环境暴露+酗酒,患者“爆发性肺炎”、迅速出现多器官功能衰竭,背后非传统、高毒力的病原体如何浮出水面?
来源: 呼吸界 01-21


社区获得性皮特不动杆菌(Acinetobacter pittii,A.pittii)肺炎临床罕见,进展迅猛,病死率高,临床表现无特异性,传统方法检出困难,极易误诊、漏诊,临床救治难度大[1]。本文报道1例社区获得性A.pittii爆发性肺炎致脓毒性休克、急性呼吸窘迫综合征(acute respiratory distress syndrome,ARDS)及多器官功能障碍综合征(multiple organ dysfunction syndrome,MODS)的成功救治病例,通过支气管肺泡灌洗液(bronchoalveolar lavage fluid,BALF)宏基因组测序(metagenomic next-generation sequencing,mNGS)快速明确病原体,在传统通气策略失败后,早期采用气道压力释放通气(airway pressure release ventilation,APRV)联合长程俯卧位通气(prone position ventilation,PPV)成功逆转顽固性低氧血症。本文旨在为类似危重病例,特别是常规呼吸支持失败者,提供临床借鉴,阐述APRV联合PPV在重度ARDS中的潜在挽救价值。


病例资料


患者男,58岁,农民,有长期大量饮酒史,因“饮酒后5小时出现发热、咳嗽、进行性呼吸困难”于2024年8月13日急诊入院。查体:体温42.0℃,心率145次/分,呼吸频率37次/分,血压75/65 mm Hg(1 mm Hg=0.133 kPa)(去甲肾上腺素0.4μg/kg/min维持下),SpO2 71%[有创机械通气,吸入氧浓度(FiO2)100%,呼气末正压(positive end-expiratory pressure,PEEP)10 cm H2O];意识模糊,全身湿冷伴花斑,三凹征(+);双肺满布湿性啰音。


辅助检查:动脉血气分析:pH 7.48,PaCO2 27 mm Hg,PaO2 43 mm Hg,Lac 3.2 mmol/L;血常规:白细胞计数1.74×109/L,血小板计数47×109/L;炎症标志物:降钙素原408 ng/mL,白介素-6>5000pg/mL;肝功能:丙氨酸氨基转移酶215 U/L,天冬氨酸氨基转移213 U/L,总胆红素47.4 μmol/L,直接胆红素42.9 μmol/L,总蛋白52 g/L,白蛋白28 g/L;肾功能:血尿素氮13.01 mmol/L,血肌酐186 μmol/L;心肌损伤标志物:肌酸激酶725U/L,肌酸激酶同工酶4.09 ng/mL,肌钙蛋白I16 ng/mL;免疫功能:人类免疫缺陷病毒(HIV)抗体:阴性,淋巴细胞亚群:CD3总T淋巴细胞计数0.5×109/L,CD4+ T淋巴细胞计数0.07×109/L;凝血功能:D-二聚体4592ng/mL,纤维蛋白原5.2g/L,凝血酶原时间14.5秒,活化部分凝血活酶时间42秒;


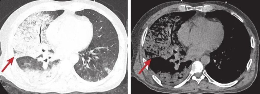
胸部CT(图1):双肺弥漫性大片状实变影,内见支气管充气征。病情严重度评分:CURB65评分:4分,急性生理学与慢性健康状况评分II(APACHE II) :32分,序贯器官衰竭评分(SOFA) :18分。


初步诊断:重症社区获得性肺炎(severe community-acquired pneumonia,SCAP),脓毒性休克,重度ARDS,MODS(呼吸、循环、血液、肝脏、肾脏)。


图1 入院时胸部CT检查图像

双肺多发大片状密度增高影,部分融合实变,可见支气管充气征(箭头所示)。


病原学诊断:于入院第1天行床旁支气管镜示气道黏膜重度充血水肿,未见异物或显性误吸。留取BALF标本,分别送检mNGS及培养。BALF mNGS(表1)回报:明确检出A.pittii为绝对优势病原体(序列数76348,相对丰度98.73%)。BALF培养:分离出A.pittii,主要药敏结果见表2,血培养连续2次阴性。



治疗与转归:


① 抗感染:初始予美罗培南1g q8h +左氧氟沙星0.5 g qd静滴经验性抗感染,结合BALF mNGS明确A.pittii感染及药敏结果(对头孢哌酮/舒巴坦敏感),且患者体温恢复正常、感染指标显著下降、氧合改善,遂于第5天降阶梯调整为头孢哌酮/舒巴坦3g q8h静滴。


