摘要
反晕征也称环礁征,是一种特殊的影像学征象,既往认为主要出现在隐源性机化性肺炎中,目前也有报道见于真菌感染、肺结核、血管炎、肿瘤性疾病中。本文报道1例原发性干燥综合征并非特异性间质性肺炎中年女性患者,以反晕征为主要影像学表现,较为罕见,最终通过抗核抗体谱、唇腺活检和肺活检等确诊,提示临床中若出现与影像学不相符的疾病时需结合实验室检查及病理诊断,以防误诊、误治。
患者女,43岁,因“咳嗽、咳痰伴憋气3个月”于2024年1月11日入院。患者3个月前出现咳嗽,咳少许黄色黏痰,间断憋气,伴口干、吞咽干燥食物困难,需频繁饮水帮助。自服“阿奇霉素”抗感染治疗5 d,症状无缓解。 外院胸部CT示双肺多发高密度影,考虑感染性病变可能性大。既往体健,无吸烟饮酒史。
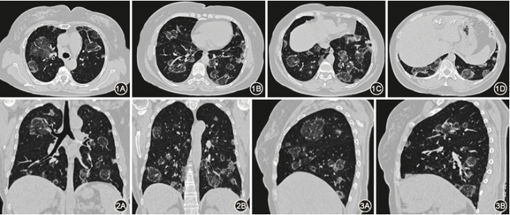
体格检查:体温36.8 ℃,脉率94次/min,呼吸频率23次/min,血压129/88 mmHg(1 mmHg=0.133 kPa)。患者意识清楚,精神状态良好,双肺呼吸音粗,未闻及干湿性啰音,心脏及腹部体格检查未见明显异常,四肢关节无红肿、压痛,双下肢无水肿。入院后完善相关实验室检查,血常规:血小板414×10^9/L(正常参考值为 125×10^9~350×10^9/L);红细胞沉降率为120 mm/1 h(正常参考值为0~20 mm/1 h);风湿指标:C反应蛋白(CRP)15.7 mg/L(正常参考值为0~8 mg/L),抗链球菌溶血素O(ASO)455 U/ml(正常参考值为1~170 U/ml),类风湿因子(RF)499.6 U/ml(正常参考值为1~30 U/ml),抗环瓜氨酸肽(CCP)抗体测定1434 U/ml(正常参考值为0~46 U/ml);抗核抗体谱:抗SSA/Ro抗体>500 U/ml,抗SSB抗体>500 U/ml,抗核抗体1∶100、1∶320、1∶640、1∶1 000均为阳性;肌炎抗体谱:抗Ro-52抗体+++,抗TIF1-γ抗体、抗NXP2抗体、抗Mi-2α抗体、抗OJ抗体、抗MDA5抗体等均为阴性,肌电图:上下肢肌肉无神经传导异常及肌源性损害。肺部肿瘤标志物、结核感染T细胞检测、真菌D-葡聚糖、半乳甘露聚糖、抗中性粒细胞胞质抗体、痰细菌培养、抗酸杆菌涂片、真菌涂片均为阴性;2024-01-12胸部HRCT:双肺多发大小不等团片状、结节状密度增高影,呈反晕征象(图1, 图2, 图3)。
图1 2024年1月12日胸部HRCT(轴位)肺窗示双肺散在分布大小不等的斑片状、结节状密度增高影,中央为磨玻璃密度,外周边缘为环状高密度影,呈反晕征像,部分结节内可见血管穿行影
图2 2024年1月12日胸部HRCT(冠状位)肺窗示双肺以中下肺野为主的多发斑片状、结节状反晕征影,部分病灶周围可见条索状密度增高影
图3 2024年1月12日胸部HRCT(矢状位)肺窗示双肺内病灶呈反晕征影,部分小结节呈混合磨玻璃样密度增高影
2024-01-15在局部麻醉下行支气管镜检查:双肺各叶段支气管内见较多白色分泌物,管腔黏膜光滑,未见新生物,于双肺下叶行支气管肺泡灌洗、刷检,送检病原学:支气管镜刷检物及灌洗液均未查到细菌、真菌及抗酸杆菌,灌洗液病原体靶向测序tNGS、GeneXpert均阴性。于左肺下叶外后基底段行TBLB提示黏膜慢性炎症,未查见肿瘤细胞。2024-01-18行唇腺活检,病理可见淋巴细胞浸润灶,4个/4 mm2,淋巴细胞数≥50个(图4)。
