摘要
血管内大B细胞淋巴瘤是一种以肿瘤细胞聚集在血管管腔内为特点的罕见结外淋巴瘤,约60%的患者可出现肺受累,临床表现缺乏特异性,诊断困难,预后较差。本文介绍1例以发热、呼吸困难为主要表现的患者,胸部CT可见双肺呈重力分布的弥漫性磨玻璃影;经支气管镜肺活检术确诊为血管内大B细胞淋巴瘤,旨在提高对肺血管内大B细胞淋巴瘤的认识及诊治水平,以改善患者预后。
患者男,73岁,因“发热、活动后气短3个月余”于2023年9月13日入院。2023年6月患者出现发热,伴活动后气短,外院查C反应蛋白 96.73 mg/L(参考值范围:<3 mg/L);乳酸脱氢酶(lactate dehydrogenase,LDH)1 519 U/L(参考值范围:0~250 U/L);外周血(1,3)-β-D-葡聚糖试验、巨细胞病毒DNA阴性;痰及肺泡灌洗液病原学检测均为阴性;胸部CT可见双肺弥漫性磨玻璃密度影;淋巴结超声提示颈部、腋窝及腹股沟多发淋巴结肿大。给予经鼻高流量氧疗支持,哌拉西林钠他唑巴坦、更昔洛韦、复方磺胺甲噁唑抗感染治疗。外院考虑不除外淋巴增殖性疾病,给予静脉输注甲泼尼龙 120 mg(1次/d)。糖皮质激素治疗后患者体温正常、肺部病变减轻,减量至泼尼松20 mg(1次/d)时患者病情出现反复。9月6日患者发生高热,体温最高39.5 ℃,伴有嗜睡及二便失禁,无肢体活动障碍,遂就诊于我院。患者自发病以来体重下降约5 kg,既往体健,否认其他慢性病史。
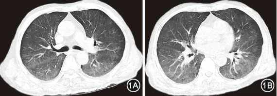
入院体检:心率106 次/min,血压157/114 mmHg(1 mmHg=0.133 kPa),外周指脉氧饱和度94%(文丘里面罩氧浓度31%支持),双肺呼吸音粗,心律齐,腹软,双下肢轻度可凹性水肿;时间定向力、计算能力差,双上肢肌力5级,下肢肌力3+级。入院后完善辅助检查:血气分析(吸入氧浓度37%):pH值为7.45,PaCO2为20 mmHg,PaO2为66 mmHg,cHCO3-为18.1 mmol/L,cLac为6.1 mmol/L;LDH为2 573 U/L;铁蛋白 1 641 ng/ml;白细胞介素(interleukin,IL)-10为134.0 ng/L。自身抗体谱:抗核抗体斑点型阳性,滴度1˸320;抗中性粒细胞胞质抗体(antineutrophil cytoplasmic antibodies,ANCA)核周型阳性,滴度1∶20。胸部CT示双肺弥漫性磨玻璃样病变,呈重力分布(图1)。
图1 患者2023年9月6日胸部CT检查可见双肺弥漫性磨玻璃影,呈向心性、重力依赖性,沿支气管、血管束分布,以双下肺为著,胸膜下较少累及
PET/CT:双肺广泛分布的磨玻璃密度影,代谢增高,最大标准化摄取值(SUVmax)为 5.5(图2)。
图2 患者2023年8月8日PET/CT检查,其中图2A为PET-CT胸部横断位图像,图2B为同机器的胸部CT图像,图2C为融合图像,图2D为全身最大密度冠状位投影图,可见双肺广泛分布的磨玻璃密度影,放射性摄取增高,SUVmax值为5.5,分布呈重力依赖性
