摘要
原发性轻链型淀粉样变是一种罕见病。肺间质病变和胸腔积液为淀粉样变中少见的肺部表现。本文报道1例以非特异性气短、水肿症状起病,影像呈以弥漫小叶间隔增厚为特征的肺间质病变,伴顽固性胸腔积液的患者,临床诊治经过曲折,曾被误诊为结节病、结核感染,最终以合并持续蛋白尿等多系统受累为切入点,筛查发现κ型单克隆球蛋白,经组织活检确诊为原发性轻链型淀粉样变。本文旨在强化临床医师对少见表现型淀粉样变的认识、拓宽鉴别诊断思路,当患者出现上述表现并难以用常见疾病解释时,需警惕淀粉样变可能。
患者女,66岁,因“活动后气短、下肢水肿1年,加重1个月余”于2024年11月25日入院。2023年12月起患者出现活动后气短、下肢水肿,逐渐加重,日常卧床。多次于外院就诊,CT示支气管血管束增粗、小叶间隔增厚、网格及磨玻璃影,伴纵隔淋巴结肿大、胸膜增厚及胸腔积液;纵隔淋巴结活检病理:多量吞噬炭末的异物巨细胞;外院考虑“间质性肺炎伴感染”,间断予抗感染治疗无效。2024年6月14日患者就诊于我院门诊,查血管紧张素转化酶(ACE)77 U/L(参考范围:12~68 U/L),拟诊为结节病,予口服泼尼松40 mg、1次/d,共2周,此后每周减2.5 mg;吗替麦考酚酯0.5 g、2次/d。患者气短仍加重,并新发右乳肿大。2024年9月于我院住院,气管镜下见多发支气管黏膜充血、散在炭末沉积;再次行纵隔淋巴结活检,病理可见少许巨核细胞;支气管肺泡灌洗液(BALF)细胞分类:巨噬细胞百分比99%,中性粒细胞百分比0.5%,淋巴细胞百分比0.5%;BALF T细胞亚群:CD4+/CD8+T细胞比值0.8。完善胸腔积液检查:黄色浑浊,白细胞总数147×106/L,单核细胞百分比93.2%,乳酸脱氢酶150 U/L,腺苷酸脱氨酶10.6 U/L,甘油三酯0.1 mmol/L。胸腔积液及血结核感染T细胞检测(T-SPOT.TB)阳性。胸腔积液、BALF细胞学检查未见瘤细胞。乳腺超声及钼靶:右乳水肿改变;CT表现同前(图1,图2)。结合上述检查,考虑结节病诊断不成立,于2024年9月末停用泼尼松及吗替麦考酚酯。由于病因未明,不除外结核感染,予异烟肼、利福平、乙胺丁醇诊断性抗结核,引流胸腔积液后出院。出院后1个月,患者气短、右乳肿大、胸腔积液仍加重,自行停用抗结核药物,于2024年11月25日再次入院。患者有双侧腕管综合征病史3年,否认疫区及牧区旅居史、家族肿瘤病史。
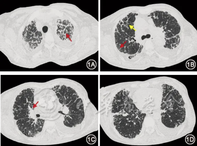
图1 治疗前(2024年9月10日)胸部CT:双肺弥漫网格(图1B红箭头)、磨玻璃影(图1B黄箭头),小叶间隔增厚(图1A箭头),支气管血管束增粗(图1C箭头)
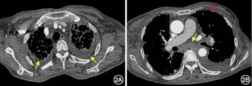
图2 治疗前(2024年9月10日)胸部CT:双侧胸腔积液(图2A箭头)、胸膜增厚(图2B红箭头),纵隔多发肿大淋巴结(图2B黄箭头)
体格检查:脉率104次/min,呼吸21次/min,血压127/73 mmHg(1 mmHg=0.133 kPa),血氧饱和度98%(鼻导管吸氧2 L/min)。全身皮肤未见瘀斑。浅表淋巴结未触及肿大。舌体稍胖大。右乳肿大,质硬。双下肺叩诊呈浊音、呼吸音低。肝、脾肋下未触及。双下肢对称性可凹性水肿。
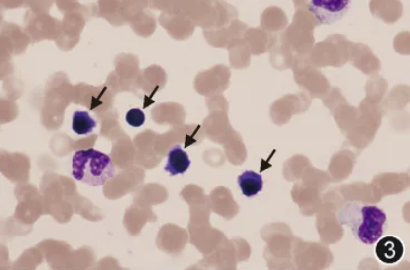
