一、病史简介
男,71岁,黑龙江人,2025-03-31入复旦大学附属中山医院感染病科。
主诉:发热1周。
现病史:
2025-03-24 出现发热,体温波动在39-40 ℃,伴干咳,偶有嗳气,无其他明显不适,自服感冒药,仍有反复发热。
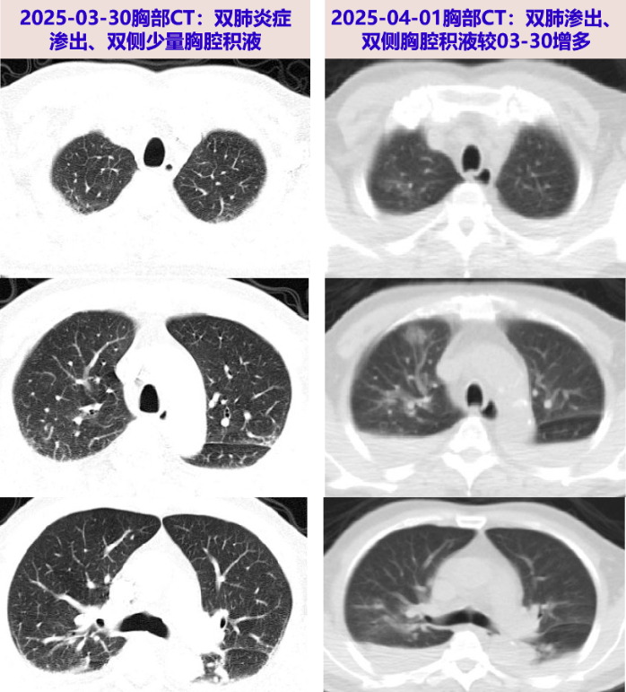
03-28 外院查WBC 3.38X10^9/L,Hb 94g/L↓;CRP 166.28mg/L,PCT 1.09ng/ml;胸部CT平扫:双肺炎性灶可能,双肺上叶小结节、小钙化灶,双侧胸膜增厚,双侧少量胸腔积液,少量心包积液;腹盆CT未见明显异常。予哌拉西林他唑巴坦经验性抗感染、赖氨匹林退热治疗,仍高热,Tmax 40.4℃。
03-30 我院急诊查血常规:WBC 4.21X10^9/L,N 60.3%;炎症标志物:CRP >90.0mg/L;血生化:TB/DB 21.5/10.5umol/L,ALB 26g/L,ALT/AST 100/40U/L;D-D 17.34 mg/L;肺动脉CTA未见明显栓塞,两肺炎症渗出,两侧胸腔少量积液伴两下肺部分不张,心包少量积液;予美罗培南、莫西沙星抗感染。03-31患者为明确发热病因收入我科。
起病以来精神可,胃纳、夜眠可,二便无殊,近期体重无变化。
既往史:冠状动脉粥样硬化,长期服用泰嘉、阿托伐他汀治疗。
二、入院检查(2025-03-31)
【体格检查】
T 37℃,P 80次/分,R 19次/分,BP 106/55mmHg
查体:神志清,精神可。双肺叩诊清音,听诊呼吸音清,未闻及啰音。心率80次/分,律齐,未闻及心脏杂音。腹部平软,无压痛。浅表未触及肿大淋巴结。双下肢轻度凹陷性水肿。
【实验室检查】
血常规:WBC 4.66X10^9/L,N 70.7%,Hb 93g/L,Plt 258×10^9/L。
尿常规、粪常规+隐血:阴性。
炎症标志物:hs-CRP 180.7mg/L,ESR 44mm/H,PCT 0.36ng/mL。
肝肾功能:TB/CB 28.6/18.3μmol/L,ALT/AST 72/59U/L,Alb 28g/L,乳酸脱氢酶 335U/L ,Cr 60μmol/L。
电解质:钠 127mmol/L,钾 3.2mmol/L,氯 94mmol/L,钙 1.99mmol/L,无机磷 0.52mmol/L。
T-SPOT 0/0(0/416);G试验、GM试验、隐球菌荚膜抗原(-);CMV-DNA、EBV-DNA(-)。
NT-proBNP:3525pg/mL。
自身抗体:蛋白酶3: 34.9RU/mL,余阴性 。
免疫固定电泳:阳性(IgG-k M带;M蛋白浓度: 3.5g/L,M蛋白百分比: 6.0%)。
肿瘤标志物、甲状腺功能均阴性
动脉血气(未吸氧):pH 7.48,PaCO2 32mmHg,PaO2 59mmHg。
【辅助检查】