骨髓涂片:片中可见疑似淋巴瘤细胞,该细胞胞体大小不等,核圆形、椭圆形或不规则形,染色质粗颗粒状,深紫红色,并可见“拖尾”现象,可见个别吞噬细胞及吞噬血细胞现象。支气管镜下可见气管、支气管管腔通畅,少量白色稀薄痰液,黏膜完整,未见明确新生物;支气管肺泡灌洗液(bronchoalveolar lavage fluid,BALF)病原学阴性;BALF细胞分类:细胞总数 10.1×106个,巨噬细胞 98%,淋巴细胞 2%;右肺下叶基底段经支气管镜肺活检术(transbronchial lung biopsy,TBLB)病理:小血管及肺泡间隔毛细血管内见较多异型淋巴细胞,免疫组化染色示异型细胞为B细胞来源(图3),考虑血管内大B细胞淋巴瘤(intravascular large B-cell lymphoma,IVLBCL),免疫组化结果:CD20(++),CD3(T细胞+),CD5(肿瘤细胞+),CD34(血管内皮细胞+),Ki-67(index 90%)。
图3 患者右肺下叶基底段TBLB病理学检查结果显示:图3A箭头所示小血管及肺泡间隔毛细血管内见较多异型淋巴细胞 HE染色 低倍放大;图3B箭头所示肿瘤细胞位于血管腔内 CD34免疫组织化学染色 低倍放大;图3C血管腔内异型细胞为B细胞来源 CD20免疫组织化学染色 低倍放大
入院后调整治疗方案:停用抗生素,沿用甲泼尼龙 40 mg,1次/d。患者意识状态持续恶化,呼吸困难进行加重,血小板计数从123×109/L进行下降至28×109/L。因呼吸衰竭转入重症监护室,行气管插管机械通气支持。TBLB病理学检查结果显示血管及肺泡间隔较多异形淋巴细胞(图3),计划行R-CHOP(利妥昔单抗-环磷酰胺+表柔比星+长春地辛+泼尼松)联合泽布替尼治疗。因考虑患者肿瘤负荷较大,溶瘤风险极高,治疗前加用地塞米松10 mg静脉注射预处理,随后在水化、碱化、降尿酸治疗下,优先加用泽布替尼160 mg(口服,2次/d);分2次(2 d)给予利妥昔单抗600 mg,静脉输液。经上述治疗,患者肿瘤负荷下降,LDH从4 932 U/L降至279 U/L;氧合状态一度改善,氧合指数从120 mmHg升至400 mmHg。但在机械通气期间患者并发肺部混合感染(铜绿假单胞菌、肺炎克雷伯菌及黑曲霉),未能继续完成R-CHOP方案治疗。尽管给予积极的抗感染治疗及引流,患者氧合状态仍持续恶化,于首程淋巴瘤治疗第19日因呼吸衰竭死亡。
讨论
IVLBCL是弥漫大B细胞淋巴瘤一种罕见的淋巴结外亚型,其特点为大量肿瘤细胞选择性地聚集在小或中等大小血管腔内,尤以毛细血管多见,通常不累及大动脉或大静脉[1],发病率约为0.5/100万[2],中位发病年龄约为64岁[3]。根据临床表现可分为三个亚型:经典亚型、皮肤亚型和噬血细胞相关亚型,其中亚洲人群多见噬血细胞相关亚型报道,患者常表现为包括肺在内的多系统受累、肝脾肿大和全血细胞减少,起病和临床进展较为迅速,淋巴结肿大不明显[4]。既往多项回顾性研究结果显示,约20%~50%的IVLBCL患者存在呼吸系统症状或胸部CT病变[5, 6, 7],尸检结果也表明约60%的IVLBCL患者存在肺部受累[8]。但目前对以呼吸系统症状和体征为主要临床表现的IVLBCL患者的相关研究较少,可能由于IVLBCL肺受累常常表现为双肺弥漫性阴影,需与间质性肺疾病(interstitial lung disease,ILD)、感染性疾病等相鉴别,诊断较为困难。IVLBCL首发症状多样化、缺乏特征性表现[9],易出现漏诊、误诊,预后较差。既往研究显示IVLBCL患者的中位生存期仅约1年[3]。因此早期识别、诊断和及时治疗对IVLBCL患者预后的改善至关重要。
