一、病例分析
患者男性,68岁,2023年12月27日入院,被发现呼吸困难1天。
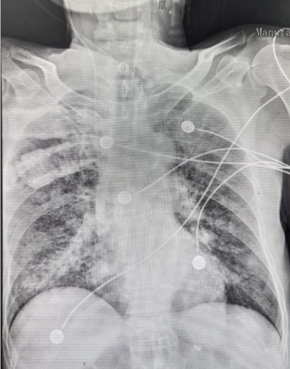
现病史: 患者12月26日被家人发现无诱因出现呼吸困难、全身湿冷, 伴咳嗽咳痰, 黄黏痰。测体温不高, 遂就诊于我院急诊科。床旁胸片示双肺多发片状阴影(图1)。血气分析示Ⅰ型呼吸衰竭, 测血压80/45mmHg; 立即予无创通气、多巴胺持续泵入、抗感染等治疗后收入我科。
图1 患者急诊+胸部X线片
既往史:焦虑抑郁症多年,口服精神科相关药物。有吸烟史,已戒烟多年。
体格检查:体温36.8℃,呼吸45次/分,心率127次/分,血压85/55mmHg;SpO294%(高流量氧疗,氧浓度60%);喘息貌,神志清楚,反应迟钝;双肺满布湿啰音,心律齐,腹软,肝脾肋下未触及。双下肢轻度可凹性浮肿。
急诊科辅助检查:①血常规:WBC 11.1×109/L,NEU%94.4%,LYM 0.31×109/L;②感染指标:PCT 12.19ng/ml,CRP 59.78mg/L;③肾功能:Cr 156.6μmol/L,BUN12.1mmol/L;④尿液分析:蛋白(++),葡萄糖(+),白细胞5~10/HP;⑤血气分析:PaO240.9mmHg,PaCO245.1mmHg,SaO269.9%。
本例患者符合《中国成人社区获得性肺炎诊断和治疗指南(2016年版)》中社区获得性肺炎(CAP)的临床诊断标准:①社区发病;②肺炎相关临床表现:a. 新近出现的咳嗽、咳痰或原有呼吸道疾病症状加重,伴或不伴脓痰/胸痛/呼吸困难/咳血;b. 发热;c. 肺实变体征和/或闻及湿性啰音;d. WBC>10×109/L或<4×109/L,伴或不伴中性粒细胞核左移;③影像学:胸部X线检查显示新出现的斑片状浸润性阴影、叶/段实变影或间质性改变,伴或不伴胸腔积液。符合上述①+②(任何一项)+③,注意除外肺结核、肺部肿瘤、非感染性肺间质性疾病、肺水肿、肺不张、肺栓塞、肺嗜酸性粒细胞浸润症、肺血管炎等可作出诊断。
CAP的诊治思路:①判断CAP诊断是否成立;②评估CAP病情的严重程度,选择治疗场所;③推测CAP可能的病原体及耐药风险;④合理安排病原学检查,及时启动经验性抗感染治疗;⑤动态评估CAP经验性抗感染效果;⑥治疗后随访,健康宣教。
2016版指南中,对于重症社区获得性肺炎(SCAP)的诊断标准包括主要标准和次要标准两部分。主要标准:①需要气管插管行机械通气;②脓毒症休克积极液体复苏后仍需要血管活性药物治疗。次要标准:①呼吸频率≥30次/min;②氧合指数≤250 mmHg;③多肺叶浸润;④意识障碍和/或定向障碍;⑤血尿素氮≥7.14 mmol/L;⑥收缩压<90 mmHg需要积极液体复苏。符合1项主要标准或≥3项次要标准者可诊断SCAP,有条件时可收住ICU。
结合上述判断,本例患者为SCAP,应收入ICU治疗。
患者的入院诊断:重症肺炎,脓毒血症,脓毒性休克,Ⅰ型呼吸衰竭,心律失常,肾功能不全,焦虑抑郁状态。
二、重症社区获得性肺炎的管理
2023年由欧洲呼吸学会(ERS)、欧洲重症监护医学学会(ESICM)、欧洲临床微生物学和传染病学会(ESCMID)和拉丁美洲胸科协会(ALAT)成立了由18名欧洲专家和4名非欧洲专家以及2名方法学家组成的小组,选择了8个关于SCAP诊断和治疗的临床问题。在多个数据库中进行了系统的文献检索,尽可能进行荟萃分析以进行证据综合。证据质量采用GRADE(建议、评估、发展和评估分级)进行评估。决策证据框架用于决定建议的方向和力度。该指南中SCAP是指需要入住ICU的SCAP患者,即出现休克或机械通气的CAP患者。其他入住ICU的标准可能存在异质性,因此需要谨慎使用该指南的建议。该指南适用人群不包括免疫抑制患者,例如接受皮质类固醇或化疗、接受移植、患有血液恶性肿瘤或艾滋病,CD4计数<200个/μl。
该指南中也提出了一些问题,并给出了相应的推荐意见,具体如下。
问题1:对于SCAP患者,是否应该在目前的血液和呼吸道样本检测中加入快速微生物学技术?
