摘要
除曲霉外的真菌引起的变应性支气管肺真菌病(ABPM)相对罕见,而由Triodiomyces crassus引起的ABPM尚未见报道。本文详细报道了这首个病例的发现、诊治及随访过程。患者男性,60岁,因“干咳伴咳嗽时胸闷1个月”就诊,外周血嗜酸粒细胞计数及总IgE升高,烟曲霉特异性IgE阴性,胸部CT表现为右上肺实变伴相应支气管内高密度黏液栓,气管镜活检病理见嗜酸粒细胞浸润及真菌菌丝,CT引导下经皮肺穿刺组织见嗜酸粒细胞浸润并分离培养出酵母样真菌,该菌经ITS测序鉴定为Triodiomyces crassus。最终该患者确诊为由Triodiomyces crassus引起的ABPM,糖皮质激素治疗有效。期望通过本例报道和文献复习,提醒临床注意由非曲霉引起的ABPM。当临床疑诊ABPA,而烟曲霉特异性抗体阴性时,尤其要想到除曲霉外的少见甚至罕见的真菌引起的ABPM可能。尽早积极的病原学检查有助于该病的诊断及罕见致病真菌的发现。
患者男,60岁,因“干咳伴咳嗽时胸闷1个月”于2018年5月入院。患者1个月前无明显诱因出现干咳,伴咳嗽时轻微的胸闷。13 d前患者在外院的胸部CT提示右上肺外周斑片影(图1、2),被诊断为社区获得性肺炎,经1周的左氧氟沙星(0.5 g,1次/d)口服治疗,症状未见缓解。1 d前来我院,查外周血嗜酸粒细胞计数升高(表1),胸部CT提示病灶较前增大(图3),且伴有右上肺前段内侧支(RB3b)支气管明显的堵塞(图4),遂收入院。既往体健。5个月前曾因摔伤致右肱骨外科颈骨折在我院手术,当时胸部CT及血嗜酸粒细胞计数正常。否认支气管哮喘及其他重大疾病史。偶有吸烟、饮酒。
图1 2018年5月2日外院胸部CT(肺窗):右上前段内侧支斑片实变影
图2 2018年5月2日外院胸部CT(肺窗):右上前段内侧支斑片实变影其相应支气管(RB3b)堵塞,指套征
图3 2018年5月14日胸部CT(肺窗):右上前段内侧支实变影较前增大
图4 2018年5月14日胸部CT(肺窗):右上前段内侧支实变影其相应支气管(RB3b)堵塞
入院体检:生命体征平稳,肺部听诊未闻及哮鸣音。血液学检查提示外周血嗜酸粒细胞计数及总IgE升高(表1),烟曲霉特异性IgE阴性。胸部增强CT提示右上肺外周实变伴周围的磨玻璃影,右上前段内侧支(RB3b)支气管堵塞(图5、6),纵隔窗可见高密度黏液栓嵌塞(图7)。支气管镜下见黏液栓堵塞右上前段开口(图8),灌洗液涂片见到丝状结构的真菌(图9),活检病理提示大量嗜酸粒细胞浸润(图10)及真菌菌丝和酵母样形态(图11、12)。但灌洗液培养未见真菌生长。右上肺病灶行CT引导下经皮肺穿刺活检(图13),穿刺组织病理提示肺泡上皮增生,肺泡腔内可见肉芽组织形成,间质纤维化,较多的淋巴浆细胞及大量嗜酸粒细胞浸润(图14, 15, 16)。穿刺组织培养提示为酵母样菌落形态(图17、18),菌落涂片显微镜镜检见酵母样真菌及假菌丝(图19)。支气管灌洗液涂片、支气管镜活检病理中的真菌形态同菌落涂片镜下形态一致。该菌株行核糖体脱氧核糖核酸(rDNA)内转录间隔区(ITS)序列测序,测序结果经Blast比对显示,与Triodiomyces crassus(KX363463.1)相似度为100%。遂诊断为由Triodiomyces crassus引起的肺真菌病。
图5 2018年5月20日胸部增强CT(肺窗):右上前段内侧支实变伴相应支气管(RB3b)堵塞、新出现右上肺叶外周的磨玻璃影(实变影中“小空洞”为含气支气管)
图6 2018年5月20日胸部CT冠状位重建:病变在右上肺
图7 2018年5月20日胸部增强CT(纵隔窗):高密度黏液栓(白箭头所示)
图8 2018年5月16日气管镜(右上前段支气管开口):嵌塞在右上前段支气管内侧支(RB3b)支气管的黏液栓
图9 支气管灌洗液涂片可见菌丝样真菌形态 革兰染色 高倍放大
