摘要
目的总结中国伯特-霍格-杜布综合征(Birt-Hogg-Dubé syndrome,BHD)患者的临床与遗传特征。
方法回顾性分析2015年1月1日至2025年4月30日于中国医学科学院北京协和医院、中国科学技术大学附属第一医院(安徽省立医院)、广州医科大学附属第一医院(分别简称北京、合肥、广州中心)确诊的BHD患者的临床资料,总结该病的流行病学特点、临床特征、基因变异类型等,并探讨该病基因变异类型和临床表型的相关性。应用SAS 9.4软件进行统计学分析。
结果纳入168个BHD家系,共256例患者(北京76例,合肥141例,广州39例);其中201例(78.5%)先证者,55例(21.5%)家系筛查者。女性188例,男女比例1∶2.8。确诊年龄为18~81(44.1±12.6)岁,中位误诊时长12(0,72)个月。共195例(76.2%)患者存在相关家族史,其中71例(36.4%)为肺部囊状病变和气胸家族史,60例(30.8%)为肺部囊状病变家族史,53例(27.2%)为气胸家族史,11例(5.6%)为肾肿瘤家族史。254例(99.2%)患者存在肺部囊状病变,其中最常见的为大量肺部囊状病变(≥10个)174例(68.5%),其次为中量(5~9个)61例(24.0%);双肺受累248例(97.6%),单肺受累仅6例(2.4%);237例(93.3%)下叶分布为主,158例(62.2%)纵隔旁分布为主。170例(66.4%)患者发生气胸,其中单侧113例(66.5%)、双侧57例(33.5%);首次发作64例(37.6%)、复发106例(62.4%);气胸首次发生年龄为(37.4±11.6)岁,平均发生气胸2.4次。143例(55.9%)患者存在皮肤病变,其中仅22例(15.4%)接受皮肤活检,病理诊断纤维毛囊瘤9例、毛盘瘤2例。不同中心皮肤病变检出率差异有统计学意义[北京48.7%(37/76)比合肥72.3%(102/141)比广州10.3%(4/39),χ2=50.01,P<0.001]。232例患者接受肾脏影像学检查,仅10例(4.3%)发现肾肿瘤(肾细胞癌6例,肾血管平滑肌脂肪瘤4例)。本研究共发现92种基因变异,包括38个新发变异,中国BHD患者位列前三的基因变异为:第11号外显子c.1285dupC(13.5%,27/200)、第11号外显子c.1285delC(7.5%,15/200)、第14号外显子c.1579_1580insA(6.0%,12/200)。气胸发生率较高的基因变异为第9号外显子c.929_930insTT(3/3)、第1~3号外显子大片段缺失(8/9)、第6号外显子c.469_471delTTC(4/5)。皮肤病变发生率较高的基因变异为第11号外显子侧翼序列c.1177-5_1177-3delCTC(5/6)、第6号外显子c.469_471delTTC(4/5)、第9号外显子c.1015C>T(11/14)。
结论中国BHD患者的临床表现以肺部囊状病变和气胸常见,肾肿瘤发生率较低,皮肤病变检出率高于既往报道但存在地区差异,推荐有条件的单位开展多学科协作,提升诊断效能。中国BHD患者具有独特的基因变异谱,其中5种变异可能与气胸及皮肤病变表型相关,需进一步验证。
伯特-霍格-杜布综合征(Birt-Hogg-Dubé syndrome,BHD)是一种罕见的常染色体显性遗传病,于1977年首次报道[1]。该病是由位于染色体17p11上的卵泡素蛋白(folliculin,FLCN)基因变异所致,以肺部囊状病变伴或不伴自发性气胸、皮肤纤维毛囊瘤/毛盘瘤和多种类型肾肿瘤为主要临床特征[2]。目前全球已报道了600余个BHD家系,主要来自欧洲和美国[3]。我国首例BHD病例由南京大学易龙教授团队于2008年报道[4],截至2020年底,国内文献报道病例数达221例[3,5, 6]。近期一项大数据分析结果显示FLCN基因变异群体频率高达3/10 000[7],预估我国BHD患者或达42.3万例,但实际确诊病例不足0.1%。据文献报道,美国和我国BHD患者平均误诊时长分别为13.0年和9.6年[3,8]。近年来,随着中国罕见病联盟成立和各地区罕见病中心的建立,我国诊断的BHD病例日益增多,对该病的研究逐渐深入。2023年《伯特-霍格-杜布综合征诊治和管理中国专家共识》[9]指出:我国各地区BHD患者皮肤受累情况仍不明确,热点变异基因存在地区差异,亟需开展多中心研究总结我国BHD临床与遗传特征,并与国际数据进行对比。