患者影像学表现和全身水肿提示多部位淋巴引流不畅导致的淋巴水肿。因此入院后完善PET/CT,未发现实体肿瘤证据。筛查SPET/CT示右乳、右侧腋下及肌间多发放射性摄取增高,不除外淋巴管回流受阻所致侧支循环。因尿蛋白持续阳性(0.3 g/L),完善24 h尿蛋白2.16 g;尿蛋白电泳及定量:单克隆球蛋白82.8%;血、尿免疫固定电泳:轻链κ型单克隆球蛋白;血游离轻链:κ型3 640 mg/L(参考值范围:3.3~19.6 mg/L),κ/λ 472.727(参考值范围0.26~1.65)。结合患者多部位受累表现,考虑淀粉样变可能。后续完善骨髓涂片(图3):浆细胞占比约18%,部分细胞胞核畸形,胞体较小;骨髓活检病理:浆细胞占比约30%,结合免疫组化,符合单克隆浆细胞疾病。腹壁、舌体盲检病理:κ(+),λ(±),刚果红染色(+),偏振光下见苹果绿双折光(图4);复核我院纵隔淋巴结活检病理:渗出物中可见粉染物,刚果红(±)。系统筛查:超声心动图:左室射血分数65%,轻度主动脉瓣关闭不全,左室舒张功能减低;心脏核磁:基底段室间隔、房间隔及左右心房增厚,全心可见多发延迟强化;肌电图:双侧正中神经、胫神经损害。结合上述表现及检查,考虑系统性轻链型淀粉样变诊断明确,存在肺、纵隔淋巴结、胸膜、心脏、舌体及周围神经受累,右乳肿大考虑与淋巴回流受阻相关。
图3 骨髓细胞形态学检查:骨髓浆细胞比例明显增高
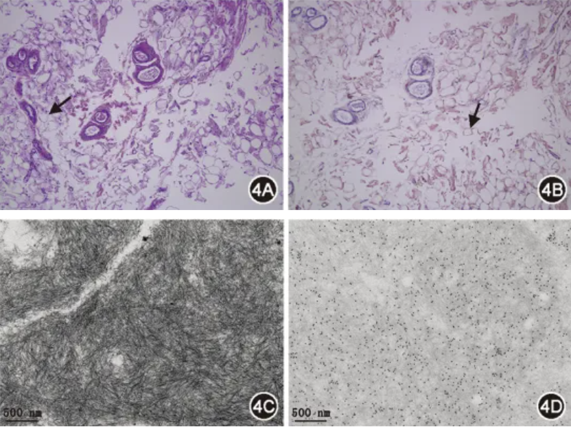
图4 腹壁脂肪活检病理:苏木精-伊红染色:淡红染无结构物质环绕脂肪细胞(图4A);刚果红染色:该物质呈橘红色(图4B);电镜:淀粉样物质呈纤维丝状,排列紊乱、僵硬,无分支(图4C);免疫电镜κ染色:κ(+++)(图4D)
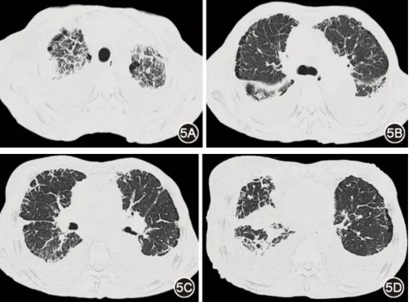
后续患者于血液科治疗,目前已完成8程Dara-VenD治疗:达雷妥尤单抗1 800 mg/次、1次/周;维奈克拉200 mg/次(因白细胞低减量)、1次/d;地塞米松20 mg/次、1次/周。气短好转,右乳及下肢水肿部分减轻,可耐受家务活动,监测指氧饱和度94%左右。治疗9个月后复查血游离轻链κ下降至9.9 mg/L,血液学完全缓解,心脏病情稳定,CT示双肺间质病变、胸腔积液轻度加重(图5),考虑和已沉积的淀粉样物质清除困难有关,但病情进展速度减缓。
图5 治疗后(2025年10月23日)胸部CT:双肺间质病变、胸腔积液较治疗前轻度加重
讨论
本文报道1例以肺间质病变合并顽固性胸腔积液起病,最终确诊为原发性轻链型淀粉样变的罕见病例。患者以气短、水肿起病,胸部影像呈沿淋巴道分布的肺间质病变伴胸腔积液,临床经过曲折,最终以肺间质病变、胸腔积液及持续蛋白尿等多系统受累为切入点,筛查发现κ型游离轻链,组织活检刚果红染色阳性,免疫荧光存在κ轻链限制性表现,从而明确诊断。
本例患者影像表现为支气管血管束增粗、小叶间隔增厚、磨玻璃及网格影,呈“淋巴道分布模式”,伴纵隔淋巴结肿大、胸膜增厚及胸腔积液。在接诊“淋巴道分布模式”的肺间质病变患者时,应鉴别癌性淋巴管炎、结核感染、结节病等疾病。患者虽为老年女性,有右乳肿大,但病情发展相对缓慢,影像提示淋巴水肿,故除外癌性淋巴管炎。患者T-SPOT.TB阳性,纵隔淋巴结病理见炭末沉积,伴多核巨细胞,在难以明确诊断时,接受诊断性抗结核治疗,然而效差,除外结核感染。患者影像也符合结节病表现,且血ACE升高,对结节病有一定提示意义,但结节病中ACE阳性率不足50%,其他疾病如肺结核也可升高,故其阳性不能作为结节病诊断标准[1, 2];此外,患者伴顽固性胸腔积液,在结节病中少见[3];BALF淋巴细胞占比低,激素治疗无效,排除结节病诊断。此外,尘肺病及肺淋巴管疾病亦有类似表现,应予鉴别。