推荐意见:当对于SCAP使用或考虑使用非标准的经验性治疗时,推荐送检下呼吸道标本进行包括病毒和细菌在内的多重PCR进行检测(有条件推荐,非常低证据质量)。
指南推荐PCR的原因在于:常规细菌培养及药敏试验的检测时间需要48~72 h、病毒和非典型病原体的培养也需要特殊的条件,耗时较长;而PCR检测1天甚至数小时即可出结果,有助于致病原的快速检测和恰当抗感染药物的及时选择。潜在危害是因PCR假阳性造成的不必要的抗菌药物升级,但证据表明多重PCR假阳性少见,尤其是对于耐药菌。但是据此调整抗菌药物的成本-效益比、最终临床安全性和有效性缺乏严谨的证据,仅作为中等推荐。推荐仅限于成熟的商业化平台,并且仅针对多重PCR技术(不包括仅针对单一/有限几种病原的PCR检测技术或二代测序技术)。例外情况是,针对耐甲氧西林金黄色葡萄球菌和mec基因检测的PCR检测方法已广泛用于指导怀疑MRSA感染的SCAP患者万古霉素和利奈唑胺的使用。
以下几种疑似下呼吸道感染(LRTI)的临床场景需考虑通过送检mNGS明确病原微生物:①免疫抑制宿主疑似发生LRTI且临床表现提示非CAP常见病原微生物所致者。②LRTI患者发病初期即出现需要使用血管活性药物的感染性休克、需要有创机械通气的呼吸衰竭、多脏器功能不全等危及生命的状况时;LRTI经规范经验性抗感染治疗48~72 h后,感染症状仍持续加重或影像学快速进展者。③聚集性发病疑似具有传染性、但无法明确病原体的LRTI;有特殊病史(如近期境外或野外旅游史)且经验性治疗无效,病情较为严重的LRTI;临床考虑特殊病原体(如钩端螺旋体、嗜肺军团菌、鹦鹉热衣原体等)感染且病势迅疾或迁延者,常规培养困难或所在医疗机构无法提供可靠的传统检测方案时。④患者有LRTI症状或影像表现,经规范抗感染治疗后病灶吸收延迟、病程迁延,需鉴别是否由非感染性疾病所致(如结缔组织疾病的肺部累及、肺淋巴瘤等),可以在常规病原微生物检测、感染生物标志物、病理等相关检查同时送检mNGS以帮助鉴别诊断。
mNGS与多重PCR各具优势:①多重PCR技术操作简单、快速,可实现全自动化检测,并且可以同步检测多种微生物,可通过多种组合覆盖常见的病原微生物与重要的耐药基因;多重PCR的敏感度与特异度均较高;相较于mNGS,多重PCR的价格相对便宜,操作简单,易于标准化。②mNGS无需预判病原微生物,对检测目标无偏好,理论上可以检测数据库中所有的病原微生物;mNGS还可以检出新发、未知/罕见病原微生物,可以作为病原学的诊断依据。
本例患者入院后症状加重,给予气管插管有创呼吸机辅助呼吸等对症治疗,并且完善床旁支气管镜检查、支气管肺泡灌洗液(BALF)培养、X-pert、GM试验等检查,同步送检mNGS。
BALF培养回报金黄色葡萄球菌(+),肺炎克雷伯菌(+)。痰培养回报热带念珠菌(+)。真菌培养回报热带念珠菌。mNGS回报:肺炎链球菌(序列数453523),星座链球菌(序列数218489),金黄色葡萄球菌(序列数28955),粪肠球菌(序列数3511),肺炎克雷伯菌(序列数743326),鲍曼不动杆菌(序列数1273);HSVⅠ(序列数24389),EBV(序列数13775);白念珠菌(序列数63013),热带念珠菌(序列数42307)。几种病原学检测结果较为一致。
问题2:对于伴有低氧血症的SCAP患者,初始使用无创机械通气(NIV)或经鼻高流量氧疗(HFNO),相较于标准氧疗,能否避免插管或降低病死率?