既往国内BHD相关研究局限于单中心或个案分析,本研究为国内首个多中心回顾性研究,通过收集并分析3家分别位于我国北部、中部、南部的呼吸罕见病中心BHD患者的临床资料,总结该病的流行病学特点、临床特征、基因变异类型等,并探讨本病基因变异类型和临床表型的相关性,提高临床医生对BHD的认识和管理水平。
对象与方法
一、研究对象
回顾性分析2015年1月1日至2025年4月30日于中国医学科学院北京协和医院、中国科学技术大学附属第一医院(安徽省立医院)和广州医科大学附属第一医院(分别简称北京、合肥、广州中心)确诊的BHD患者的临床资料。纳入标准:符合2009年欧洲BHD联盟的诊断标准[10]或2023年《伯特-霍格-杜布综合征诊治和管理中国专家共识》中BHD诊断标准[9]。排除标准:年龄<18岁;临床资料不完整。本研究已由中国科学技术大学附属第一医院(安徽省立医院)医学研究伦理委员会(编号:2025KY第223号)审核批准。本研究系采集患者既往病例资料进行回顾性分析,患者个人隐私保密且不包含任何可通过信息获得受试者身份关联的资料,不存在潜在医疗风险,因此豁免患者书面知情同意的要求。
二、研究方法
按照纳入标准和排除标准选取研究对象,并通过填写患者信息登记表、查阅电子病历和门诊随访等方法收集患者资料,具体如下。
1. 基本信息:性别、年龄(岁)、确诊年龄(岁)、就诊原因、出生地、吸烟史、肺部囊状病变或气胸家族史(定义为家族三代内包括患者至少有2名家庭成员有过肺囊状病变或自发性气胸)、肾肿瘤家族史。
2. 病史及临床表现:首发症状、首发症状年龄(岁)、误诊时长(月)、确诊方式、肺部囊状病变表现(胸部CT提示肺部含气囊腔,与周围肺组织分界清楚)、气胸首发年龄(岁)、发生次数、部位(单侧/双侧)、治疗方式(保守/外科手术);肾肿瘤诊断年龄(岁)、病理类型、皮肤病变发生年龄、部位、病理类型等。
3. 影像学检查:(1)胸部CT:结合各中心的临床实践情况、前期各中心研究记录情况,本研究对肺部囊状病变的数量和分布定义如下。①数量:<5个为少量;5~9个为中量;≥10个为大量。②分布:纵向分布,分为以上叶为主、以下叶为主,隆突下缘以上为上叶,隆突下缘以下为下叶;以上叶为主,定义为上叶肺部囊状病变总体积大于下叶囊状病变总体积;以下叶为主,定义为下叶肺部囊状病变总体积大于上叶囊状病变总体积。横向分布,分为纵隔旁分布、外周胸膜下分布;纵隔旁分布,定义为距离纵隔胸膜<5 mm的囊状病变数量>5个或有最大直径>5 cm的巨大囊状改变;外周胸膜下分布,定义为距离外周胸膜<5 mm的肺部囊状病变数量>5个或有最大直径>5 cm的巨大囊状病变。(2)肾脏CT或肾脏超声或肾脏MRI。
三、统计学处理
采用SAS 9.4软件进行统计,符合正态分布的计量资料采用x¯±s表示,非正态分布的计量资料采用M(Q1,Q3)表示;计数资料采用例(%)表示。两组以及多组间比较采用Pearson Chi-Square检验或Fisher确切概率法,双侧P<0.05为差异有统计学意义。
结果
一、一般基线资料
本研究纳入确诊的BHD家系168个,共256例患者,其中北京76例、合肥141例、广州39例。患者出生地为安徽省137例,广东省16例,北京市14例,山东省11例,河北省9例,河南省、江苏省各7例,四川省、黑龙江省、内蒙古自治区各5例,浙江省、辽宁省、江西省、广西壮族自治区、天津市各4例,福建省、吉林省各3例,湖北省、新疆维吾尔自治区各2例,云南省、湖南省、青海省、重庆市各1例,余6例不详。女性患者188例,男女比例为1∶2.8,确诊时年龄为18~81(44.1±12.6)岁,误诊时长12(0,72)个月。