图10 支气管镜活检病理:(右上前段内侧支)见到大量嗜酸粒细胞 HE 高倍放大
图11 支气管镜活检病理:(右上前段内侧支)真菌菌丝(黑箭头)和酵母样形态(白箭头)HE 高倍放大
图12 支气管镜活检病理:(右上前段内侧支)真菌菌丝(图中呈反S型)HE 高倍放大
图13 2018年5月21日,CT引导下经皮肺穿刺活检部位
图14 2018年5月21日CT引导下经皮肺穿刺病理 HE 低倍放大
图15 CT引导下经皮肺穿刺病理 HE 中倍放大
图16 CT引导下经皮肺穿刺病理 HE 高倍放大
图17 肺穿刺组织标本血平板培养后形成的酵母样菌落
图18 该真菌转接种在沙堡弱琼脂平板上形成的酵母样菌落形态
图19 菌落涂片显微镜下形态:酵母样真菌和假菌丝,部分菌体内有节段性未染色的区域或者点状染色区域 革兰染色 高倍放大
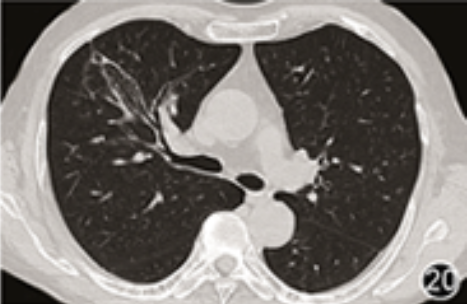
患者首先接受了2周的伏立康唑(200 mg,2次/d)口服治疗,但症状改善不明显,复查支气管镜仍可见嵌塞的黏液栓(给予活检钳反复钳夹黏液栓以通畅管腔,支气管腔内未见新生物)。综合以上,我们修正诊断为由Triodiomyces crassus引起的变应性支气管肺真菌病(allergic bronchopulmonary mycosis,ABPM),加用了口服糖皮质激素治疗(泼尼松20 mg,1次/d)。15 d后患者来电诉咳出一绿豆大小的胶冻状物质(黏液栓),咳嗽及胸闷有明显改善。此后患者继续服用了15 d的泼尼松,因惧怕激素不良反应及CT辐射患者自行停用泼尼松,并未按时复查CT。伏立康唑的总使用疗程近2个月。距首次入院77 d时患者复诊(已停药约15 d),临床症状缓解,复测血嗜酸粒细胞计数及总IgE已正常(表1),复查胸部CT病灶也明显吸收,遗留轻微的支气管扩张(图20)。考虑到患者已停用激素且症状未见反复,故继续停药观察。距首次入院6个月后,复查血常规及总IgE仍正常(表1),胸部CT仅遗留少许条索影,疾病未见复发。
图20 2018年7月31日胸部CT:原右上肺肺部阴影消失,遗留轻微支气管扩张
2019年7月(病情缓解1年)患者再次出现了咳嗽、胸闷,曾在普通门诊查血常规提示嗜酸粒细胞升高(表1),未重视。10月3日在外院查胸部CT提示右上肺前段外侧支的一亚亚段(RB3ai)支气管新发病灶,呈支气管铸形改变。临床症状逐渐加重,且出现了夜间喘鸣,症状较第一次发病明显加重。11月23日再次至我院就诊,复查胸部CT提示RB3ai支气管病变较前增大,表现为支气管铸形及周围树芽征及片状渗出(图21),外周血嗜酸粒细胞计数升高(表1),再次收入院。肺部体检双肺可闻及散在哮鸣音。外周血嗜酸粒细胞及总IgE升高(表1)。烟曲霉特异性IgE阴性。CD4+T淋巴细胞、CD8+T淋巴细胞计数及两者比值均在正常范围。抗核抗体、自身抗体谱、抗中性粒细胞胞质抗体(ANCA)、人免疫缺陷病毒(HIV)抗体、乙型肝炎病毒表面抗原、丙型肝炎病毒抗体、梅毒螺旋体抗体均阴性。肺功能示轻度阻塞性通气功能障碍,FEV1为 3.32 L,FEV1占预计值%为93.9%,FEV1/FVC为69.1%,支气管舒张试验可疑阳性,FEV1绝对值增加200 ml,FEV1占预计值%增加5.5%。住院期间给予径向超声支气管镜(EBUS)检查,镜下见嵌塞右上肺前段外侧支(RB3a)支气管管腔的黏液栓(图22),性状明显较第一次稀,可经支气管镜吸出。该次对黏液栓进行涂片、培养,未能查到真菌。支气管腔内活检病理也未能查到真菌菌丝。再次给予伏立康唑(200 mg,2次/d)及泼尼松(20 mg,1次/d)治疗。患者出院后15 d临床症状已明显改善。因患者对糖皮质激素及CT检查顾虑大,在治疗了1个月余,临床症状缓解后再次自行停用所有药物,并拒绝复查CT。此后多次电话回访,未见患者病情复发。患者在2021年12月20日、2023年1月24日的外院胸部CT及2024年2月20日(图23)我院的胸部CT均提示病情未见复发,且曾经遗留的轻微支气管扩张也彻底吸收。
