无症状结节病十年,此次新增双肺多发粟粒样病灶,感染还是另有其因?病理见肉芽肿,激素治疗仍一波三折?
来源: SIFIC感染视界 01-15


一、病史简介


女,50岁,江苏人,2024-03-06入复旦大学附属中山医院感染病科。



主诉:诊断结节病10年,肺部病灶新发1天。



现病史:


2014-01 因“胆囊切除”术前检查行胸部CT,发现“双肺门及纵隔多发肿大淋巴结”。外院诊断为“结节病”,予糖皮质激素治疗(具体剂量及疗程患者无法提供),后因“爆发肝炎”停药。后未继续诊治。


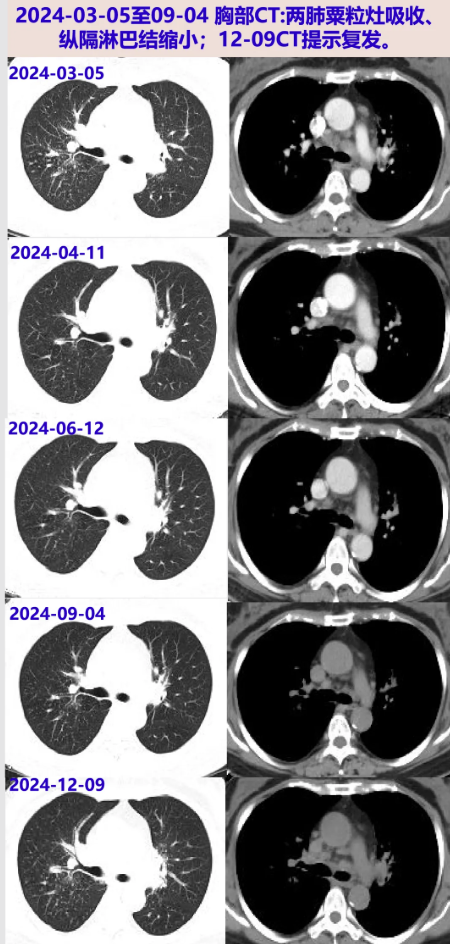
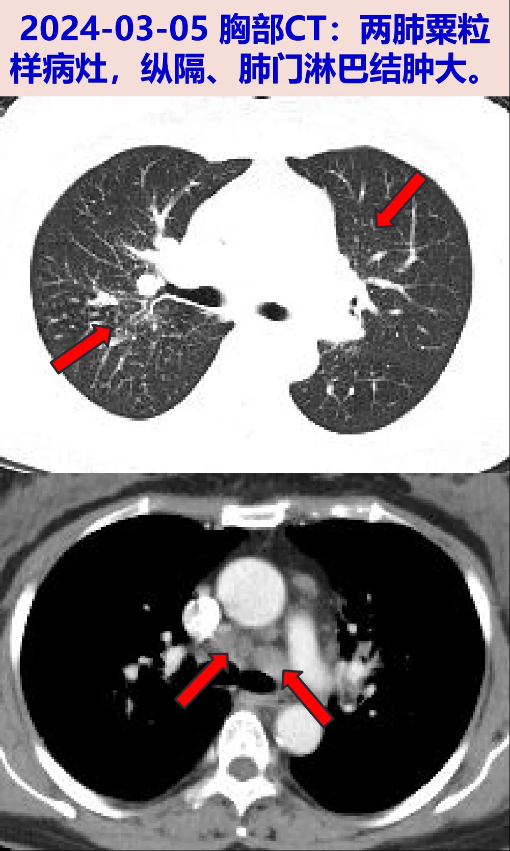
2024-03-05 胸部CT:右肺中叶节段实变不张,两肺多发结节(多发粟粒样改变),两肺慢性炎症,两肺门及纵隔、两侧颈根部-锁骨区多发肿大淋巴结;血常规:WBC 5.88×10^9/L,N 54.9%。无发热盗汗消瘦、咳嗽咳痰、呼吸困难、胸痛等。


2024-03-06 为明确肺部病灶性质收入我科。



既往史:高血压病史4年,血压控制良好。否认糖尿病、结核病史。2014年诊断乙型病毒性肝炎,恩替卡韦抗病毒至今。


二、入院检查(2024-03-06)


体格检查:


T 36.8℃,P 91次/分,R 20次/分,BP 139/97mmHg 

查体:神志清,精神可;两肺未闻及湿啰音;心率90次/分,律齐,未闻及心脏杂音。腹部平软,无压痛。


实验室检查:


血常规:WBC 5.83×10^9/L,N 73.4%,Hb 154g/L,Plt 296×10^9/L。

炎症标志物:hsCRP 0.5mg/L,ESR 4mm/h,PCT 0.02ng/mL。

肝肾功能:TB/CB 11.2/2.8μmol/L,ALT/AST 17/19U/L,Alb 50g/L,Cr 58μmol/L,CK 105U/L,CK-MM 94U/L。

