各位临床老师,是不是经常被一张“阳性”的病原mNGS报告搞得心头一紧,是感染吗?要用药吗?是最常见的问题。先别急!在2025年世界提高抗微生物药物认识周到来之际,我们想大声呼吁:mNGS是一柄强大的“放大镜”,但不是“开枪”的指令。 它检出的,可能是“真凶”,也可能是“过客”、“原住民”甚至“道具”。
下面这7个“神坑”案例,助您练就火眼金睛!
Case 1: 发热伴肺部阴影的免疫正常青年
临床表现: 28岁男性,高热、咳嗽、咳痰。CT示右肺中叶斑片状影。血常规白细胞升高以中性粒细胞为主。
mNGS报告(血): 人巨细胞病毒(CMV),序列数:8;EB病毒(EBV),序列数:12。
报告解读: 在免疫正常人群的血液中,低序列数的疱疹病毒(CMV/EBV)检出很常见,多为既往感染或潜伏病毒被非特异性激活,极少是原发致病原。这份报告更像一份“免疫背景调查报告”。
临床决策与结局: 未针对病毒用药。后续痰培养提示肺炎链球菌,根据药敏使用头孢曲松后患者体温迅速下降,影像学吸收。结论: 不要被低序列的“潜伏特务”迷惑,真正的敌人仍需要感染部位样本检测明确。
Case 2: 头痛待查的老年患者
临床表现: 70岁女性,因高血压脑病入院,诉轻度头痛。脑膜刺激征阴性。
mNGS报告(脑脊液): 细环病毒(TTV),序列数:321
报告解读: TTV被戏称为“吃瓜病毒”,在人群携带率极高,目前无明确致病性。脑脊液中检出TTV,它只是个热情的“围观群众”,不是病因。
临床决策与结局: 控制血压及对症支持治疗后,患者头痛缓解出院。结论: TTV是mNGS报告中著名的“烟雾弹”,临床意义需极度谨慎,与其类似的病毒还有庚型肝炎病毒。
Case 3: 慢性阻塞性肺疾病患者的铜绿假单胞菌
临床表现: 72岁慢性阻塞性肺疾病患者,近期发热咳嗽咳痰加重,痰中多次培养出铜绿假单胞菌。
mNGS报告(支气管肺泡灌洗液): 铜绿假单胞菌,序列数63390,检出耐药基因:*ampC*。
报告解读: *ampC*是铜绿假单胞菌固有的染色体基因,是其“出厂设置”,不代表获得性耐药。别被基因名字吓到,具体药敏还得看表型试验。
临床决策与结局: 药敏试验显示其对哌拉西林他唑巴坦敏感,使用后有效。结论: 熟悉常见菌的“先天禀赋”,避免对固有耐药基因的过度解读。
ampC诱导是微生物药敏平板上的“常见现象”。在上图中,阿莫西林-克拉维酸钾(AMC)、亚胺培南(IPM)和厄他培南(ETP)会诱导其与头孢曲松(CRO)和氨曲南(ATM)药敏纸片之间的细菌产生 AmpC。AmpC 水解 CRO 和 ATM。这导致在 IPM、AMC 和 ETP 药敏纸片对面的 CRO 和 ATM 药敏纸片周围的抑菌圈缩小或截断(4 条黑线)。
Case 4: 社区获得性肺炎
临床表现: 38岁男性,发热、咳嗽、胸痛。CT示左肺下叶实变。
mNGS报告(肺泡灌洗液): 金黄色葡萄球菌(序列数:96320),表皮葡萄球菌(序列数:87540),同时检出mecA基因。
报告解读: 金葡和表葡序列数相近,mecA基因不易区分归属,金葡是否为MRSA,仍然需要结合培养来判断。此外,金黄色葡萄球菌是否为真正的病原也需要结合临床影像和微生物检测综合判断。
临床决策与结局: BALF培养提示金黄色葡萄球菌,镜检可见白细胞吞噬,金黄色葡萄球菌为MSSA。按照药敏治疗后好转。
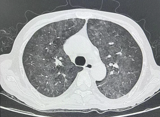
Case 5: BALF中的耶氏肺孢子菌
临床表现: 50岁男性,肾移植术后,免疫抑制状态。出现高热、呼吸困难、低氧血症。CT示双肺弥漫性磨玻璃影,G实验:>600pg/ml。
肺CT示:两肺间质纹理增多,两肺弥漫磨玻璃密度影及索条影较前增多,部分密度增高。考虑两肺感染性病变
mNGS报告(肺泡灌洗液): 耶氏肺孢子菌(序列数:454),口腔链球菌群(序列数:4530),奈瑟菌属(低序列)。
报告解读: 在免疫抑制患者中,耶氏肺孢子菌即使序列数不高也需高度重视,它往往是“低调的真凶”。而口腔菌群是BALF的“常客”。此时,报告的核心价值在于揪出了耶氏肺孢子菌。
临床决策与结局: 立即启用复方磺胺甲噁唑治疗,患者病情逐步稳定。但是肺孢子菌并非检出均是感染病原,其可为定植,例如新生儿,肺孢子菌定植常见,检出≠感染。结论: 同一微生物,在不同宿主背景下,其临床意义天差地别。宿主因素是解读报告的基石!
