一、病史简介
患者男性,73岁,重庆人,于2025-06-04收住院。
1、主诉:反复咳嗽咳痰2周。
2、现病史:患者自诉2周前无明显诱因出现咳嗽咳痰,咳白色粘痰,量少,易咳出,无痰中带血、异味,呈阵发性咳嗽,白天减轻夜间加重,静息状态下无明显呼吸困难,伴间断上腹痛,无头昏头晕,无发热、咯血、胸痛、胸闷、心悸,无端坐呼吸、夜间阵发性呼吸困难、腹胀腹泻、下肢水肿,至当地医院就诊,完善相关胸部CT示:1.双肺多发磨玻璃密度病灶,多考虑感染性病变;2.右肺中叶支气管扩张伴肺组织膨胀不全;3.左肺上叶尖后段实性结节影,建议隔期复查;4.双侧胸膜增厚;5.升主、胸主动脉扩张。予抗感染治疗(具体不详)后咳嗽咳痰无缓解,为寻求进一步诊治,遂至我科门诊就诊,以“支气管扩张伴感染”收住入院,自起病以来,患者精神、睡眠、饮食尚可,大小便正常,体重未见明显变化。
3、既往史:否认心脑血管、肺、肾、内分泌系统等重要脏器疾病史及传染病史,否认外伤史,2024年行“疝气”手术史,否认输血史,患者自诉头孢过敏,预防接种史不详。
4、入院查体:T:36.4℃,P:64bpm,R:20bpm, BP:123/75mmHg;未吸氧下氧饱和度96%,一般情况可,神清,查体合作,对答切题,眼睑结膜无充血水肿,口唇及全身皮肤粘膜无发绀,无皮肤黄染及出血点,颈静脉无充盈;双肺呼吸音清,双肺未闻及干、湿啰音,心界无扩大,心率64次/分,律齐,各瓣膜听诊区未闻及病理性杂音;腹平软,无压痛、反跳痛及肌紧张,肝脾肋下未触及肿大,肝颈静脉回流征(-),移动性浊音(-),肠鸣音4次/分;双下肢无水肿,生理反射存在,病理反射未引出。
二、辅助检查
(1)、入院完善相关检验检查:[2025-06-04]血气分析 :氧分压 70mmHg,二氧化碳分压38mmHg,氧分压温度校正 67mmHg, 呼吸指数 0.5, 血氧饱和度 94%, 氧合指数 333mmHg, 肺泡动脉氧分压差 36mmHg, 标准钙离子 1.13mmol/L。
(2)、[2025-06-05]血细胞分析及一般血液学检查:嗜碱性粒细胞百分比 1.00%, 嗜碱性粒细胞绝对值 0.06×10^9/L,中性粒细胞百分比51.60%,中性粒细胞绝对值3.25×10^9/L,淋巴细胞百分比36.60%,淋巴细胞绝对值2.30×10^9/L,白细胞6.29×10^9/L,红细胞4.88×10^12/L,血小板213×10^9/L。
(3)、[2025-06-05]血浆纤溶系统检测3项^凝血四项:D二聚体 0.51mg/L, 纤维蛋白原 4.21g/L。
(4)、[2025-06-05]血生化、肝炎病原学、类风湿相关抗体6项+ANCA检测+抗核抗体(ANA)16项检测、抗磷脂谱8项、肿瘤标志物检测男11项、结核感染T细胞检测、细菌涂片抗酸染色检查、真菌涂片等相关检验均无异常。
(5)、[2025-06-06]支气管镜(图1)并送检靶向病原微生物高通量测序(tNGS)(图2、图3、图4):如下图:
图1
图2
图3
图4
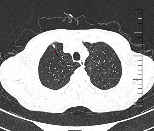
(6)、我院胸部CT:1、右肺上叶后段磨玻璃结节,密切随诊。(Lung-RADS 3);2、余肺内可见多发微小结节,随诊。(Lung-RADS 2)3、右肺中叶不张。右肺下叶背段少许支扩。4、升主动脉横径增宽,径约41mm。
体温单
三、诊疗经过
诊断:1.百日咳鲍特菌感染;2.右肺下叶背段支气管扩张伴感染;3.右肺上叶后段磨玻璃结节性质待诊;4.右肺中叶不张。
与临床微生物室沟通后:患者标本合格:如下图
药敏结果显示对大环内酯类敏感,若无过敏史,建议首选大环内酯类。
院内:予上报疫情,阿奇霉素0.5g+0.9%NacCl 500ml静脉滴注,院外改为:口服阿奇霉素,每次0.25g,每天1次(疗程2周)
四、讨论
1、百日咳(Whooping Cough / Pertussis)是由百日咳鲍特菌(Bordetella pertussis)引起的一种具有高度传染性的急性呼吸道传染病。其特征是阵发性、痉挛性咳嗽,常伴有鸡鸣样吸气声,因此得名“百日咳”。该病主要通过飞沫传播,具有较强的传染性,尤其在未接种疫苗或免疫力较低的人群中更为常见。百日咳的病程通常分为三个阶段:卡他期、痉咳期和恢复期。卡他期表现为类似感冒的症状,如流鼻涕、低烧和轻微咳嗽;痉咳期则以剧烈的阵发性咳嗽为特征,咳嗽结束后常伴有深长的吸气声(“鸡鸣样”);恢复期咳嗽逐渐减轻,持续数周至数月。
