重症肺炎是急性呼吸窘迫综合征(ARDS)最主要的危险因素。不同病原体(病毒、细菌、真菌等)因毒力、致病性及致病机制存在显著差异,导致其对肺泡上皮、血管内皮及炎症介导过程产生异质性影响,进而使ARDS在临床表现、病程转归上呈现明显差别。从病理生理角度看,ARDS患者的全身炎症反应与肺泡局部炎症并不必然相关联,二者严重程度呈连续谱分布,因个体差异形成疾病异质性。微观层面,不同病原菌的致病力差异导致其对气道上皮细胞及血管内皮细胞损伤程度、炎症驱动作用不同;同时,局部免疫与全身免疫反应的强度及紊乱程度,进一步加剧气道上皮及血管内皮细胞损伤,最终共同塑造了ARDS临床表现与病理生理过程的异质性特征。本文将系统梳理不同病原体相关ARDS的核心差异,为临床实践提供参考。
一、新冠相关ARDS vs. 非新冠相关ARDS
新冠疫情期间,大量由新冠病毒感染引发的ARDS患者为临床带来了全新挑战。影像学层面,重症新冠肺炎患者呈现双肺多发弥漫性渗出,与传统ARDS以下肺重力依赖区实变为主的影像特征差异显著。基于此,有学者提出新冠肺炎的“L型”与“H型”表型分类:L型以通气-灌注比异常为主,顺应性较好、低肺重量及低可复张性;H型则相反,具备肺顺应性差、高右向左分流、高肺重量与高肺可复张性特征。从呼吸生理学维度剖析,新冠相关ARDS同样展现出区别于经典ARDS的独特性。研究数据显示,新冠相关ARDS患者呼吸系统顺应性达50.2±14.3 ml/cmH2O,分流分数为0.50±0.11。这种显著的差异在大多数类型的ARDS中几乎从未见过。相对较高的顺应性表明该患者群体的肺气体容积保留较好,这与重症ARDS的预期表现形成鲜明对比,为临床识别与精准干预新冠相关ARDS提供了关键的病理生理依据。
2020年Am J Respir Crit Care Med 杂志发表的一项研究纳入了一组中重度新冠相关ARDS患者,在基本特征方面,新冠组患者的年龄更大(P=0.02),更易合并肥胖(P=0.04)和糖尿病(P=0.03,非新冠组免疫受损患者比例更高(P=0.004)。新冠组从症状出现到气管插管的时间更长(10 d vs. 5 d;P=0.0001)。从肺部影像学角度分析,新冠组以磨玻璃影为主的弥漫性病变更为常见(P=0.03 vs. P=0.01),肺泡实变在新冠组和非新冠组中均较常见(61% vs. 60%;P>0.99),而胸腔积液在非新冠组中更为常见(P=0.0003)。机械通气参数与呼吸力学指标来讲,两组在呼吸机参数设置方面无显著差异;驱动压、呼吸系统顺应性也无显著差异,两组的动脉血气指标(包括pH、PaO2和PaCO2)以及死腔通气指标(通气比率)均相似(P=0.46)。值得注意的是,研究中每组约半数患者为重度ARDS(PaO₂/FiO₂≤100 mmHg),此外,两组间治疗反应性与临床预后亦无显著差异。
同期发表的另外一项研究纳入了30例非新冠相关ARDS与30例新冠相关ARDS患者。非新冠患者的入组时间为2019年1月17日至2020年3月3日,新冠患者的入组时间为2020年3月11日至2020年4月3日。非新冠相关ARDS的病因如下:肺炎(n=27,其中10例与呼吸道病毒有关)、肺血管炎(n=2)和非心源性休克(n=1)。纳入研究时,4例新冠患者合并细菌感染;该队列纳入的大部分为中度ARDS患者,在纳入的新冠相关ARDS患者中,BMI较高患者占比更大。研究还发现,高可复张性与低可复张性亚组的肺顺应性无显著差异,且未观察到肺顺应性随时间变化的趋势。此外,新冠肺炎患者的R/I比值显著高于非新冠肺炎患者。然而,新冠肺炎患者与非新冠肺炎患者之间具有高肺可复张性潜力(定义为R/I 比值≥0.5)的差异未达到统计学意义。