2025-03-31 心电图:窦性心律,完全性右束支阻滞。
2025-03-31 心超:左房增大。
三、临床分析
病史特点:老年男性,发热1周,伴干咳,血常规提示轻度贫血,炎症指标升高,免疫固定电泳阳性,胸部CT提示两肺炎症渗出,经验性抗感染治疗无效。发热鉴别诊断需考虑以下疾病:
1)多发性骨髓瘤:患者发热、贫血,经验性抗感染无效,免疫固定电泳阳性,M蛋白浓度明显升高,应高度怀疑多发性骨髓瘤,需完善骨扫描、骨穿明确。
2)肺血管炎:胸部CT提示两肺炎症,伴低氧血症、低蛋白血症,咳嗽无痰,抗感染无效,ANCA相关抗体提示蛋白酶3阳性,需考虑ANCA相关性血管炎累及肺,但患者肺部影像表现为斑片样渗出影,非肺血管炎典型表现,必要时完善肺活检,同时评估有无血管炎其他部位累及。
3)社区获得性肺炎:患者发热、干咳,急性病程,炎症指标升高,胸部CT示两肺炎症,但抗感染治疗后体温无好转、炎症指标无下降,可导痰完善痰涂片+培养、痰真菌三项及痰mNGS协助鉴别,必要时完善支气管镜检查。
四、进一步检查、诊治过程和治疗反应
2025-03-31 予哌拉西林他唑巴坦4.5g q8h ivgtt经验性抗感染,辅以止咳、抗凝、保肝、补充白蛋白、补钾、利尿等对症支持治疗。
2025-04-01 血mNGS回报阴性;完善PET/CT:1.两肺炎症,双侧胸腔积液伴两肺下叶部分膨胀不全,心包少量积液;2.骨髓增生性改变,多处骨骼小低密度灶,请结合临床除外MM累及;3.脾脏糖代谢增高,考虑与发热相关;左侧肾上腺良性病变;腹盆腔腹膜增厚;盆腔少量积液。
2025-04-03 治疗后体温无下降,复查血常规:Hb 85g/L,PLT 240X10^9/L,WBC 6.41X10^9/L,N 77.5%;炎症指标:ESR 36mm/H,hs-CRP 171.1mg/L,PCT 0.38ng/mL,CRP无明显下降;痰细菌真菌培养、真菌三项、XpertTB阴性。调整为奈诺沙星0.5g qd ivgtt抗感染。
2025-04-03 完善骨髓穿刺活检,术后予甲泼尼龙40mg qd ivgtt,体温降至正常3天。
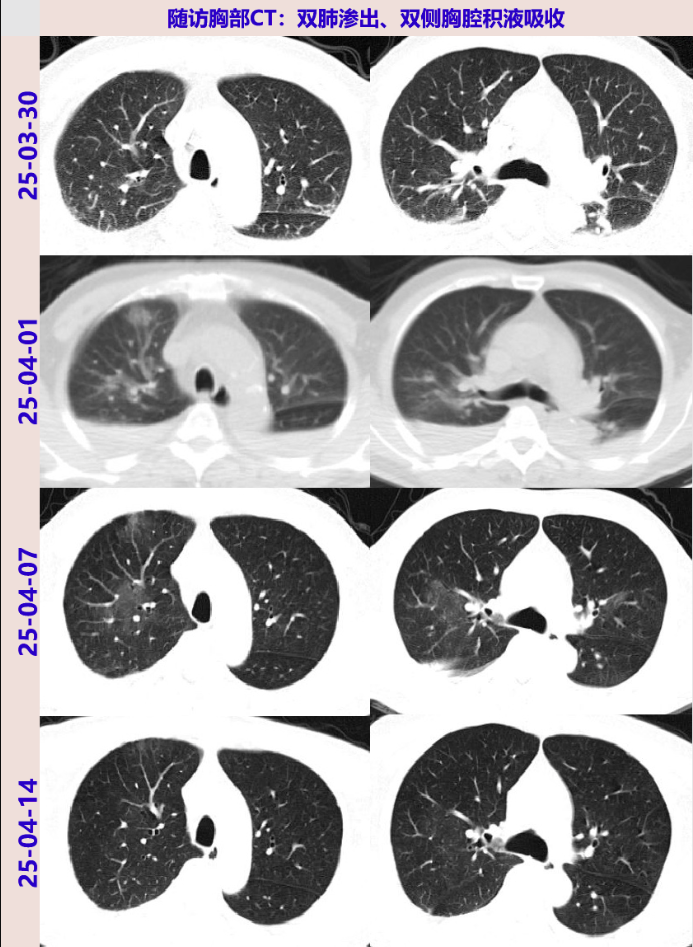
2025-04-07 再次发热,Tmax 38℃,复查胸部CT示两肺炎症较04-01PET/CT有吸收;骨髓初步病理:造血组织中可见到较多肉芽肿样病变,肉芽肿结节内未见到凝固性坏死,HE切片中淋巴细胞、浆细胞数目不增多;骨髓涂片:骨髓增生活跃,髓象中粒系增生明显活跃伴核左移,片中浆细胞略易见,分类占2.5%,形态无殊。
2025-04-07 考虑骨髓病理见肉芽肿病变,不除外分枝杆菌、布氏杆菌、真菌等特殊病原体感染,故停用激素,调整为利奈唑胺0.6g q12h po+多西环素0.1g q12h po抗感染。为排查其他骨髓肉芽肿疾病,查骨髓液mNGS、ACE、布氏杆菌抗体、寄生虫抗体。