推荐意见:对于不需要立即插管的SCAP急性低氧血症性呼吸衰竭患者,建议使用HFNO代替标准氧疗(有条件推荐,非常低证据质量)。NIV可能作为持续低氧血症且不需要立即插管患者的一种选择,而不考虑HFNO(有条件推荐,证据质量低)。
2015年发表在N Engl J Med 杂志的一项多中心、开放标签的随机对照临床试验将没有高碳酸血症的急性低氧性呼吸衰竭患者随机分配到HFNO组、应用面罩的标准氧疗组和NIV组,结果显示:HFNO组的插管率为38%,标准氧疗组为47%,NIV组为50%,三组之间没有显著差异(P=0.180);标准氧疗组与HFNO组90天死亡风险比为2.01(95%CI:1.01~3.99,P=0.046),NIV组与HFNO组为2.50(95%CI:1.31~4.78,P=0.006)。虽然这项研究提示HFNO的死亡风险较低,但根据现有证据,SCAP患者选择NIV还是HFNO更优尚不明确。建议主要表现为低氧血症、不需要增加呼吸功的患者使用HFNO;对通气不足或呼吸功增加的患者使用NIV。此外,NIV和HFNO均不能降低急性低氧性呼吸衰竭患者的插管率(主要结局)。与标准氧疗或NIV相比,HFNO降低了ICU和90天病死率。
生理学上,HFNO的高浓度氧、呼吸末轻度正压和上气道冲刷作用,可减少呼吸衰竭患者呼吸频率及呼吸做功。基线呼吸做功更明显以及氧合指数<150 mmHg患者中,NIV较HFNO更能减少患者的吸气努力。RCT研究中HFNO较传统氧疗可降低氧合指数<200 mmHg患者的插管率;6项RCT研究荟萃分析显示初始NIV可以降低插管率。NIV和HFNO对于SCAP患者的优劣尚无确切证据。专家组建议对于呼吸做功无明显增加的以低氧血症为表现的患者使用HFNO;当呼吸做功明显增加时使用NIV。没有确切证据表明NIV和HFNO较传统氧疗能降低病死率,考虑到能避免插管仍具有一定的临床意义,故作推荐。
问题3:对于SCAP的初始治疗,是否选用大环内酯类或喹诺酮类药物作为β-内酰胺药物的合并用药,以降低死亡率和不良临床结果?
推荐意见:建议β-内酰胺类药物中联合大环内酯类药物,而不是氟喹诺酮类药物,作为SCAP住院患者的经验性抗生素治疗。(有条件的推荐,证据质量很低)。专家组还建议大环内酯类药物的治疗时间在3~5天之间。
2022年发表的一项系统综述和荟萃分析纳入了150篇文章(27408个样本,来自26个国家)的153项研究,分析了大环内酯耐药性肺炎支原体(MRMP)感染比例的全球发展趋势,结果显示MRMP感染比例的全球格局随区域差异呈上升趋势,而我国全境MRMP感染比例>80%。早在2016年就有国内学者提出对大环内酯类耐药率高是我国肺炎链球菌的突出特点,全国整体耐药率在2009年后上升到90%以上。
目前没有RCT研究直接比较大环内酯类药和喹诺酮类药物作为β-内酰胺类药物联合治疗SCAP的有效性和安全性。推荐意见的证据来源于17项观察性研究,综合各项研究结果,使用大环内酯类药物的SCAP患者病死率以及使用有创/无创机械通气比例似乎更低。尽管样本量较大,但存在很大的偏倚风险和结论不一致性。药物选择需要考虑药物不良反应和耐药性问题,同时也缺乏成本-收益的"头对头"比较。
SCAP的经验性治疗方案推荐意见仍是基于各国的流行病学数据。该指南中推荐大环内酯类药物而非喹诺酮类药物作为β-内酰胺类药物的联合用药。这一点与我国2016年版CAP指南中入住ICU的无基础疾病青壮年患者推荐意见一致。细微差别是,我国指南中对于有入住ICU有基础疾病或老年患者的联合用药二者均有推荐。目前两种药物作为联合用药治疗SCAP的比较性研究证据质量较低,结果应谨慎对待。更重要的是,经验性治疗药物选择还需要考虑病原倾向性、耐药菌感染危险因素、铜绿假单胞菌感染危险因素、药物不良反应等综合因素。
问题4:与不使用血清标志物指导下的抗感染治疗相比,监测PCT能否缩短抗菌疗程并改善临床结局?
