一、病史简介
患者女,37周岁,因“反复咳嗽、咳痰伴气促4月余,再发1月”入院。体格检查:P 62次/分 R 18次/分 BP 129/58mmHg T 36.8℃ 神志清,双肺呼吸音粗,未闻及干湿性罗音,心律齐,腹平软,无压痛,肝脾肋下未及,颜面部及双下肢无浮肿。
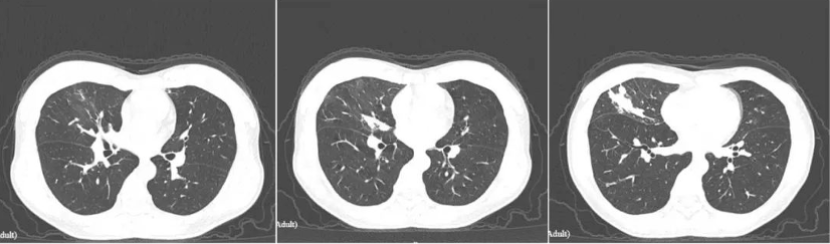
既往史:患者4月余前出现阵发性咳嗽、咳痰,痰色白粘稠,不易咳出,爬楼梯后胸闷、气促,休息后缓解,接触刺激性气味无诱发,到当地诊所服“桉柠蒎、复方甲氧那明”治疗后,患者上述症状减轻,但易反复,故到我院就诊,肺CT提示“左肺上叶感染,右肺中叶支气管堵塞、肺不张”。行经支气管镜下冷冻治疗,对症支持治疗后好转出院。后肺泡灌洗液有培养到裂褶菌,因患者症状已好转故没有进行抗真菌治疗。
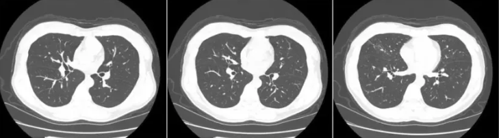
现病史:此次咳嗽咳痰再次出现入院,痰色白,无畏寒发热,无明显胸闷气急,无胸痛咯血等表现。肺CT提示“右肺中叶感染性病变伴部分支气管闭塞,较前(4月前)左肺上叶感染已基本吸收,右肺中叶感染有吸收,两肺散在增殖灶”。支气管镜检查:右肺中叶外侧支痰栓阻塞,开口略狭窄。右肺中叶外侧支肺泡灌洗液送检病原学检查
4月前CT:
此次CT:
此次支气管镜检查:
二、病原学检查
送检的肺泡灌洗液可见白色大颗粒状粘液:
取白色大颗粒状粘液涂片革兰染色,可见菌丝(1000×):
荧光染色,可见有锁状结构真菌丝(400×):
35℃培养3天后SDA平板上可见白色丝状真菌生长:
乳酸酚棉兰染色,可见典型锁状结构(400×):
经ITS测序为普通裂褶菌:
菌株转种SDA25℃培养20天后菌落,没能形成子实体。
三、诊断及治疗
入院后经验性使用盐酸莫西沙星0.40g 静脉滴注每日一次,第二天在微生物室反馈镜下可见丝状真菌后,患者目前需要考虑真菌感染可能,暂停莫西沙星使用。第四天在得到BALF培养结果后予伏立康唑0.2g q12h 抗真菌治疗。患者最终考虑为普通裂褶菌的肺部感染所致支气管粘液栓(MIB),引发肺不张。
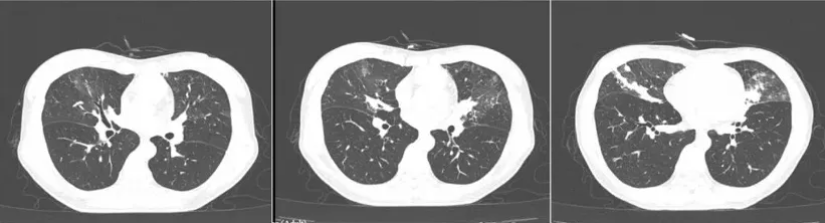
治疗一个半月后患者症状好转无其他不适,复查CT如下。
四、知识拓展
普通裂褶菌是一种自然界中普遍存在的担子菌类真菌,通常寄生于枯萎、腐烂的有机物中,特别是腐烂的树木。由于普通裂褶菌的致病性弱,所以临床上由普通裂褶菌感染引起的肺真菌病的病例少见。裂褶菌主要通过吸入孢子引起过敏反应,可能是因为这种病原体定植在树木和植物上,释放的孢子随成熟的果实和落叶扩散到大气中,容易被吸入到肺部和鼻腔而引起疾病,鼻窦部和支气管肺部是最常见的感染部位。菌落鉴定:普通裂褶菌在沙保弱培养基 (SDA)可长出绒毛状白色菌落,菌落压片在光镜下可见锐角分支状分隔菌丝,菌丝粗细不一,二倍体菌株可见菌丝上的锁状结构和侧边针状结构,是普通裂褶菌的特征性结构。
普通裂褶菌引起的变应性支气管肺真菌病(ABPM)的临床症状无特异性,可表现为咳嗽、咳痰、呼吸困难、发热和咯血。最常见的表现为咳嗽。部分患者表现为外周血嗜酸性粒细胞计数和总IgE升高,外周血白细胞轻度升高或正常,血沉( ESR )和C反应蛋白( CRP )正常。肺部影像学可表现为支气管黏液栓、肺不张、中心性支气管扩张、浸润影、手套指征等。其中支气管黏液栓和中心性支气管扩张是最常见的表现,在ABPM的诊断中具有重要价值。
