U q8h,余予化痰、保肝、利尿等治疗。9天前(12-12 )1pm因氧合无法维持合并感染中毒性休克行左股V-A ECMO治疗,予比伐芦定抗凝,APTT目标50s左右,并加用万古霉素抗感染。
8天前,血常规示白细胞14.36*10^9/L,中性粒93.8%,PCT 40.5ng/ml,考虑感染加重,痰培养及外送血NGS示鲍曼不动杆菌(具体药敏不详);6天前调整抗生素为美罗培南1g q12h联合替加环素(泰阁)50mg q12h,12-18替加环素调整为100mg q12h。5天前,心包纵隔引流液由淡黄色变为血性引流液,伴鼻腔、穿刺部位渗血,停用比伐卢定,予氨甲环酸、纤维蛋白原、凝血因子、维生素K等止血治疗后好转。后复查胸片见肺部渗出较前加重,查白细胞及PCT明显升高,肾功能不全伴高钠血症,予CRRT治疗1次(因ECMO报警下机,12h)。1天前复查胸片渗出较前明显加重(图1),考虑病情危重,遂转至我科治疗。
患者既往高血压病史10余年,血压最高达160/120mmHg,目前服用降压药「沙库巴曲缬沙坦 1片 1/日、美托洛尔 1片 1/日、厄贝沙坦 1片 1/日」,血压控制不详。10年前诊断慢性乙型病毒性肝炎、小三阳。吸烟史30年,平均20支/日,已戒烟 5年。家族史无特殊。
思考题:此时难点是患者转入前ECMO已运行9天,转诊距离2400km,如何转诊,ECMO如何处置降低转运风险?
图1.转运前胸片
考虑到患者ECMO运行时间较长,伴随凝血功能紊乱,首先考虑膜肺血栓形成后凝血消耗可能性大,拟更换ECMO后,乘固定翼飞机转运,以降低转运过程中膜肺血栓增加、氧合、血压不稳定的风险。同时考虑转运时间较长,涉及交通工具多,携带我院Cardio help设备外出转运,减少管路打折等风险。遂由我院呼吸ICU王睿医生前往当地更换膜肺,转运患者。12月20日 16:00 ~ 19:50 调机 北京至乌鲁木齐,12月20日 20:30 ~ 21:20 更换ECMO出发,12月20日23:00 ~ 12月21日 2:00 乌鲁木齐至北京。降落至北京首都机场后,更换120救护车转运至我院RICU,抵达时间12月21日 2:45。入院后体格检查请见第2份卷宗:
卷宗2
T 37.9℃,P 82次/分,R 27次/分,BP 115/63mmHg(去甲肾上腺素持续泵入)
镇静镇痛状态,RASS -4分,双肺呼吸音粗,双下肺可闻及大量湿啰音,左侧显著。心率82次/分,律齐,心音正常,瓣膜听诊区未闻杂音,腹部软,未触及包块,双下肢无浮肿,右下肢腹股沟韧带附近可见一纵行手术切口(ECMO置管备用切口),愈合不良,可见少量黄色分泌物,周围皮肤发红。带入各种置管如下:
①气管插管(2023-12-9)
②左股动静脉ECMO置管(2023-12-12)
③左锁骨下深静脉置管(2023-12-12)
④左侧胸腔闭式引流管(2023-12-9)
⑤右侧胸腔闭式引流管(2023-12-20)
⑥心包纵隔引流管(2023-12-9)
⑦尿管及胃管(2023-12-9)。
对患者的病史进行总结,患者为中年男性,急性病程。外院主动脉夹层术、主动脉瓣机械瓣换瓣术后继发VAP、感染中毒症转入我科。根据查体可见患者双肺可闻及大量湿啰音,胸片双肺多发浸润影,白细胞及PCT明显升高,氧合指数下降,需要ECMO维持。因此入院诊断为:重症肺炎(呼吸机相关肺炎)、感染中毒症诊断明确。
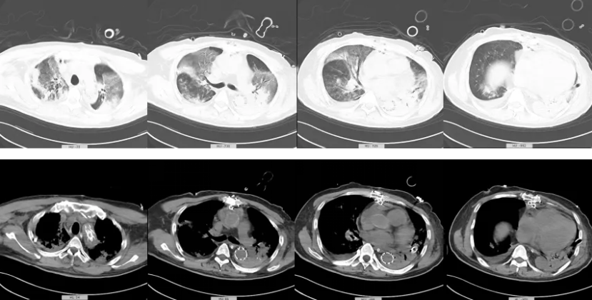
入院复查肺CT(图2):双肺多发实变及斑片状浸润影,以左下肺为著。心包纵隔引流、双侧胸腔闭式引流置管状态。主动脉夹层术后,主动脉瓣换瓣术后状态。
图2. 胸CT提示:双肺多发实变及斑片状浸润影,以左下肺为著。心包纵隔引流、双侧胸腔闭式引流置管状态。主动脉夹层术后,主动脉瓣换瓣术后状态。
患者经外院充分治疗感染仍控制欠佳,入我院次日PCT、血常规等指标未见明显改善,需警惕合肺部感染引流不畅,或并其他部位感染,需进一步查找感染源,遂修正诊断为「感染中毒症、重症肺炎」。
围绕「感染中毒症病因待查」进一步查因思路?应重点筛查哪些指标?重点筛查那些部位?