患者青年女性,口干症状持续3个月,伴吞咽困难,血清抗SSA、SSB抗体阳性,唇腺灶性淋巴细胞浸润,且灶性指数>1个灶/4 mm2,符合2016年美国学会与欧洲联盟原发性干燥综合征(primary Sjögren′s syndrome,pSS)分类标准[1],pSS诊断明确。2024-01-25行胸腔镜下右肺下叶肺活检术,术后病理示:肺泡隔内间质淋巴细胞浸润为主,局部纤维化,伴有肺泡上皮增生,呈片状或细支气管中心分布(图5)。
最终诊断:原发性干燥综合征并非特异性间质性肺炎。治疗上给予甲泼尼龙(40 mg/次,静脉推注,1次/d),羟氯喹(200 mg/次,口服,2次/d),2024-02-10复查胸部CT:双肺病灶较前基本吸收(图6)。
出院后继续口服甲泼尼龙(0.5 mg·kg-1·d-1)及羟氯喹,1个月后激素逐渐减量,目前门诊随诊5个月,患者病情控制尚可,未再复发。
图4 2024年1月18日唇腺活检组织病理:唇腺组织内见灶状淋巴细胞浸润,唇腺腺泡轻度萎缩,间质少量脂肪组织填充,间质纤维化不明显,小叶内导管轻微扩张;灶性指数为4;Chisholm组织病理分度:Ⅳ度 HE 低倍放大
图5 2024年1月25日(右肺下叶)肺活检病理:间质伴大量以淋巴细胞为主的慢性炎细胞浸润,局部纤维结缔组织增生,可见少量增生的平滑肌组织;周围肺泡上皮增生,未见明显异型性 HE 低倍放大
图6 2024年2月10日胸部CT(轴位)双肺少许条索状影,双肺反晕征病灶吸收
讨论
反晕征(reversed halo sign,RHS)是一种特殊的影像学征象,即在胸部HRCT中见中央磨玻璃样影,周围被新月形或环形致密实变影包绕,由于其类似于珊瑚环礁,也被称为环礁征[2]。RHS最初被认为是隐源性机化性肺炎(cryptogenic organizing pneumonia,COP)所特有的影像学表现,尤其在免疫功能正常者中[3]。COP的病理学特征为细支气管、肺泡管和肺泡腔被肉芽组织填充,间质被数量不等的单核细胞和泡沫巨噬细胞浸润。RHS中心的磨玻璃影对应于肺泡间隔炎症和细胞坏死物,环形致密实变影对应于肺泡管内机化性栓子。目前RHS也见于球孢子菌病、类淋巴瘤肉芽肿病、肺接合菌病、侵袭性肺曲霉病、类脂性肺炎、弥漫性细支气管肺泡癌、韦格纳肉芽肿及非特异性间质性肺炎(nonspecific interstitial pneumonia,NSIP)中[4]。在球孢子菌病和类淋巴瘤肉芽肿病中,RHS中央磨玻璃影是累及肺泡壁的炎性浸润,周围实变影为致密均匀的肺泡内炎性浸润[5, 6];在肺接合菌病和侵袭性肺曲霉病中,RHS是早期征象,随病情发展会形成肺梗死及空洞影;组织学上,RHS的中心区由多个被菌丝阻塞的小动脉和小静脉构成,外周环由炎性纤维渗出物和肺出血形成[7]。在类脂性肺炎中,RHS是由于慢性炎症伴肉芽肿性机化所致[8]。