推荐意见:推荐使用PCT用于缩短SCAP抗感染治疗疗程(有条件推荐, 低证据质量)。使用时必须结合临床评估, 且不适用于已经达临床稳定或抗感染治疗时间处于5~7天之间的患者。
抗生素疗程过长不仅导致细菌耐药产生,也增加药物相关不良反应。PCT是细菌感染较为特异的炎症标志物,可用于指导抗菌药物启用和停药,从而缩短抗菌药物使用时间、降低病死率、减少药物相关不良反应。生物标志物指导SCAP治疗策略时常使用CRP和PCT,并根据个体对治疗的反应来调整抗生素治疗的持续时间。尽管没有针对SCAP患者的生物标志物指导的随机对照试验,但PCT是当前指南中提到的唯一生物标志物。3项针对ICU脓毒症患者的RCT研究结果显示,在PCT指导下,可安全缩短抗感染治疗疗程,对ICU和住院时间或死亡率没有影响。一项系统综述和荟萃分析表明,使用PCT指导的抗菌药物策略并不优于固定持续时间为5~7天的抗生素治疗。当达到临床稳定性并且抗生素治疗的持续时间在5~7天时,生物标志物在临床获益方面作用不大。使用PCT水平指导抗生素持续时间的益处的局限性也与一项观察有关,即在病毒性CAP的细菌共感染中,PCT水平可能不会升高。在金黄色葡萄球菌菌血症CAP患者中,必须根据特定指南保持所需的治疗持续时间,而PCT不能缩短这一时间。PCT指导抗菌药物疗程,应个体化使用,分析具体情况,而非基于人群推荐,并需考虑成本-收益。
问题5:确诊感染流感病毒的SCAP患者在标准治疗基础上是否需要加用奥司他韦?
推荐意见:经PCR确诊的感染流感病毒的SCAP患者,建议加用奥司他韦(有条件推荐,非常低质量证据)。当PCR不可行时,在流感季推荐SCAP患者经验性应用奥司他韦(有条件推荐,非常低质量证据)。
目前没有针对ICU患者的RCT研究,但荟萃分析显示使用奥司他韦可降低入住ICU的流感病毒肺炎病死率。由于伦理和众多流感、呼吸道感染指南的推荐意见,对流感病毒肺炎患者进行安慰剂对照的RCT研究几乎不可行,新种类抗病毒药物的有效性有待进一步研究。
问题6:与不使用糖皮质激素的患者相比,应用糖皮质激素能否使某些特定SCAP患者获益?