讲述者:唐晓
患者首先重点筛查各种外院带入的引流管置管部位的感染,同时完善脏彩超观察瓣膜有无受累。详见第三份卷宗:
卷宗3
辅助检查 12-21:
血常规:WBC:23.2109/L,NEU:96.4%,HB:84g/L,PLT:78109/L
生化:白蛋白 36.4g/L、前白蛋白 0.05g/L、肌酐 299.6umol/L、尿素 74.24mmol/L、钠 162.8mmol/L、
NT-proBNP:2694pg/ml,cTNI 901.6ng/ml
血气(P-A/C,Pi 20cmH2O,PEEP 6cmH2O,FiO2 1.0,ECMO BF 2.65L/min): 乳酸 1.7,P/F 78。
气管镜检查:内大量黄痰。心彩左心室肥厚,EF正常
经积极俯卧位等体位引流后,患者氧合指数及双肺透过度均较入院明显改善,但PCT进行性升高(见表1)。
考虑ECMO可能是潜在感染灶,于入院后第3天,撤离ECMO。患者PCT逐渐下降,但仍在较高水平波动(5-10ng/ml)。入院后第7天拔出右侧胸腔引流管,入院后第13天拔除左侧胸腔引流管。
图3.心包纵隔引流管引流液可见絮状物,右侧腹股沟皮肤软组织感染。
综合上述检查结果,再次对该病例进行总结:中年男性,急性起病,夹层术后继发VAP,经多种抗生素抗感染治疗并积极体位引流未见明显改善。我们以「感染中毒症」为切入点进行鉴别诊断,感染部位可能位于肺、右腹股沟皮肤软组织、纵隔、血管内置管以及人工血管,抗感染仍然是当务之急。
根据患者复查的CT结果,结合临床表现、血检及B超结果,我们邀请了心脏外科、血管外科、感染微生物科进行多学科会诊,指导局部伤口换药及制定抗生素计划。
2024年1月5日,患者突发右股动脉穿刺处破裂出血,经血管外科急诊手术后伤口愈合良好,考虑目前可除外双侧下肢皮肤软组织感染所致的感染中毒症。继续抗感染观察。
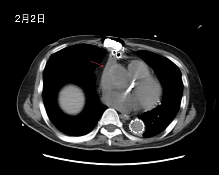
经1个半月充分抗感染治疗,患者仍反复发热(Tmax 37.6-38℃),PCT低水平波动(0.5-1.5ng/ml),复查胸CT(2-02)提示:双肺炎症较前部分吸收,左侧少量胸腔积液,较前减少;纵隔渗出性改变,纵隔引流管置入状态;纵隔多发小淋巴结显影;心脏饱满,主动脉弓术后改变,主动脉根部高密度影,较前变化不大,升主动脉管壁新月形低密度影,较前大致相仿(图4)。心脏彩超(2-03):主动脉机械瓣+孙氏手术术后,主动脉瓣位人工机械瓣功能尚可,机械瓣少量返流,人工血管血流通畅,左室肥厚。
患者经充分抗感染治疗,白细胞、降钙素原均较入院早期有明显下降,带入胸腔引流管、ECMO置管均已拔出。但心包纵隔引流管仍有絮状物引出。置管周围皮肤状态良好。患者需持续CRRT,每7天更换深静脉置管,心脏彩超多次复查未见瓣膜赘生物。神智清楚,可配合康复锻炼。感染部位还有可能在何处?
