摘要
本文报道1例乙型流感病毒继发金黄色葡萄球菌(金葡菌)感染导致气道弥漫损伤的病例,起初患者因药物止血效果差行支气管动脉栓塞治疗,术后未再咯血,但低氧血症持续存在,支气管镜检查见气道黏膜弥漫覆盖黄色脓性假膜,部分黏膜糜烂坏死,肺泡灌洗液宏基因组二代测序(mNGS)检测出潘顿-瓦伦丁白细胞杀伤素(PVL)阳性金葡菌,组织病理示重度急性炎性改变,最终确诊为乙型流感病毒继发金葡菌感染引起急性假膜性坏死性气管支气管炎和出血性肺炎,利奈唑胺治疗好转后,行支气管镜随访,气道内出现多个肉芽组织并逐个清除,排除感染后,口服低剂量泼尼松治疗后痊愈。
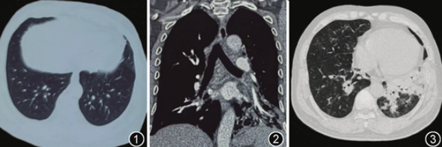
患者男,50岁,因“咳嗽、咳痰、发热1周,咯血1 d”于2024年2月10日入院。患者1周前受凉后出现咳嗽,咳黄白痰,间断发热4 d,体温最高38.6 ℃,伴畏寒、鼻塞、流涕,自服“阿奇霉素、布洛芬”治疗,效果差。1 d前剧烈咳嗽时出现痰中带血,19 h前突发咯鲜血,量约50 ml,于当地县人民医院行胸部CT平扫未见异常(图1)。7 h前行计算机断层扫描肺动脉造影(computed tomography pulmonary angiogram,CTPA)未见肺动脉栓塞征象,双肺下叶见多发斑片影(图2)。遂转入我院急诊,复查胸部CT平扫示双肺多发斑片高密度影(图3),给予垂体后叶素止血治疗后收入院。患者既往体健,否认吸烟、饮酒史。
图1 2024年2月9日患者入院前19 h胸部CT平扫未见异常
图2 2024年2月9日患者入院前7 h行CTPA未见肺动脉栓塞征象,双肺下叶见多发斑片影
图3 2024年2月10日复查胸部CT平扫示双肺下叶多发高密度影
入院体检:体温36.2 ℃,脉率92次/min,呼吸频率22次/min,血压106/82 mmHg(1 mmHg=0.133 kPa),指氧饱和度为92%(鼻导管吸氧4 L/min)。双肺呼吸音低,可闻及少许湿啰音。入院后血常规:白细胞7.18×109/L,淋巴细胞0.67×109/L,血红蛋白133 g/L,血小板142×109/L。超敏C反应蛋白为153.01 mg/L。降钙素原为14.116 μg/L。D-二聚体为1 700 μg/L。G试验、GM试验、曲霉IgG抗体均阴性。咽拭子聚合酶链反应(PCR)检测证实为乙型流感病毒感染。合格痰液涂片查见革兰阳性球菌。痰液细菌+真菌培养及抗酸染色均阴性。给予磷酸奥司他韦胶囊(75 mg,2次/d)口服抗病毒,左氧氟沙星(0.5 g,1次/d)静脉滴注抗感染,卡络磺钠、蛇毒血凝酶及垂体后叶素止血治疗。患者仍反复咯鲜血(10~20 ml/d),于2024年2月12日行支气管动脉+右侧部分肋间动脉+双侧锁骨下动脉+食管固有动脉+膈下动脉造影,术中仅发现1支左右共干支气管动脉异常,超选出远端走向右下叶和左下叶的异常血管后分别给予栓塞,术后停用止血药物,未再咯鲜血。
