引言
反复发热1个月、盆腔巨大肿物、既往手术致命性大出血,当这三个危险信号同时出现在一位患者身上时,医生面临的不仅是如何控制感染的难题,更是一场与疾病结构博弈的挑战。“像蜂窝一样”的脉管瘤里,到底是感染灶在作祟,还是瘤内出血、血栓形成混淆了判断?为何敏感抗生素进不去瘤腔?当结构性病变与感染纠缠在一起时,普通实体瘤的抗感染逻辑还能适用吗?这不是一个常规感染的故事,而是一场罕见病+复杂感染的诊疗突围。脉管瘤的“侵袭性生长”“多房性结构”“与血管神经紧密粘连”等特性,与感染的“易播散”“抗生素渗透差”“炎症指标重叠”等特点叠加,我们如何跳出经验主义,重新审视疾病的本质?
患者2012年因盆腔肿物行手术,术中左髂外动脉破裂出血800ml,术后病理提示“混合性脉管瘤”……
卷宗1
基本资料:女性患者,32岁,因“腹痛伴发热3天”于2026年1月6日入我院。
讲述者:关晓彦
患者于2026年1月3日排便后出现下腹痛,伴发热、畏寒、寒战,体温最高达40℃,伴全身肌肉酸痛乏力。外院查血常规提示白细胞计数降低(3.78×10⁹/L)、中性粒细胞比例显著升高(94%),降钙素原(PCT)35.211ng/ml显著升高。腹部CT提示腹膜后及盆腔多发囊性占位(考虑脉管源性肿瘤)。
外院予退热等对症处理后症状有所缓解,但仍有反复发热、腹痛,遂于2026年1月6日就诊我院急诊。急诊查血培养提示革兰阳性球菌,考虑“脓毒血症”,予美罗培南抗感染等治疗后仍反复发热,以“盆腔感染、血流感染”收入感染性疾病科。
入院后,血培养回报无乳链球菌,先后经哌拉西林/他唑巴坦、头孢曲松抗感染治疗后体温高峰有所下降,但1周后再次出现反复发热,盆腔磁共振提示盆腔脉管瘤伴脓肿形成可能,累及腰大肌、左侧输尿管及左侧附件区分界不清。经多学科会诊讨论,最终调整为利奈唑胺抗感染治疗联合甲硝唑覆盖厌氧菌,并加用美罗培南覆盖革兰阴性菌后,患者体温恢复正常,症状缓解。
患者主诉“腹痛伴发热3天”。现病史:缘于入院前3天(2026-01-03)排便后出现下腹痛,疼痛位于下腹部,伴发热、畏寒、寒战,体温最高达40℃,伴全身肌肉酸痛乏力,无呼吸道、消化道及泌尿系统相关伴随症状。就诊外院,查血常规(01-03):白细胞计数3.78×10⁹/L,中性粒细胞百分比94%,血红蛋白121g/L,血小板计数236×10⁹/L。降钙素原35.211ng/ml显著升高。尿常规未见明显异常。女性生殖系统彩超提示左侧盆腔多发管状无回声(脉管瘤合并出血待排)。予布洛芬退热后,疼痛较前缓解,体温较前下降,但仍有腹痛、发热等不适,遂就诊我院本部急诊。相关检查结果见第二份卷宗:
卷宗2
急诊查血常规:白细胞计数5.8×10⁹/L,中性粒细胞百分比97.5%,血红蛋白119g/L,血小板计数218×10⁹/L;凝血功能:D-二聚体5.58mg/L;血培养提示革兰阳性球菌。
全腹部增强CT(01-06):1、“盆腔脉管瘤术后”改变;腹膜后腹主动脉、下腔静脉旁及盆腔左侧混杂密度灶,较前(2017年)增大、部分密度较前增高(CT值23-39HU,较大范围约12×7×16cm),考虑为脉管源性病变合并炎症可能,合并其他病变待除;病灶包绕左输尿管,并致左肾轻度积水;建议进一步结合MRI检查;2、脾内多发小囊肿或脉管类病变;3、腹盆腔内积液;腹膜后、双侧腹股沟区及盆腔内多发小及稍大淋巴结,为炎症反应性增生可能。急诊予美罗培南抗感染、制酸护胃、补液等治疗后仍反复发热,为进一步治疗,2026年1月6日急诊拟“盆腔感染、血流感染”收入院。自发病以来,食欲差,近2日未排大便,小便正常,精神、睡眠一般。