2020年BMJ Open Resp Res 杂志发表的一项单中心回顾性研究比较了新冠相关与非新冠相关ARDS患者的特征和结果。纳入2020年3月11日至4月21日期间收治的新冠肺炎患者,以及2017年1月1日至2019年11月1日期间发生ARDS的所有细菌或病毒感染社区获得性肺炎(CAP)患者。研究发现,CAP相关ARDS患者更易出现肺外脏器受累,APACHEⅡ评分和SOFA评分更高;新冠肺炎相关ARDS患者的循环白细胞、中性粒细胞和单核细胞水平更低(P<0.0001),但C反应蛋白(CRP)水平更高(P=0.016)。并且需要更长时间的机械通气(P=0.01),但对血管活性药物的需求更低(P=0.016)。
2021年Ann Am Thorac Soc杂志发表的一项前瞻性观察性队列研究纳入了27例新冠相关ARDS患者,并将其与新冠之前的病毒性ARDS患者(n=14)、细菌性ARDS患者(n=21)以及培养阴性肺炎所致ARDS患者(n=30)的既往队列进行比较。结果显示:两组间氧合指数无显著差异;与细菌相关ARDS和培养阴性ARDS相比,新冠相关ARDS患者接受的分钟通气量较低[8.7(7.0~10.7)L/min];插管当天,新冠相关ARDS与非新冠相关ARDS患者的呼吸系统静态顺应性相似。单与非新冠相关ARDS相比,新冠相关ARDS患者需要更长的机械通气时间,但两组从入住ICU起60天生存率无显著差异。研究还发现,微血管病变在新冠相关ARDS中尤为突出。此外,新冠组中共有69个血管生成相关基因仅在存在差异调节,而在流感组中仅有26个基因存在差异调节;有45个基因存在共同的表达变化。
2021年一项纳入18项RCT研究的荟萃分析,其中新冠ARDS患者1423例,非新冠ARDS患者1403例)。结果发现:皮质类固醇显著降低ARDS患者28 d病死率(RR=0.82,95% CI 0.72~0.95),新冠相关ARDS与非新冠相关ARDS患者的病死率降低效应一致(RR分别为0.89和0.70,无显著亚组差异);另外,糖皮质激素治疗疗程≥7 d,患者的生存率更高。在亚组分析中并未发现地塞米松、甲泼尼龙、氢化可的松的疗效存在显著差异;高剂量与低剂量激素的疗效也无显著差异【低剂量定义为:< 甲泼尼松龙88 mg/d】;早期激素治疗与延迟激素治疗之间的疗效也无显著差异【早期定义为ARDS确诊后≤ 72 h启动激素治疗】。
表1 新冠相关ARDS与非新冠相关ARDS的异同
二、新冠相关ARDS vs. 流感相关ARDS
ARDS是流感感染的致命性并发症之一。流感病毒主要通过侵袭气道上皮细胞,引发上皮细胞凋亡、坏死,同时驱动局部及系统性炎症反应,最终促成ARDS的病理生理改变。从病理改变维度对比(结合新冠、甲流及SARS相关ARDS数据):相较于甲型H1N1流感相关ARDS,新冠相关ARDS患者微血栓形成比例显著更高(57% vs. 24%),且更易呈现急性纤维素性机化性肺炎表现。而毒力更强的SARS,在微血栓形成(58%)及急性纤维素性机化性肺炎发生(9%)方面,表现出更为突出的特征,反映出不同病原体所致ARDS在病理损伤模式上的差异。
2023年一项法国回顾性研究比较了新冠相关ARDS患者与流感相关ARDS患者的机械通气参数和病死率。结果发现,新冠相关ARDS患者从第1天到第5天记录的氧合指数、PaCO2、通气比、校正分钟通气量等参数均与流感组存在显著差异。该研究还对两组氧合指数≤150 mmHg的ARDS患者进行了主成分分析,结果并未发现明显差异。在对全体人群进行比较后,新冠相关ARDS患者在ICU内病死率、第28天和第60天的病死率率均显著低于流感相关ARDS患者,但在对匹配人群(如根据氧合指数匹配)进行比较后,此差异消失。