NSIP是一种慢性间质性肺疾病,与多种胶原血管疾病相关,包括系统性硬化症、多发性肌炎、皮肌炎(dermatomyositis,DM)、SS和类风湿性关节炎(rheumatoid arthritis,RA)等。病理学上,NSIP的特征是不同程度的纤维化,根据纤维化的程度分为细胞型NSIP、细胞与纤维化混合型NSIP及纤维化型NSIP。其中细胞型NSIP以间质炎症为主,肺泡壁内有淋巴细胞和浆细胞浸润,纤维化较轻。由于以炎症为主,可形成中心磨玻璃影,但外周实变环较少见,故RHS在细胞型NSIP中较罕见。混合型NSIP同时存在明显的炎症细胞浸润和纤维化,炎症以淋巴细胞和浆细胞为主,纤维化表现为肺泡间隔增厚和胶原沉积。RHS在混合型NSIP中不常见,但在某些疾病中,可出现类似RHS的影像学表现,其中RHS的中心低密度区对应于肺泡腔内的机化性炎症或纤维化,而周围高密度环对应于肺泡间隔的炎症或纤维化。纤维化型NSIP以间质纤维化为主,炎症较轻,肺泡结构可能被破坏,但病变在时相上较为一致。纤维化可导致肺泡结构破坏和间质增厚,形成外周实变环,而中心磨玻璃影由残留的炎症或轻度纤维化引起,故RHS在纤维化型NSIP中更常见[10]。
由于RHS缺乏特异性,Marchiori等[11]根据RHS在CT上的不同形态,总结出不同的影像学特点,有效缩小了鉴别诊断范围。若RHS出现结节壁,并伴有“树芽征”、支气管壁增厚、淋巴结肿大,则考虑是结核病或结节病等肉芽肿性疾病。若RHS具有较厚的环(>1 cm)、磨玻璃结节有网状结构伴胸腔积液,则考虑侵袭性真菌肺炎。若RHS中心的磨玻璃成分生长缓慢,并伴有肿瘤的贴壁生长,则考虑肺腺癌。在诊断RHS时,需考虑疾病整体临床表现,对于免疫功能低下的宿主,应考虑侵袭性真菌感染;对于免疫功能正常的宿主,诊断前应完善支气管镜检查、支气管肺泡灌洗和肺活检。在结核病或副球孢子菌流行的国家,需进行相关检查排除上述疾病。若考虑血管炎、SS等自身免疫系统疾病,应尽早完善抗中性粒细胞胞质抗体、抗SSA、SSB抗体检查[12]。
pSS是一种慢性自身免疫性疾病,其特征是B细胞过度活跃和外分泌腺被淋巴细胞浸润,除眼干、口干外,还有多种全身表现,包括关节炎、自主神经功能紊乱、血管炎、肾脏及肺部受累等[13]。pSS易受环境因素影响,从而导致免疫系统对自身抗原的反应功能失调。受损的免疫系统通过激活先天免疫反应及腺体上皮细胞,导致B细胞和T细胞活化,使靶器官受损。肺血管丰富,结缔组织含量多,是结缔组织病的易感靶器官。间质性肺疾病(interstitial lung disease,ILD)作为最常见的腺外并发症,是pSS患者预后不良的重要因素。病理类型上pSS-ILD 可分为NSIP、普通型间质性肺炎(usual interstitial pneumonia,UIP)、淋巴细胞性间质性肺炎(lymphocytic interstitial pneumonia,LIP)及机化性肺炎(organizing pneumonia,OP),其中以NSIP最为常见。pSS-ILD的发病机制是由于pSS激活肺泡上皮细胞表达的抗原、酶及毒蕈碱型受体,导致细胞凋亡、自身抗原释放,造成表位扩散和上皮细胞损伤,肺间质中的成纤维细胞和肌成纤维细胞被激活并产生细胞外基质蛋白,导致肺纤维化[14]。