既往史:2012年7月曾于我院妇科行“左侧腹膜后肿物剥除术+左髂外血管破裂修补术”(病理回报:混合性脉管瘤,以淋巴管为主)。术中见左侧后腹膜一葫芦状肿物,大小约9×14×14cm,囊性,界清,内见淡红色液体及少许陈旧性血块,输尿管附着于肿物表面斜行上行,于分离囊壁过程中因囊壁与左侧髂外血管粘连致密分离时左髂外动脉破裂,遂行血管修补术。
术后2017年5月复查腹部彩超提示左侧盆腔至左下腹不均质回声,大小14×6×6cm,考虑混合性脉管瘤术后复发。2021年7月病理确诊混合性脉管瘤(免疫组化:Actin(SM)(+++),CD31(脉管+),D2-40(+++),Ki67(10%+),h-caldesmon(+++))。2021年有剖宫产手术史。否认其他慢性病史、过敏史。
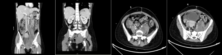
图1:2012年腹部CT平扫+增强:左中下腹部见巨大囊实性肿块影,大部分呈囊性,CT值约14一27HU,大小约11.4cmX7.1cmX14.1cm,部分囊壁见少许钙化灶。增强后囊壁及实性部分轻度强化。邻近左肾、肠管、血管部分受压、移位。病灶周围未见明显肿大淋巴结。其下方另盆腔偏左侧可见多房状类似病灶,大小约13.4cmX8.4cm×13.8cm
个人史及婚育史:生于福建福州,无疫区疫源接触史。月经规律,末次月经2026年1月3日。已婚,育1子。父亲有糖尿病史,否认其他家族遗传病史。
入院查体(2026-01-06):体温36.8℃,脉搏78次/分,呼吸20次/分,血压123/67mmHg,神志清楚,心肺查体未见明显异常。腹平坦,脐部可见一长约12cm纵行陈旧手术疤痕,腹软,左下腹轻压痛、反跳痛明显,其余全腹无压痛、反跳痛,未触及包块,肝脾肋下未触及,肝肾无叩击痛,肠鸣音正常。双下肢无浮肿。入院后相关检查情况见第三份卷宗:
卷宗3
三大常规(入院第1天):血常规:白细胞计数11.4×10⁹/L,中性粒细胞百分比91.9%,血红蛋白93g/L,血小板计数148×10⁹/L。尿常规、粪常规未见明显异常。
炎症指标:降钙素原4.3ng/mL,C反应蛋白263.00mg/L。
生化:白蛋白30g/L(低蛋白血症),钾3.11mmol/L(低钾血症),肝肾功能基本正常,甘油三酯、总胆固醇未见异常。
凝血功能:D-二聚体4.70mg/L,凝血酶原时间、活化部分凝血活酶时间、纤维蛋白原均正常。
病原学:急诊血培养(01-06)鉴定回报:无乳链球菌(对青霉素、氨苄西林、万古霉素、利奈唑胺、奎奴普丁、四环素均敏感,对左氧氟沙星、克林霉素耐药)。入院后复查两次血培养均阴性。呼吸道病原体PCR检测(甲型/乙型流感、呼吸道合胞病毒等)均阴性。
肿瘤标志物:CEA、AFP、CA125、CA19-9均在正常范围。
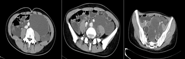