推荐意见:合并休克的SCAP患者建议使用糖皮质激素(有条件推荐,低质量证据)。当考虑皮质类固醇治疗时,甲基强的松龙(每12小时0.5 mg/kg,持续5天)是一个合理的选择。不适用于病毒导致的SCAP(如流感、SARS、MERS)、未控制的糖尿病以及因其他需要而使用激素患者。
宿主的炎症反应是决定SCAP预后的关键因素,可以清除病原微生物控制感染,而过度的炎症反应反过来也会对宿主造成损害,导致死亡。糖皮质激素作为最有效的抗炎药,不仅可以控制过度的炎症反应,还可以改善SCAP引发的肾上腺功能不全,但有发生二重感染、上消化道出血、高血糖等不良反应。因此,全身性糖皮质激素治疗能否改善SCAP患者的预后和安全性成为目前最具争议的话题。
2019年发表的一项荟萃分析纳入2018年1月之前所有糖皮质激素治疗SCAP的相关随机对照临床试验,对10项临床研究共665例患者进行了分析。结果发现:糖皮质激素治疗可以降低SCAP全因病死率、感染性休克发生率和机械通气需求,且不增加不良事件风险;亚组分析发现,低剂量(≤86 mg/d)并适当延长维持时间(>5天)的病死率更低。2022年发表的一项双盲、随机、安慰剂对照临床试验中,584例因SCAP住院的患者,延长甲基泼尼松龙治疗并没有显著降低60天内在初始住院或1年随访期间的全因死亡率或改善次要结局,并发症发生的风险与对照组相似。2023年发表了一项在法国31个研究中心进行的Ⅲ期、多中心、双盲、随机、对照、优效性试验,研究对象是因SCAP而入住ICU的成年患者。研究得出结论:与安慰剂治疗相比较,氢化可的松治疗可显著减少在ICU接受标准治疗的SCAP患者的28天死亡风险,在气管插管、血管升压药治疗等多数次要终点方面也有明显优势,并且没有发现该项治疗存在任何特定的安全问题。
2022年"最大规模"RCT研究显示,应用甲基强的松龙未降低SCAP患者60天病死率,但结合其他共计6项RCT研究进行荟萃分析后,结果显示应用糖皮质激素可降低SCAP患者病死率、休克发生率、降低有创机械通气比例、缩短住院时间等。RCT研究显示糖皮质激素治疗使SCAP且CRP>150mg/L患者病死率降低5%(但无统计学差异),可降低晚期治疗失败和机械通气比例。尽管结果显示疗效,但证据质量低,偏倚风险很高。
基于上述研究,指南建议SCAP患者出现休克时使用糖皮质激素,并推荐甲泼尼龙剂量为0.5 mg/(kg·12h),持续5天。但糖皮质激素的最佳应用时机、剂量和疗程尚需进一步探索。
问题7:采用耐药致病菌预测评分能否优化治疗并改善结局(如死亡率、治疗失败率、抗生素疗程与ICU天数)?
推荐意见:建议基于当地的流行病学、先前病原菌的定植情况, 结合感染特定病原菌的危险因素进行临床评分, 用于预测耐药致病菌并指导经验性抗菌治疗(有条件推荐, 中等质量证据)。
目前耐药菌预测模型中主要耐药性危险因素大致分为四类:①与医疗保健暴露有关的病原体获得(例如:近期有无住院/护理机构接受照护的经历,有无使用抗生素);②持续定植(例如免疫抑制、慢性肺疾病、或曾经有过耐药菌感染或定植史);③抗生素介导的选择性诱导耐药;④宿主生理因素改变(例如神经系统损伤、胃酸抑制等)。绝大多数研究集中在预测模型(评分)的建立,部分研究进行了敏感性/特异性验证,结果显示其具有较高的敏感性、阴性预测值(>90%),但特异性相对低。及时开始适当的抗菌治疗是严重感染初始管理的基石,抗生素使用不足和不必要使用都与不良结果有关,有2项观察性研究表明,使用模型预测SCAP的耐药性与减少广谱抗菌药的使用有关,同时保持良好的结果。需要进一步的大型前瞻性研究来验证这一战略。
问题8:有吸入风险因素的SCAP患者,采用危险因素指导下的抗感染治疗方案替代标准方案能否改善临床结局?