2022年Int J Infect Dis杂志发表的一项回顾性研究分析了100例新冠相关ARDS患者和46例H7N9禽流感相关ARDS患者的临床资料。结果显示:H7N9相关ARDS患者从发病到ARDS发展的中位间隔较短,氧合指数更低,而且更容易出现重度ARDS。H7N9相关ARDS更容易出现肝损伤,而新冠相关ARDS更多见弥散性血管内凝血。在病程中,H7N9相关ARDS患者更易合并真菌感染,有65.6%的患者使用了抗真菌药物治疗,并且该组患者从起病至死亡的时间更短,也更容易出现感染性休克及多器官功能障碍综合征(MODS)。
流感和新冠继发曲霉感染也存在差异。新冠病毒更易造成气道上皮的破坏, 导致气道内真菌感染和肺侵袭性真菌感染。研究发现流感相关肺曲霉病患者血清GM阳性率为50%~70%, 而新冠相关肺曲霉病患者血清GM阳性率不足10%。
2011年Am J Respir Crit Care Med 杂志发表的一项研究通过回顾性分析2009年甲型H1N1流感大流行期间的临床数据,探讨皮质类固醇治疗对流感相关ARDS患者预后的影响。研究采用Cox回归分析、倾向得分匹配等方法,评估皮质类固醇与死亡率及并发症的相关性。结果表明,使用激素与患者不良预后相关(包括院内死亡和ICU获得性肺炎)(HR 2.39,95%CI 1.32~4.31)。在将类固醇使用作为时间依赖性变量纳入Cox回归分析后,死亡与SAPS 3评分显著相关(P=0.004),同时与免疫抑制(P=0.02)和皮质类固醇治疗相关(aHR 2.6;95% CI 1.4~4.7;P=0.002)。
2022年发表的一项韩国队列研究分析了激素治疗与H1N1相关ARDS患者的预后。结果发现:激素累计剂量≥250 mg的患者,30 d病死率显著降低,180 d病死率无显著变化;激素使用疗程≥3 d的患者,30 d病死率显著降低,180 d病死率无显著升高。亚组分析显示,激素治疗降低年龄≥65岁H1N1相关ARDS患者30 d病死率。但也有研究显示糖皮质激素治疗对于流感相关ARDS患者无明显生存获益。
三、细菌性ARDS vs. 非细菌性ARDS
2021年BMC Pulm Med 杂志发表的一项回顾性队列研究分析了ARDS不同病因之间的异质性。在肺炎相关ARDS中,细菌性肺炎、病毒性肺炎和真菌性肺炎分别有87例(70%)、16例(13%)和22例(17%)。结果发现,细菌性ARDS患者更容易出现休克和肺外脏器功能障碍。
在重症肺炎的临床诊疗中,高毒力病原体所致感染因其进展迅猛、病情危重的特点,需引起高度重视。以下两例典型病例直观体现了其临床特征。
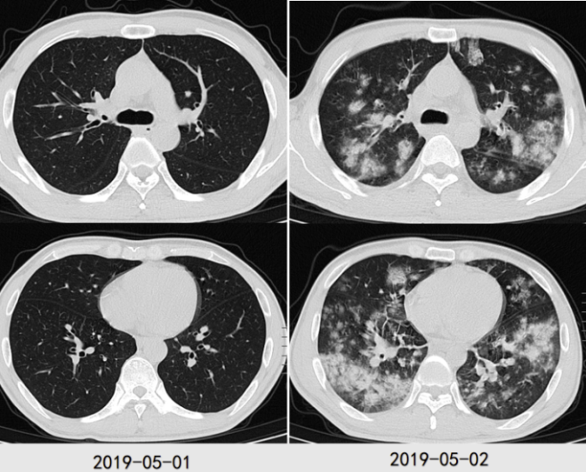
病例1:38岁男性患者,有2型糖尿病基础病史,以"高热、咳嗽4天,呼吸困难1天"为主要表现,呈急性病程。患者病情进展极快,短时间内即出现呼吸衰竭、脓毒性休克等严重并发症。影像学检查显示,2019年5月1日胸部CT未见明显异常,仅1天后(5月2日)复查,胸部CT已出现两肺弥漫性渗出改变。最终病原学检查确诊为耐甲氧西林金黄色葡萄球菌(Methicillin-Resistant Staphylococcus Aureus, MRSA)感染。
图1 病例1胸片变化
图2 病例1胸部CT变化
病例2:52岁男性患者,有2型糖尿病病史,高热、咳嗽3天,胸痛1天,急性病程,病情快速进展,迅速出现呼吸衰竭、脓毒性休克,从起病至接受呼吸支持及ECMO治疗仅间隔4天。病原学结果证实为高毒力肺炎克雷伯菌感染,且在病程中后期出现肺部实质破坏的特征性改变。
图3 病例2胸部CT变化情况