影像学检查:心脏彩超(01-07):心内结构和血流未见明显异常,左室收缩及舒张功能未见明显异常。泌尿系彩超(01-08):左肾轻度积水。胸部CT平扫(01-15):右肺上叶后段磨玻璃结节,双肺少许慢性炎症。腹部CT平扫+增强(01-15):1、“盆腔脉管瘤术后”改变,盆腔左缘团块灶(9.5×7.5cm),考虑为脉管源性病变合并炎症可能,部分脓肿形成可能,其他病变待除;2、盆腔少量积液;左侧腹股沟区数个轻度肿大淋巴结,为炎症反应性增生可能;3、双侧附件区囊性灶,生理性卵泡可能。病灶累及腰大肌、左侧输尿管及左侧附件区分界不清。
图2:结合2012.06.22日片“盆腔脉管瘤术后"改变。腹膜后腹主动脉及下腔静脉旁至盆腔左侧壁可见不规则密度增浓影,密度不均、其内部分密度稍高并,CT值约23-39HU,并可见少许小钙化,部分边缘稍模糊,较大范围约为12.7cm×7.5cm×16.4cm,增强扫描部分轻微强化,部分强化不明显,邻近子宫、肠管、膀胱、血管部分向右移位,病灶与左侧腰大肌、左侧输尿管及左侧附件区分界欠清,相应部分输尿管变窄、部分显示不清,左肾孟盏轻度增宽;病灶周围及左侧腹股沟区见多发小及轻度增大淋巴结影,较大者位于右侧腹膜后(SE2IM55),最大径约1.5cm
初步诊断:1.盆腔感染;2.脓毒症(无乳链球菌血流感染);3.腹腔脉管瘤术后复发;4.左肾轻度积水;5.轻度贫血;6.低蛋白血症;7.低钾血症。
初步治疗:入院后予哌拉西林钠他唑巴坦钠4.5g q8h抗感染(01-06至01-16),并辅以补液、补钾、营养支持等对症治疗。治疗期间患者腹痛症状缓解,体温高峰较前下降。
看似明确的“血流感染+盆腔感染”,却在治疗中陷入僵局……MDT讨论结果如何?如何规避风险?
讲述者:张声磊
2017年肿物复发,体积远超原发灶;2023年底再次出现发热,CT示盆腔肿物较前增大,内见混杂密度影,炎症指标CRP飙升至100mg/L以上,血培养检出无乳链球菌。看似明确的“血流感染+盆腔感染”,却在治疗中陷入僵局:青霉素、头孢曲松等敏感抗生素用上了,体温却反复波动,CRP降了又升;想穿刺引流明确感染灶,CT却提示瘤内有高密度影(疑似出血),不敢贸然操作;想手术切除,既往大出血史像一把“达摩克利斯之剑”。
2026年1月12日,也就是患者入院第6天,复查血常规示白细胞计数12.6×10⁹/L,中性粒细胞百分比83.7%,血红蛋白112g/L,血小板计数549×10⁹/L。降钙素原0.39ng/mL,C反应蛋白18.50mg/L,炎症指标显著下降。但D-二聚体升高至8.29mg/L。患者体温仍波动于37.5-38.0℃,伴轻度左下腹隐痛。
2026年1月16日,入院第10天,复查血常规:白细胞计数11.1×10⁹/L,中性粒细胞百分比83.1%,血红蛋白97g/L,血小板计数779×10⁹/L(反应性升高)。C反应蛋白108.00mg/L,降钙素原0.11ng/mL。炎症指标较前有所反弹,患者体温再次出现波动,最高达38.4℃,伴畏冷。考虑哌拉西林他唑巴坦疗程已足但感染控制欠理想,调整为头孢曲松2g q12h抗感染。同日盆腔磁共振提示盆腔脉管瘤伴脓肿形成可能,病灶范围较大(9.5×7.5cm),累及腰大肌、左侧输尿管及左侧附件区分界不清。
2026年1月18日,入院第12天,拟行CT引导下穿刺引流,术中发现病灶内高密度影,考虑瘤内出血可能,未行穿刺操作。患者仍有反复间断发热,体温波动于37.2-38.4℃,伴畏冷,左下腹闷痛明显。此时面临关键问题:抗生素治疗效果不佳,是否需要外科干预?如何干预?