图21 2019年11月26日胸部CT:右上肺前段外侧支的一亚支气管(RB3ai)呈主气管铸形征,伴周围的树丫征
图22 2019年11月26日气管镜(右上前段支气管开口):右上肺前段外侧支(RB3a)支气管黏液栓嵌塞
图23 2024年2月20日胸部CT:正常,未见遗留支气管扩张
讨论
Triodiomyces crassus,既往曾被称为Pseudozyma crassa[1],后来重新分类到Triodiomyces属,归于真菌界,担子菌门(Basidiomycota),黑粉菌亚门(Ustilaginomycotina),黑粉菌纲(Ustilaginomycetes),黑粉菌目(Ustilaginales),黑粉菌科(Ustilaginaceae)(www.mycobank.org)。黑粉菌亚门下的真菌主要是植物病原菌。字面推测Triodiomyces是可感染Triodia(矛胶草属,译名来自www.iplant.cn)植物的病原菌。Mekha[2]在2014年首次报道了从人体中分离出Pseudozyma crassa,系从一泰国患者血液标本中分离获得。但其未对该患者一般情况及病情进行描述。此后未能查询到有再次从人体中分离出该菌的文献报道。推测该菌是一个对人类致病力极弱的病原体,在严重的免疫缺陷患者中可能会致病。
ABPM是真菌致敏引起的一类变态反应性肺部疾病。致病菌中最常见的是曲霉,由其引起的ABPM称为ABPA。其他少见病原体有:白念珠菌、离蠕孢属(Bipolaris spp.)、普通裂褶菌(Schizophyllum commune)、弯孢霉属(Curvularia spp.)、波氏假阿利什霉(Pseudallescheria boydii species complex)、链格孢属(Alternaria spp.)等[3]。白念珠菌引起ABPM主要见于印度的报道。但白念珠菌能否引起ABPM一直有被质疑[4, 5],原因有:(1)白念珠菌常定植于口腔;(2)正常人也可存在白念珠菌IgE、IgG抗体;(3)既往以真菌粗提取物来制备抗原以检测血清中的特定真菌抗体,不同工艺和不同真菌间的交叉抗原性影响了结果可靠性。如除去白念珠菌,离蠕孢属、普通裂褶菌被认为是最常见的ABPM病原体。普通裂褶菌引起ABPM既往最多见于日本的报道,近10年国内也陆续有普通裂褶菌引起ABPM的报道。而由Triodiomyces crassus引起的ABPM则极为罕见,既往未见类似报道。本例患者60岁男性,免疫功能健全,亚急性起病,干咳伴咳嗽时胸闷1个月,外周血嗜酸粒细胞计数及总IgE升高,烟曲霉特异性IgE阴性,肺部CT影像见实变、支气管腔内高密度黏液栓嵌塞,支气管灌洗液涂片找到真菌菌丝,支气管镜活检病理见到大量嗜酸粒细胞及真菌菌丝和酵母形态,肺穿刺组织病理提示肺泡上皮增生、肺泡腔内肉芽组织形成、嗜酸粒细胞浸润及培养出酵母样菌落,镜检确认为酵母样真菌及假菌丝,最终证实为Triodiomyces crassus。该患者单用抗真菌治疗无效,激素治疗有效,因此最终确诊为由Triodiomyces crassus引起的ABPM。
非曲霉ABPM的诊断,既往大多套用ABPA的诊断标准。但ABPA的诊断是基于临床、检验及影像的综合诊断,其诊断标准也在不断完善改进中。自1977年Rosenberg等提出第一个ABPA的诊断标准后,有多个组织提出了各自的改进后的标准。这期间相对比较广泛被接受的诊断标准是由2013年国际人类和动物真菌学会(ISHAM)工作组提出的诊断标准[6]:(1)相关疾病:支气管哮喘、囊性纤维化;(2)必备(obligatory)条件(具备2条):① Ⅰ型曲霉皮肤试验阳性或烟曲霉特异性IgE水平升高;② 血清总IgE水平升高(>1 000 U/ml);(3)其他条件(至少具备2条):① 血清烟曲霉沉淀素或特异性IgG阳性;② 影像学与ABPA一致的肺部阴影;③ 糖皮质激素治疗前血嗜酸性细胞计数>0.5×10^9个/L(注:血清总IgE<1 000 U/ml满足所有标准亦可诊断)。当时ISHAM工作组认为ABPM的诊断可以沿用以上路径。