患者主要就诊原因:256例患者中,有自发性气胸108例(42.2%)、肺部囊状病变96例(37.5%)、家系排查49例(19.1%)、肾脏肿瘤3例(1.2%)。195例(76.2%)有相关家族史,其中36.4%为肺部囊状病变和气胸家族史,30.8%为肺部囊状病变家族史,27.2%为气胸家族史,5.6%为肾肿瘤家族史(表1)。201例(78.5%)先证者,55例(21.5%)家系筛查者,家系筛查者与先证者比例为1∶3.7。最大的家系有7例家庭成员确诊为BHD,来自安徽省。
二、临床表现
1. 肺部囊状病变:254例(99.2%)患者胸部CT观察到肺部囊状病变,其中248例(97.6%)患者病变位于双肺;大量囊状病变患者174例(68.5%),中量61例(24%),少量19例(7.5%);237例(93.3%)患者均为下叶分布为主;158例(62.2%)患者肺部囊状病变主要分布于纵隔旁,96例(37.8%)为胸膜下(表1)。综上,BHD患者胸部CT主要表现为双肺多发、大小不一囊状病变,主要分布于肺下叶和纵隔旁、胸膜下(图1)。北京、合肥、广州各中心患者肺部囊状病变发生率分别为100%(76/76)、98.6%(139/141)、100%(39/39),差异无统计学意义(χ2=1.64,P=0.440)。
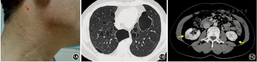
图1 伯特-霍格-杜布综合征患者临床表现 1A. 患者颈部多发、肤色小丘疹(红色箭头),病理提示纤维毛囊瘤;1B. 胸部CT表现为双肺囊状病变,薄壁,大小不等,下叶分布为主,叶间裂、纵隔旁及胸膜下多见;1C. 肾脏增强CT表现为右肾中极及左肾下极类圆形软组织影(黄色箭头),边界清晰,密度均匀,动脉期明显强化,病理提示透明细胞癌
2. 气胸:170例(66.4%)患者在病程中曾出现1次及以上自发性气胸,其中单侧和双侧气胸分别占66.5%和33.5%;首次发生和复发分别占37.6%和62.4%(表1)。首次气胸发生年龄13~68(37.4±11.6)岁。至诊断时气胸发生总次数为412次,平均发生2.4次。1例来自新疆的58岁女性患者气胸发生次数最多,为18次。气胸发作多见于30~39岁患者(图2)。46例(27.1%)气胸患者接受保守治疗(观察、吸氧、胸腔闭式引流术),124例(72.9%)患者行外科手术治疗(肺大疱切除术、胸膜固定术)。北京、合肥、广州各中心气胸发生率分别为75%(57/76)、60.3%(85/141)、69.2%(27/39),差异无统计学意义(χ2=5.00,P=0.083)。
图2 256例伯特-霍格-杜布综合征患者气胸发作和皮肤病变年龄分布图
3. 皮肤病变:143例(55.9%)患者存在皮肤病变,其中仅22例进行皮肤病变活检,病理检查证实其中9例纤维毛囊瘤,2例毛盘瘤,5例表皮样囊肿,6例其他病变(表1)。除2例皮肤病变分布于躯干,其余141例(98.6%)均分布于面颈部(图1)。存在皮肤病变患者年龄19~76(45.9±11.7)岁,多见于30~50岁患者(图2)。北京、合肥、广州各中心皮肤病变检出率分别为48.7%(37/76)、72.3%(102/141)、10.3%(4/39),差异有统计学意义(χ2=50.01,P<0.001)。
4. 肾脏肿瘤:232例患者接受了肾脏影像学检测(包括超声162例、CT 60例、MRI 10例),其中10例(4.3%)发现肾肿瘤,包括肾细胞癌6例,肾血管平滑肌脂肪瘤4例。在6例肾细胞癌患者中,有3例嫌色性肾细胞癌、2例嗜酸性肾细胞癌、1例透明细胞性肾细胞癌(表1)。诊断肾肿瘤年龄为36~72(54±12)岁。北京、合肥、广州各中心肾肿瘤发生率分别为0、7.1%(10/141)、0,差异无统计学意义(χ2=5.11,P=0.078)。
三、基因变异类型