图4.纵隔内可能是感染灶吗?
2024年2月4日,经MDT再次讨论,决定二次开胸探查人工血管内有无感染病灶。术中,人工血管周边未见明确感染,胸骨后积液,考虑胸骨后防粘连膜所致积液引流不畅。术后病理:灰白不整形组织1快,直径0.6cm,检材为退变坏死组织,炎性渗出及凝血。术后明确诊断:纵隔纤维板形成。
纵隔清创+肌瓣移植手术后患者体温逐渐降至正常,术后2周拔除心包纵隔引流管,逐渐停用抗生素,继续康复锻炼。经RICU康复4个月后,于2024年6月7日出院,1年半后随访患者已恢复正常生活。
我们重新回顾该患者的诊治经过:夹层术后继发VAP入院,经充分抗感染、引流等治疗后,患者影像学明显改善,但仍反复发热,需要考虑人工血管相关问题,最终通过二次开胸清除了最后一处感染灶,使患者终于进入康复的正循环。整个过程给予我们哪些经验体会?
1、重症感染的病人寻找感染灶是控制感染的关键。
2、逐一排除,逐个攻坚,才能有二次开胸的勇气。
以呼吸科医生视角总结该病例难点,思考诊疗中可帮助我们早些找到病灶的方法……如何提高诊断和鉴别诊断效率?
讲述者:刘雅兰
分析该病例,首先是感染灶的隐匿性与多部位重叠,患者为夹层术后继发呼吸机相关肺炎(VAP),但感染未局限于肺部,还涉及纵隔、右腹股沟皮肤软组织、血管内置管(ECMO、深静脉)及可能的人工血管,各部位感染症状(如发热、PCT升高)相互叠加,难以通过单一临床表现或影像学定位。
侵入性操作与感染的恶性循环也是难点之一,ECMO、气管插管、胸腔/纵隔引流管等侵入性操作不仅破坏黏膜屏障,还可能成为感染源(如ECMO膜肺血栓合并感染、置管处皮肤软组织感染),同时凝血功能紊乱(如出血、血栓)进一步加重感染控制难度。
其次是耐药菌感染的治疗困境,患者感染多重耐药菌(如肺炎克雷伯菌CRE、铜绿假单胞菌CRE、鲍曼不动杆菌),常规抗生素(如美罗培南、替加环素)疗效有限,需反复调整抗生素方案,且耐药菌易在多部位(肺、血、尿、胸水)播散,延长感染病程。再则,基础疾病与感染的相互影响,患者既往有慢性乙肝(小三阳),导致免疫功能低下,高血压及夹层术后心功能不全(NT-proBNP升高)增加肺部淤血、感染易感性,肾功能不全(肌酐升高)限制抗生素选择(如避免肾毒性药物),可进一步让治疗复杂化。
如何在具体诊疗中早些找到病灶?是我们应该积极思考的问题。一方面,是根据损伤程度从低到高,依次完善检查,明确病灶来源。如对软组织部位进行表面分泌物培养;对于肺部感染,尽早行支气管镜检查(如BALF采样),避免依赖表面痰标本(易受口咽部菌群污染);而针对纵隔、人工血管等隐匿部位,因创伤风险相对高,可择期行纵隔镜、CT引导下纵隔穿刺或心脏外科术中探查(如二次开胸),直接获取病灶组织进行病理及病原学检查(如病例中二次开胸发现纵隔纤维板形成);第二,动态病原学监测与分子诊断,比如除常规血、痰、尿培养外,联合宏基因组测序(NGS)快速检测病原体(如病例中BALF、血NGS提示鲍曼不动杆菌、CRE),并定期复查(如每日血培养),追踪耐药菌的播散路径(如从肺到血、尿的CRE感染)。
特别想强调的就是多学科协作(MDT)早期介入的重要性,如果早期联合心脏外科(评估人工血管、纵隔情况)、血管外科(处理ECMO置管处出血/感染)、感染科(指导抗生素选择)、影像科(解读纵隔CT的渗出性改变、人工血管周围炎症),是否就可避免呼吸科单一视角遗漏纵隔、血管等部位的感染?