术后患者指氧饱和度为90%(鼻导管吸氧4 L/min),阵发性剧咳和憋气,无声音嘶哑,2024年2月17日行支气管镜检查,镜下见喉部黏膜充血,未见坏死,声门开合良好。气管支气管黏膜弥漫覆盖黄色脓性假膜,部分黏膜糜烂坏死;右肺下叶背段开口明显狭窄,黏膜粗糙,无糜烂坏死,行支气管黏膜活检;左肺下叶黏膜严重坏死,见多发溃疡,行支气管肺泡灌洗,灌洗液为黄色,量50 ml(图4)。肺泡灌洗液mNGS仅检测出金葡菌,序列数为6 300(lukF-PV 序列数4)。肺泡灌洗液涂片查见革兰阳性球菌,细菌+真菌培养阴性,抗酸染色阴性,肺泡灌洗液GM试验<0.1 S/CO。支气管黏膜病理示重度急性炎症(图5)。改用利奈唑胺(600 mg,1次/12 h,静脉滴注)抗感染治疗,治疗5 d后,指氧饱和度为94%(未吸氧),复查胸部CT平扫示双肺多发斑片状阴影吸收(图6),第6 d复查支气管镜见气道内黏膜较前好转,可见较多分泌物并给予吸引(图7),第9天复查支气管镜,气道内黏膜较前进一步好转(图8)。
图4 利奈唑胺治疗前支气管镜检查镜下表现,图4A为主气道,气道内弥漫覆盖黄色脓性假膜;图4B为左下叶支气管黏膜糜烂坏死
图5 利奈唑胺治疗前气管镜下右肺下叶背段黏膜活检,病理见重度急性炎症,黏膜腺体间见大量淋巴细胞、中性粒细胞浸润,伴新生小血管形成 HE 低倍放大
图6 2024年2月23日利奈唑胺治疗5 d后复查胸部CT平扫示双肺下叶多发斑片影基本吸收
图7 利奈唑胺治疗6 d复查气管镜,气道内黏膜好转
图8 利奈唑胺治疗9 d复查气管镜,气道内黏膜进一步好转
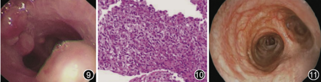
利奈唑胺治疗1个月后,患者劳累后偶有痰中带血丝。支气管镜随访见气道内多发结节状凸起(图9),逐个钳取送检,病理示炎性肉芽组织,抗酸染色阴性(图10)。肺泡灌洗液病原靶向测序(tNGS)未发现致病菌。肺泡灌洗液细菌及真菌涂片+培养均阴性,抗酸染色阴性。考虑为非感染性炎症导致的气道肉芽组织增生,口服泼尼松(10 mg,1次/d)治疗1个月后复查支气管镜,未见新发结节,黏膜光滑(图11)。
图9 利奈唑胺治疗1个月复查气管镜,气道内见多发结节状凸起
图10 利奈唑胺治疗1个月后支气管镜随访,气道内多发结节活检,病理见纤维素渗出,伴肉芽组织形成 HE 低倍放大
图11 泼尼松治疗1个月复查支气管镜,未见新发结节,黏膜光滑
讨论
急性假膜性坏死性气管支气管炎是一种罕见且致死性的下呼吸道疾病,表现为主气管和远端支气管的坏死性炎症,可引起气道黏膜溃疡和假膜形成,分为感染性和非感染性。早期被公认为新生儿机械通气后气管与支气管的医源性病变[1, 2]。随着对该疾病认识的深入,感染性因素日益受到关注,在1918和2009年两次H1N1大流行期间,流感患者的尸检研究中均有此情况的报道[3, 4]。近年来研究发现,免疫功能正常的成年人在流感病毒与金葡菌合并感染时偶尔出现,且多为散发病例[5, 6],接诊医生常因缺乏对该疾病的认识导致延误诊治。
目前尚无乙型流感病毒继发金葡菌感染引发急性假膜性坏死性气管支气管炎和出血性肺炎的相关报道。该疾病通常由甲型流感病毒单独引起[7]或由流感病毒与金葡菌的合并感染所致[5, 8, 9]。本例患者入院时咽拭子检测出乙型流感病毒,但随后的肺泡灌洗液中仅发现金葡菌,我们认为,乙型流感病毒被清除后,继发了金葡菌感染,进而导致坏死性气管支气管炎。Wang等[5]报道了1例免疫功能正常的患者,因乙型流感病毒合并甲氧西林耐药金葡菌感染,导致严重的坏死性气管支气管炎,并迅速进展为急性呼吸窘迫综合征。本例患者与王舒等报道的病例相似,但病情进展相对缓和,预后更好,考虑与及时进行支气管镜检查明确病原体、及早使用有效抗生素以及后期多次使用支气管镜清理气道内分泌物有关,还可能与本例患者气道损伤仅由金葡菌单一病原体引起有关。