于200例先证者中发现92种不同的基因变异(图3),其中89例(44.5%)患者为移码变异、51例(25.5%)无义变异、23例(11.5%)小片段缺失、20例(10%)剪接位点变异、9例(4.5%)大片段缺失、8例(4%)错义变异。本研究显示中国BHD患者位列前三的基因变异为第11号外显子c.1285dupC(13.5%,27/200)、第11号外显子c.1285delC(7.5%,15/200)、第14号外显子c.1579_1580insA(6.0%,12/200)。本研究共发现38种(41.3%)新发变异,根据美国医学遗传学与基因组学学会及分子病理学协会2015年指南[11],8个新变异被分类为致病性,17个为可能致病性,13个为意义未明。北京、合肥、广州各中心热点变异基因均为第11号外显子c.1285dupC,占比分别为30.6%(11/36)、23.9%(11/46)、16.7%(5/30)。
注:仅列出先证者≥3例的基因变异类型;黄色为变异最多的外显子位点
图3 256例伯特-霍格-杜布综合征患者基因变异类型图
四、基因变异类型和临床表型的相关性
本研究结果显示,第9号外显子c.929_930insTT气胸发生率最高,为3/3,其次是第1~3号外显子大片段缺失变异(8/9)、第6号外显子c.469_471del(4/5),三者之间差异无统计学意义(P=1.000)。第11号外显子侧翼序列c.1177-5_1177-3delCTC皮肤病变发生率最高,为5/6,其次是第6号外显子c.469_471delTTC(4/5)、第9号外显子c.1015C>T(11/14),三者之间差异无统计学意义(P=1.000)。值得注意的是,第6号外显子c.469_471delTTC变异患者气胸发生率(4/5)和皮肤病变发生率(4/5)均较高。本研究共发现10例肾肿瘤患者,其中2例肾血管平滑肌脂肪瘤基因变异分别为第14号外显子c.1579_1580insA、第7号外显子c.761T>C,其余2例肾血管平滑肌脂肪瘤患者为同一家系,基因变异均为第11号外显子侧翼序列c.1177-5_1177-3delCTC。4例肾细胞癌患者基因变异分别为第12号外显子c.1429C>T、第11号外显子侧翼序列c.1177-5_1177-3delCTC、第11号外显子c.1285dupC以及第13号外显子c.1522_1524delAAG,余2例肾细胞癌患者拒绝行基因检测,因满足2项临床标准(肺部多发囊状病变+肾癌)和1项遗传学标准(一级亲属确诊BHD)而确诊。
讨论
本研究是国内首个BHD多中心回顾性研究,总结了迄今为止最多的BHD患者资料,系统揭示了中国该病的临床与遗传特征。肺部囊状病变是BHD最常见的临床表现,既往研究显示中国BHD患者肺部囊状病变的发生率为94.4%,高加索人群BHD患者的肺部囊状病变发生率在84.0%~89.4%[12]。本研究中,患者肺部囊状病变发生率高达99.2%,可能与多数患者首先到呼吸专科门诊就诊有关。肺部囊状病变主要为双肺分布,薄壁,大小不等,下叶分布为主,叶间裂、纵隔旁及胸膜下多见,病变特点与既往研究一致[13]。本研究中,北京、合肥、广州各中心BHD患者肺部囊状病变的发生率差异无统计学意义。肺部囊状病变的数量、形状、大小和分布有助于与其他弥漫性囊状肺疾病如淋巴管肌瘤病、肺朗格汉斯细胞组织细胞增生症、淋巴细胞间质性肺炎相鉴别。淋巴管肌瘤病胸部CT表现为双肺弥漫性、对称性分布的圆形或卵圆形的薄壁囊状病变,可见间隔增厚或磨玻璃影;肺朗格汉斯细胞组织细胞增生症表现为上肺分布为主的多发薄壁囊状病变,大小、形态不一,可见病变融合,伴有结节;淋巴细胞间质性肺炎表现为多发薄壁囊状病变,可伴随小叶中心结节,下肺分布为主,血管常与囊壁伴行[14]。