科室疑难病例讨论(2026-01-19)结果如下:
林棱主任医师:该病例的核心困境在于感染灶的清除与手术风险的权衡。患者青年女性,无乳链球菌血流感染诊断明确,经哌拉西林他唑巴坦治疗后PCT从35ng/ml降至0.11ng/mL,说明菌血症已初步控制。但CRP反升至108mg/L,体温再次升高,结合影像学的“脉管源性病变合并炎症、部分脓肿形成”描述,高度提示瘤内或瘤旁脓肿形成。无乳链球菌虽对青霉素敏感,但脉管瘤内血供差、抗生素渗透受限,单纯药物难以彻底清除感染灶。问题在于手术的可行性——患者既往术中曾发生髂外动脉破裂,出血量达800ml,当前感染状态下组织充血水肿、粘连严重,再次手术极易损伤血管及输尿管。我认为目前应尝试升级抗生素,选用组织穿透力更强的药物,而非急于手术。
李鸿茹主任医师:从感染科角度,我们需要重新审视病原体与感染灶的关系。患者血流感染病原菌为无乳链球菌(B族链球菌),这是一种妇科产道常见定植菌,也可引起产后子宫内膜炎、伤口感染。本例患者末次月经为入院当日,无近期妊娠分娩史,但脉管瘤术后复发灶与泌尿生殖系统解剖关系密切,推测感染途径可能为:肠道或泌尿生殖道定植菌→脉管瘤内血肿或淋巴液继发感染→血流播散。值得注意的是,患者对克林霉素耐药,虽对青霉素敏感,但脉管瘤内可能形成厌氧微环境,常规抗链球菌治疗难以奏效。我同意林主任意见,建议升级抗生素为利奈唑胺,该药对革兰阳性球菌包括耐药菌有良好活性,且组织穿透力强,特别适用于软组织感染。同时应覆盖厌氧菌,可加用甲硝唑。
放射科苏茂婵主任:从影像学演变看,2017年复发时病灶14×6×6cm,本次入院CT示12×7×16cm,MRI示9.5×7.5cm,病灶大小相对稳定但密度/信号改变提示合并炎症或出血。CT值23-39HU的混杂密度灶符合脉管瘤合并亚急性出血或脓性内容物特点。增强扫描显示囊状强化,提示病灶内存在血管成分,穿刺引流风险在于:1.难以避开血管导致大出血;2.脉管瘤为多囊性结构,单纯穿刺可能无法充分引流;3.引流后可能复发。鉴于01-18尝试穿刺时发现高密度影而中止,建议复查增强CT评估血供情况,若必须引流,可考虑超声引导下避开血管入路,或置入引流管持续引流。
妇科林飞峰副主任:患者盆腔内脉管瘤诊断明确,2012年术后病理证实为混合性脉管瘤(以淋巴管为主),Ki67(10%+)提示增殖活性不高,恶变几率小。但病灶与左侧输尿管、髂血管关系密切,2012年术中已发生髂外动脉破裂,说明该区域解剖结构因既往手术及脉管瘤浸润而严重紊乱。当前感染状态下,盆腔组织充血、粘连,手术分离极易再次损伤血管及输尿管,术中出血风险极高。从妇科角度,暂不建议行手术切除,建议继续加强抗感染及支持治疗。若感染控制后病灶仍持续增大或压迫症状明显,可考虑择期手术,但需充分备血、术前血管评估,并做好输尿管损伤修复准备。
胃肠外科刘进生主任:同意妇科主任意见。患者既往手术史提示该区域血管解剖复杂,当前感染尚未完全控制,组织炎症水肿明显,术中分离极易损伤血管及输尿管。从外科处理原则看,感染急性期手术风险大于获益。若必须干预,可尝试在CT或超声引导下进行穿刺引流,避免开腹手术。但需警惕脉管瘤为多房性结构,单纯穿刺引流效果可能有限,且存在出血、感染播散风险。建议优先优化抗感染方案,若药物治疗无效、脓肿张力高且位置表浅,再考虑介入引流。