潘顿-瓦伦丁白细胞杀伤素(panton-valentine leukocidin,PVL)阳性的金葡菌常使免疫功能正常的年轻人出现弥漫性坏死性出血性肺炎[10]。PVL是一种由金葡菌分泌的成孔毒素,由两个相邻且共转录的基因lukF-PV和lukSPV编码,这两个基因通常存在于金葡菌特定的噬菌体上,部分携带PVL基因的噬菌体可以释放出来,并能够感染PVL阴性金葡菌菌株,使后者获得PVL表达[11]。PVL可引起白细胞溶解[12],对粒细胞的强效溶解可能参与了肺实质大量出血和坏死以及气管支气管黏膜大面积坏死性溃疡的形成。本例患者出现了急性坏死性气管支气管炎和出血性肺炎,但从影像学上看,肺部病变演变并不支持坏死性肺炎的诊断,考虑与金葡菌对受损和重塑气道上皮的黏附具有趋向性有关[13],大量金葡菌黏附于气管支气管黏膜并产生PVL毒素,导致黏膜坏死;而肺泡及终末细支气管由于受流感病毒破坏轻微,降低了细菌的黏附能力及毒素产生,同时PVL对中性粒细胞的溶解具有浓度依赖性[14],从而避免了坏死性肺炎的发生。这与患者肺泡灌洗液中未检测到乙型流感病毒核酸,且lukF-PV基因数目极低的结果相符。
本例患者通过肺泡灌洗液mNGS确诊为金葡菌感染,尽管痰液涂片及肺泡灌洗液涂片中均检测到革兰阳性球菌,但遗憾的是未能培养出金葡菌,因此无法确定金葡菌的耐药性;肺泡灌洗液mNGS未检出头孢西丁和苯唑西林的耐药基因,结合PVL阳性金葡菌甲氧西林耐药率较低[10],提示该菌株可能是甲氧西林敏感型金葡菌。考虑到β-内酰胺类抗生素可能增加PVL毒素的产生[15, 16],而万古霉素对PVL阳性金葡菌的疗效有限[17],利奈唑胺不仅能有效治疗PVL阳性金葡菌感染,还能抑制其外毒素的产生[18]。因此,我们使用利奈唑胺抗感染治疗。
肉芽组织增生通常与受损黏膜的慢性炎症和持续性刺激有关[19, 20],我们推测本例患者气道内出现的肉芽组织,可能与PVL阳性金葡菌释放的毒素引发的炎症反应及持续刺激有关。内镜下及时清除气道内肉芽组织是目前公认的首选治疗方法[20, 21],既往曾有接受短期皮质类固醇治疗的案例[20],但皮质类固醇治疗尚存在争议。结合患者肺泡灌洗液中未检出致病菌,且病理结果显示炎性肉芽肿,倾向于非感染性炎症导致的气道肉芽组织增生,因此,在清除气道内肉芽组织的同时,给予口服小剂量泼尼松治疗。
总之,健康成人在流感后病情迅速恶化时,应高度警惕急性假膜性坏死性气管支气管炎的发生,尤其是在PVL阳性金葡菌感染的情况下,其病死率显著升高。支气管镜检查结合mNGS有助于快速明确诊断,及时、有效的抗感染治疗至关重要,镜下清除气道内坏死组织及必要时的气管插管可有效预防气道梗阻,治疗后定期进行支气管镜随访同样十分必要。
参考文献(略)
作者:尚圣云 李新鹏 徐晶 李玉 曹丽群 叶红;第一作者单位:山东大学齐鲁医院德州医院呼吸与危重症医学科;通信作者:叶红,山东大学齐鲁医院德州医院呼吸与危重症医学科
引用本文:尚圣云, 李新鹏, 徐晶, 等. 成人急性假膜性坏死性气管支气管炎1例[J]. 中华结核和呼吸杂志, 2025, 48(4): 385-388. DOI: 10.3760/cma.j.cn112147-20240828-00510.
本文转载自订阅号「中华结核和呼吸杂志」
* 文章仅供医疗卫生相关从业者阅读参考
本文完
责编:Jerry