既往研究表明BHD患者自发性气胸风险较普通人群增加约50倍,气胸是早期诊断BHD的重要线索[15]。本研究66.4%患者出现气胸发作,与日本Furuya等[16]报道的73.7%相近。本研究显示大多数BHD患者(62.4%)反复发作气胸,平均发作2.4次,与既往研究类似。北京、合肥、广州各中心BHD患者气胸发生率差异无统计学意义。肺部囊状病变的大小、数量和位置均可影响气胸发作,Yang等[17]的研究证实肺部最大囊状病变的长轴直径、短轴直径以及体积与气胸发作密切相关。近年来,有学者进一步分析了FLCN基因变异与气胸发生的相关性,一项德国队列研究显示,相较于FLCN热点变异c.1285dupC(37%),c.1300G>C(59%)和c.250-2A>G(77%)的气胸风险显著增高(P=0.020)[18]。安徽省既往研究发现1~3号外显子大片段缺失患者的气胸发生率(91%)高于点突变(58%)(P=0.047)[19]。本研究中,热点变异基因第11号外显子c.1285dupC、第11号外显子c.1285delC患者的气胸发生率分别为60.7%(17/28)、13/17,差异无统计学意义(P=0.363),但均高于上述德国队列研究中热点变异c.1285dupC患者的气胸发生率(37%)。同时,本研究发现第9号外显子c.929_930insTT、第1~3号外显子大片段缺失变异和第6号外显子c.469_471delTTC患者气胸发生率最高,分别为3/3、8/9、4/5,提示上述基因型可能与气胸表型相关,但每种变异病例数较少,需扩大样本进一步验证。
BHD患者皮肤病变主要表现为纤维毛囊瘤/毛盘瘤,可伴有软垂疣,常分布在面部、颈部、躯干上部。82%~92%的欧美患者有皮肤病变,而既往报道我国患者皮肤病变发生率在18%~68%[3]。有研究显示多达25%的BHD患者无皮肤受累,亚洲患者中超过一半在确诊时未报道皮肤病变[20]。韩国一项研究表明,韩国BHD患者皮肤病变发生率(13.6%)显著低于全球水平(47.9%)(P<0.001)[21]。本研究有143例(143/256,55.9%)患者存在皮肤病变,仅22例(15.4%)进行皮肤活检。相比之下,高加索BHD患者超过半数(57%)进行皮肤活检[22]。除种族因素外,中国患者皮肤病变发生率偏低可能与医生对BHD皮肤病变认识不足、患者皮肤活检意愿低以及部分患者顾虑检查费用等因素有关。本研究结果显示北京、合肥、广州各中心皮肤病变发生率分别为48.7%、72.3%、10.3%,差异有统计学意义(χ2=50.01,P<0.001)。合肥中心皮肤病变发生率最高,可能由于该中心皮肤病变常规由有经验的皮肤科医生和呼吸科医生共同评估,皮肤病变识别率高;而北京与广州中心则主要由呼吸医生进行评估,必要时邀请皮肤科医生会诊协助判断,可能导致皮肤病变识别率相对较低。因此,建议各罕见病中心组建包含皮肤科医生在内的多学科诊疗团队,并提高皮肤活检率,从而更好地识别BHD患者的皮肤病变。本研究发现第11号外显子侧翼序列c.1177-5_1177-3delCTC、第6号外显子c.469_471delTTC、第9号外显子c.1015C>T患者皮肤病变检出率最高,分别为5/6、4/5、11/14,提示上述基因型可能与皮肤病变表型相关,但每种变异病例数较少,需扩大样本进一步验证。
肾肿瘤是BHD最严重的并发症,BHD患者肾肿瘤发生风险较健康人群增加7倍[15],在高加索患病人群中发生率约30%。BHD患者的肾肿瘤,通常为双侧、多灶性且生长缓慢。最常见的肿瘤病理类型是混合性嗜酸-嫌色细胞瘤(50%)、嫌色细胞癌(34%)和嗜酸细胞瘤(9%)。少见类型包括透明细胞癌和乳头状肾癌[23]。韩国一项研究发现韩国BHD患者肾肿瘤(9.1%)发生率低于全球水平22.5%[21]。既往我国报道的肾肿瘤发生率也较低,其中肾细胞癌发生率7.2%,肾血管平滑肌脂肪瘤约1.4%[12]。本研究仅4.3%的患者发现肾肿瘤,尽管这一结果可能受到研究对象均来源于呼吸专科所导致的选择偏倚、随访时间短影响肾脏肿瘤检出率等干扰,但该结果与既往中国及其他亚洲国家研究数据基本一致,提示中国人群BHD患者肾肿瘤发病率低。本研究因肾肿瘤病例过少,尚不能分析FLCN基因变异与肾脏肿瘤相关性,未来希望通过延长随访时间及扩大样本量进一步探讨二者的临床关联。