上述病例提示,高毒力病原体(如MRSA、高毒力肺炎克雷伯菌)所致重症肺炎,在合并糖尿病等基础疾病的患者中更易发生,且具有起病急、进展快、肺部影像学短期内快速恶化、多器官功能障碍出现早等特点,临床需提高警惕,尽早开展病原学检测,并采取针对性抗感染及脏器支持措施。
四、总结
不同呼吸道病原体因致病力与致病机制存在差异,使重症肺炎相关ARDS呈现出显著的异质性。这种异质性贯穿疾病全程,具体体现在多个维度:易感人群分布、ARDS前驱期时长、病理与影像学特征、呼吸力学指标(涵盖肺顺应性、肺可复张性)、通气血流比例(V/Q)、ARDS严重程度、机械通气持续时间、肺外脏器受累情况,以及对糖皮质激素治疗的反应性等。细分来看,新冠相关ARDS具有鲜明特点:更易累及高BMI人群,从感染到ARDS发生的前驱时间相对更长;疾病早期肺顺应性较高,V/Q失调表现更为突出,且对血管内皮损伤作用显著,微血栓形成风险更高,进而导致机械通气支持时间延长。而流感相关ARDS在病程初期,患者氧合障碍更为严重,继发侵袭性曲霉感染的概率更高。此外,对于糖皮质激素治疗的疗效与安全性,尚存争议,需结合患者具体情况谨慎决策。
参考文献
[1] Bos LDJ, Ware LB. Acute respiratory distress syndrome: causes, pathophysiology, and phenotypes[J]. Lancet, 2022, 400(10358):1145-1156.
[2] Gattinoni L, Chiumello D, Caironi P, et al. COVID-19 pneumonia: different respiratory treatments for different phenotypes?[J]. Intensive Care Med, 2020, 46(6):1099-1102.
[3] Gattinoni L, Coppola S, Cressoni M, et al. COVID-19 Does Not Lead to a "Typical" Acute Respiratory Distress Syndrome[J]. Am J Respir Crit Care Med, 2020, 201(10):1299-1300.
[4] Brault C, Zerbib Y, Kontar L, et al. COVID-19- versus non-COVID-19-related Acute Respiratory Distress Syndrome: Differences and Similarities[J]. Am J Respir Crit Care Med, 2020, 202(9):1301-1304.
[5] Haudebourg AF, Perier F, Tuffet S, et al. Respiratory Mechanics of COVID-19- versus Non-COVID-19-associated Acute Respiratory Distress Syndrome[J]. Am J Respir Crit Care Med, 2020, 202(2):287-290.
[6] Mahida RY, Chotalia M, Alderman J, et al. Characterisation and outcomes of ARDS secondary to pneumonia in patients with and without SARS-CoV-2: a single-centre experience[J]. BMJ Open Respir Res, 2020, 7(1):e000731.