2、百日咳的潜伏期通常为7至21天,传染性最强的时期是在潜伏期末至病后卡他期的2至3周内。对于未接种疫苗的婴幼儿,尤其是6月龄以下的婴儿,百日咳可能导致严重的并发症,如肺炎、脑病甚至死亡。对于青少年及成人,由于疫苗保护力随时间减弱,可能再次感染,症状通常较轻或不典型(可能只表现为持续数周的咳嗽),但仍具有传染性,是传播给婴幼儿的重要传染源。因此,百日咳的预防和早期诊断至关重要。
3、诊断主要依赖于临床症状、流行病学史以及实验室检查,如鼻咽分泌物培养、血清学检测等。治疗方面,抗生素(如大环内酯类)是主要的治疗手段,尤其在发病后21天内使用效果最佳。对于重症患者,可能需要住院治疗,包括吸氧、营养支持和对症处理。对于该患者,反复咳嗽2周,血常规、感染指标、真菌涂片等相关检验未见明显异常,胸部CT提示:右肺中叶不张;右肺下叶背段少许支扩。故进一步完善支气管镜并送检靶向病原微生物高通量测序回报:百日咳鲍特菌(药敏结果显示对大环内酯类敏感),除外禁忌,予营养支持治疗,“阿奇霉素”抗感染、止咳化痰、雾化对症,并严格呼吸道隔离(戴口罩,避免近距离接触他人,尤其婴幼儿)。
4、预防百日咳最有效的方法是接种疫苗。百日咳疫苗通常与白喉和破伤风疫苗联合使用,称为DTaP疫苗(美国)或百白破疫苗(中国)。按照我国现行的免疫接种程序,婴幼儿应在3月龄、4月龄、5月龄和18月龄及时接种1剂百日咳-白喉-破伤风联合疫苗(DTap,百白破疫苗)。如从未接种过Tdap的成人应接种1剂替代1次Td(破伤风-白喉)加强针。后续每10年仍需接种Td加强针,但Tdap一生通常只需1剂(孕妇每次妊娠需接种),未接种或未完成接种的儿童及成人应尽快补种。此外,加强疫苗接种也是应对百日咳“回归”现象的重要措施。本例患者既往预防接种史不详,高龄,即使感染后能获得自然免疫,仍推荐康复后接种疫苗,因为自然感染产生的抗体可能3-10年后显著下降,未来仍有再感染风险(尤其是老年人)。
5、靶向高通量测序(tNGS)是一种结合了超多重PCR扩增与高通量测序的技术,能够直接对临床样本中的特定病原体及其毒力和耐药基因进行富集和检测。该技术在感染性疾病的快速精准诊疗中具有重要应用价值,尤其适用于低浓度病原体的检测。
参考文献
[1]百日咳科普指南[2022-01-01]
[2]Get vaccinated and prevent the '100-day cough'. Dr. Ralph Messo.[2011-12-13]
[3]中华预防医学会, 中华预防医学会疫苗与免疫分会 . 中国百日咳行动计划专家共识[J]. 中华流行病学杂志, 2021,42(6): 955‑965. DOI: 10.3760/cma. j. cn112338‑ 20210308‑00186.
[4]黄海涛, 高志刚, 刘勇, 等 . 天津市 2005‑2014 年成年人百日咳流行特征及相关因素分析[J]. 中华流行病学杂志,2016, 37(5): 678‑681. DOI: 10.3760/cma. j. issn. 0254‑ 6450.2016.05.018.
[5]2024版中国百日咳诊疗与预防指南,12条推荐意见一览!.中华医学会感染病学分会儿科感染学组等. [2024]
[6]Whooping Cough Treatment in Adults[2009-03-06]
[7]姚开虎, 汪丙松, 孟庆红 . 疫苗时代百日咳的临床特征 [J].中华医学杂志, 2022, 102(30): 2384‑2388. DOI: 10.3760/cma.j.cn112137‑20220506‑00994.
作者介绍
陈先玲
硕士研究生,昆明医科大学第一附属医院感染性疾病科2023级专硕研究生。
范晶华
医学博士,主任医师,硕士生导师,昆明医科大学第—附属医院感染性疾病科副主任,入选云南省“兴滇英才支持计划”名医专项(云岭名医) ,云南省高层次卫生技术人才感染性疾病学科带头人,中华医学会肝病学分会青年委员,中国医促会肝胆疾病分会委员,云南省医学会感染病学分会副主任委员,云南省医学会肝病学分会副任委员,云南省医院协会肝病专委会副主任委员。
刘倩
主治医师,就职于昆明医科大学第一附属医院呼吸与危重症一科,擅长呼吸系统常见及多发病,比如;呼吸系统感染性疾病、肺间质性疾病、肺部肿瘤、肺心病、呼吸衰竭等。
作者:陈先玲、范晶华、刘倩(昆明医科大学第一附属医院);审校:赵鸿(北京大学第一医院)
本文转载自订阅号「京港感染论坛」
原链接戳:【病例讨论】一例百日咳病例分享
* 文章仅供医疗卫生相关从业者阅读参考
本文完
责编:Jerry