非曲霉ABPM的诊断,在套用以上APBA的诊断标准时,会面临以下困境。在临床表现上,非曲霉的其他真菌引起的ABPM同ABPA两者的哮喘发生率不同。ABPA的诊断,无论最初的Rosenberg标准,还是2008年IDSA标准、2013年的ISHAM标准,哮喘都占有重要地位。但在非曲霉的其他真菌所致ABPM中,存在哮喘史的比例相对偏低。Chowdhary等[3]总结了143例非曲霉引起的ABPM中有哮喘史的只有32%。Oguma等[7]对比分析了30例普通裂褶菌引起的ABPM和46例ABPA患者,发现普通裂褶菌引起的ABPM的哮喘患病率较ABPA组更低,但差异无统计学意义(50%比70%,P=0.10)。该研究进一步将普通裂褶菌引起的ABPM组细分出烟曲霉特异性IgE阴性组和阳性组,其哮喘患病率分别为30%、58%。烟曲霉特异性IgE阴性的普通裂褶菌引起的ABPM患者似乎更少合并哮喘。本例Triodiomyces crassus所致的ABPM,发病前即是没有哮喘史的患者。在辅助检查上,总IgE的水平也存在差别,Chowdhary等[3]总结的非曲霉引起的ABPM病例总IgE水平要远高于ABPA的情况。而Oguma等[7]发现烟曲霉特异性IgE阴性的普通裂褶菌引起的ABPM,其中位总IgE水平(562 U/ml)显著低于烟曲霉特异性IgE阳性的普通裂褶菌引起的ABPM(2 366 U/ml,P<0.05)或ABPA(1 954 U/ml,P<0.05)。本例Triodiomyces crassus所致的ABPM,总IgE水平并不太高。考虑系不同的真菌免疫原性不同所致。故总IgE升高水平不宜直接套用ABPA诊断中的1 000 U/ml这个折点,以免漏诊。另外,非曲霉所致的ABPM,在临床中因缺少像ABPA诊断中曲霉特异性IgE、沉淀素、皮试液这些相应的商业化试剂,如完全参照2013年ISHAM版ABPA诊断标准的必备条件,则给诊断带来了巨大难度。因此,影像学在ABPM的诊断中更为重要,黏液栓是比较特征的表现。另外,几个ABPA的诊断标准中,病原菌的分离都不在主要标准中,甚至可以是不需要的,如2013年ISHAM标准。但非曲霉尤其是罕见真菌所致的ABPM,其病原体的分离对最终诊断是极其重要的。
以上实践中的困境,终于在近期得到了解决。2024年ISHAM工作组更新了ABPA诊断标准[8],同时提出了区别于ABPA诊断标准的非曲霉ABPM诊断标准和诊断流程。非曲霉ABPM诊断标准:(1)相关疾病:哮喘、囊性纤维化、慢性阻塞性肺疾病、支气管扩张或相匹配的临床影像表现;(2)基本条件:①真菌特异性IgE水平升高;②血清总IgE水平升高(>500 U/ml);(3)其他条件(至少具备2条):①真菌特异性IgG阳性;②血嗜酸粒细胞计数≥0.5×10^9个/L(或曾发生过);③两次痰液(或一次BALF)真菌培养见致病真菌生长;④胸部CT与ABPA一致的肺部阴影(支气管扩张、黏液栓嵌塞、高密度黏液栓)或X线胸片上的一过性阴影。(4)重要事项说明:相匹配的临床影像表现指黏液栓的咳出、指套征、X线胸片上的一过性阴影、肺不张等。满足基本条件之前需满足条件:烟曲霉特异性IgE<0.35 KUA/L。基本条件中真菌特异性IgE水平无法获得情况下可换成Ⅰ型皮肤试验。血清总IgE<500 U/ml时满足所有标准亦可诊断。真菌特异性IgG测定可采用酶联免疫测定法或双扩散法等。高密度黏液栓是ABPM的特征性病理,在其他条件未全满足情况下也可确诊ABPM。针对特异性曲霉抗原rAsp f1、f2和f4的IgE不升高可排除ABPA并强烈支持ABPM。