② 呼吸支持:初始(第1天):氧合指数(PaO2/FiO2):43 mm Hg,呼吸力学示:顺应性差(18 ml/cm H2O),立即启动肺保护性通气(lung protective ventilation,LPV),容量控制通气模式:潮气量4~6 ml/kg(理想体重),限制平台压<30 cm H2O,驱动压<15 cm H2O,初始PEEP 10 cm H2O,最佳顺应性法滴定PEEP在12~15 cm H2O。同步启动早期长程PPV(≥16h/d)。第2天:经LPV+PPV治疗24h,氧合改善不理想(PaO2/FiO2:68 mm Hg),遂将呼吸机模式切换为APRV。初始参数设置为高压水平(Phigh)28 cm H2O,低压水平(Plow)5 cm H2O,高压时间(Thigh)3.5 s,低压时间(Tlow)0.5 s,根据呼吸力学、呼气末流速及血气分析动态调整,确保呼气末流速=75%呼气峰流速,并继续实施长程PPV。切换为APRV后,氧合呈显著改善趋势(表3),呼吸力学及临床状况同步好转,患者自主呼吸逐渐恢复,镇静需求降低。



③ 脓毒性休克及MODS管理:积极液体复苏,去甲肾上腺素联合垂体后叶素维持组织器官灌注,氢化可的松抗炎,乌司他丁改善循环,采用OXIRIS滤器行血液净化清除炎症介质;加强气道管理(纤维支气管镜吸痰),胸腺法新免疫调节,预防深静脉血栓,早期肠内营养支持,纠正低蛋白血症等综合治疗。


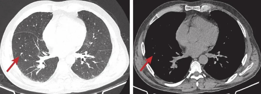
④ 转归:切换至APRV+PPV后,氧合持续显著改善(表3),第7天成功撤机,序贯HFNC(SpO2维持95%左右)。循环稳定,停用血管活性药物,炎症指标显著下降(白细胞计数 6.2×109/L,降钙素原0.2 ng/mL),复查胸部CT(第7天,图2):双肺弥漫性实变影较前显著吸收,仅残留少量磨玻璃影。第9天转出ICU,第23天痊愈出院。出院1月随访肺功能基本恢复(图3)。


图2 入院第7天复查胸部CT检查图像


与图1相比,双肺弥漫性实变影显著吸收,仅残留少量磨玻璃影(箭头所示)。


图3 出院1月后复查胸部CT检查像


与图2相比,磨玻璃影基本吸收(箭头所示)。


讨论


社区获得性皮特不动杆菌(A.pittii)肺炎极其罕见,病情凶险,病死率高,易进展为重症肺炎、脓毒性休克、ARDS及MODS,诊治面临重大挑战[1]。本例患者长期酗酒、从事农业劳作,在饮酒后数小时内暴发起病,迅速出现多器官功能衰竭。现有文献报道及本例经验提示,社区获得性A.pittii肺炎多与特定环境暴露(如农业活动)相关,且在酗酒等免疫抑制宿主中更易呈现暴发性病程[2-3]。酒精可严重损害呼吸道黏膜清除功能,肺泡巨噬细胞吞噬能力及细胞免疫应答,削弱宿主防御、促进病原体快速播散 [3]。本例患者CD4+ T淋巴细胞显著低下,进一步证实宿主防御功能严重受损,极大增加宿主对革兰氏阴性菌感染的易感性、疾病严重程度和不良预后风险。这警示临床,对具有“环境暴露+酗酒”高危因素的社区获得性暴发性肺炎患者,需高度警惕A.pittii等非传统、高毒力病原体的可能性。


此类爆发性肺炎,常规病原学检查早期常呈阴性,影像学检查缺乏特异性症状,快速、精准锁定病原体是制定有效抗感染方案、改善预后的关键前提。传统培养方法耗时长,且在鉴别A.pittii与鲍曼不动杆菌方面存在局限性[7]。本例通过床旁支气管镜获取BALF并送检mNGS,在短时间内即明确A.pittii为绝对优势病原体,有效排除了混合感染,为后续精准抗感染治疗提供了决定性依据。这充分凸显了BALF mNGS在病因不明、进展迅速的SCAP中的关键诊断价值[4-7],强调对于暴发性重症肺炎,应积极采用分子诊断技术早期明确病原学。


鉴于起病凶险、病原未明及酗酒高危因素,初始采用美罗培南联合左氧氟沙星抗感染,遵循指南推荐的“重锤猛击”原则[8-9]。获得明确病原学及药敏结果后,结合患者快速退热、PCT显著下降及氧合改善等积极反应,于第5天及时降阶梯为头孢哌酮/舒巴坦单药治疗。此决策不仅基于药敏结果,也考虑到舒巴坦对不动杆菌属所产β-内酰胺酶的特异性抑制作用[10-11]。降阶梯策略显著减少了碳青霉烯类药物的暴露时间,符合抗菌药物管理(Antimicrobial Stewardship,AMS)原则,有助于降低诱导耐药的风险[12-13]。