病原学检查:T-SPOT A/B抗原 0/0(0/145);G试验、GM试验、隐球菌荚膜抗原、CMV-DNA、EBV-DNA阴性。

自身抗体、肿瘤标志物阴性。

血管紧张素转化酶:37.4U/L。 

动脉血气(未吸氧):pH 7.43,PaCO2 34.6mmHg,PaO2 96.2mmHg。



三、临床分析



病史特点:中年女性,慢性病程,既往有结节病史,胸部CT表现为双侧肺门及纵隔肿大淋巴结,未规律治疗,本次复查CT提示新增双肺多发粟粒样病灶,患者无明显临床症状,胸部影像异常需考虑以下疾病:



结节病:患者中年女性,结节病史10年,既往CT表现为双侧肺门、纵隔多发淋巴结肿大,本次CT新增肺内多发粟粒样病灶,从“一元论”角度考虑,可符合结节病表现,考虑疾病进展,可进一步经气管镜行病理及病原学检查明确诊断。



结核病:结核病也可表现为淋巴结肿大、肺内粟粒样病灶,但患者T-SPOT阴性,无典型的发热、盗汗、消瘦等消耗症状及咳嗽咳痰等呼吸道症状,需通过痰液或灌洗液病原学检查以排除。



矽肺:患者虽有肺内多发粟粒病灶,但考虑为新发病灶,且患者无粉尘接触史,故不考虑该诊断。


四、进一步检查、诊治过程和治疗反应


2024-03-07 行全麻支气管镜:左固有上叶支气管粘膜肿胀,尖段管腔可见重度狭窄,远端不能窥见;右中叶支气管粘膜肿胀,管腔狭窄,远端不能窥见,于右中叶行灌洗。中央超声探及多个4R组淋巴结,互相融合,直径约1.59cm,探及4L组淋巴结直径约1.14cm,分别行TBNA。 



2024-03-07 灌洗液涂片找细菌真菌、抗酸杆菌涂片阴性,XPERT.TB阴性,GM试验、隐球菌荚膜抗原阴性。纵隔淋巴结组织找细菌真菌、抗酸杆菌涂片阴性,XPERT.TB阴性。ROSE:(4R)涂片见大量淋巴细胞,部分组织细胞及少量可疑类上皮细胞,肉芽肿性病变不能除外 。 


2024-03-08 灌洗液及纵隔淋巴结mNGS:阴性。淋巴结组织初步病理:(4R+4L组淋巴结)肉芽肿性病变


2024-03-08 予甲泼尼龙40mg qd ivgtt,辅以护胃、补钙等治疗 。


2024-03-12 随访血常规:WBC 10.39×10^9/L,N 68.5%;炎症标志物:ESR 5mm/h,hsCRP <0.3mg/L。灌洗液、纵隔淋巴组织细菌真菌培养(2024-03-07采样):阴性。


2024-03-12 病理:肉芽肿性病变,抗酸、PAS、六胺银阴性。



2024-03-13 予出院,继续甲泼尼龙32mg qd po抗炎,每周甲泼尼龙减量4mg。


出院后随访:


2024-04-11 胸部CT:两肺炎症、纵隔淋巴结肿大较前片明显好转。继续甲泼尼龙20mg qd ×1周(共2周),后续减量方案:16mg qd×2周、14mg qd×2周、12mg qd×2周。


2024-06-12 淋巴结、灌洗液分枝杆菌培养(2024-03-07采样):阴性。胸部CT:两肺炎症病灶明显吸收,纵隔淋巴结明显缩小,较04-11相仿;复查炎症标志物、ACE阴性。当前甲泼尼龙10mg qd,后续每2周减量2mg至停药。


2024-08-26 停用甲泼尼龙。09-04胸部增强CT:两肺门及纵隔多发小及增大淋巴结,较06-12片部分稍大。继续停药。 


2024-12-09 胸部CT:纵隔及肺门多发淋巴结肿大,两肺多发病变,均较09-04片进展;ACE阴性。考虑结节病复发,再次启动糖皮质激素治疗,方案:甲泼尼龙32mg qd×1周、28mg qd×2周、24mg qd维持。 