2025-04-08 骨髓液mNGS回报阴性。
2025-04-09 骨髓正式病理回报:浆细胞数目稍增多,浆细胞约占骨髓有核细胞的15%,增生浆细胞Kappa呈轻链限制性表达,为浆细胞克隆性增生,造血组织中可见较多肉芽肿结节,肉芽肿结节内未见凝固性坏死,特殊染色阴性。
2025-04-09 血液科专家门诊就诊,诊断多发性骨髓瘤,但患者双肺炎症伴胸水,目前抗肿瘤治疗风险极高,建议积极治疗肺炎。继续利奈唑胺+多西环素抗感染,第二次痰细菌真菌培养、真菌三项阴性。
2025-04-10 肾病实验室复查ANCA相关抗体:PR3阳性(9.1U/mL),风湿科会诊考虑目前血管炎、结节病诊断依据不足。
2025-04-11 布氏杆菌抗体、寄生虫抗体回报阴性。患者仍反复发热,与血液科沟通后04-11起予甲泼尼龙40mg qd ivgtt抗炎,治疗后体温热峰下降,无明显咳嗽、气促。
2025-04-13 复查血常规:Hb 87g/L,WBC 6.23X10^9/L,N 91%;炎症标志物:ESR 29mm/H,hs-CRP 57.1mg/L,PCT 0.19ng/mL;游离轻链KAPPA 24.7mg/L,LAMBDA 26.5mg/L,比值 0.932;Alb:37g/L;NT-proBNP:205pg/mL。
2025-04-14 体温再次升高,Tmax:38.4℃;复查胸部CT:两肺炎症渗出,两侧少量胸腔积液伴两肺不张,均较前25-04-07片有所吸收,再次与血液科沟通后拟至血液科抗肿瘤治疗。
2025-04-16 停利奈唑胺、多西环素;转至血液科治疗。
血液科继续抗肿瘤治疗:
2025-04-16 DRD方案治疗C1D1,具体方案:达雷妥尤单抗(1800mg 皮下qw(C1-2)-q2w(C3-6)-q4w(C7起))+来那度胺(25mg 口服 d1-21,每服用3周休息1周)+地塞米松(40mg qw),同时予唑来磷酸保骨治疗。
2025-04-23 DRD方案治疗C1D8;患者仍有发热,予莫西沙星口服预防性抗感染。
2025-04-30 DRD方案治疗C1D15,患者无发热。
2025-05-07 DRD方案治疗C1D22,患者无发热。
体温单
五、最后诊断与诊断依据
最终诊断
1、多发性骨髓瘤(轻链к型,ISS II期)
2、肺水肿、双侧胸腔积液
3、心功能不全
4、低蛋白血症
诊断依据
患者老年男性,发热伴贫血,免疫固定电泳阳性(IgG-k M带),血游离轻链KAPPA升高,PET-CT示多处骨骼小低密度灶,骨髓活检病理示浆细胞数目稍增多,约占骨髓有核细胞的15%,增生浆细胞Kappa呈轻链限制性表达,为浆细胞克隆性增生,DRD方案治疗后无发热,故诊断明确。
患者胸部CT示双肺多发渗出、双侧胸腔积液,病灶短期增多,伴BNP升高、低蛋白血症,多次痰病原学阴性,经利尿、补充白蛋白治疗后BNP、Alb恢复正常,短期随访胸部CT双肺渗出及胸腔积液吸收,故考虑心功能不全、低蛋白血症所致肺水肿、胸腔积液。