该患者存在多种自身抗体阳性,需考虑可能存在免疫系统基础疾病。RF和抗CCP抗体是诊断RA最有价值的自身抗体,但RF阳性并非RA的特异性抗体,也可见于慢性感染性疾病及其他自身免疫疾病,如系统性红斑狼疮(systemic lupus erythematosus,SLE)、DM、SS等,其中在SS的阳性率可达90%~100%[15]。抗CCP抗体升高可在RA早期出现,除RA外,还可见于干燥综合征-类风湿关节炎重叠综合征。抗SSA/Ro抗体阳性提示肌炎与其他结缔组织病重叠,约见于25%的DM患者,可合并SLE、SS[16]。抗Ro-52抗体阳性在pSS和DM中较为常见,是明确诊断的依据之一。该患者目前无关节肿胀、疼痛、晨僵、皮疹、肌无力等临床表现,肌电图无肌源性损害,不符合RA和DM的诊断标准,考虑pSS可能性大,但不除外将来发展为继发于RA或DM的SS,应高度警惕结缔组织病重叠可能。
患者双肺弥漫性RHS,但环礁征边界较细,似不同于常见RHS,除SS外,我们考虑可能存在其他免疫因素。如RA相关间质性肺疾病(RA-ILD),其最常见的胸部特征包括网状结构改变、胸膜增厚和磨玻璃影。按照ILD组织病理学分型,RA-ILD可分为UIP和NSIP两种亚型。UIP具有不均一性,可形成蜂窝斑片状纤维化和成纤维细胞病灶;而NSIP具有均一性,可见肺泡间隔增厚,伴不同程度的炎症和纤维化[17]。其次应考虑DM-ILD,在ILD病变早期可出现小叶间质改变,常表现为小叶内间质增厚,支气管血管束增粗,小叶间隔增厚;随病情进展,可形成磨玻璃影、胸膜下线、实变影、蜂窝影、牵拉性支气管扩张等。DM-ILD组织病理类型以NSIP型、NSIP型与OP型重叠、OP型最为常见,其中NSIP型提示肺部可逆性炎性改变,预后较好[18]。但以患者目前的临床表现及实验室检查诊断RA、DM证据尚不充足,在后续随访中,需密切观察血清学、影像学及临床表现的变化,进一步明确是否会发展为继发性SS。
pSS-ILD的治疗包括使用糖皮质激素和免疫抑制剂。其中糖皮质激素是最有效的,但SS患者长期使用可能会加重牙周病和口腔念珠菌病。在慢作用药物中,羟氯喹有助于减轻关节痛、肌痛和淋巴结肿大,尤其是对于合并血沉增快、多克隆高球蛋白血症的患者,每日使用羟氯喹6~8 mg/kg最为有效[19]。若累及神经系统、肾脏等,除使用糖皮质激素外,还需联合免疫抑制剂,如硫唑嘌呤、环磷酰胺、他克莫司、环孢素等[20]。本例NSIP病理主要以炎症细胞浸润为主,纤维化较轻,在应用糖皮质激素联合慢作用药物治疗后症状改善,影像学明显吸收。
综上所述,RHS既往被认为是COP的特异性影像学表现,目前可在各种肺部疾病中出现,包括感染性和非感染性疾病。本例pSS合并NSIP,肺部影像学表现为RHS,较为罕见,容易误诊、漏诊,因此,对于结缔组织病相关性间质性肺疾病,如有条件可尽早完善胸部HRCT、组织病理学,以协助早期诊治。
参考文献(略)
作者:蔺晨 王世寿 冯涛;第一作者单位:山东省东营市胜利油田中心医院呼吸与危重症医学科;通信作者:王世寿,山东省东营市胜利油田中心医院呼吸与危重症医学科
引用本文:蔺晨, 王世寿, 冯涛. 以反晕征为影像学表现的原发性干燥综合征并非特异性间质性肺炎1例[J]. 中华结核和呼吸杂志, 2025, 48(8): 755-758. DOI: 10.3760/cma.j.cn112147-20250708-00384.
本文转载自订阅号:中华结核和呼吸杂志
原链接戳:【病例报告】以反晕征为影像学表现的原发性干燥综合征并非特异性间质性肺炎1例
* 文章仅供医疗卫生相关从业者阅读参考
本文完
责编:Jerry
