在免疫抑制患者的肺部感染诊断中,常隐藏着“看不见的敌人”。这些病原体如同狡猾的幽灵,常规检测手段难以捕捉其踪迹。近期一例以“进行性呼吸困难”为主诉的病例,因影像学特征与常规病原体感染不符,实验室检查屡现矛盾,最终通过肺泡灌洗液(BALF)的四套染色方法(革兰、抗酸、瑞吉、六胺银)+ mNGS终于揭开谜底。
一、案例经过
(1) 主要病史:患者男性,48岁,因“胸闷伴刺激性干咳1月余,进行性呼吸困难”入院。
(2)查体:T36.7℃,P82次/分,R19次/分,BP121/60mmHg,大便次数1次。
神志清晰,对答切题,口齿清晰,查体合作。全身皮肤粘膜无黄染,全身浅表淋巴结无肿大,颈软,无颈静脉充盈,无颈静脉怒张,气管居中,双侧甲状腺无肿大。胸廓正常,无肋间隙增宽,双肺叩诊清音,呼吸音清音,未闻及干湿啰音,节律齐,心音正常,无杂音。腹部平坦,无腹部压痛,无腹部反跳痛,肝脏未触及,脾脏未触及,颈静脉回流征阴性。脊柱正常,活动正常,四肢正常,活动正常,关节正常,双下肢无浮肿。
(3)既往史:10年类风湿关节炎病史,并有关节疼痛、活动受限症状,需长期口服甲氨蝶呤(10mg/周)及泼尼松(5mg/d)维持治疗。 现病史:2周前无诱因出现干咳,活动后气促,夜间无法平卧。外院予左氧氟沙星治疗5天无效,氧饱和度进行性下降至88%(未吸氧)。悬疑点:无发热、胸痛等典型感染征象,肺部听诊仅闻及散在湿啰音,与严重低氧血症(PaO2 55mmHg)形成鲜明对比。
(4)实验
室
检查:
图1、2
图3、4
(5)
影像学检查:
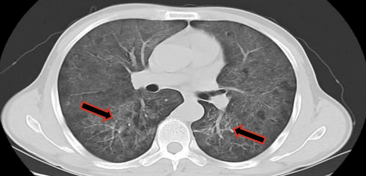
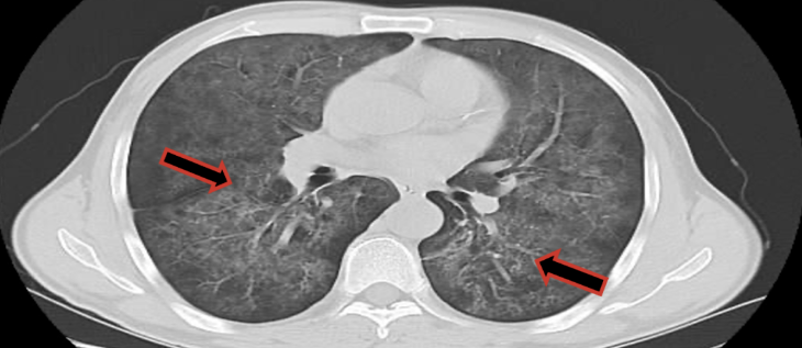
肺部CT检查报告:检查结果两肺广泛磨玻璃密度灶,建议临床进一步检查除外卡氏肺孢子菌肺炎(图5、图6)。需鉴别诊断:1.大叶性肺炎:胸部CT可见大片的炎症浸润阴影或实变影,其内可见支气管充气征明显,该患者胸部CT可予以排除。2.支气管扩张:表现为慢性咳嗽、大量脓痰、反复咯血、反复肺部感染,查体常有肺部固定性粗湿罗音。胸部片显示肺纹理粗乱或呈卷发状,高分辨CT可见支气管扩张改变。此患者以白痰为主,无咯血,影像学上亦无支气管扩张征象,支气管扩张可除外。
图5
图6
(6)临床沟通:
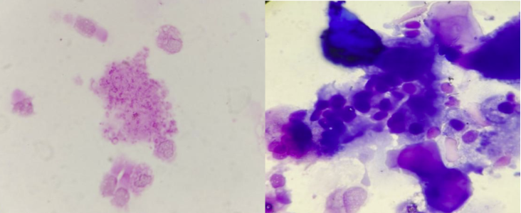
根据显微镜下形态特征,笔者脑海里想到了一种特殊的病原体—耶氏肺孢子菌,于是立马通过LIS传输系统备注提示临床,与临床医生沟通,并建议其送检肺泡灌洗液mNGS检测,3天后mNGS报告显示存在“耶氏肺孢子菌”高序列检测结果,自此案例终于真相大白。
二、诊疗经过:迷雾中的转折
1. 初始误判:因G试验、GM试验阴性、无发热,误诊为间质性肺炎,予甲强龙冲击治疗。患者氧合短暂改善后急剧恶化(SpO₂降至80%)。
2. 关键侦查:行支气管镜检获取BALF,六胺银染色发现“环形包囊”,修正诊断为“耶氏肺孢子菌肺炎”。
3. 精准打击:由于激素在耶氏肺孢子菌肺炎治疗中的具有双重作用:一方面,它通过抑制免疫反应减轻局部炎症和组织损伤(患者有关节炎症表现);另一方面,过度抑制免疫反应可能导致感染加重。临床医生通过调整激素治疗剂量,并启用复方磺胺甲噁唑(TMP/SMX)(按15mg/kg/d TMP计算)联合卡泊芬净(针对潜在合并感染)。72小时后氧饱和度回升至95%,5天后康复出院。
三、案例分析:破解“幽灵病原体”的生物学密码
1. 宿
主特
征:长期低剂量激素+甲氨蝶呤→CD4+T细胞耗竭→丧失对“包囊病原体”的免疫监视。
2. 影像悖论:CT示双肺弥漫性磨玻璃影伴小叶间隔增厚,却无胸腔积液或结节,符合“肺泡内泡沫样渗出物蓄积”病理特点。
3.