本例患者为老年男性,临床主要表现为快速进展的呼吸困难,伴发热、消瘦等全身炎症状态。病初糖皮质激素治疗有效,但减量后病情反复,后期出现神经系统和血液系统受累。实验室检查提示血清LDH、IL-10显著升高,多次筛查外周血、下呼吸道病原学均无感染性疾病相关证据,虽存在ANCA低滴度阳性,但无咯血、血红蛋白明显下降等显微镜下多血管炎典型弥漫性肺泡出血表现;而影像学检查以肺内病变较为突出,胸部CT表现为双肺沿重力分布的弥漫性磨玻璃影(ground glass opacity,GGO),且PET/CT提示代谢性摄取增高,同时超声提示脾大。因此需高度警惕弥漫浸润的血液系统肿瘤,经积极寻找病理证据,最终通过TBLB小标本明确诊断。
IVLBCL患者肺受累主要表现为发热、咳嗽和劳力性呼吸困难等非特异性症状[10, 11]。实验室检查常见血清IL-10及LDH显著升高,其水平可能是IVLBCL早期诊断和疗效监测的有效生物标志物[12, 13, 14, 15]。由于大量淋巴瘤细胞聚集在毛细血管内,IVLBCL肺受累典型的胸部CT与其他肺淋巴瘤不同,常表现为双侧弥漫性GGO,其次也可表现为弥漫性分布的小结节影、实变影和小叶间隔增厚等[16, 17, 18],甚至可能无明显异常[19],而非实变和肿块。此外,18F-FDG PET-CT对肺IVLBCL的诊断具有较高提示意义[20, 21, 22],特别是在存在呼吸系统症状但胸部CT未见异常的患者中[21,23],主要表现为双肺均匀弥漫性的代谢摄取增高。
支气管镜检查对IVLBCL肺受累的诊断具有重要意义。首先,BALF分析可作为淋巴增殖性疾病与间质性肺疾病、感染性疾病相鉴别的有效方式。其次,IVLBCL确诊需组织病理学,即血管管腔内发现淋巴瘤细胞。考虑到IVLBCL的肿瘤细胞分布在肺泡毛细血管内,即使TBLB获取肺组织样本相对较小,也可能有较高阳性率,因此本例患者尝试了TBLB,最终经此确诊为IVLBCL。多项病例报告也提示TBLB可作为肺IVLBCL一种有用的诊断工具[24, 25, 26],即使对于胸部CT和/或PET-CT无明显异常表现的患者也是如此[19,27]。TBLB相较经胸腔镜肺活检、开放性肺活检等手术活检方式侵入性更小、成本更低,因此可首先考虑通过TBLB诊断肺IVLBCL。
本例患者临床表现缺乏特异性,导致前期诊断延误、病情进行性加重,获得最终诊断时肿瘤负荷较重,且需机械通气支持。尚无基于证据推荐的IVLBCL最佳治疗方案,多数研究推荐R-CHOP治疗[28, 29, 30],且其联合BTK抑制剂成为目前IVLBCL治疗探索的新方向[31]。经多科积极协作,在高级生命支持下,我们为患者尝试了利妥昔单抗联合BTK抑制剂治疗,病情曾一度好转,但因继发感染最终预后不佳。因此,除尽早诊断、积极治疗原发病外,也应关注溶瘤综合征、机会性感染等相关并发症,以改善此类患者的预后。
综上所述,肺IVLBCL是一类临床表型相对特殊的淋巴瘤,其识别特点包括:多伴有突出的炎症状态,对激素治疗可能有效,肺内较少形成肿块型病变,而多表现为弥漫性GGO与结节,外周及深部淋巴结肿大不明显。血清IL-10和LDH显著升高可作为本病的识别线索。TBLB对于肺内弥漫受累的案例具有较高的诊断价值。
参考文献(略)
作者:石钰洁 徐凯峰 王为 王春耀 贾丛伟 程午樱 石穿 黄慧;第一作者单位:中国医学科学院北京协和医学院北京协和医院呼吸与危重症医学科,北京;通信作者:石穿,中国医学科学院北京协和医学院北京协和医院呼吸与危重症医学科,北京
引用本文: 石钰洁, 徐凯峰, 王为, 等. 血管内大B细胞淋巴瘤肺受累1例[J]. 中华结核和呼吸杂志, 2025, 48(10): 949-952. DOI: 10.3760/cma.j.cn112147-20250517-00269.
本文转载自订阅号“中华结核和呼吸杂志”
* 文章仅供医疗卫生相关从业者阅读参考
本文完
责编:Jerry