最后,对治疗反应的动态评估也很重要,通过监测PCT、氧合指数、体温等指标,判断感染控制效果(如病例中体位引流后氧合改善但PCT进行性升高,提示感染灶未局限于肺);若抗生素调整后PCT仍持续升高,需及时排查新的感染灶(如纵隔、血管置管)。
一些可能提高诊断和鉴别诊断效率的方法值得我们进一步思考:
一、建立感染中毒症病因标准化筛查流程:以「感染部位优先级」为导向,依次排查:① 肺部(胸片/CT、支气管镜);② 侵入性操作部位(ECMO置管处、深静脉置管、引流管);③ 纵隔/人工血管(增强CT、MRI);④ 腹腔/泌尿系统(腹部超声、尿培养);⑤ 皮肤软组织(右腹股沟切口分泌物培养),避免遗漏关键部位;
二、影像学多模态应用:常规胸片结合胸部增强CT(评估纵隔渗出、人工血管周围炎症)、PET-CT(检测代谢活跃的感染灶,如纵隔淋巴结、人工血管),动态对比影像学变化(如纵隔渗出是否进展、胸腔积液是否增多),辅助定位隐匿感染灶。
三、生物标志物的联合应用:除PCT(反映细菌感染严重程度)外,联合CRP(炎症反应)、IL-6(早期炎症)及真菌G试验/GM试验(排查真菌感染),综合判断感染类型及部位(如PCT升高伴IL-6显著升高,提示革兰阴性菌感染可能性大)。
总之,通过该病例可能提示到我们,呼吸科医生在处理重症感染中毒症患者时,需突破「以肺为中心」的传统思维,关注多部位感染的可能性;通过有创检查、分子诊断及多学科协作早期定位感染灶;针对耐药菌感染,及时调整抗生素方案并监测疗效;同时兼顾基础疾病对感染的影响,实现「精准抗感染+支持治疗」的平衡。
主任点评
这是一个外科术后继发复杂感染的病例。第一,治疗团队在接诊患者的初始状态,病情危重,涉及多个器官和部位的感染和功能不全,需要ECMO、CRRT、俯卧位、抗感染联合治疗,体现全面综合的救治能力;第二,患者病程迁延,随病程的变迁,治疗矛盾的转化,应该有敏锐的判断和变化能力,能抓住重点、治疗主要矛盾;第三,需要医生具有极高的警惕性,临「危」不乱,不能被已知的表面的假象迷惑,能有从表象看出潜在不合理的地方,找到关键问题、并整合多学科团队、解决问题的能力。
专家介绍
孙兵
首都医科大学附属北京朝阳医院-北京呼吸疾病研究所 呼吸与危重症医学科 副主任,主任医师;中华医学会 呼吸病学分会 呼吸危重症学组 委员;中国医师协会 体外循环专业委员会 委员;中国医师协会 呼吸分会 呼吸危重症工作委员会 委员;中国心胸血管麻醉学会 体外生命支持分会 常务委员;中国病理生理学会 危重症专业委员会 呼吸治疗学组副组长;中国康复医学会 呼吸康复专业委员会 青年委员会副组长;国家药品监督管理局医疗器械技术审评专家;主要研究方向:呼吸危重症、呼吸治疗和呼吸支持技术。
唐晓
首都医科大学附属北京朝阳医院-北京市呼吸疾病研究所,呼吸与危重症医学科;医学博士,主任医师;北京医学会呼吸病学分会呼吸治疗学组委员,中国非公立医疗机构协会体外生命支持委员会委员,中国老年保健协会老年医学分会青年委员会委员,北京医师协会重症医学青年医师分会理事;主要研究方向:重症肺炎、呼吸衰竭与呼吸支持技术、出凝血管理、重症超声等。发表SCI及核心期刊文章10余篇,实用新型专利4项。
刘雅兰
首都医科大学附属北京朝阳医院呼吸与危重症医学科 主治医师;研究方向:呼吸危重症救治及营养支持治疗。北京医学会呼吸分会第九届呼吸危重症学组 委员;首发青年优才,基于深度神经网络的呼吸危重症患者营养支持策略研究,主持,在研。发表SCI论文3篇。
* 文章仅供医疗卫生相关从业者阅读参考
本文完
采写编辑:冬雪凝;责编:Jerry