肺间质病变较少合并胸腔积液,本例患者的胸腔积液也为鉴别要点。其胸腔积液性质介于渗漏之间,单核细胞为主,与心脏舒张功能减低无关,亦无明确肿瘤和结核感染证据,虽然患者存在淋巴回流障碍,但并非乳糜胸。而淀粉样物质可沉积于胸膜,影响液体吸收,引起胸腔积液。
除上述影像学表现外,导致本例患者诊断延迟的另一原因为病理见多核巨细胞。淀粉样物质沉积可刺激局部组织产生肉芽肿性炎症反应,出现多核巨细胞,易被误诊为结节病、结核感染等肉芽肿性疾病[4]。此种反应在局限性淀粉样变中多见,在系统性淀粉样变中亦有报道[5, 6, 7]。其作用类似于反应性异物巨细胞,旨在限制或清除淀粉样物质沉积。因此,若病理发现难以用常见疾病解释的多核巨细胞,应行刚果红染色。
原发性轻链型淀粉样变为单克隆免疫球蛋白轻链错误折叠形成淀粉样蛋白,沉积于组织器官导致的致死性疾病,常与克隆性浆细胞异常增殖相关。该病为系统性疾病,心脏、肾脏受累最为常见,肺部受累少见[8]。在呼吸系统中,淀粉样物质可沉积于气道、肺血管、肺实质、胸膜、淋巴结等处,其中肺实质受累根据其影像表现可分为结节型、囊型及弥漫肺泡间隔型[9, 10]。弥漫肺泡间隔型为淀粉样物质于肺泡间隔及小血管壁中沉积所致,影像学上可表现为小叶间隔增厚、微小结节、网格影、磨玻璃影等间质改变 [11],与本例影像相符。该类型虽少见,但临床意义不可忽视,因淀粉样物质广泛沉积导致气体交换障碍,并可出现类似肺纤维化的限制性通气功能障碍,引发呼吸衰竭,通常预后欠佳;此外,孤立性肺泡间隔型淀粉样变少见,多数患者存在多系统受累。系统性淀粉样变患者中,仅约5.5%出现持续性胸腔积液,而胸膜淀粉样变所致的积液通常对利尿剂无效,需反复引流或行胸膜固定术[12]。本例患者还存在肺门及纵隔淋巴结肿大,为淀粉样变的另一少见表现,影像学无特异性,常提示多系统受累[13]。
患者根据血液科医师制定的方案进行全身治疗,尽管已达血液学缓解,其肺部与胸膜病变却持续进展。肺间质淀粉样变出现影像学改善极为少见,可能与已沉积的淀粉样物质难以自行清除,并持续导致器官损伤有关[14, 15]。然而,目前暂无药物获批于清除沉积物,治疗仍以抗浆细胞及支持治疗为主。CAEL-101为靶向淀粉原纤维单抗,可清除器官中的纤维聚集体,已在Ⅰ/Ⅱ期试验中验证疗效,有望为改善预后带来突破[15]。
综上所述,对于存在肺间质病变伴顽固性胸腔积液,且合并蛋白尿等多系统受累表现的患者,需高度警惕系统性淀粉样变可能性。积极筛查单克隆球蛋白是拨开诊断迷雾的关键点,组织病理刚果红染色阳性为确诊金标准。若胸腔病理难以获取,舌体、腹壁脂肪等表浅部位活检可为诊断提供重要依据。确诊后需重点评估心脏、肾脏等脏器,并及时启动多学科诊疗协作。
参考文献(略)
作者:潘思琪 张顺 沈恺妮 王素霞 陈罡 方世元 王珞 田欣伦 孙雪峰 黄蓉;第一作者单位:中国医学科学院北京协和医学院北京协和医院呼吸与危重症医学科;通信作者:王珞,中国医学科学院北京协和医学院北京协和医院呼吸与危重症医学科
引用本文: 潘思琪, 张顺, 沈恺妮, 等. 以肺间质病变伴胸腔积液为首发表现的原发性淀粉样变1例[J]. 中华结核和呼吸杂志, 2026, 49(1): 61-64. DOI: 10.3760/cma.j.cn112147-20250814-00492.
本文转载自订阅号“中华结核和呼吸杂志”
原链接戳:【病例报告】以肺间质病变伴胸腔积液为首发表现的原发性淀粉样变1例
* 文章仅供医疗卫生相关从业者阅读参考
本文完
责编:Jerry