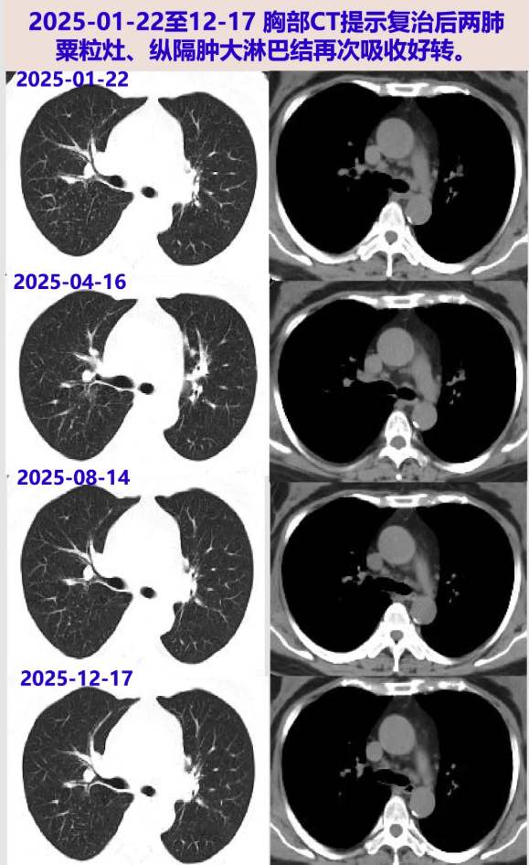
2025-01-22 胸部CT:较24-12-09片肺内病灶吸收,纵隔淋巴结缩小。激素减量方案:甲泼尼龙20mg qd×3周、16mg qd维持。 


2025-04-16 胸部CT:较前片好转(最大淋巴结位于左下气管旁19×14mm);炎症指标、ACE阴性;目前甲泼尼龙16mg qd,后续减量方案:14mg qd×2月、12mg qd×2月。


2025-08-14 胸部CT:较前片相仿。后续减量方案:10mg qd×2月、8mg qd×2月。


2025-12-17 胸部CT:较前片相仿。继续甲泼尼龙8mg qd,2~3月后复查胸部CT。



五、最后诊断与诊断依据


最后诊断

复发性肺结节病(II期) 


诊断依据


患者中年女性,慢性病程,胸部CT见双肺肺门及纵隔淋巴结肿大、双肺多发粟粒样病灶,纵隔淋巴结病理示肉芽肿性病变、特殊染色未见阳性菌,T-SPOT阴性,淋巴结、灌洗液抗酸涂片、XPERT.TB、细菌+真菌+分枝杆菌培养及mNGS均阴性,糖皮质激素治疗有效,故考虑诊断肺结节病。


六、经验与体会


肺结节病可表现为肺门、纵隔淋巴结肿大及两肺多发粟粒样结节病灶,组织病理为非干酪样坏死性上皮样细胞肉芽肿,但结节病的诊断是排除性诊断,需除外临床表现相似的其他病因后方可诊断。作为感染病科医生,最需要与结核病鉴别,以免误诊误治。此外结节病几乎可累及全身各个器官,胸内淋巴结(肺门、纵隔)、肺最易受累,肺外结节病最常累及皮肤,其次为肝或胃肠道、眼、肾、神经系统、心脏及肌肉骨骼系统,因此肺外器官受累的肉芽肿性病变,在除外感染、肿瘤等病因时需考虑结节病的可能性。


肺结节病有一定自发缓解率,有随影像学分期增加而缓解率下降的趋势,因根据患者受累部位、病情严重程度等制定个体化治疗。糖皮质激素是初始治疗一线药物,需个体化逐渐减量,5~10mg/d维持,总疗程6~24个月。本例患者虽无全身、呼吸道症状及低氧表现,但病程迁延,无自发缓解,同时新增多发肺内病灶,气管镜提示支气管粘膜肿胀、狭窄导致肺不张,故予以系统性激素治疗,避免病灶进展引起肺功能受损。


激素治疗后缓解的结节病复发率高达37%~74%,复发多在激素停用后2~6个月。对于复发性/难治性结节病或不能耐受激素治疗,也可考虑免疫抑制剂治疗。如激素联合免疫抑制剂无效或合并神经系统受累,可考虑生物制剂治疗(如TNF-𝜶拮抗剂)。抗纤维化药物可能可用于存在肺纤维化的结节病患者。对于晚期肺纤维化患者可以考虑肺移植。本例患者初始甲泼尼龙治疗有效,疗程近半年停药,停药后3个月CT提示复发,考虑复发原因可能为疗程短、停药过早所致。本次复发整体病灶范围较前无显著进展,考虑患者激素能耐受且治疗有效,故再次予甲泼尼龙治疗,临床提示有效后较初次治疗更缓慢减量,目前疗程1年,拟继续甲泼尼龙小剂量8mg/d维持,延长治疗疗程,以减少复发。


参考文献 


[1] 中国肺结节病诊断和治疗专家共识[J].中华结核和呼吸杂志.2019,42(9):685-693.

[2] Baughman RP, Valeyre D, Korsten P,et al. ERS clinical practice guidelines on treatment of sarcoidosis. Eur Respir J. 2021 Dec 16;58(6):2004079.


作者:武渊 马玉燕 金文婷;审阅:胡必杰 潘珏


本文转载自订阅号“SIFIC感染视界”

原链接戳:探案丨粟粒样结节 + 纵隔淋巴结:感染,还是另有其因?


* 文章仅供医疗卫生相关从业者阅读参考


本文完

责编:Jerry

872