本例救治的关键在于针对常规策略治疗失败的重度ARDS及时采用APRV并维持PPV的进阶方案。初始治疗严格遵循肺保护性通气(LPV)原则[14-15],并早期启动长程PPV(>16小时/天);PPV通过改善通气/血流比(V/Q)、促进肺复张及利于分泌物引流[16-17],是当前指南推荐用于改善中重度ARDS氧合与预后的标准治疗[14-15,18]。然而,严格执行LPV联合充分PPV超过24小时后,患者氧合改善极其有限(PaO2/FiO2:68 mm Hg),提示常规呼吸支持策略失败,面临极高的体外膜肺氧合(Extracorporeal Membrane Oxygenation,ECMO)需求甚至死亡风险。此时,果断切换通气模式为APRV,同时维持长程PPV,成为病情的转折点。APRV基于“肺开放”策略[19-20],通过维持较高气道压力(Phigh)以促进肺泡复张与稳定,以短暂释放期(Tlow)促进二氧化碳排出,具有多重生理学优势[21-22]:最大化肺泡复张、减少剪切伤、保留自主呼吸、优化V/Q比、降低镇静需求与膈肌功能障碍风险。近期研究也表明,APRV改善顽固性低氧血症更为有效,可能优于传统通气模式[19,23]。


本例APRV与长程PPV的协同应用,可能通过多重机制快速逆转顽固性低氧血症。首先,PPV主要改善重力依赖区背侧的通气[24-25],而APRV维持已复张肺泡的开放状态;其次,APRV通过稳定肺泡和优化局部通气,而PPV通过体位改善肺血流分布,双重作用降低肺内分流;此外,保留自主呼吸进一步优化膈肌运动和咳嗽反射,利于分泌物的引流。这些协同效应可能是患者氧合在24小时内从68 mm Hg快速跃升至168 mm Hg的核心机制,成功避免ECMO支持。本例经验提示,APRV联合PPV作为一种操作相对简便、成本较低的进阶呼吸支持策略,在LPV联合PPV治疗效果不佳时具有重要的挽救价值[24],尤其适用于ECMO资源受限或存在禁忌的患者,并可缩短机械通气时间和ICU住院日[19,23]。尽管APRV在ARDS的应用时机、参数设置及疗效异质性仍需更多研究验证[26-27],本案例及近期证据均支持其在中重度ARDS救治中具有良好的临床应用前景。


结论


本例罕见社区获得性A.pittii所致暴发性肺炎合并重度ARDS的成功救治,核心策略包括:① 高危预警与快速诊断:对“环境暴露+酗酒”高危人群,需警惕A.pittii等罕见高毒力革兰阴性菌感染;BALF mNGS是实现早期精准诊断的关键;② 抗感染优化:初始“重锤猛击”确保覆盖,获病原学依据后及时降阶梯治疗,平衡疗效与耐药风险;③ 呼吸支持进阶突破:针对常规LPV联合充分PPV无效的重度ARDS,早期启用APRV并持续联合长程PPV,通过协同机制快速逆转顽固性低氧血症,成功避免ECMO支持。本案例为类似危重患者提供了“高危识别、快速分子诊断、精准抗感染、进阶呼吸支持”的实践路径,凸显了APRV联合PPV在特定重度ARDS中的挽救价值。未来亟须大样本研究明确社区获得性A.pittii的流行病学,并深入探索APRV联合PPV在ARDS的最佳应用时机、参数优化及其对病死率、无呼吸机天数、ECMO使用率等终点的影响。


利益冲突:本研究不涉及任何利益冲突。


参考文献略。


作者简介


第一作者 胡朝恩

攀枝花市中心医院重症学科主治医师,硕士研究生; 从事重症医学临床工作10余年,主攻重症呼吸、重症感染; 主持院级课题1项,参研世纪课题1项,以第一作者及共同第一作者发表论文十余篇,核心期刊6篇,SCI1篇。


通讯作者 王胶

攀枝花市中心医院呼吸与危重症科,呼吸治疗师。


引用本文:胡朝恩, 王胶. 气道压力释放通气联合俯卧位通气救治社区获得性皮特不动杆菌肺炎致重度急性呼吸窘迫综合征一例. 中国呼吸与危重监护杂志, 2025, 24(12): 883-886. doi: 10.7507/1671-6205.202507031


本文转载自订阅号“中国呼吸与危重监护杂志”

原链接戳:【病例报告】气道压力释放通气联合俯卧位通气救治社区获得性皮特不动杆菌肺炎致重度急性呼吸窘迫综合征一例


* 文章仅供医疗卫生相关从业者阅读参考


本文完

责编:Jerry

534