诊断
陷阱:
- G试验阴性因病原体无β-葡聚糖细胞壁
- 常规培养阴性因该病原体无法体外增殖
- 确诊金标准:BALF六胺银/吉姆萨染色查耶氏肺孢子菌滋养体和包囊
四、总结
耶氏肺孢子菌(Pneumocystis jirovecii)是一种机会致病性真菌,主要感染免疫功能低下的患者,可引起严重的肺孢子菌肺炎(PJP)。1909年,Chagas在豚鼠中首次发现耶氏肺孢子菌,误认为是克氏锥虫的一种。1910年,Carini在大鼠肺组织中也发现了肺孢子菌。1912年,Delanoe夫妇将其鉴定为新的原虫,并命名为卡氏肺孢子/囊虫(Pneumocystis carinii),以纪念Carini。从发现耶氏肺孢子菌到20世纪80年代末,其一直被广泛认为是一种原生动物,其分类地位长期未被明确。
直到1988年,Edman等通过对肺孢子菌核糖体RNA的序列分析,发现其与真菌类似,从而证实肺孢子菌属于真菌。此后,感染人类的肺孢子菌被命名为耶氏肺孢子菌,以纪念捷克寄生虫学家耶诺维奇(Jirovecii)。目前,耶氏肺孢子菌被明确为一种真菌,归属于肺孢子菌属。它是一种专性细胞内寄生菌,主要寄生于人类肺泡上皮细胞。
耶氏肺孢子菌生物学特征:主要有包囊(感染型)和滋养体(繁殖型)两种形态。滋养体为可变多形体,有细足和伪足形成,类似阿米巴;包囊呈圆形,直径4~6微米,囊壁内含有囊内小体(或称子孢子),完全成熟的包囊内一般为8个,包囊是重要的诊断形态。该菌多寄生于肺泡腔,成熟包囊进入肺泡后破裂,囊内小体脱囊后发育为滋养体,滋养体紧贴肺泡上皮寄生并增殖。耶氏肺孢子菌主要通过气溶胶和人传人进行传播。它在人类中的定植可能对其传播也有重要意义。即使没有任何症状和体征,健康人、HIV感染者、存在基础肺部疾病的患者以及存在免疫抑制的患者呼吸道中仍可能有肺孢子菌定植。
耶氏肺孢子菌主要感染免疫功能低下的患者,如HIV感染者、恶性血液系统肿瘤患者、实体肿瘤患者、器官移植患者、风湿科疾病患者以及长期使用免疫抑制药物或激素治疗的患者等。它可引起肺孢子菌肺炎,患者的病死率较高,尤其是重症患者。该菌还可引起肺外感染,但较为少见。
随着诊断技术的进步,如支气管肺泡灌洗(BAL)、聚合酶链反应(PCR)、宏基因组测序(mNGS)等的应用,耶氏肺孢子菌肺炎的诊断率不断提高。此外,病理检查、血清学检查等也可辅助诊断。
目前,治疗耶氏肺孢子菌肺炎的首选药物为复方磺胺甲噁唑(TMP/SMX)。对于免疫功能低下的患者,如HIV感染者等,预防性使用抗肺孢子菌药物可有效降低肺孢子菌肺炎的发生率。
本例揭示了免疫抑制
患
者肺部感染诊断中的“三重法则”:
1. 警惕“无症状性低氧血症:无发热/咳痰≠无感染,CD4+<200 cells/μL时应优先考虑机会性病原体。
2. 活用BALF染色技术:微生物常规染色(革兰、抗酸)无法证实耶氏肺孢子菌,六胺银染色敏感性达90%,成本低廉且快速,可以快速锁定耶氏肺孢子菌特征形态。
3. 治疗双刃剑:激素过度使用可能加重病原体扩散,确诊前慎用免疫抑制剂!
参考文献
1. Thomas, C. F., & Limper, A. H. (2007). Current concepts in the diagnosis and management of pneumocystis pneumonia. New England Journal of Medicine, 357(15), 1520-1527.
2. Kanne, J. P., et al. (2012). *Pneumocystis jiroveci pneumonia: high-resolution CT findings in patients with and without HIV infection*. AJRCCM, 186(10), 1006-1013.
3. Bateman, M., et al. (2021). *Diagnosing Pneumocystis pneumonia: a meta-analysis of rapid diagnostic assays*. Clinical Microbiology Reviews, 34(4), e00253-20.
作者简介
余海涛
硕士,副主任检验师,医学检验实验室工作12年。上海交通大学附属新华医院检验科进修学习临床微生物学半年,现就职于合肥市第二人民医院广德路检验科微生物组,先后发表论文多篇,其中以第一作者发表学术论文10余篇,其中包括中华系列论文4篇,统计源论文2篇。获得实用新型性专利2项,参编专著1篇,参与国自然科学基金2项。
作者:余海涛(合肥市第二人民医院);审校:刘学东(青岛市立医院)
本文转载自订阅号「京港感染论坛」
原链接戳:【病例讨论】肺泡灌洗液中的神秘“访客”
* 文章仅供医疗卫生相关从业者阅读参考
本文完
责编:Jerry