推荐意见:对于有吸入风险因素的SCAP患者,建议采用标准抗生素治疗方案,无需针对厌氧菌的抗菌治疗(未分级,良好实践声明)。
一项在日本北部进行的多中心回顾性调查分析了急诊医院吸入性肺炎患者的特点,对2019年1月-12月>20岁住院肺炎患者进行回顾性研究,纳入的1800例患者中,79%的住院肺炎患者年龄>70岁。与非吸入性肺炎组比较,吸入性肺炎组金黄色葡萄球菌、克雷伯菌属和大肠埃希菌检出率较高,肺炎球菌和流感嗜血杆菌检出率较低,两组拟杆菌属、普雷沃菌属、梭杆菌属等厌氧菌的检出率均很低,且差异无统计学意义。在护理和医疗相关性肺炎(NHCAP)/医院获得性肺炎中,吸入性肺炎组与非吸入性肺炎组致病生物无显著差异。
吸入性肺炎常见于高龄、有合并症的患者,并且随着年龄增长发生率增加,合并症以脑血管病、痴呆、神经肌肉疾病为主,这些患者常易发生吞咽障碍,导致误吸。厌氧菌曾被认为是吸入性肺炎的主要致病原,但近年来的研究显示厌氧菌的比例常被高估。SCAP标准的经验性治疗方案药物(β-内酰胺类/酶抑制剂复合物、莫西沙星、碳青霉烯类),基本都涵盖抗厌氧菌作用。目前尚无在SCAP患者比较标准经验性治疗和加用抗厌氧菌作用药物临床疗效比较。从轻-中度CAP和不同严重程度吸入性肺炎的研究结果看,无证据表明CAP的标准治疗方案比针对厌氧菌治疗方案疗效差。
本指南是首次发布的SCAP患者管理指南,旨在关注CAP患者中最严重的人群。当前的建议有利于从事呼吸与危重症专业的医生标准化CAP的治疗和管理。实施显然具有挑战性,取决于分配的医疗保健系统和资源。然而,本指南提供了清晰且简洁的建议,疾病严重程度和死亡风险最高的患者将从中受益。
参考文献
[1] 中华医学会呼吸病学分会. 中国成人社区获得性肺炎诊断和治疗指南(2016年版)[J]. 中华结核和呼吸杂志, 2016, 39(4):253-279.
[2] Martin-Loeches I, Torres A, Nagavci B, et al. ERS/ESICM/ESCMID/ALAT guidelines for the management of severe community-acquired pneumonia[J]. Intensive Care Med, 2023, 49(6):615-632.
[3] 中华医学会呼吸病学分会. 下呼吸道感染宏基因组二代测序报告临床解读路径专家共识[J].中华结核和呼吸杂志, 2023, 46(4):1-14.
[4] Frat JP, Thille AW, Mercat A, et al. High-flow oxygen through nasal cannula in acute hypoxemic respiratory failure[J]. N Engl J Med, 2015, 372(23):2185-2196.
[5] Kim K, Jung S, Kim M, et al. Global Trends in the Proportion of Macrolide-Resistant Mycoplasma pneumoniae Infections: A Systematic Review and Meta-analysis[J]. JAMA Netw Open, 2022, 5(7):e2220949.
[6] 张静, 喻玮, 赵丽娜, 等. 我国细菌耐药现状与特征[J]. 中华临床感染病杂志, 2016, 9(2):118-128.
[7] Jiang S, Liu T, Hu Y, et al. Efficacy and safety of glucocorticoids in the treatment of severe community-acquired pneumonia: A meta-analysis[J]. Medicine (Baltimore), 2019, 98(26):e16239.
[8] Meduri GU, Shih MC, Bridges L, et al. Low-dose methylprednisolone treatment in critically ill patients with severe community-acquired pneumonia[J]. Intensive Care Med, 2022, 48(8):1009-1023.
[9] Dequin PF, Meziani F, Quenot JP, et al. Hydrocortisone in Severe Community-Acquired Pneumonia[J]. N Engl J Med, 2023, 388(21):1931-1941.
[10] Suzuki J, Ikeda R, Kato K, et al. Characteristics of aspiration pneumonia patients in acute care hospitals: A multicenter, retrospective survey in Northern Japan[J]. PLoS One. 2021, 16(7):e0254261.
作者介绍
李萍
山西白求恩医院呼吸与危重症医学科,副主任,主任医师;中国医师协会呼吸医师分会间质性肺疾病工作委员会委员,中华医学会呼吸病学分会基层学组委员(筹备),Thorax 中文版间质病专刊编辑,中国防痨协会多学科诊疗专业分会委员,山西省医学会结核病学专业委员会副主任委员,山西省医学会呼吸病学专业委员会委员,山西省医师协会呼吸医师分会间质性肺疾病学组委员会主任委员。
本文转载自订阅号「重症肺言」(ID:RCCRC_0067)
原链接戳:重症社区获得性肺炎管理指南解读
* 文章仅供医疗卫生相关从业者阅读参考
本文完
责编:Jerry