针对ABPM的治疗指南推荐联合抗真菌治疗,疗程4个月和激素治疗[1],从病例报道治疗来看,如有明显致敏反应,如诱发支气管哮喘急性发作、胸闷气促加重、血嗜酸粒细胞及总 IgE 明显增高,建议加用糖皮质激素治疗。本例患者无明显上述症状,因此未使用激素治疗。在抗真菌药物的选择方面,Chowdhary[2]等报道了30株普通裂褶菌对不同抗真菌药物的体外药敏试验,其中临床疗效较好的低最低抑菌浓度( MIC )组分别为:伊曲康唑0.20 mg / mL、伏立康唑0.24 mg / mL、两性霉素B 0.29 mg / mL。除药物治疗外,还可通过支气管镜下反复灌洗或冻融清除支气管内黏液栓。Amitani[3]等和Ogawa[4]等报道了单独使用气管镜检查的清除黏液栓的病例,患者均痊愈,但无法获得随访资料。本案例左肺上叶经支气管支气管镜下反复灌洗和冻融清除后好转,而右肺中叶三个月后又复发,因此在此次培养得到裂褶菌后使用伏立康唑治疗。
参考文献
1.《ISHAM临床实践指南:变应性支气管肺曲霉病/真菌病的诊断、分类和治疗(修订版)》解读.
2.Chowdhary A, Kathuria S, Singh PK, Agarwal K, Gaur SN, Roy P, et al. Molecular Characterization and In VitroAntifungal Susceptibility Profile of Schizophyllum commune, an Emerging Basidiomycete in Bronchopulmonary Mycoses. Antimicrob Agents Chemother. 2013;57(6):2845-2848. doi:10.1128/AAC.02619-12
3.Amitani R, Nishimura K, Niimi A, Kobayashi H, Nawada R, Murayama T, et al. Bronchial Mucoid Impaction Due to the Monokaryotic Mycelium of Schizophyllum commune. Clinical Infectious Diseases. 1996;22(1):146-148. doi:10.1093/clinids/22.1.146
4.Ogawa H, Fujimura M, Takeuchi Y, Makimura K, Satoh K. The Definitive Diagnostic Process and Successful Treatment for ABPM Caused by Schizophyllum commune: A Report of Two Cases. Allergology International. 2012;61(1):163-169. doi:10.2332/allergolint.11-CR-0325
作者简介
叶挺华
就职于东阳市人民医院检验科,主管检验技师,从事临床微生物学检验工作,2023年赴温州医科大学附属第一医院进修临床微生物学检验。
作者:叶挺华(东阳市人民医院);审校:王占伟(北京大学人民医院)
本文转载自订阅号“京港感染论坛”
原链接戳:【慧眼识菌】普通裂褶菌肺部感染引发支气管粘液栓(MIB)
* 文章仅供医疗卫生相关从业者阅读参考
本文完
责编:Jerry