BHD是FLCN基因变异所致[24],本研究最常见的变异类型为移码变异(44.5%)、无义变异(25.5%)和小片段缺失变异(11.5%)。热点基因变异为:第11号外显子c.1285dupC(13.5%)、第11号外显子c.1285delC(7.5%)和第14号外显子c.1579_1580insA(6.0%)。有研究表明第12号外显子c.1347_1353dupCCACCCT(8.2%)为日本患者热点变异之一[25],但本研究并未发现该变异。瑞典一项研究表明,瑞典患者最常见的变异为c.779G>T(57%)[26],本研究也未发现该变异。此外,本研究共发现38个新发变异,并且发现一个中国患者特有的相对常见的大片段缺失变异,即第1~3号外显子大片段缺失(2.5%)。综上,中国BHD人群的FLCN基因变异谱与其他种族存在显著差异,但国内各中心BHD患者热点基因变异无明显差异。
本研究显示中国BHD患者中位误诊时长约1年,较既往文献报道的从起病到诊断的平均时长9.6年[3]显著缩短。这一改善可能与临床医生对罕见病认知水平逐步提高、基因诊断技术的不断普及与应用、多学科协作诊疗模式的推广、患者及家属健康意识的增强等多种因素有关。我国BHD临床表现以肺部囊状病变(99.2%)和气胸(66.4%)常见,皮肤病变检出率(55.9%)及肾肿瘤发生率(4.3%)均低于高加索人群(表2)。本研究中,家系筛查者与先证者比例约1∶3.7,明显低于欧美国家的比例如德国队列的3∶1[18],提示我国患者对遗传病家系筛查认知严重不足,可能导致BHD病例高危家系成员的漏诊,影响遗传咨询的有效开展,难以阻断疾病向下一代垂直传播。中国BHD患者具有与其他种族不同的基因变异谱,国内不同中心热点基因变异无明显差别。第9号外显子c.929_930insTT、第1~3号外显子大片段缺失变异和第6号外显子c.469_471delTTC患者气胸发生率高;第11号外显子侧翼序列c.1177-5_1177-3delCTC、第6号外显子c.469_471delTTC和第9号外显子c.1015C>T皮肤病变发生率高,提示上述5个基因型可能与气胸、皮肤病变表型相关,未来需进一步验证。
本研究存在以下局限性:首先,皮肤病变及肾肿瘤检查数据缺失较多以及皮肤病变活检率极低,可能导致肾肿瘤和皮肤病变患病率被低估;其次,缺乏系统性的长期随访数据,难以评估疾病自然病程与预后;最后,本文纳入的患者为2015—2025年,与本研究进行对比的其他国家数据(表2)在时间上跨度也较大。在过去10余年间,临床医生对BHD综合征的认知水平、诊断技术(特别是基因检测技术)的发展、疾病筛查策略与强度均发生了变化,这些因素可能对不同队列中临床表现的发生率产生影响。未来希望通过多中心BHD患者注册登记研究,规范临床数据采集,重点完善皮肤病变、肾肿瘤发生发展及气胸复发情况的动态监测数据;进一步研究探索并验证基因变异类型与临床表型的相关性;加强BHD知识普及以及提高患者高危家系成员筛查率,最终构建完善的BHD诊疗及管理体系。
参考文献(略)
作者:陈先梦 谢先熠 张馨鹤 汪瑞 张妙颜 张瑞明 刘金丽 张晓新 周王继 程重生 刘雅萍 陈淮 徐凯峰 刘杰 胡晓文 田欣伦
第一作者单位:中国科学技术大学附属第一医院(安徽省立医院)呼吸与危重症医学科
通信作者:田欣伦,中国医学科学院北京协和医院呼吸与危重症医学科
引用本文: 陈先梦, 谢先熠, 张馨鹤, 等. 中国伯特-霍格-杜布综合征的临床与遗传特征分析[J]. 中华结核和呼吸杂志, 2026, 49(1): 29-37. DOI: 10.3760/cma.j.cn112147-20250714-00406.
本文转载自订阅号"中华结核和呼吸杂志"
原链接戳:【论著】中国伯特-霍格-杜布综合征的临床与遗传特征分析
* 文章仅供医疗卫生相关从业者阅读参考
本文完
责编:Jerry