王凌主任药师:该患者诊断考虑:1.无乳链球菌血流感染;2.盆腔感染(脉管瘤术区来源);3.脉管瘤旁脓肿可能。先后使用哌拉西林他唑巴坦、头孢曲松抗感染,PCT虽下降但CRP反弹、体温反复,提示疗效欠佳。无乳链球菌对青霉素敏感,但脉管瘤内病灶抗生素渗透受限,且可能存在厌氧菌混合感染。建议:(1)调整为组织穿透性更好的利奈唑胺600mg q12h,该药在软组织中浓度高,对生物膜内细菌可能有更好效果;(2)腹腔脓肿常见厌氧菌、肠杆菌科细菌,加用甲硝唑覆盖厌氧菌,并考虑是否需要覆盖革兰阴性菌;(3)密切监测炎症指标、体温、影像学变化,根据疗效动态调整。
许能銮主任医师:综合各位主任意见,该病例的诊治难点在于:第一,脉管瘤作为脉管源性良性肿瘤,其病理特点是淋巴管与静脉混合、壁薄、易出血,且与周围组织粘连紧密,手术风险极高;第二,感染灶位于脉管瘤内或周围,形成相对封闭的感染腔隙,单纯抗生素难以彻底渗透清除;第三,患者既往大出血史使外科干预成为"禁区"。当前策略应为:1.抗生素升级:根据药敏选用利奈唑胺替代头孢曲松,联合甲硝唑覆盖厌氧菌,必要时加用碳青霉烯类覆盖革兰阴性菌;2.严密监测:若升级抗生素后48-72小时体温仍无下降趋势,再考虑在影像引导下尝试穿刺引流;3.支持治疗:纠正贫血、低蛋白血症,改善全身状况。暂不推荐手术探查。
如何在影像重叠中识别真相?在抗生素渗透障碍中选择药物?在手术禁忌下用药物攻克感染?……多学科协作,在风险与收益间找平衡
讲述者:赖博文
再次对该病例进行复盘,有一点启发和思考是,这更像一次对“结构性感染”诊疗思维的刷新。当我们遇到“治不好的感染”时,或许应该先问一句:“这个病灶和普通肿瘤不一样吗?”且看后续治疗经过:
2026年1月19日,患者入院第13天,根据MDT讨论及药学部会诊意见,调整为利奈唑胺600mg q12h),联合甲硝唑1g首剂,后续0.5g q8h抗厌氧菌治疗。
2026年1月21日,入院第15天,为避免干扰疗效判断,林棱主任建议暂停甲硝唑,予停用。患者仍有持续低热,体温波动于36.2-37.7℃,但无寒战、腹痛加重等表现。
2026年1月24日,入院第18天,复查血常规:白细胞计数13.9×10⁹/L,中性粒细胞百分比88.7%,血红蛋白93g/L,血小板计数680×10⁹/L。降钙素原0.03ng/mL,C反应蛋白92.20mg/L,D-二聚体5.26mg/L。炎症指标进一步下降,但仍存在反应性血小板增多、轻度贫血。
2026年1月26日,入院第20天,患者仍有低热及左下腹闷痛,请妇科会诊行妇科检查排除妇科相关病变,考虑不排除革兰阴性菌及厌氧菌感染,加用美罗培南1g q8h覆盖革兰阴性菌及厌氧菌。复查血常规:白细胞计数10.2×10⁹/L,中性粒细胞百分比83.4%,血红蛋白88g/L,血小板计数679×10⁹/L。降钙素原0.06ng/mL,C反应蛋白92.50mg/L,D-二聚体7.89mg/L。
2026年1月27日,入院第21天,患者体温恢复正常,无再发热,左下腹闷痛症状消失,一般情况明显改善。
最终诊断
1.盆腔脉管瘤(混合性,以淋巴管为主)术后复发合并感染;2.脓毒症(无乳链球菌血流感染);3.盆腔脓肿(脉管瘤旁脓肿形成可能);4.左肾轻度积水(脉管瘤压迫输尿管);5.轻度贫血;6.低蛋白血症;7.低钾血症。
脉管瘤疾病背景