六、经验与体会
肉芽肿是由巨噬细胞及其衍生细胞(上皮样细胞、多核巨细胞)局限性浸润和增生所形成的境界清楚的结节状病灶,其本质是迟发型超敏反应引起的慢性炎症,可由多种病因引起,包括感染、肿瘤、自身免疫性疾病、异物等,临床上常见的有分枝杆菌感染、真菌感染、肉芽肿性血管炎、结节病等。
骨髓肉芽肿性病变较常见于播散性结核病及非结核分枝杆菌病、布氏杆菌病、结节病,在恶性肿瘤中,以淋巴瘤较为常见。而与多发性骨髓瘤直接相关的肉芽肿病变罕见,曾有文献报道多发性骨髓瘤相关结节病样反应,推测可能与宿主对骨髓瘤反应有关。而大多数文献为多发性骨髓瘤合并结节病,本例患者无其他系统性结节病受累表现,ACE阴性,故不考虑合并结节病诊断。渐进性坏死性黄色肉芽肿(NXG)与单克隆免疫球蛋白关系密切,大多数患者伴有M蛋白血症,将来可能发生多发性骨髓瘤等浆细胞病,但NXG以皮肤受累最常见,且病理表现与本例患者不同。近期有文献报道多发性骨髓瘤患者发生M蛋白相关的坏死性肉芽肿,作者认为是一种尚未被描述的与NXG不同的皮肤受累表现。
本例诊治过程一波三折,患者以发热为主要表现,外院抗感染治疗无效,收入我科完善血液检查及PET/CT后高度怀疑多发性骨髓瘤,骨穿后加用激素体温降至正常,随后骨髓病理提示造血组织中见较多肉芽肿样病变,同时患者再次发热,考虑到多发性骨髓瘤中肉芽肿病变罕见,因此不除外感染(分枝杆菌、布氏杆菌、真菌等)、结节病等可能,但经一系列检查并未发现感染及自身免疫性疾病依据,同时骨髓正式病理回报符合多发性骨髓瘤诊断标准,目前患者已于血液科接受抗肿瘤治疗,后续治疗过程中因密切随访病情变化及骨穿,必要时需重复鉴别诊断以除外肉芽肿病变的多元病因。
参考文献
1.Falini B, Tabilio A, Velardi A, Cernetti C, Aversa F, Martelli MF. Multiple myeloma with a sarcoidosis-like reaction. Scand J Haematol. 1982 Sep;29(3):211-6.
2.Bertuglia G, Bringhen S, Bruno B, Impalà GA, D'Agostino M. M-protein-related necrobiotic granuloma in a multiple myeloma patient treated with daratumumab, lenalidomide and dexamethasone. Br J Haematol. 2025 Jan;206(1):16-17.
作者:武渊 金文婷 马玉燕;审阅:胡必杰 潘珏
本文转载自订阅号「SIFIC感染视界」
原链接戳:探案丨一波三折的发热寻因之旅
* 文章仅供医疗卫生相关从业者阅读参考
本文完
责编:Jerry