[7] Bain W, Yang H, Shah FA, et al. COVID-19 versus Non-COVID-19 Acute Respiratory Distress Syndrome: Comparison of Demographics, Physiologic Parameters, Inflammatory Biomarkers, and Clinical Outcomes[J]. Ann Am Thorac Soc, 2021, 18(7):1202-1210.
[8] Ackermann M, Verleden SE, Kuehnel M, et al. Pulmonary Vascular Endothelialitis, Thrombosis, and Angiogenesis in Covid-19[J]. N Engl J Med, 2020, 383(2):120-128.
[9] Chaudhuri D, Sasaki K, Karkar A, et al. Corticosteroids in COVID-19 and non-COVID-19 ARDS: a systematic review and meta-analysis[J]. Intensive Care Med, 2021, 47(5):521-537.
[10] Beloncle FM. Is COVID-19 different from other causes of acute respiratory distress syndrome?[J]. J Intensive Med, 2023, 3(3):212-219.
[11] Short KR, Kroeze EJBV, Fouchier RAM, et al. Pathogenesis of influenza-induced acute respiratory distress syndrome[J]. Lancet Infect Dis, 2014, 14(1):57-69.
[12] Hariri LP, North CM, Shih AR, et al. Lung Histopathology in Coronavirus Disease 2019 as Compared With Severe Acute Respiratory Sydrome and H1N1 Influenza: A Systematic Review[J]. Chest, 2021, 159(1):73-84.
[13] Maamar A, Guillot P, Joussellin V, et al. Moderate-to-severe ARDS: COVID-19 patients compared to influenza patients for ventilator parameters and mortality[J]. ERJ Open Res, 2023, 9(2):00554-2022.
[14] Ding L, Chen Y, Su N, et al. Comparison of acute respiratory distress syndrome in patients with COVID-19 and influenza A (H7N9) virus infection[J]. Int J Infect Dis, 2022, 122:593-598.
[15] Lamoth F, Lewis RE, Walsh TJ, et al. Navigating the Uncertainties of COVID-19-Associated Aspergillosis: A Comparison With Influenza-Associated Aspergillosis[J]. J Infect Dis, 2021, 224(10):1631-1640.
[16] Brun-Buisson C, Richard JC, Mercat A, et al. Early corticosteroids in severe influenza A/H1N1 pneumonia and acute respiratory distress syndrome[J]. Am J Respir Crit Care Med, 2011, 183(9):1200-1206.
[17] Kwon KE, Jung SY, Baek MS, et al. Corticosteroids in H1N1, non-viral, and COVID-19 ARDS[J]. Intensive Care Med, 2022, 48(12):1809-1811.
[18] Ruan SY, Huang CT, Chien YC, et al. Etiology-associated heterogeneity in acute respiratory distress syndrome: a retrospective cohort study[J]. BMC Pulm Med, 2021, 21(1):183.
[19] Peng W, Wu Y, Lu R, et al. Successful treatment of acute respiratory distress syndrome caused by hypervirulent Klebsiella pneumoniae with extracorporeal membrane oxygenation and continuous renal replacement therapy: A case report and literature review[J]. Front Med (Lausanne), 2022, 9:936927.
作者介绍
吴晓东
同济大学附属上海市肺科医院呼吸与危重症医学科,博士,副主任医师,同济大学医学院硕士研究生导师,主要从事肺部感染与宿主免疫调控、介入呼吸病的临床及基础研究。近年来,在Chest、BMC Medcine等国际期刊发表SCI论文10余篇、实用新型专利2项;参与译著《介入呼吸病学理论与实践》《呼吸与危重症医学临床手册》等;主持国自然青年项目课题1项、上海市卫健委课题1项,担任中国气道管理联盟及气道管理专业委员会副主委,上海市医学会呼吸病学专科分会呼吸重症学组成员,上海市医学会结核病学专科分会青年委员。
本文转载自订阅号「重症肺言」
* 文章仅供医疗卫生相关从业者阅读参考
本文完
责编:Jerry