脉管瘤(Vascular Tumor)是一类起源于脉管系统的良性肿瘤,传统分类包括血管瘤和脉管畸形两大类。根据2018年国际脉管性疾病研究学会(ISSVA)分类及2024年版《血管瘤与脉管畸形诊疗指南》,脉管畸形可分为单纯性(毛细血管畸形、淋巴管畸形、静脉畸形、动静脉畸形)、混合性及合并其他病变等类型。本例患者病理证实的混合性脉管瘤(以淋巴管为主)属于低流量脉管畸形中的特殊类型,具有独特的临床病理特征。
一、流行病学与病理特征。混合性脉管瘤临床罕见,确切发病率尚无大样本统计,但远低于单纯血管瘤或单一脉管畸形。其病理特点为淋巴管与静脉成分混合存在,组织学上可见畸形血管、淋巴管相互混杂形成多发囊性或囊实性病灶,内含血液、淋巴液成分。免疫组化特征性表达D2-40(淋巴管内皮标志物)、CD31(血管内皮标志物)及平滑肌肌动蛋白(Actin/SM)。本例患者Ki67(10%+)提示增殖活性较低,符合良性病变特征,但病灶具有沿疏松结缔组织间隙浸润性生长的特点,与周围血管、神经、输尿管等结构粘连紧密,这也是2012年手术中发生髂外动脉破裂的病理基础。
二、脉管瘤的临床行为特点。与普通实体瘤不同,脉管瘤具有以下独特生物学行为:1. 高复发倾向:脉管瘤虽为良性病变,但呈缓慢持续性生长,不会自行消退。本例患者2012年术后5年(2017年)即出现复发,复发灶体积甚至超过原发灶(14×6×6cm vs 9×14×14cm),体现了脉管瘤“切除不净即复发”的特点。这与脉管瘤的浸润性生长方式相关——病灶沿组织间隙蔓延,无明显包膜,手术难以彻底切除。
2. 血管网络发达,出血风险极高:混合性脉管瘤内含丰富血管腔窦,管壁薄、缺乏正常血管的支撑结构,且与周围大血管(如髂外动脉、髂内静脉)关系密切。本例2012年术中分离时左髂外动脉破裂、出血量达800ml,充分说明该区域血管解剖的复杂性和手术的高风险性。2024版指南明确指出,脉管畸形“与正常静脉系统广泛交通”,术中极易损伤。
3. 感染易感性及播散特性:脉管瘤内淋巴液淤滞、血液缓慢流动,形成相对封闭的腔隙环境。一旦细菌侵入(如本例无乳链球菌经血流或邻近组织播散),极易在瘤内繁殖形成脓肿。由于脉管瘤的多房性结构(巨囊型与微囊型混合),感染可沿脉管网络迅速播散,且抗生素难以在局部达到有效浓度。这与实体肿瘤的感染截然不同——实体瘤感染多局限于坏死区域,而脉管瘤感染可沿脉管系统广泛蔓延,形成“蜂窝状”化脓性炎症。
4. 治疗反应的特殊性:脉管瘤对常规抗感染治疗反应差。本例中,无乳链球菌虽对青霉素、头孢曲松敏感,但哌拉西林他唑巴坦、头孢曲松治疗后PCT下降而CRP反弹、体温反复,提示感染灶未彻底清除。这与脉管瘤的特殊结构相关:多囊性病灶、血流/淋巴流缓慢、抗生素渗透受限,且易形成厌氧微环境。2024版指南指出,淋巴管畸形“在遭受创伤、感染及发生囊内出血或不适当治疗后,常突然增大”,进一步说明感染对脉管瘤的激惹作用。
三、脉管瘤合并感染的诊断难点。脉管瘤合并感染的诊断具有挑战性:影像学重叠:CT/MRI上脉管瘤的混杂密度/信号(本例CT值23-39HU)与脓肿、出血难以区分,增强扫描的囊状强化既可代表脉管瘤的血管成分,也可提示脓肿壁强化。
病原学获取困难:脉管瘤为多房性结构,穿刺引流常只能获得部分囊腔内容物,且易误穿血管导致大出血(本例01-18穿刺因发现高密度影而中止)。
炎症指标解读复杂:脉管瘤本身可因内皮炎症导致CRP、D-二聚体升高(本例D-二聚体持续4-7mg/L),与感染指标重叠,难以判断是瘤内出血、血栓形成还是活动性感染。
四、治疗策略的特殊考量。脉管瘤合并感染的治疗需遵循“个体化、多学科、分阶段”原则:
1. 手术并非首选:2024版指南明确指出,脉管畸形“手术治疗是过去最主要的治疗手段,现在认为绝大多数是弥漫且与正常组织界限不清的病灶,难以手术切除,并对局部组织的功能和形态影响较大,创伤大、出血控制难、复发快”。本例因既往大出血史及当前感染状态,手术风险极高,MDT一致建议暂缓手术。
2. 抗感染治疗需强化:鉴于脉管瘤内抗生素渗透差,应选用组织穿透力强、对生物膜有效的药物。利奈唑胺对革兰阳性球菌包括耐药菌有良好活性,且在骨、软组织中浓度高,适用于本例。同时需充分覆盖厌氧菌(甲硝唑)及革兰阴性菌(美罗培南),形成“三联覆盖”。
3. 介入治疗需谨慎:脉管瘤的硬化治疗(无水乙醇、博来霉素、泡沫硬化剂)是根治性手段,但急性感染期禁忌。穿刺引流虽可暂时缓解脓肿张力,但脉管瘤的多房性使单点引流效果有限,且出血风险高。建议感染控制后再评估介入或手术可行性。
4. 靶向药物的应用前景:对于复杂脉管畸形,2024版指南推荐西罗莫司(mTOR抑制剂)或Alpelisib(PI3K抑制剂)作为系统治疗。本例虽以感染为主要矛盾,但感染控制后若病灶持续进展,可考虑靶向药物治疗。
经验总结
本例患者核心问题在于盆腔脉管瘤合并复杂感染的抗感染治疗与外科干预决策,具有以下特点:1.基础疾病特殊:脉管瘤为脉管源性良性肿瘤,但具有侵袭性生长、易复发、与血管神经粘连紧密的特点,手术难度极大;2.感染部位特殊:感染灶位于脉管瘤内或周围,形成类似“脓肿”的封闭腔隙,常规抗生素渗透困难;3.血流感染与局部感染并存:无乳链球菌血流感染诊断明确,但菌血症控制后局部感染灶仍持续存在;4.手术高风险:既往术中髂外动脉破裂史,使再次手术成为相对禁忌。
诊断与治疗难点:1.脉管瘤感染的影像识别:MRI提示“合并炎症、部分脓肿形成”,但CT引导下穿刺因发现高密度影(出血)而中止,未能获得病原学证据区分是单纯脉管瘤出血还是合并脓肿;2.抗生素选择困境:无乳链球菌对青霉素敏感,但脉管瘤内病灶渗透受限,需选用组织穿透力更强的药物(利奈唑胺);3.厌氧菌覆盖的必要性:脉管瘤内淋巴液淤滞、出血形成厌氧环境,需联合甲硝唑或碳青霉烯类;4.外科干预的时机与方式:手术风险极高,介入引流因病灶多房性及出血风险难以实施,最终依靠优化抗感染方案获得成功。
经验教训:1.脉管瘤合并感染的治疗需“内外兼修”:既要选择组织穿透力强的抗生素,又要充分覆盖厌氧菌,必要时联合革兰阴性菌覆盖;2.影像学评估至关重要:增强CT/MRI可评估病灶血供及内容物性质,指导穿刺或手术决策,本例因发现瘤内出血而避免了一次有创操作;3.MDT讨论的价值:放射科、妇科、胃肠外科、药学部及感染科的多角度分析,避免了盲目手术带来的大出血风险;4.治疗耐心的重要性:脉管瘤内感染灶清除缓慢,体温波动、炎症指标反弹是常见现象,需避免频繁更换方案,给予足够疗程。
主任点评
本病例充分体现了少见疾病(混合性脉管瘤)合并复杂感染的诊疗挑战。混合性脉管瘤临床罕见,术后复发合并感染更为少见,其诊治涉及血管外科、妇科、普外科、影像科及感染科等多学科知识。