Case 6: 腹腔感染术后
临床表现: 60岁男性,消化道穿孔术后,持续发热,腹腔引流液浑浊。
mNGS报告(腹水): 大肠埃希菌(序列数:4329),粪肠球菌(序列数:3267),脆弱拟杆菌(序列数:231)。
报告解读: 这是一个典型的腹腔混合感染“责任团伙”报告。mNGS揭示了病原谱,且三者都是该部位的常见致病菌。此时,报告就是一份精准的“作战地图”。
临床决策与结局: 根据报告选择能覆盖G-杆菌、肠球菌和厌氧菌的碳青霉烯类药物治疗,感染得到控制。结论: 当mNGS结果与临床预期高度吻合时,它就是抗微生物治疗的“神助攻”。
Case 7: 脐血移植后的意识改变
临床表现: 32岁男性,急性白血病行脐血移植后30天,免疫抑制状态。突发记忆力严重丧失、定向力障碍、癫痫发作。MRI提示边缘性脑炎。
mNGS报告(脑脊液): 人疱疹病毒6B型(HHV-6B),序列数:8500;EB病毒(EBV),序列数:15。
报告解读: 这是经典的“真假美猴王”案例!HHV-6B是移植后边缘性脑炎的“头号嫌疑犯”,其高序列数基本可锁定为“真凶”。而低序列的EBV更可能是潜伏病毒被非特异性激活或血液污染带来的“烟雾弹”,在此场景下是“从犯”都算不上的旁观者。
临床决策与结局: 立即启用更昔洛韦进行靶向治疗。患者神经精神症状在两周后逐渐改善。结论: 在特定的免疫抑制宿主中,特定的临床症状(边缘叶脑炎)与高序列的特异性病原(HHV-6B)高度吻合时,mNGS提供了决定性证据。此时,要火眼金睛识别并忽略那些“搭车”的背景信号。
结语与行动呼吁
看完这7个“剧情”丰富的案例,是不是对手中mNGS报告的解读更有信心了?它提供的是“证据”,而我们需要做的是结合全部“案情”(患者、标本、临床)的最终“法官”。
在2025年世界提高抗微生物药物认识周,让我们共同践行:
“精准判案,审慎开枪”。
思患者: 免疫状态是“案发现场”的根本背景。
思标本: 证据来源是否干净?有无“污染”可能?
思报告: 谁是“主犯”(高序列/典型病原)?谁是“从犯”或“群众”?
记住,我们的终极武器是临床思维,抗微生物药物只是思维的延伸。 精准解读mNGS,避免滥用,从我们每一次审慎的决策开始!
作者简介
徐春晖
中国医学科学院血液病医院 协和博精实验室;病原微生物 副主任技师;中国医疗保健国际交流促进会临床微生物学分会委员;中国中西医结合学会检验医学专委会感染病实验诊断专家委员会委员;全国卫生产业企业管理协会实验医学(感染疾病)专家委员会委员;2023年获得“SIFIC优秀中青年临床微生物学者”称号;京港感染论坛公众号"真菌形色"版块版主;参编《血流感染实验诊断与临床诊治》、《医学真菌检验与图解(第二版)》;参译《临床微生物学手册》第11版。
作者:徐春晖(中国医学科学院血液病医院);审校:杨青(浙江大学医学院附属第一医院)、曾吉(武汉市第四医院)、鲁炳怀(中日友好医院)
本文转载自订阅号“京港感染论坛”
原链接戳:【抗生素耐药宣传周】阳性的病原mNGS报告≠开启抗微生物治疗
* 文章仅供医疗卫生相关从业者阅读参考
本文完
责编:Jerry