ABPA的诊断标准重免疫学表现,对真菌培养不做要求。非曲霉ABPM的诊断标准,除烟曲霉特异性IgE<0.35 KUA/L这个先决条件外,很重视真菌培养的结果。对临床实践工作很有指导意义。所以2024年ISHAM推荐的非曲霉ABPM诊断流程分5步:(1)相关疾病、相匹配的临床影像表现;(2)烟曲霉特异性IgE<0.35 KUA/L;(3)分离出致病真菌;(4)寻找真菌致敏依据,如血清总IgE水平>500 U/ml;(5)血嗜酸粒细胞计数≥0.5×10^9个/L、真菌特异性IgG、一过性肺部阴影、异常的胸部CT,以上符合两条即可。该流程可以不借助于真菌特异性IgE、IgG即可诊断ABPM,极大地便捷了ABPM的诊断,从而能够推广。
笔者认为非曲霉所致的ABPM的诊断,需基于临床、影像和实验室检查进行综合分析,把握“真菌对机体的致敏状态”这一本质,小心求证。
ABPA的治疗有一定的共识,以口服激素治疗为基础。通常使用的泼尼松剂量为0.5 mg/kg,1次/d,2周;继以0.25 mg/kg,1次/d,4~6周后根据病情试行减量,一般每2周减2~10 mg。疗程依据病情不同有所差异,总疗程通常在6个月以上[9]。部分ABPA患者可以在以减少真菌定植为目的抗真菌治疗中获益。非曲霉ABPM的治疗尚无标准。如这项迄今人数最多的由普通裂褶菌引起ABPM的研究提示[7]:23%(7/30)只接受了口服糖皮质激素治疗;27%(8/30)只接受了抗真菌治疗;30%(9/30)接受了以上两种治疗;20%(6/30)采取了观察,其中3例患者在接受气管镜吸去黏液栓或脱离环境后得到了改善,另外3例吸入糖皮质激素后得到改善。本例Triodiomyces crassus引起的ABPM从治疗结果看,同ABPA的治疗存在差异。该例患者使用激素疗程总体偏短,1个月时间能取得较为满意的结果。另外伏立康唑的治疗获益不详,能肯定的是单用无效,即在患者初次发病时给予的2周单药伏立康唑治疗中没有观察到疗效。不倾向使用伏立康唑的理由:即使糖皮质激素的应用导致免疫力下降,Triodiomyces crassus由致敏转为侵袭的可能性也不存在,既往没有该菌引起肺部侵袭的报道,以伏立康唑预防该真菌侵袭就无必要。使用伏立康唑的理由:去定植可以缩短病程。该患者病情复发时伏立康唑的再次使用,笔者并不赞同,这是科内讨论后少数服从多数的结果。该ABPM治疗反应上也同ABPA不同,推测原因可能是Triodiomyces crassus是酵母菌,其能引起ABPM的真菌变应性抗原同诱发ABPA的丝状真菌烟曲霉的变应性抗原存在差异,诱发的变态反应不如ABPA强烈。
总之,由Triodiomyces crassus引起的ABPM是极为罕见的。此类非曲霉引起的ABPM其临床特征不同于ABPA。当临床疑诊ABPA时,不要拘泥于固定思维认为致病菌即是曲霉,就放弃对真正致病真菌的探求,尤其是当烟曲霉特异性抗体阴性时,更要想到少见甚至罕见的非曲霉真菌引起ABPM的可能。尽早的积极的病原学检查有助于该病的诊断及罕见致病真菌的发现。
参考文献(略)
作者:严群锋 孙正林 王晴 周建英;第一作者单位:浙江大学医学院附属第一医院呼吸与危重症医学科;通信作者:王晴,浙江大学医学院附属第一医院呼吸与危重症医学科
引用本文: 严群锋, 孙正林, 王晴, 等. Triodiomyces crassus引起的变应性支气管肺真菌病1例[J]. 中华结核和呼吸杂志, 2025, 48(5): 464-469. DOI: 10.3760/cma.j.cn112147-20240831-00523.
本文转载自订阅号「中华结核和呼吸杂志」
原链接戳:【病例报告】Triodiomyces crassus引起的变应性支气管肺真菌病1例
* 文章仅供医疗卫生相关从业者阅读参考
本文完
责编:Jerry