本例的临床启示在于:第一,对于结构性病变(尤其是脉管瘤)合并感染,需充分认识其与普通实体瘤的本质区别。脉管瘤的脉管网络发达、多房性结构、与周围血管神经粘连紧密,使其感染易播散且难以控制,抗生素渗透受限,单纯药物治疗往往难以根治。第二,外科干预需极度谨慎。既往手术史、病灶与血管的关系是风险评估的关键,本例因及时发现瘤内出血而避免了一次危险的穿刺操作。2024版《血管瘤与脉管畸形诊疗指南》明确指出,脉管畸形“手术不是首选治疗方法”,本例的保守治疗策略符合指南精神。第三,无乳链球菌作为妇科常见定植菌,引起非孕产妇女盆腔感染并血流播散虽少见,但提示临床需注意妇科来源的感染可能。本例末次月经为入院当日,需警惕经期逆行感染或肠道-泌尿生殖道定植菌移位。第四,抗感染治疗需“内外兼修”:既要选择组织穿透力强的药物(利奈唑胺),又要充分覆盖厌氧菌,必要时联合革兰阴性菌覆盖。本例最终通过利奈唑胺+美罗培南的联合方案获得成功,体现了针对复杂感染“重拳出击”的策略。
虽然本例最终通过优化抗感染方案获得临床缓解,但脉管瘤的根本问题(复发、压迫、再次感染风险)仍未解决。建议患者感染控制后至血管外科或脉管畸形专科随访,评估择期硬化治疗(如无水乙醇、博来霉素注射)或靶向药物治疗(西罗莫司、Alpelisib)的可行性,并警惕远期并发症(如反复感染、输尿管梗阻致肾功能损害)。本病例对类似结构性病变合并感染的诊疗具有重要参考价值,尤其强调了脉管瘤这一特殊疾病背景下感染控制的复杂性和多学科协作的重要性。
专家介绍
许能銮
福建省立医院感染性疾病科主任,主任医师、福州大学副教授,福建医科大学副教授,硕士生导师,中国医师协会呼吸医师分会危重症医学工作委员会委员,中华医学会中国慢阻肺联盟委员,中国医师协会睡眠医学分会委员,中国老年医学学会呼吸病学分会委员,中国研究型医院学会呼吸病学专业委员会委员,福建省医师协会感染科医师分会副会长,福建省海峡医药卫生交流协会呼吸病学分会副会长,福建省医师协会呼吸内科医师分会常委福建省医学会感染病学分会第八届常务委员,福建省医学会呼吸病学分会委员。擅长诊疗:呼吸系统疑难危重感染及全身各系统感染、恶性肿瘤治疗后感染、自然疫源性疾病、不明原因发热、慢阻肺及支气管哮喘、肺部阴影、慢性咳嗽及肺栓塞、睡眠呼吸暂停综合征等。
李鸿茹
医学博士,教授,英国卡迪夫大学博士后,博导,福建省高层次人才(C类),现任福州大学附属省立医院感染性疾病科主任医师、科副主任。任福建省感染性疾病质控中心主任委员,英国感染与免疫学会(BSI)会员,英国胸科学会(BTS)会员,中华医学会感染病学分会诊断技术学组委员,中华医学会细菌感染与耐药防治分会青委,中国健康促进基金会呼吸病学专家委员会常务委员,福建省感染医师分会委员,中国肺癌防治联盟免疫治疗委员,中国医药教育协会慢性气道疾病专委会青年委员,福建省癌症康复委员会肺部肿瘤专委会副主任委员,福建省抗癌协会肺癌专委会青年委员,福建省精准医学科技协会理事,国家临床医学研究中心-中国呼吸肿瘤协作福建分中心常务委员。获“全国卫生健康系统新冠肺炎疫情防控工作先进个人”表彰。医师报首届“中青年呼吸学者精英榜(临床创新)”获得者,福建医科大学“优秀教师”。医治专长:呼吸感染、肺部阴影、肺部肿瘤、肺部罕见病、疑难危重症感染、免疫缺陷合并感染、耐药菌感染。
关晓彦
医学硕士,现任福州大学附属省立医院感染性疾病科主治医师。任福建省免疫学会感染病专业委员会委员。医疗专长:感染性疾病,不明原因发热、血流感染、脓毒症、疑难危重症感染等诊治。
张声磊
福州大学附属省立医院感染性疾病科医师,医学硕士。
赖博文
福州大学附属省立医院感染性疾病科医师,医学硕士。
* 文章仅供医疗卫生相关从业者阅读参考
本文完
采写编辑:冬雪凝;责编:Jerry
